Asymptomatic

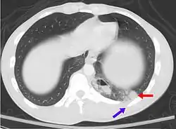
Pulmonary contusion due to trauma is an example of a condition that can be asymptomatic with half of people showing no signs at the initial presentation. The CT scan shows a pulmonary contusion (red arrow) accompanied by a rib fracture (purple arrow).

Asymptomatic (or clinically silent) is an adjective categorising the medical conditions (i.e., injuries or diseases) that patients carry but without experiencing their symptoms, despite an explicit diagnosis (e.g., a positive medical test).

Pre-symptomatic is the adjective categorising the time periods during which the medical conditions are asymptomatic.

Subclinical and paucisymptomatic are other adjectives categorising either the asymptomatic infections (i.e., subclinical infections), or the psychosomatic illnesses and mental disorders expressing a subset of symptoms but not the entire set an explicit medical diagnosis requires.

Examples

An example of an asymptomatic disease is cytomegalovirus (CMV) which is a member of the herpes virus family. "It is estimated that 1% of all newborns are infected with CMV, but the majority of infections are asymptomatic." (Knox, 1983; Kumar et al. 1984)[1] In some diseases, the proportion of asymptomatic cases can be important. For example, in multiple sclerosis it is estimated that around 25% of the cases are asymptomatic, with these cases detected postmortem or just by coincidence (as incidental findings) while treating other diseases.[2]

Importance

Knowing that a condition is asymptomatic is important because:

  • It may be contagious, and the contribution of asymptomatic and pre-symptomatic infections to the transmission level of a disease helps set the required control measures to keep it from spreading.[3]
  • It is not required that a person undergo treatment. It does not cause later medical problems such as high blood pressure and hyperlipidaemia.[4]
  • Be alert to possible problems: asymptomatic hypothyroidism makes a person vulnerable to Wernicke–Korsakoff syndrome or beri-beri following intravenous glucose.[5]
  • For some conditions, treatment during the asymptomatic phase is vital. If one waits until symptoms develop, it is too late for survival or to prevent damage.

Mental health

Subclinical or subthreshold conditions are those for which the full diagnostic criteria are not met and have not been met in the past, although symptoms are present. This can mean that symptoms are not severe enough to merit a diagnosis,[6] or that symptoms are severe but do not meet the criteria of a condition.[7]

List

These are conditions for which there is a sufficient number of documented individuals that are asymptomatic that it is clinically noted. For a complete list of asymptomatic infections see subclinical infection.

Millions of women reported lack of symptoms during pregnancy until the point of childbirth or the beginning of labor; they didn't know they were pregnant. This phenomenon is known as cryptic pregnancies.[8]

See also

References

  1. Vinson, B. (2012). Language Disorders Across the Lifespan. p. 94. Clifton Park, NY: Delmar
  2. Engell T (May 1989). "A clinical patho-anatomical study of clinically silent multiple sclerosis". Acta Neurol Scand. 79 (5): 428–30. doi:10.1111/j.1600-0404.1989.tb03811.x. PMID 2741673. S2CID 21581253.
  3. Buitrago-Garcia, Diana; Egli-Gany, Dianne; Counotte, Michel J.; Hossmann, Stefanie; Imeri, Hira; Ipekci, Aziz Mert; Salanti, Georgia; Low, Nicola (2020-09-22). "Occurrence and transmission potential of asymptomatic and presymptomatic SARS-CoV-2 infections: A living systematic review and meta-analysis". PLOS Medicine. 17 (9): e1003346. doi:10.1371/journal.pmed.1003346. ISSN 1549-1676. PMC 7508369. PMID 32960881.
  4. Tattersall, R (2001). "Diseases the doctor (or autoanalyser) says you have got". Clinical Medicine. 1 (3). London: 230–3. doi:10.7861/clinmedicine.1-3-230. PMC 4951914. PMID 11446622.
  5. Watson, A. J.; Walker, J. F.; Tomkin, G. H.; Finn, M. M.; Keogh, J. A. (1981). "Acute Wernickes encephalopathy precipitated by glucose loading". Irish Journal of Medical Science. 150 (10): 301–303. doi:10.1007/BF02938260. PMID 7319764. S2CID 23063090.
  6. Ji, Jianlin (October 2012). "Distinguishing subclinical (subthreshold) depression from the residual symptoms of major depression". Shanghai Archives of Psychiatry. 24 (5): 288–289. doi:10.3969/j.issn.1002-0829.2012.05.007. ISSN 1002-0829. PMC 4198879. PMID 25328354.
  7. Diagnostic and statistical manual of mental disorders : DSM-5. American Psychiatric Association, American Psychiatric Association. DSM-5 Task Force (5th ed.). Arlington, VA: American Psychiatric Association. 2013. ISBN 978-0-89042-554-1. OCLC 830807378.{{cite book}}: CS1 maint: others (link)
  8. "What is a Cryptic Pregnancy?". 10 September 2019.
This article is issued from Wikipedia. The text is licensed under Creative Commons - Attribution - Sharealike. Additional terms may apply for the media files.