Mixed tumor
A mixed tumor is a tumor that derives from multiple tissue types.[1] A biplastic tumor or biphasic tumor has two tissue types.[2][3]
True versus false
- A true mixed tumor contains multiple types of neoplastic cells.[4] Some sources require the included tissue types to be neoplastic for the definition of mixed tumor.[1]
- A "false" mixed tumor contains one type of neoplastic cells, but which have more than one appearance. For example, benign pleomorphic salivary gland tumors may have some tumors cells that form pseudocartilage. Yet, all the tumor cells have similar myoepithelial profile on immunohistochemistry, and are thus classified as one cell type.
Reactive or adaptive changes to a tumor does not count towards a classification as mixed. Such changes include angiogenesis (blood vessel proliferation) and/or desmoplasia (proliferation of connective tissue).[5]
Number of cell types
Examples of true mixed tumors

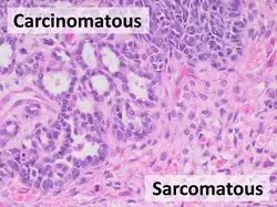
Micrograph of a carcinosarcoma of the ovary. H&E stain, showing both carcinomatous and sarcomatous elements
| Disease | Cellular elements | |
|---|---|---|
| Fibroadenoma[7] | Epithelium | Stroma |
| Ceruminous adenoma[8] | Inner luminal secretory cells | Myoepithelial cells |
| Carcinosarcoma[9] | Carcinomatous cells | Sarcomatous cells |
References
- 1 2 "mixed tumor". TheFreeDictionary (by Farlex). Retrieved 2020-04-26. In turn citing:
-For requiring neoplastic types: Miller-Keane Encyclopedia and Dictionary of Medicine, Nursing, and Allied Health, Seventh Edition
- Without further specification:
- Farlex Partner Medical Dictionary - 1 2 For "biplastic tumor": Salati SA (2020). "Breast fibroadenomas: a review in the light of current literature". Pol Przegl Chir. 93 (1): 40–48. doi:10.5604/01.3001.0014.5676. PMID 33729177.
- 1 2 For "biphasic tumor": Santosh, Arvind Babu Rajendra (2014). "Histogenetic Concepts, Terminology and Categorization of Biphasic Tumours of the Oral and Maxillofacial Region". Journal of Clinical and Diagnostic Research. 8 (2): 266–70. doi:10.7860/JCDR/2014/7506.4078. ISSN 2249-782X. PMC 3972583. PMID 24701553.
- ↑ Fowler, Melissa H; Fowler, Jason; Ducatman, Barbara; Barnes, Leon; Hunt, Jennifer L (2006). "Malignant mixed tumors of the salivary gland: a study of loss of heterozygosity in tumor suppressor genes". Modern Pathology. 19 (3): 350–355. doi:10.1038/modpathol.3800533. ISSN 0893-3952. PMID 16400327.
- ↑ Miller, Daniel D; Emley, Andrew; Yang, Shi; Richards, Joanna E; Lee, Jung Eun; Deng, April; Hoang, Mai P; Mahalingam, Meera (2011). "Mixed versus pure variants of desmoplastic melanoma: a genetic and immunohistochemical appraisal". Modern Pathology. 25 (4): 505–515. doi:10.1038/modpathol.2011.196. ISSN 0893-3952. PMID 22157936.
- ↑ "NCI Dictionary of Cancer Terms". National Cancer Institute. 2011-02-02. Retrieved 20 December 2017.
- ↑ Tavassoli, F.A.; Devilee, P., eds. (2003). World Health Organization Classification of Tumours: Pathology & Genetics: Tumours of the breast and female genital organs. Lyon: IARC Press. ISBN 978-92-832-2412-9.
- ↑ Thompson LD, Nelson BL, Barnes EL (Mar 2004). "Ceruminous adenomas: a clinicopathologic study of 41 cases with a review of the literature". Am J Surg Pathol. 28 (3): 308–18. doi:10.1097/00000478-200403000-00003. PMID 15104293.
- ↑ M Sherif Said. "Pathology of True Malignant Mixed Tumor (Carcinosarcoma)". Medscape. Updated: Dec 01, 2015
This article is issued from Wikipedia. The text is licensed under Creative Commons - Attribution - Sharealike. Additional terms may apply for the media files.