Folliculosebaceous cystic hamartoma
| Folliculosebaceous cystic hamartoma | |
|---|---|
| Adnexoblastic (folliculosebaceous) trichoid hamartoma | |
| Specialty | Dermatology |
Folliculosebaceous cystic hamartoma abbreviated as (FSCH) is a rare cutaneous hamartoma consisting of dilated folliculosebaceous units invested in mesenchymal elements.[1]: 676 it typically affects adults, have a predilection for the central face or scalp, with less than 1.5 cm dimension.[2] Clinically, the lesions are asymptomatic, rubbery to firm in consistency, and usually occur on or above the neck in (> 90%) of cases, Histopathologically, FSCH shares several similar features to sebaceous trichofolliculoma, but it is usually possible to differentiate these two tumors.[3]
Signs and symptoms
Folliculosebaceous cystic hamartomas frequently manifests as a flesh-colored papule or nodule that is asymptomatic. Folliculosebaceous cystic hamartomas are usually found on the scalp or central face.[4] The lesions are usually 0.5–1.5 cm flesh-colored, exophytic, solitary, rubbery or firm, and partially umbilicated.[5]
Diagnosis
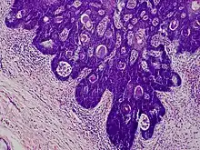
The typical histopathologic features of folliculosebaceous cystic hamartoma lesions are mesenchymal, follicular, and sebaceous elements; these lesions frequently manifest as sebaceous structures that emerge from a core infundibular cyst that is contained inside the dermis.[6] Mesenchymal alterations are frequently observed throughout the stroma and are characterized by fibrillary bundles of collagen with proliferating adipocytes, as well as a rise in capillaries and tiny venules.[7][6] There are clefts separating the neighboring dermis from the epithelial component.[6] In the stroma of lesions, immature adipocytes with lipid droplets and spindle- or starry-shaped nuclei have been observed; these cells are frequently located close to the sebaceous formations.[7]
See also
References
- ↑ James, William D.; Berger, Timothy G.; et al. (2006). Andrews' Diseases of the Skin: Clinical Dermatology. Saunders Elsevier. ISBN 0-7216-2921-0.
- ↑ Cole P, Kaufman Y, Dishop M, Hatef DA, Hollier L (October 2008). "Giant, congenital folliculosebaceous cystic hamartoma: a case against a pathogenetic relationship with trichofolliculoma". Am J Dermatopathol. 30 (5): 500–3. doi:10.1097/DAD.0b013e318183eb07. PMID 18806500.
- ↑ Tanimura S, Arita K, Iwao F, et al. (January 2006). "Two cases of folliculosebaceous cystic hamartoma". Clin. Exp. Dermatol. 31 (1): 68–70. doi:10.1111/j.1365-2230.2005.01974.x. PMID 16309487.
- ↑ Nguyen, Catherine M.; Skupsky, Hadas; Cassarino, David (2015). "Folliculosebaceous Cystic Hamartoma With Spindle Cell Lipoma-Like Stromal Features". The American Journal of Dermatopathology. 37 (12). Ovid Technologies (Wolters Kluwer Health): e140 – e142. doi:10.1097/dad.0000000000000332. ISSN 0193-1091. PMC 4894800.
- ↑ Ansai, Shin-ichi; Kimura, Tetsunori; Kawana, Seiji (2010). "A Clinicopathologic Study of Folliculosebaceous Cystic Hamartoma". The American Journal of Dermatopathology. 32 (8): 815–820. doi:10.1097/DAD.0b013e3181e07824. ISSN 0193-1091.
- 1 2 3 Suarez‐Peñaranda, Jose M.; Vieites, Begoña; Ramírez‐Santos, Aquilina; Fernández‐Redondo, Virginia; Toribio, Jaime; Del Rio, Emilo; Forteza‐Vila, Jerónimo (2009-01-20). "Clinicopathological and immnuohistochemical findings in a series of folliculosebaceous cystic hamartoma". Journal of Cutaneous Pathology. 36 (2). Wiley: 251–256. doi:10.1111/j.1600-0560.2008.01011.x. ISSN 0303-6987.
- 1 2 Misago, Noriyuki; Kimura, Tetsunori; Toda, Shuji; Mori, Toru; Narisawa, Yutaka (2010). "A Revaluation of Folliculosebaceous Cystic Hamartoma: The Histopathological and Immunohistochemical Features". The American Journal of Dermatopathology. 32 (2). Ovid Technologies (Wolters Kluwer Health): 154–161. doi:10.1097/dad.0b013e3181a9de8c. ISSN 0193-1091.
Further reading
- Bobde, VeditaMadhukar; Helwatkar, SatishB; Sathawane, PrajaktaR; Raut, WK (2019). "Congenital giant folliculosebaceous cystic hamartoma of thigh: A rare case". Indian Journal of Dermatology. 64 (6). Medknow: 490. doi:10.4103/ijd.ijd_319_18. ISSN 0019-5154. PMC 6862363.
- Noh, Seongmin; Kwon, Ji Eun; Lee, Kwang Gil; Roh, Mi Ryung (2011). "Folliculosebaceous Cystic Hamartoma in a Patient with Neurofibromatosis Type I". Annals of Dermatology. 23 (Suppl 2). Korean Dermatological Association and The Korean Society for Investigative Dermatology: S185. doi:10.5021/ad.2011.23.s2.s185. ISSN 1013-9087.