Chorioangioma

Chorioangioma
Other namesPlacental hemangioma
Placenta with an especially large 10cm chorioangioma

Chorioangioma, or chorangioma, is a benign tumor of placenta. It is a hamartoma-like growth in the placenta consisting of blood vessels,[1] and is seen in approximately 0.5 to 1% pregnancies.[2] It is mostly diagnosed ultrasonically in the second trimester of pregnancy. Large chorioangiomas are known to cause complications in pregnancy, while the smaller ones are asymptomatic.

Presentation

Most chorangiomas are not clinically significant, i.e. they do not have an adverse effect on placental function.

Complications

Large (greater than 4 or 5 cm.) or multiple chorioangiomas may lead to complication.[1][3] The complications are polyhydramnios, preterm labour, hemolytic anemia, fetal cardiomegaly, fetal thrombocytopenia, intrauterine growth retardation, preeclampsia, abruption of placenta and congenital anomalies.[2][4]

Pathogenesis

The origin of chorioangioma is from primitive chorionic mesenchyme. It develops when the blood vessels and stroma undergo rapid proliferation independent of the surrounding tissue. Based on histological features, chorioangioma is classified by Marchetti[5] into three types:[6]

  • Cellular type : This type is immature and contains mostly cellular elements packed compactly.
  • Angiomatous (vascular) type : This is the most common type of choriocarcinoma. It is distinguished by the presence of numerous small blood vessels.
  • Degenerative type : This is the mature type with degenerative changes.

Each type is believed to represent a phase of tumor development. Chorioangioma has no malignant potential.

Diagnosis

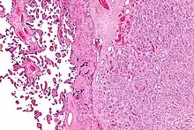
Micrograph of a chorangioma (right of image) and normal placenta (left of image); H&E stain.

Most chorioangiomas are asymptomatic. They are generally picked up in second trimester scan. Chorioangioma is seen as a hypo- or hyperechoic circumscribed mass that is distinct from the placenta at gray-scale US examination. Large lesions may contain fibrous septa. It is seen protruding into the amniotic cavity near the insertion of the cord. Doppler examination shows anechoic cystic areas, with pulsatile flow in spectral analysis. Some chorioangiomas may be solid masses, and may not be identifiable in gray-scale imaging. Therefore, the investigation of choice is Colour Doppler, which also distinguishes it from placental hematoma.[6]

They can also be detected with MRI.[1]

Histologically, chorioangiomas consist of abundant vascular channels and may be cellular.

Management

Expectant management is recommended for chorioangioma as majority of them are asymptomatic. Large tumors are monitored with ultrasonogram every 1–2 weeks. In case of maternal or foetal complications, possible interventions are serial foetal transfusions, fetoscopic laser coagulation of vessels supplying the tumor, endoscopic surgical devascularization and chemosclerosis using absolute alcohol.[6][1]

Prognosis

Large chorioangiomas with decreased echogenicity, decreased tumor volume and decreased blood flow in colour doppler images are may undergo spontaneous infarction. When chorioangiomas have deceased blood flow, fetal hemodynamics and clinical outcome are found to be improved.[7]

Epidemiology

It is the most common tumor of the placenta. Chorioangiomas over the size of 5 cm in diameter are rare, and occur at a rate of 1:3500 to 1:16,000 births.[8] Smaller chorioangiomas are more frequent, with an incidence of 14‑139:10,000 births.[9] However, many small chorioangiomas may not be sonologically visible and hence go unreported. In a clinical study, more than half of all tumors were discovered only by histological techniques.[4]

History

Chorioangioma was first described by Clarke in 1798.

See also

References

  1. 1 2 3 4 Amer HZ, Heller DS (2010). "Chorangioma and related vascular lesions of the placenta--a review". Fetal Pediatr Pathol. 29 (4): 199–206. doi:10.3109/15513815.2010.487009. PMID 20594143. S2CID 29374313.
  2. 1 2 U, Ruman; TS, Chowdhury (July 2012). "Placental chorioangioma : A case report" (PDF). Birdem Medical Journal. 2 (2): 113–115. doi:10.3329/birdem.v2i2.12326. Archived from the original (PDF) on 31 May 2013. Retrieved 9 December 2016.
  3. Lež C, Fures R, Hrgovic Z, Belina S, Fajdic J, Münstedt K (2010). "Chorangioma placentae". Rare Tumors. 2 (4): e67. doi:10.4081/rt.2010.e67. PMC 3019602. PMID 21234259.
  4. 1 2 Kodandapani, Sreelakshmi (2012). "Chorioangioma of Placenta: A Rare Placental Cause for Adverse Fetal Outcome". Case Reports in Obstetrics and Gynecology. 2: 913878. doi:10.1155/2012/913878. PMC 3384918. PMID 22754703.
  5. AA, Marchetti (1939). "A consideration of certain types of benign tumors of the placenta". Surgical Gynaecology and Obstetrics: 733–743.
  6. 1 2 3 Kirkpatrik, Aaron; Podberesky, Daniel (21 March 2007). "Placental chorioangioma". Radiographics. 27 (4): 1187–1190. doi:10.1148/rg.274065207. PMID 17620474.
  7. K, Kanenishi; T, Hata (2004). "Three-dimensional sonographic features of placental abnormalities". Gynaecological and Obstetric Investigations. 2: 61–65.
  8. UI, Esen; SU, Orife (1997). "Placental chorioangioma: a case report and literature review". British Journal of Clinical Practice. 3 (51): 181–182.
  9. H, Fox (1967). "Vascular tumors of the placenta". Obstetrical & Gynecological Survey. 22 (5): 697–711. doi:10.1097/00006254-196710000-00001. PMID 4863447.
This article is issued from Wikipedia. The text is licensed under Creative Commons - Attribution - Sharealike. Additional terms may apply for the media files.