Endometrioid tumor
| Endometrioid tumor | |
|---|---|
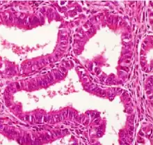
![]() | |
| Histopathology of a well-differentiated endometrioid adenocarcinoma in the ovary | |
| Specialty | Oncology, gynecology |
Endometrioid tumors are a class of tumors that arise in the uterus or ovaries that resemble endometrial glands on histology.[1] They account for 80% of endometrial carcinomas[1]: 724 and 20% of malignant ovarian tumors.[1]: 728
Ovary

Ovarian endometrioid tumors are part of the surface epithelial tumor group of ovarian neoplasms (10–20% of which are the endometrioid type). Benign and borderline variants are rare, as the majority are malignant. There is an association with endometriosis and concurrent primary endometrial carcinoma (endometrial cancer).
On gross pathological examination, the tumor is cystic and may be solid and some arise in cystic endometriosis. In 40% of cases, endometrioid tumors are found bilaterally.[3]
Endometrium
Endometrioid carcinoma can also arise in the endometrium.[4][5]
Grades 1 and 2 are considered "type 1" endometrial cancer, while grade 3 is considered "type 2".[6]
Relative incidences of endometrial carcinomas by histopathology, being endometrioid in a majority of cases[7]
Light microscopy
Light microscopy shows tubular glands, resembling endometrium.[8]
Molecular biology
CTNNB1 and PTEN mutations
Ovarian and endometrial endometrioid carcinomas have distinct CTNNB1 and PTEN gene mutation profiles. PTEN mutations are more frequent in low-grade endometrial endometrioid carcinomas (67%) compared with low-grade ovarian endometrioid carcinomas (17%). By contrast, CTNNB1 mutations are significantly different in low-grade ovarian endometrioid carcinomas (53%) compared with low-grade endometrial endometrioid carcinomas (28%). This difference in CTNNB1 mutation frequency may be reflective of the distinct tumoral microenvironments; the epithelial cells lining an endometriotic cyst within the ovary are exposed to a highly oxidative environment that promotes tumorigenesis.[9]
References
- 1 2 3 Kumar, Vinay; Abbas, Abul K.; Aster, Jon C.; Robbins, Stanley L.; Perkins, James A. (2018). Robbins Basic Pathology (10th ed.). Philadelphia, Pennsylvania: Elsevier. ISBN 978-0-323-35317-5.
- ↑ Kosary, Carol L. (2007). "Chapter 16: Cancers of the Ovary" (PDF). In Baguio, RNL; Young, JL; Keel, GE; Eisner, MP; Lin, YD; Horner, M-J (eds.). SEER Survival Monograph: Cancer Survival Among Adults: US SEER Program, 1988-2001, Patient and Tumor Characteristics. SEER Program. Vol. NIH Pub. No. 07-6215. Bethesda, MD: National Cancer Institute. pp. 133–144.
- ↑ Robbins; Cotran, eds. (2005). Pathologic Basis of Disease (7th ed.). Philadelphia: Saunders. ISBN 978-0-7216-0187-8.
- ↑ Mulvany NJ, Allen DG (January 2008). "Combined large cell neuroendocrine and endometrioid carcinoma of the endometrium". Int. J. Gynecol. Pathol. 27 (1): 49–57. doi:10.1097/pgp.0b013e31806219c5. PMID 18156975. S2CID 43849133.
- ↑ Carcinoma,+Endometrioid at the U.S. National Library of Medicine Medical Subject Headings (MeSH)
- ↑ "ACS :: What Is Endometrial Cancer?". Archived from the original on 2010-06-20. Retrieved 2010-03-24.
- ↑ Mendivil, Alberto; Schuler, Kevin M.; Gehrig, Paola A. (2009). "Non-Endometrioid Adenocarcinoma of the Uterine Corpus: A Review of Selected Histological Subtypes". Cancer Control. 16 (1): 46–52. doi:10.1177/107327480901600107. ISSN 1073-2748. PMID 19078929.
- ↑ Ehdaivand, Shahrzad. "Ovary tumor - Endometrioid tumors - General". Pathology Outlines. Archived from the original on 2020-02-16. Retrieved 2020-03-17. Topic Completed: 1 December 2012. Revised: 6 March 2020
- ↑ McConechy, M. K.; Ding, J; Senz, J; Yang, W; Melnyk, N; Tone, A. A.; Prentice, L. M.; Wiegand, K. C.; McAlpine, J. N.; Shah, S. P.; Lee, C. H.; Goodfellow, P. J.; Gilks, C. B.; Huntsman, D. G. (2014). "Ovarian and endometrial endometrioid carcinomas have distinct CTNNB1 and PTEN mutation profiles". Modern Pathology. 27 (1): 128–34. doi:10.1038/modpathol.2013.107. PMC 3915240. PMID 23765252.
