SIDA
SIDA (sindromul imunodeficienței umane dobândite) este o afecțiune provocată de virusul imunodeficienței umane, HIV, care atacă și distruge progresiv sistemul imunitar al organismului.[5] Boala se manifestă prin infecții grave care determină pierderea accentuată în greutate, afecțiuni ale creierului și ale sistemului nervos central. Pentru a se reproduce, HIV trebuie să pătrundă într-o celulă a sistemului imunitar. Virusul pătrunde în organism prin contact sexual, prin contaminare cu sânge infectat sau de la mamă infectată la făt, în timpul sarcinii, al nașterii și al alăptării. HIV poate fi prezent în lichidele biologice, ca sânge, spermă, secreții vaginale și laptele matern.[6] O persoană seropozitivă la HIV (al cărei sânge conține anticorpi specifici îndreptați împotriva virusului HIV, ceea ce dovedește infectarea sa cu acest virus) nu prezintă în mod obligatoriu semnele bolii. Ea este totuși purtătoare de virus și deci susceptibilă să îl transmită.
| SIDA | |
![]() | |
| Specialitate | boli infecțioase |
|---|---|
| Simptome | febră[1] Adenopatie[1] diaree[1] letargie[1] slăbire[1] erupție[2] Infecție oportunistă Kaposi's sarcoma[*] limfom peripheral neuropathy[*] transpirații nocturne[*][2] mialgie[2] sore throat[*][2] epuizare[*][2] enlargement of lymph nodes[*][2] mouth ulcer[*][2] frisoane[*][2] |
| Cauze | HIV[3] |
| Metodă de diagnostic | blood test[*] ELISA blotting[*] Test rapid de antigen |
| Clasificare și resurse externe | |
| ICD-9 | 042 043 044 |
| ICD-10 | B2424. |
| ICD-11 | |
| OMIM | 609423 |
| DiseasesDB | 5938 |
| MedlinePlus | 000594 |
| Patient UK | SIDA |
| MeSH ID | D000163[4] |

SIDA a fost declarată ca boală de sine stătătoare cu aspect de pandemie la 1 decembrie 1981. Organizația Mondială a Sănătății (OMS) consideră numărul deceselor datorate urmărilor acestei boli ca fiind de 2,9 milioane în anul 2006, numărul celor infectați pe plan mondial de 39,5 milioane, anual infectându-se alte 4,3 milioane de persoane. Pe plan mondial numărul persoanelor infectate cu HIV se apreciază ca fiind de 1% în grupa de vârstă 15–45 de ani. În unele țări din Africa se consideră numărul celor infectați cu acest virus în această grupă de vârstă ca fiind de până la 20% (și chiar mai mare în unele regiuni) din populație.
Deși tratamentele pentru SIDA și HIV pot încetini cursul bolii, nu există încă un vaccin sau vindecare. Tratamentul antiviral reduce mortalitatea și morbiditatea infecției cu HIV, dar acești agenți sunt scumpi, iar accesul de rutină la antiretrovirali nu este disponibil în toate țările. Datorită dificultății tratării bolii, prevenirea infecției este importantă în controlul răspândirii SIDA pandemică, prin organizații de sănătate care promovează sexul protejat și unica folosință a acelor de seringă în încercarea de a încetini răspândirea virusului.
SIDA s-a transformat într-o boală cronică ca urmare a introducerii terapiei HAART. Are o evoluție cronică de durată lungă în țările dezvoltate unde cazuri letale sunt înregistrate doar atunci când terapia HAART își pierde efectul terapeutic. Rămâne însă pentru țările în curs de dezvoltare o boală care a dus la scăderea mediei de viață cu până la 10 ani punând astfel în pericol existența multor popoare din Africa unde dispare (în unele cazuri) populația de vârstă medie.
Etimologie
Acronimul SIDA provine din limba franceză: syndrome d'immunodéficience acquise.[7] Pe plan mondial se mai folosește și acronimul AIDS, provenit din limba engleză: acquired immune deficiency syndrome.[8]
Istoric


Izolat în 1983 la Institutul Pasteur din Paris de către echipa profesorului Luc Montagnier, HIV face parte din familia retrovirusurilor (virusuri cu ARN, capabile să-l copieze pe acesta în ADN proviral datorită unei enzime pe care o conține, reverstranscriptaza), ca virus care produce adenopatie limfatică (LAV).[10] La scurt timp după aceasta s-a presupus relația cauzală dintre LAV și deficitul imun. În 1984 s-a denumit un virus descoperit la un pacient cu SIDA într-un institut de oncologie din Statele Unite cu numele de human T-cell lymphotropic virus-III (HTLV-III).[11] În 1986, cercetătorii francezi au demonstrat existența unui al doilea virus, botezat HIV-2, cu structură apropiată de cea a lui HIV-1, a cărui origine geografică se situează esențialmente în Africa de Vest. Nici până în prezent nu există certitudinea originii lui HIV-1, deși prevalența sa este foarte mare în Africa Centrală.[12]
Primele seruri sanguine la care s-a demonstrat existența virusului HIV la om datează din anul 1959 la un adult din Congo, 1969 de la un pacient din Statele Unite și un marinar norvegian în 1976. Compararea virusului HIV a probei din 1959 cu cea din 1976 arată existența unui precursor comun din anii '40 și începutului anilor '50. Se presupune că transmiterea virusului HIV-1 la om s-a făcut cu ani înaintea acestei perioade, iar diferența genetică a tipurilor HIV-1 și HIV-2 lasă bănuiala dezvoltării cu mulți ani înainte.[13] Michael Gottlieb a descris în jurnalul săptămânal al CDC Morbidity and Mortality Weekly Report din 5 iunie 1981 o înmulțire de cazuri rare de pneumonie produsă de ciuperca Pneumocystis carinii. Această infecție micotică a fost depistată anterior exclusiv la pacienți cu sistem imun alterat din motive diferite, însă Gottlieb le-a depistat la cinci bărbați homosexuali anterior sănătoși.[14] Acestui articol i-au urmat altele din alte orașe din Statele Unite, semnalându-se în același timp și alte infecții oportuniste care apar la pacienți cu sistem imun alterat.[15]
S-a bănuit destul de devreme un deficit imun autodobândit ca fiind cauza infecțiilor oportuniste apărute. În iunie 1982 s-a făcut prima legătură între un deficit imun autodobândit legat atunci de practica homosexuală denumită gay-related immune deficiency (GRID).[16] A urmat legătura făcută pacienților cu hemofilie afectați în același fel,[17] a persoanelor afectate posttransfuzional, a heterosexualilor dependenți de droguri, ceea ce duce la concluzia transmiterii parenterale pe lângă transmiterea sexuală. În luna august a anului 1982 a primit denumirea de AIDS (acquired immune deficiency syndrome),[18] iar pentru zona francofonă SIDA (syndrome d'immunodéficience acquise).
În 1984, un studiu efectuat în Kinshasa a arătat faptul că bărbații și femeile sunt afectați în egală măsură, indiferent de consumul de droguri sau de transfuzii de sânge. În 1985, în Statele Unite se constată o rată de contaminare de 70% a soțiilor bărbaților hemofili infectați cu HIV. În luna martie a aceluiași an s-a stabilit pe baza altor referate privind LAV și HTLV-III că este vorba de același virus. Robert Gallo a primit tot în 1985 patentul SUA pentru primul test ELISA de detectare a virusului, iar în Atlanta a avut loc prima conferință internațională de SIDA. În 1986 s-a stabilit numele virusului: HIV (human immunodeficiency virus). Un an mai târziu s-a aprobat primul medicament antiretroviral, azidotimidină (AZT), demonstrându-se printr-un studiu o scădere considerabilă a ratei de mortalitate și prin aceasta durata de viață pentru cei afectați.
Ziua de 1 decembrie a fost declarată în 1988 de OMS ca Ziua mondială de combatere a SIDA.[19] Anul 1989 a adus terapia împotriva pneumoniei Pneumocystis carinii prin inhalarea pentaminei. În 1990 s-a ales ca simbol împotriva discriminării persoanelor HIV pozitive panglica roșie (red ribbon) purtată în jurul brațului. Un an mai târziu a fost transformată într-o buclă roșie. Conferința Internațională anti-SIDA a fost mutată în 1992 din Statele Unite la Amsterdam din cauza dispozițiilor de intrare a străinilor în State. Membrii grupului Queen au înființat în același an fundația "Mercury Phoenix Trust" în memoria colegului și prietenului lor Freddie Mercury, decedat în urma acestei boli. Anul 1993 a demonstrat ineficiența terapiei AZT pentru persoanele infectate fără simptome de boală.[20] HIV-PCR a fost stabilit în 1994 ca reper de control a terapiei infecției. În 1995, în Statele Unite, apare pe piață primul inhibitor de protează, Saquinavir.[21] În 1996 apare primul inhibitor al reverstranscriptazei nenucleozidice, Nevirapin.[22] Rezultatul combinării acestor două medicamente a dus la scăderea mortalității cu prelungirea duratei de viață la pacienții infectați în Statele Unite în 1997. În 2003 a apărut primul inhibitor de fuziune, Enfuvirtid (Fuzeon), în Statele Unite.[23] În 2004 a fost pornită de OMS inițiativa 3 by 5: 3 milioane de infectați urmau să fie tratați în 2005 cu medicamente.[24]
Începuturile cercetării HIV/SIDA a dus la opinia că boala este o maladie a populației grupurilor mărginașe: a homosexualilor și a narcomanilor. Apariția testelor HIV a schimbat însă rapid această opinie, demonstrându-se existența anticorpilor și la persoane asimptomatice. Aceasta duce la concluzia unei perioade de incubație de ani de zile, perioadă în care nu se poate exclude transmiterea virusului la alte persoane. Toate aceste studii au dus la concluzia că HIV/SIDA nu este doar o afecțiune a grupurilor la care a fost descoperită, ci poate afecta orice persoană care a ajuns în contact cu virusul HIV. Mediatizarea bolii, respectiv a căilor de transmitere, a perioadei de incubație, calculele efectuate care arătau populația deja infectată și rata de infectare preconizată pentru următorii ani cu ritmul atunci actual, a dus la sfârșitul anilor '80 la o isterie în masă.
Cronologie
- 1979 – Medicii din New York și Los Angeles au remarcat unele dereglări neobișnuite ale sistemului imun la un șir de pacienți – bărbați homosexuali: cazuri serioase de herpes genital, cancer al vaselor sanguine (sarcomul Kaposi) și o formă rară de pneumonie (pneumocistoză).
- 1982 – Centrele federale americane pentru controlul morbidității (CDC) au introdus în registrul de boli o nouă maladie: sindromul imunodeficienței dobândite – SIDA (AIDS – "acquired immune deficiency syndrome"). A fost stabilită legătura SIDA cu hemotransfuziile, cu injectarea intravenoasă a drogurilor și cu infecțiile congenitale. Totodată, cercetătorii și medicii practicanți din Statele Unite și Europa Occidentală au ajuns la următoarea concluzie: e posibil ca drept cauză a SIDA să fie un virus transmisibil pe cale sexuală. Maladia a fost descrisă și a început să fie studiată activ.
- 1983 – Grupul doctorului Luc Montagnier de la Institutul Pasteur din Paris a identificat virusul limfotrop T-celular (LAV). În același timp, în SUA grupul doctorului Robert Gallow de la Institutul National al Sănătății a depistat un virus, numit virusul T-limfotrop uman de tipul III (HTLV-III), care s-a dovedit a fi absolut identic cu cel depistat în Franța. A fost acceptată denumirea HIV – virusul imunodeficienței umane ("human immunodeficiency virus"). HIV este considerat agentul care provoacă SIDA.
- 1985 – Direcția federală pentru controlul produselor alimentare și al preparatelor medicinale din Statele Unite (FDA) a aprobat primul test pentru depistarea anticorpilor la HIV – reacția de imunofluorescență (RIF).
- 1987
- SIDA este detașat într-o ramură științifică independentă, ceea ce permite crearea unui sistem de centre specializate pentru monitorizarea situației epidemiologice, organizarea profilaxiei infecției și acordarea asistenței medicale persoanelor infectate cu HIV și bolnavilor de SIDA.
- A fost instituit Programul Global al Organizației Mondiale a Sănătății (OMS) pentru SIDA. SIDA este prima maladie pusă în discuție la o ședință a sesiunii Adunării Generale a ONU. În câteva țări a fost aprobat primul medicament împotriva SIDA – AZT (zidovudină, retrovir).
- 1988 – Ziua de 1 decembrie este declarată Ziua mondială de combatere a SIDA.
- 1990 – Pe piața farmaceutică mondială au apărut încă două preparate pentru tratarea SIDA (DDI și DDC), care aparțin aceleiași clase ca și AZT.
- 1995 – Un șir de companii farmaceutice americane și europene aproape simultan au anunțat crearea unei noi clase de preparate pentru tratarea infecției HIV – inhibitori ai proteazei.
- 1997 – Centrele americane pentru controlul morbidității pentru prima dată înregistrează scăderea nivelului mortalității de SIDA din Statele Unite, în comparație cu anul precedent, scădere condiționată de aplicarea noilor metode de tratament.
- 2000 – Specialiștii Centrului pentru profilaxia și combaterea SIDA au elaborat și au publicat "Standardul de tratament paliativ al bolnavilor de SIDA".
- 2003 – Bolnavii de SIDA și persoanele infectate cu HIV primesc acces la terapia ARV.
- 2004 – Are loc primul Forum al organizațiilor nonguvernamentale și al structurilor statale, care activează în domeniul infecției HIV/SIDA.
Virusul HIV
.jpg.webp)
Virusul HIV face parte din familia retrovirusurilor – un virus cu ARN, capabil să-l copieze în ADN proviral datorită unei enzime numite reverstranscriptaza. Primul virus HIV (HIV-1) a fost izolat la Institutul Pasteur din Paris și este prezent în întreaga lume. Ulterior un al doilea virus a fost descoperit (HIV-2), localizat în special în Africa de Vest și a cărui structură este apropiată de cea a HIV-1.
Fiecare din aceste două grupe sunt divizate la rândul lor, continuând o multitudine de virusuri diferite. Între HIV-1 și HIV-2 există o diferență de 50% în materialul genetic, iar între virusurile din aceeași grupă diferența este de 5–10%. În plus, virusurile evoluează în organism, căci reverstranscriptaza este responsabilă pentru unele erori în copierea ARN-ului, determinând mutații. Mutațiile diminuează eficacitatea tratamentului, iar introducerea altor virusuri în organism (recontaminarea) crește activitatea celulelor infectate și deci multiplicarea virusului.[25]
Virusul HIV distruge unele globule albe – limfocitele T4 sau CD4 – care constituie baza imunității antiinfecțioase.[25] Celulele infectate devin producătoare ale virusului și după o vreme mor. Virusurile nou produse circulă în sânge, căutând noi celule pe care să le infecteze. În felul acesta numărul de celule albe din organism scade treptat și, împreună cu acestea, scade și imunitatea. În timp, organismul pierde capacitatea de rezistență chiar și în fața unei boli obișnuite.[26]

Originea virusului HIV
Un studiu realizat în 2014 de o echipă de cercetători din cadrul Universității Oxford și publicat în revista Science Magazine[29] arată că virusul HIV ar fi apărut pentru prima dată în zona orașului Kinshasa, capitala Republicii Democrate Congo, în jurul anilor '20.[30] În momentul de față, se cunosc două ramuri ale virusului HIV.
Prima dintre acestea este cea a grupei M a virusului HIV-1; este originară din zona Kinshasei și este responsabilă pentru 90% din totalul infecțiilor răspândite la nivel global.[30] Cea de-a doua este cea a grupei O a virusului HIV-1 și își are originile în regiunile apropiate ale capitalei congoleze.[30] Echipa condusă de cercetătoarea Nuno Faria susține că răspândirea inegală, la nivel global, a celor două ramuri ale virusului se datorează influenței factorilor ecologici și nu a celor evoluționari.[31] Oamenii de știință au ajuns la această concluzie după ce au analizat genomii-gazdă ai virsului HIV, colectați de la 800 de bolnavi originari din Africa Centrală și au realizat un arbore genealogic al germenului inframicrobian.[31]
Teoria modului de formare a virusului

Virusul HIV este strâns înrudit cu virusul care determină la primate boli asemănătoare cu SIDA. Există o ipoteză, azi unanim acceptată, conform căreia virusul a trecut la începutul secolului al XX-lea de la maimuță la om. Există referiri la cazuri care arată că această mutație de la primate la om a avut loc (pentru cazuri izolate) deja înaintea secolului trecut.
Virusul HIV provine probabil de la virusul SIV (simian immunodeficiency virus) găsit la cimpanzei. Nu există date certe privind timpul, locul, animalul gazdă, felul și numărul de transmiteri de la primate la om.
La cimpanzei s-a descoprit un virus, numit SIV, aproape identic cu virusul HIV. Virusologii din Birmingham, Alabama au elaborat teoria apariției virusului HIV. Virusul SIV de care se îmbolnăvesc cimpanzei este compus din două virusuri, găsite ambele la macaci, o specie de maimuțe vânate și mâncate de cimpanzei. Teoria elaborată spune că acești doi viruși s-au unit în corpul cimpanzeilor, dând naștere virusului SIV. Transmiterea virusului la om a avut loc conform părerii cercetătorilor deja în anii '30 ai secolului al XX-lea prin consumul cărnii de cimpanzeu.
Alte cercetări au adus la iveală faptul că virusul a apărut prima dată în Africa de Vest, dar nu se știe dacă nu au fost mai multe focare virale în zone geografice africane diferite. Cercetările filogenetice a subtipurilor HIV și între HIV și SIV dau nașterii bănuielii transmiterii repetate de la cimpanzeu la om în Camerun și/sau țările învecinate.
Teoria elaborată de Tom Curtis în 1992 nu a putut fi demonstrată de jurnalistul Edward Hooper. Conform acestei teorii virusul ar fi fost transmis de la cimpanzei la om cu ajutorul unui vaccin antipoliomielitic pentru că acest vaccin ar fi fost produs cu ajutorul cimpanzeilor la sfârșitul anilor '50. Cu toate că se știe că au apărut cazuri mai dese de infectare în zona actualei Republici Democratice Congo nu s-a putut demonstra această teorie pentru că o mostră de vaccin păstrată la Londra a arătat nu doar absența ADN-ului de cimpanzeu, ci și absența virusului HIV din acest ser, nefolosindu-se pentru acest ser organe de cimpanzeu.
Căi de transmitere
Transmiterea virusului HIV se face în patru modalități principale: pe cale sexuală (la nivelul mucoaselor genitale, fie că este vorba de spermă, de lichid prostatic sau de secreții vaginale), pe cale sangvină (transfuzia sângelui sau a produselor sangvine contaminate, utilizarea de seringi infectate), pe cale transplacentară (de la mamă seropozitivă la copil, în timpul sarcinii) și în cursul alăptării materne.[32][33] Virusul fiind, de asemenea, prezent în lacrimi și în salivă, este deci posibilă o contaminare prin mușcătură, precum și o contaminare în cazul unui sărut profund, în caz de leziuni ale mucoaselor bucale. Totuși, n-a fost raportat niciun caz de transmisie de acest tip.
HIV nu se transmite prin: aer (respirație, tuse, strănut), atingere, pupături (sărut "uscat"), îmbrățișare, alimente, apă, băi sau WC-uri publice, ștranduri, înțepături de țânțari sau alte insecte, folosirea în comun a rechizitelor, jucăriilor, tacâmurilor și veselei. Este dovedit faptul că pisicile, câinii sau păsările de apartament nu pot fi infectate cu HIV, deci nu pot transmite acest virus. Cu toate acestea, este bine documentată în literatura de specialitate boala supranumită "SIDA pisicii", un virus asemănător (FIV – feline immunodeficiency virus) care, la feline, are consecințe asemănătoare infecției HIV la oameni, dar care nu poate traversa "bariera speciilor", adică omul nu poate fi infectat de acest virus.
Calea sangvină

Este un mod de transmisie puternic contaminant, riscul fiind evaluat la 90%, fie că este vorba de transfuzii, fie că se întâmplă prin injectarea de droguri pe cale venoasă. De asemenea, hemofilicii, care necesită injectări frecvente de produse de sânge, au fost deosebit de afectați de SIDA până când s-au luat măsurile preventive (verificarea și încălzirea produselor transfuzate) care să pună capăt acestei contaminări. Reutilizarea materialului medical (seringi de plastic, ace) fără sterilizarea lui, un act legat de penuria de material, este un factor subestimat de contaminare, a cărui importanță rămâne de evaluat și care justifică cea mai mare atenție, cel puțin individuală. Transmisia prin acele de acupunctură sau prin cele de tatuaj și prin lamele de ras este posibilă din punct de vedere teoretic.
Calea sexuală
Este calea de contaminare cea mai răspândită, toate practicile sexuale putând fi contaminante în diferite grade. În țările occidentale, ea privește încă în principal homosexualii masculini, dar boala se propagă în sânul populației heterosexuale, mai cu seamă în cursul raporturilor sexuale cu toxicomani deja contaminați. În țările în curs de dezvoltare, propagarea se face în majoritate pe cale heterosexuală. Transmisia infecției este favorizată de microtraumatismele mucoaselor și de bolile transmisibile sexual care antrenează ulcerații la nivelul organelor sexuale, prin raporturile sexuale în perioada fluxului menstrual (perioada cea mai contaminantă la femeia seropozitivă) și prin sodomie (coit anal), din cauza fragilității relative a mucoasei rectale.
Riscul de transmisie heterosexuală este mai puțin important decât cel legat de homosexualitate. Este suficient un singur raport care să fie contaminant. Se manifestă un dezacord în transmisia de la bărbat la femeie și de la femeie la bărbat, riscul părând să fie mai mare pentru o femeie de a fi contaminată de către un bărbat decât invers.
Contacte sexuale vaginale
HIV se găsește în fluidele sexuale ale unei persoane infectate. La bărbați, aceasta înseamnă fluidele care se elimină din penis înainte și în timpul actului sexual. Pentru o femeie, aceasta înseamnă că HIV se găsește în fluidele produse în vagin înainte și în timpul actului sexual pentru a ajuta la penetrare.
Dacă un bărbat cu HIV întreține contacte sexuale vaginale fără utilizarea prezervativului, fluidele infectate pot trece în sângele femeii prin cele mai mici tăieturi sau răni din corpul ei. O astfel de tăietură sau rană nu este întotdeauna vizibilă și ar putea fi atât de mică, încât nici femeia nu știe despre acest lucru. Dacă o femeie cu HIV întreține contacte sexuale fără utilizarea prezervativului, HIV poate ajunge în sângele bărbatului printr-o rană minusculă pe penis sau prin canalele din penis. Dacă există oricare contacte cu sângele în timpul sexului, aceasta sporește riscul infecției. Spre exemplu, ar putea fi sânge în vagin dacă actul sexual are loc în timpul perioadei de menstruație a femeii.
Contacte sexuale orale
Sexul oral cu un partener infectat poartă un anumit risc de infecție de asemenea. Fluidul infectat poate ajunge în cavitatea bucală a partenerului. Dacă acesta la rândul lui/ei are răni cât de mici în cavitatea bucală, inclusiv sensibilitate gingivală, virusul poate ajunge în sânge. Dar infecția ca rezultat al sexului oral pare să fie transmisă foarte rar.
Contacte sexuale anale
Dacă un cuplu întreține contacte sexuale anale, riscul infecției este mai mare decât în cazul întreținerii contactelor vaginale. Învelișul anal este mai delicat decât cel vaginal, astfel este mult mai probabil să fie deteriorat în timpul contactului, iar orice contact cu sângele în timpul sexului sporește riscul infecției.[34]
Transmisia de la mamă la copil
Transmiterea de la mamă la copil, numită transmitere "perinatală", poate avea loc în timpul sarcinii prin străbaterea de către virus a placentei, în timpul nașterii sau prin alăptare. Procentajul de transmisie a virusului de la mamă la făt în timpul sarcinii variază după starea clinică a femeii gravide. După studii efectuate în Europa, mai puțin de 20% dintre copiii născuți dintr-o mamă seropozitivă, dar care încă nu prezintă simptomele bolii, ar fi la rândul lor contaminați. În Africa, procentajul de transmisie constatat este de ordinul a 30 până la 40%, acest fapt fiind legat probabil de afecțiunile cu transmisie sexuală netratate, mai frecvente în Africa, și care favorizează penetrarea virală.
Toți copiii născuți din mame seropozitive sunt seropozitivi la naștere, deoarece ei poartă anticorpii mamelor lor. Atunci când nu sunt infectați, ei devin seronegativi spre vârsta de 15 până la 18 luni. Se poate încerca totuși să se verifice dacă este prezent chiar virusul începând cu vârsta de 3 luni, mulțumită tehnicilor de cultivare a virusurilor. Boala evoluează lent (în vreo zece ani) la aproximativ 75% dintre copii și foarte rapid (în mai puțin de 5 ani) la aproximativ 20% din cazuri.[12]
Există un risc de transmisie a HIV prin laptele matern.[34] Deși n-a fost încă posibil să se măsoare cu precizie, Organizația Mondială a Sănătății estimează că la copiii hrăniți la sân de mamele seropozitive până la 15% dintre infecțiile cu HIV ar putea fi ocazionate de alăptare, oricum nerecomandată, în țările occidentale, femeilor seropozitive sau bolnave de SIDA.
Infectarea intraspitalicească
Unii lucrători medicali au fost infectați cu HIV prin împunsături accidentale cu ace care conțin sânge infectat.[35] Foarte puțini au fost infectați ca urmare a expunerii la sângele infectat al pacienților prin tăieturi sau stropi de sânge.
Există doar câteva cazuri documentate de cazuri în care pacienții au fost infectați de un lucrător medical.
Riscul de contaminare
Riscul de contaminare poate fi apreciat, din considerente etice medicale, doar prin statistici retroactive sau în baza unor studii de laborator. Se știe că riscul este direct dependent de următorii factori:
- concentrația de viruși din produsul contaminat;
- contagiozitatea (virulența) virusului;
- transferul de celule infectate;
- starea generală a sistemului imun a celui expus.
Valoarea statistică depinde și de calea de transmitere, riscul prin contact sexual repetat cu o persoană infectată fiind mai mic decât cel care îi urmează unei înțepături. Mai mare chiar este riscul de transmitere de la mama netratată la făt (cu cca. 40%), iar cel de contaminare prin transfuzii este chiar de 95%. De asemenea, sunt cazuri în care o singură expunere a dus la infectare și sunt cazuri în care această infectare nu a avut loc chiar la expuneri repetate.
O altă afecțiune venerică mărește riscul de contaminare de 5–10 ori, o concentrație mare de viruși de 10–30 de ori. Cei nou infectați au o concentrație mai mare de virusuri în sânge pentru că corpul nu are în această perioadă anticorpi specifici care reduc concentrația virusului din sânge. Contactul sexual în timpul menstrei femeii este mai riscant pentru partener, bărbații circumciși au un risc mai scăzut.
Statistica de mai jos se bazează pe studii clinice efectuate în fazele subclinice, de latență a persoanelor infectate, la circa trei luni după infectare și înaintea izbucnirii bolii.
- Contactul sexual neprotejat cu un partener seropozitiv comportă un risc de 0,05–0,15 % la femei și 0,03–5,6% la bărbați.
- Infectarea prin practici sexuale orale: la bărbat (felație) riscul este mai mic dar nu poate fi exclus; la femei (cunnilingus) și prin anilingus este considerat ca fiind extrem de redus.
- În timpul contactului sexual anal se produc deseori mici ragade (zgârieturi) pe mucoasa anală. Pentru această practică riscul este de 0,82% la partenerul pasiv și 0,3% la partenerul activ (studiu efectuat la parteneri homosexuali).
- Alte practici sexuale, fără contact direct cu secreții sau sânge infectat au un risc extrem de scăzut de infectare.
- Infecția prin înțepăturile de ac depinde de situație. Riscul general este de 0,3% și crește în leziuni adânci (de 16 ori), urme vizibile de sânge pe ac sau acul a fost anterior într-o arteră sau venă (de 5 ori), concentrația crescută de viruși în sânge (de 6 ori). Riscul în cazul canulelor este mai ridicat decât la ace compacte (ac de seringă – canulă, ac de cusut – compact).
- Riscul de contaminare prin folosirea în comun a acelor de seringă (practică întâlnită la toxicomani dependenți de heroină) scade odată cu trecerea timpului dintre utilizările aceleiași seringi, ac de seringă, dar virusurile din interiorul canulei pot rămâne mult timp virulenți, uneori chiar zile întregi. Fierberea acelor poate distruge virusurile dacă se respectă timpul de sterilizare însă nu se poate efectua la acele uzuale din cauza amboului care este din plastic. O dezinfecție prin alcool sau substanțe dezinfectante nu este suficientă, pentru că nu se poate pleca de la presupunerea că substanța dezinfectantă a ajuns și în lumenul (canula) acului.
Semne și simptome


După infectare, în sângele persoanei infectate apar anticorpi specifici anti-HIV. Aceasta este seroconversia. Seroconversia nu se produce imediat după contactul dintre virus și sistemul imunitar. În cazul HIV, pentru un sistem imunitar sănătos, apariția anticorpilor necesită între 4 și 12 săptămâni din momentul infectării. Dacă sistemul imunitar este slăbit de alte boli sau afecțiuni (de exemplu diabet, cancer etc.), perioada în care el va produce anticorpii va fi mai îndelungată, de aproximativ 3–6 luni. Durata de 4–12 săptămâni necesară apariției anticorpilor specifici se numește fereastră imunologică. Anticorpii anti-HIV dovedesc reacția organismului față de infecția cu virus, dar sunt incapabili să distrugă virusul; în fapt, HIV își modifică structura pentru a scăpa de anticorpi.
În săptămânile care urmează infecției, un anume număr de pacienți suferă de tulburări trecătoare grupate sub denumirea de primo-infecție; la alții, infecția trece total neobservată. După o perioadă de latență, de o durată variabilă – în medie între 7 și 11 ani după seroconversie – în timpul căreia virusul continuă să se multiplice, manifestările clinice de SIDA apar la majoritatea pacienților, sub o formă fie minoră, fie majoră. Procentajul de pacienți care dezvoltă boala nu este cunoscut încă decât cu aproximație. La anumite persoane, perioada de latență este foarte scurtă (de la 1 la 3 ani). Există, de asemenea, subiecți seropozitivi, ziși supraviețuitori de lungă durată (long term survivors sau LTS) la care SIDA nu se declară decât după vreo 15 ani. La copil, evoluția este, în general, mai rapidă și mai gravă decât la adult. Două evoluții sunt posibile:
- o formă severă, cu prognostic sumbru, care se declară înaintea vârstei de 6 luni și se traduce prin semne neurologice grave și deficit imunitar foarte mare;
- o altă formă mai puțin gravă, cu evoluție cronică.
Faza acută a primo-infecției
Aceasta survine la 20 până la 50% dintre persoanele infectate, indiferent de modul de contaminare, în următoarele 15 zile sau 3 luni după contaminare. Această primo-infecție ia aspectul unei mononucleoze infecțioase: febră care poate dura și o lună, tumefacție a ganglionilor limfatici, curbaturi, dureri articulare, erupție cutanată care evocă o rujeolă – sau uneori urticarie – disfagie (greutate la înghițit) dureroasă. În cursul acestei faze au mai fost descrise și candidoze acute, care afectează mucoasele, ca și ulcerații bucale. Mult mai rar survin manifestări neurologice: meningită acută limfocitară, paralizie facială, mielopatie, neuropatie periferică, encefalită. Această primo-infecție dispare spontan în aproximativ o lună.
Faza de infecție cronică asimptomatică
Aceasta durează de la 1 la 7 ani (sau mai mult) și corespunde unei faze de multiplicare a virusului. Această perioadă poate să nu se traducă prin niciun simptom. În 20 până la 50% din cazuri, ea se manifestă prin adenopatii (umflarea ganglionilor limfatici) generalizate și persistente. Acestea sunt, în general, simetrice și afectează mai frecvent regiunile cervicală, maxilară, submaxilară și occipitală.
Forme minore ale infecției
Acestea semnalează o atingere încă moderată a sistemului imunitar. Infecțiile minore cutanate sau mucoase, virale sau micotice, nu sunt specifice infecției cu HIV, dar iau la subiecții afectați o formă cronică sau recidivantă: candidoze bucale (mărgăritărel) sau anogenitale, dermatită seboreică a feței, foliculite, prurigo, veruci, zona zoster. Bolile autoimune sunt relativ puțin frecvente. Se poate observa o parotidită (inflamație a glandei parotide), un sindrom al lui Raynaud (vasoconstricție care afectează mâinile în cursul expunerii lor la frig și antrenează o oprire a circulației arteriale, apoi o cianoză locală), un sindrom uscat (uscăciune excesivă a gurii și a ochilor, iar la femei și a vaginului), manifestări articulare inflamatorii și dureroase, miozite (inflamații dureroase ale țesuturilor musculare). Semnele generale constau într-o alterare a stării generale, într-o febră prelungită, transpirații, o slăbire, o diaree persistentă. Denumirea acestuia de sindrom înrudit cu SIDA (ARC) a fost abandonată.
SIDA declarată

Formele majore ale infecției, ori SIDA declarată, sunt, de asemenea, foarte variabile.
Atunci cand imunodepresia este majoră, riscul de infecții oportuniste este important; se numește infecție oportunistă o infecție legată de un microorganism (bacilul lui Koch responsabil de tuberculoză, de exemplu) care "profită" de starea precară a apărării imunitare pentru a se dezvolta. Aceste infecții sunt foarte des legate între ele, în cadrul aceluiași organ, ceea ce complică diagnosticarea și tratarea lor. Pe de altă parte, aceste infecții tind să recidiveze, ținând cont atât de persistența lor în mediu sau în organism, cât și de neameliorarea, chiar degradarea treptată a imunității pacientului.
Infecțiile bacteriene sunt mai frecvente în cursul infecției cu HIV. Tuberculoza afectează îndeosebi pacienții care trăiesc în condiții defavorabile (toxicomani, țări in curs de dezvoltare). Infecțiile fungice sunt socotite printre cele mai frecvente dintre cele oportuniste în cursul SIDA.
Infecțiile parazitare care afectează bolnavii de SIDA sunt în număr de patru:
- criptosporidioza care antrenează la imunodeprimați o diaree masivă responsabilă de o alterare a stării generale, de o puternică deshidratare, și este însoțită de febră și de dureri abdominale;
- microsporidioza ar putea fi responsabilă de 20 până la 30% din diareile inexplicabile;
- pneumocistoza constituie infecția inaugurală pentru SIDA în 15 până la 50% dintre cazuri dacă nu a fost instituit un tratament preventiv. Ea se manifestă printr-o tuse uscată și crescândă, și poate conduce la insuficiență respiratorie;
- toxoplasmoza duce, în cursul SIDA, la reactivarea unei infecții vechi, care trece neobservată. Ea antrenează tulburări neurologice majore în caz de localizare cerebrală.
Infecțiile virale observate în cursul SIDA privesc în special infecțiile cu virusuri latente, integrate în genomul anumitor celule, care sunt reactivate din cauza deficitului imunitar. Ele afectează 20 până la 50% dintre pacienți.
În afara infecțiilor oportuniste, cea de a doua mare manifestare a SIDA este dezvoltarea anumitor tumori canceroase: tumorile care afectează bolnavii de SIDA sunt sarcomul lui Kaposi și limfoamele maligne. Sarcomul lui Kaposi are o prevalență mai ridicată la pacienții seropozitivi homosexuali comparabil cu alți pacienți, ceea ce sugerează responsabilitatea unui agent transmisibil pe cale sexuală. Forma cutanată, cu leziuni plane, violacee, nedureroase, constituie expresia cea mai frecventă. Sunt posibile localizările viscerale, mai ales în caz de imunodepresie majoră. Limfoamele maligne sunt cauzate de o proliferare canceroasă a precursorilor limfocitelor, limfocitele T și B.
Candidoză bucală pseudomembranoasă la un pacient infectat
Leziuni cutanate asociate sarcomului Kaposi
Noduli în mucoasa duodenală a unui pacient seropozitiv
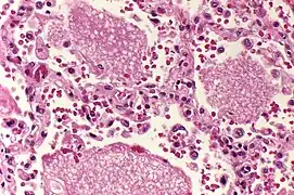
Spațiu alveolar ocupat de exsudat la un plămân cu Pneumocystis carinii
Sistemul de stadializare al OMS pentru infecția HIV
În 1990 OMS a grupat infecțiile și condițiile determinate de HIV prin introducerea unui sistem de stadializare pentru pacienții infectați cu HIV-1:
- stadiul I – infecția HIV este asimptomatică si nu reprezintă SIDA;
- stadiul II – include manifestările mucocutanate minore și infecții recurente ale tractului respirator;
- stadiul III – include diaree cronică inexplicabilă pentru mai mult de o lună, infecții bacteriene severe și tuberculoză pulmonară;
- stadiul IV – cuprinde toxoplasmoza cerebrală, candidoza esofagiană, traheală, bronșică sau pulmonară și sarcom Kaposi.
Superinfecția HIV
Este o condiție în care persoana cu infecție HIV deja stabilită dobândește o a doua tulpină virală HIV. A doua tulpină determină progresia rapidă a bolii sau rezistența la medicamente. Până în 2005 au fost detectate 16 astfel de cazuri în toată lumea. Persoanele cu HIV prezintă risc de superinfecție dacă continuă să împartă acele sau nu folosesc prezervative cu alți parteneri sexuali HIV.
Diagnostic

Diagnosticarea infecției cu HIV se face prin punerea în evidență în sânge a anticorpilor îndreptați împotriva virusului. Diagnosticul nu poate fi stabilit cu certitudine decât după trei luni de la momentul infectării (perioada mută în timpul căreia anticorpii sunt prezenți în cantitate prea mică, pentru a fi decelabili). Se face apel la două teste specifice, testele ELISA și Western-Blot. Testul ELISA – care este utilizat în primul rând – dând uneori rezultate fals pozitive, este controlat cu ajutorul testului Western-Blot. Depistarea este obligatorie pentru donatorii de sânge sau de organe. Testarea este în mod deosebit recomandată femeilor gravide sau persoanelor care doresc să conceapă un copil, precum și subiecților expuși (toxicomani, prostituate etc.). În majoritatea țărilor, medicul este dator să declare autorităților sanitare orice caz de SIDA de care are cunoștință. Această declarație nu este nominativă, anonimatul bolnavului fiind astfel respectat.
Răspândirea pe glob

Nu există date
<0,1%
0,1–0,5%
0,5–1%
1–5%
5–15%
15–50%

SIDA a devenit o epidemie globală, care afectează oameni din orice țară, indiferent de pregătire. Statisticile Națiunilor Unite estimează că la sfârșitul anului 2014 aproximativ 36,9 milioane de persoane sunt infectate cu HIV la nivel global.[36] 34 de milioane de persoane au murit deja de la începutul anilor 1980, din cauza complicațiilor care țin de SIDA.[37] Toate informațiile despre prevalența HIV sunt doar o estimare a numărului actual real, pentru că, deși o persoană este voluntară pentru a da un test de sânge, statutul ei la capitolul HIV este necunoscut. Prin urmare, prevalarea în unele locuri sau regiuni poate fi mai mare decât estimarea oficială.
Europa de Est și Asia Centrală

Majoritatea epidemiilor în această regiune sunt încă la început, ceea ce înseamnă că, odată cu timpul, intervențiile efective le pot preveni de la înrăutățirea lor. Cu toate acestea, din cauza nivelurilor de comportamente riscante cum ar fi consumarea drogurilor intravenoase și întreținerea relațiilor sexuale neprotejate între tineri, numărul persoanelor infectate cu HIV în această regiune continuă să crească dramatic. Rusia și Ucraina sunt, în prezent, cele mai afectate țări din această regiune, însă HIV continuă să se răspândească și în alte țări cum ar fi: Letonia, Estonia, Belarus, Kazahstan și Moldova. Persoanele care trăiesc în prezent cu HIV în Rusia reprezintă 70% din toate persoanele infectate cu HIV din această regiune. Principala cale de transmitere a virusului în această regiune este consumul de droguri prin injectare, însă aceasta începe să se schimbe cu o creștere rapidă și însemnată a transmiterii HIV prin sexul heterosexual, în așa fel permițându-i virusului să se încadreze și în populația generală.
O caracteristică proeminentă a epidemiei în această regiune este vârsta fragedă a persoanelor infectate. Mai mult de 80% din persoanele seropozitive din această regiune au vârsta sub 30 de ani, în contrast cu America de Nord și Europa de Vest, unde numai 30% din persoanele infectate au vârsta sub 30 de ani. Experții cred că anume comportamentul riscant larg răspândit (cum ar fi injectarea cu droguri sau sexul neprotejat) printre persoanele tinere este de vină pentru acest fapt. Folosirea rară a prezervativului printre tineri în timpul relațiilor sexuale sporește riscul transmiterii HIV. Potrivit unui sondaj, în Rusia, mai puțin de jumătate dintre adolescenții cu vârsta cuprinsă între 16–20 de ani au folosit prezervative în timpul activităților sexuale. Procentajul prostituatelor care raportează folosirea permanentă a prezervativului abia atinge 50%, pe când printre consumatorii de droguri intravenoase mai puțin de 20% raportează folosirea permanentă a prezervativului. Nefolosirea consistentă a prezervativului, mai ales printre consumatorii de droguri, va mări rata creșterii transmiterii prin sex decât prin folosirea de droguri.
România
Un angajat CFR care se ocupa cu întreținerea vagoanelor de dormit pe rutele internaționale a fost cel dintâi român depistat cu virusul HIV. Se întâmpla în toamna anului 1985. A fost primul asemenea caz din întregul spațiu comunist.[38] Din 1989 au fost semnalate cazuri la copii. Numai în 1990 au fost diagnosticate peste 1.000 de persoane infectate, cea mai mare parte fiind copii. De la apariția în 1985 a primului caz de HIV/SIDA, în România au fost înregistrați 16.077 de bolnavi, 5.534 au murit, iar 563 au fost pierduți din evidență.[39] În prezent, în România trăiesc cu această maladie 9.980 pacienți. Potrivit statisticilor, majoritatea celor infectați sunt tineri între 20 și 24 de ani. Studiul arată că cele mai multe cazuri sunt în București, iar cei mai expuși contaminării sunt prostituatele, utilizatorii de droguri, marinarii și șoferii.[39]
Principalele caracteristici ale HIV/SIDA în România sunt:[40]
- preponderența infectiei în rândul copiilor, majoritatea cazurilor fiind reprezentate de copii născuți în perioada 1988–1990;
- peste 70% din totalul copiilor au fost infectați pe cale nozocomială (în timpul unor intervenții medicale) sau prin transfuzii de sânge;
- creșterea numărului de cazuri nou diagnosticate în rândul adulților, și în special în rândul tinerilor;
- perspectiva creșterii cazurilor de transmitere verticală (de la mamă la făt) și prin droguri injectabile, odată cu creșterea numărului de adulți seropozitivi și a consumatorilor de droguri;
- sporirea numărului de persoane seropozitive care necesită îngrijire medicală și tratament. Conform datelor Ministerului Sănătății și Comisiei Naționale de Luptă Anti-SIDA, la 31 decembrie 2005 aproximativ 6.400 persoane beneficiau de tratament ARV.
Africa Subsahariană



Africa Subsahariană rămâne de departe cea mai afectată regiune de epidemia bolii SIDA. Această regiune are peste 10% din populația globului pamântesc, însa în același timp este și casă pentru două treimi (64%) din toată populația care trăiește cu HIV și mai mult de trei pătrimi (76%) din toate femeile care trăiesc cu HIV. De fapt, se estimează că femeile africane sunt mai predispuse (cel puțin de 1,2 ori) la infectarea cu HIV decât bărbații. Epidemia este generalizată (1% HIV prevalează printre peroanele de 15–49 ani) în aproape fiecare regiune. Șapte țări sud-africane (Botswana, Lesotho, Namibia, Africa de Sud, Zambia și Zimbabwe) au o prevalare a ratelor pentru adulți mai sus de 20%. Numărul deceselor de SIDA este în creștere, în principal din cauza accesului sărac la medicamentele antiretrovirale.
Cea mai mare rată a pandemiei este prin urmare la sud de deșertul Sahara, unde trăiesc circa 26 milioane de persoane seropozitive. Încă n-a putut fi stabilit cu siguranță motivul ritmului accelerat de răspândire, dar un rol mare i se atribuie transmiterii informaționale a pericolului care pleacă de la HIV prin mass-media în America de Nord și Europa. În Africa a rămas timp de încă aproape 20 de ani o temă tabuizată, timp în care a putut să se răspândească nestingherită.
Caraibele
Cu o estimare a ratei prevalării HIV între adulți de aproximativ 2,3%, Caraibele constituie a doua cea mai afectată regiune din lume după Africa de sub Sahara. De fapt, în această regiune, SIDA a devenit cauza principală a mortalității în rândul persoanelor cu vârsta cuprinsă între 15–44 de ani. SIDA este stabilită foarte bine în această regiune, în special, în trei țări care au o prevalare HIV între adulți de cel puțin 3%: insulele Bahamas, Haiti și Trinidad și Tobago. Epidemia în Caraibe este predominant heterosexuală și în multe regiuni ea este concentrată asupra prostituatelor. Cu toate acestea, incidența HIV creste și în rândul populației tinere. Puerto Rico reprezintă o excepție în această regiune, deoarece metoda transmiterii este prin injectarea drogurilor.
Asia de Sud și de Sud-Est

Această regiune a Asiei de Sud și de Sud-Est are o varitetate de epidemii SIDA, un număr mare de infectări cu HIV și o mortalitate ridicată din cauza bolii SIDA. Cea mai afectata țară din această regiune este India, unde aproximativ între 2.200.000 și 7.600.000 de persoane au fost infectate până la sfârșitul anului 2003. În unele orașe prevalarea a mai mult de 50% a fost depistată printre prostituate, în timp ce printre consumatorii de droguri HIV prevalează cu o rată între 60% și 75%. În vecinătate, Bangladesh, Nepal și Pakistan, prevalarea națională a HIV este scăzută, dar comportamentul riscant cum ar fi consumarea drogurilor intravenoase, este atât de răspândit încât epidemiile foarte serioase se pot dezvolta în viitorul apropiat.
Trei țări din Asia de Sud-Est au experimentat deja epidemii serioase naționale: Cambodgia, Myanmar și Thailanda. Rata prevalării HIV în Thailanda și Cambodgia a rămas stabilă în anii recenți, datorită eforturilor de prevenire, în special a folosirii prezervativului în întreținerea relațiilor sexuale pentru prostituate și scăderea frecvenței bărbaților de a avea relații cu prostituate. Cu toate acestea, transmiterea HIV între parteneri a devenit o cauză proeminentă. În Vietnam, prevalarea HIV printre adulți este scăzută, însă incidența injectării cu droguri în rândul consumatorilor indică faptul că este posibilă o epidemie serioasă. În Indonezia este distinctă o epidemie gravă, datorită nefolosirii prezervativului, chiar și printre prostituate.
Asia de Est
În Asia de Est numărul persoanelor infectate a crescut semnificativ în ultimii ani, în special în China care avea un număr de 180.000 de noi infectări în 2002 și 2003. De fapt, China numără în jur de 90% din persoanele cu HIV/SIDA în această regiune. Numărul total de persoane care trăiesc cu HIV în Asia de Est a crescut cu până la 50% în anii 2002–2004. În alte țări din această regiune prevalarea națională a HIV printre adulți rămâne sub 1%, însă prevalează printre anumite populații, cum ar fi consumatorii de droguri, a căror număr este foarte mare. Mai mult, dovezile arată că consumul de droguri intravenoase crește (cu o proporție înaltă a celor care folosesc ace și seringi contaminate), și că folosirea prezervativului este la un nivel scăzut printre prostituate și alte grupuri vulnerabile, cum ar fi bărbații care au relații sexuale cu alți bărbați. În Japonia s-a înregistrat o creștere atât a infecțiilor cu HIV, cât și a altor boli cu transmitere sexuală (BTS), în contextul unei creșteri a activităților sexuale printre tinerii japonezi.
America de Nord

În America de Nord, majoritatea persoanelor care trăiesc cu HIV au acces la un tratament antiretroviral, care le permite sa fie mai sănătoși și să aibă o viață mai lungă. Aproximativ o treime din noile infecții din această regiune apar în urma contactului heterosexual. În Statele Unite și Canada, aproximativ 25% din infecțiile acaparate de HIV sunt din cauza consumului de droguri, în vreme ce sexul homosexual între bărbați însumează până la 42% din cazurile de infectare cu HIV în 2002. În Statele Unite, în jur de o jumătate din 40.000 de noi infecții apar anual între afro-americani (12% din populația țării), cu o proporție înaltă în special pentru femeile afro-americane. De fapt, SIDA este acum o cauză principală a deceselor femeilor afro-americane cu vârsta cuprinsă între 25–34 de ani. Multe dintre aceste femei nu au un comportament cu risc ridicat, însă contractă HIV prin intermediul partenerilor cu care întrețin relații sexuale, o bună parte cu alți bărbați, sau consumă droguri. Cu toate acestea, numai un număr foarte mic de femei seropozitive au relatat ca știau faptul că partenerul lor avusese relații sexuale cu un alt bărbat. Potrivit Centrului de Control și Prevenire a Bolii, aproximativ 90% din afro-americanii tineri seropozitivi care au avut relații sexuale cu alți bărbați nu știu că sunt infectați. În general, este estimat că aproximativ o pătrime din cele aproximativ 1.000.000 de persoane care trăiesc cu HIV/SIDA nu cunosc acest lucru.
Europa de Vest
Numărul anual de decese din cauza epidemiei de SIDA a scăzut în Europa de Vest, datorită accesibilității la medicamentele și tratamentele antiretrovirale. În mai multe țări, care raportează cazuri de HIV, contactul heterosexual ar putea să devină un mod de transmitere a HIV. Cu toate acestea, sexul între bărbați rămâne un aspect important al epidemiei în Europa de Vest. Este cel mai răspândit mod de transmitere în Germania, Grecia și Olanda. În sfârșit, aproximativ 10% din cazurile noi diagnosticate cu HIV în toată Europa de Vest în anul 2002 au fost din cauza consumului de droguri prin injectare; în Portugalia acest mod a cauzat aproape o jumătate din toate cazurile înregistrate în 2002.
O creștere semnificativă în numărul de infecții cu HIV raportat în 2002 a inclus persoanele care credeau că sunt infectate din cauza vizitării sau locuirii într-o țară cu o prevalență ridicată. De exemplu, în Marea Britanie, 70% din cazurile de infectare transmise heterosexual erau înregistrate printre persoanele care trăiseră în una din țările cu epidemii.
Africa de Nord și Orientul Mijlociu
Există potențialul pentru o creștere considerabilă a numărului de persoane infectate în Africa de Nord și Orientul Mijlociu. Cea mai afectată țară până acum este Sudan, în special în partea de sud, unde epidemia este concentrată în populația heterosexuală. O statistică indică o prevalare a adulților infectați de aproape 2,3%, însă conflictul împiedică atât o examinare a epidemiei, cât și o dezvoltare a unui tratament cu efect. În majoritatea celorlalte țări, răspândirea HIV pare să crească. Cu toate acestea, există prea puține informații referitoare la eventuale persoane infectate, incluzând bărbații care au relații sexuale cu bărbați și consumatorii de droguri (ambele acte sever oprimate sub legea islamică). De asemenea, par a fi semnificative migrațiile persoanelor infectate în alte țări pentru căutarea unor tratamente sau remedii, realizând astfel o sporire a numărului celor infectați în țările respective.
America Latină

America Latină este caracterizată printr-o concentrare mare de epidemii, în special în America de Sud. De fapt, majoritatea seropozitivilor din această regiune trăiesc în Brazilia. Multe dintre cazurile de infectări cu HIV din America de Sud se datorează injectării drogurilor și sexului între bărbați (cu o succesiune de transmitere heterosexuală a partenerilor lor). În Columbia și Peru, incidența HIV este mare între bărbații care au relații sexuale cu alți bărbați. În același timp, folosirea prezervativului este la un nivel foarte scăzut.
În America Centrală, majoritatea cazurilor de HIV apar în exclusivitate din cauza relațiilor sexuale (atât heterosexuale, cât și homosexuale). În câteva dintre țările Americii Centrale, prevalarea națională a HIV este de aproximativ 1%. Cu toate acestea, HIV prevalează printre prostituate în mod diferit în diferite țări, cu aproape mai puțin de 1% în Nicaragua și până aproape de 10% în Honduras. Prevalarea HIV între bărbații care au sex cu alți bărbați este foarte ridicată în toată America Centrală, cu valori variind de la 9% în Nicaragua, la 18% în El Salvador.
Oceania
Distanța dintre insule în Oceania și nivelul diferit de dezvoltare în această regiune se reflectă și în numărul foarte diferit, dar destul de mare, al cazurilor de infectări cu HIV/SIDA. Papua Noua Guinee are acum cea mai înaltă rată de infecții cu HIV înregistrată în Oceania, cu estimarea prevalării HIV de aproape 1% printre femeile însărcinate. Transmiterea în această țară are loc, în primul rând, prin relații heterosexuale și este "ajutată" de nefolosirea prezervativelor în timpul relațiilor sexuale, plus nivelul foarte ridicat al altor boli cu transmitere sexuală. În alte insule din această regiune, frecvența HIV este scăzută, însa prevalează alte boli cu transmitere sexuală, ceea ce arată că multe persoane riscă să dobândească și HIV în timpul relațiilor sexuale.
Statistici
| An | Persoane cu HIV/SIDA | Infecții noi | Număr de decese |
|---|---|---|---|
| 2007[41] | 33,200,000 | 2,500,000 | 2,100,000 |
| 2008[42] | 33,400,000(▲ 0,6%) | 2,700,000(▲ 8%) | 2,000,000(▼ 4,8%) |
| 2009[43] | 33,300,000(▼ 0,3%) | 2,600,000(▼ 3,7%) | 1,800,000(▼ 10%) |
| 2010[44] | 34,000,000(▲ 2,1%) | 2,700,000(▲ 3,8%) | 1,800,000(▬) |
| 2011[45] | 34,000,000(▬) | 2,500,000(▼ 7,4%) | 1,700,000(▼ 5,6%) |
| 2012[46] | 35,300,000(▲ 3,8%) | 2,300,000(▼ 8%) | 1,600,000(▼ 5,9%) |
| 2013[47] | 35,000,000(▼ 0,8%) | 2,100,000(▼ 8,7%) | 1,500,000(▼ 6,2%) |
| 2014[48] | 36,900,000(▲ 5,4%) | 2,000,000(▼ 4,8%) | 1,200,000(▼ 20%) |
| 2015[49] | 36,700,000(▼ 0,5%) | 2,100,000(▲ 5%) | 1,100,000(▼ 8,3%) |
Tratament

Acesta cuprinde două capitole: tratamentele de inhibiție a virusului și tratamentele preventive sau curative ale diferitelor boli dezvoltate. De altfel, un oarecare număr de reguli de viață sunt recomandate persoanelor seropozitive, cu scopul de a frâna evoluția spre SIDA declarată și transmisia bolii.
Tratamentul împotriva virusului se bazează pe mecanismele care inhibă replicarea virală, ca zidovudina (AZT) sau didanozina. Se folosesc, de asemenea, antiproteazele, proteazele fiind enzimele care permit virusului să fabrice proteine necesare supraviețuirii sale. Uneori, este util să fie asociate unele cu altele până la trei astfel de medicamente (triterapie), cu scopul de a-i creste eficacitatea globală. Aceste diferite metode de tratament antrenează o ameliorare provizorie a stării bolnavului. În plus, după studii recente, luarea de AZT de către o femeie gravidă contaminată ar diminua cu 50% riscul contaminării fătului. Totuși, nicio terapeutică nu permite actualmente să se aibă în vedere o eradicare a virusului din organism, deoarece el este integrat în genomul limfocitelor pe care le infectează.
Tratamentele preventive sau curative, a consecințelor deficitului imunitar (infecții oportuniste, tumori), se bazează pe administrarea de antibiotice, de antifungice și de antimitotice (ehimioterapie, interferon), precum și pe radioterapie și chirurgie.
Sfaturile pentru igiena vieții cuprind precauțiile care trebuie să fie luate de o persoană seropozitivă pentru a nu se recontamina. În fapt, contaminările multiple, prin aporturile repetate de virus pe care le antrenează, precipită evoluția bolii, deci trecerea la faza de SIDA declarată. Seropozitivului i se mai recomandă să-și asigure o urmărire medicală regulată: medicamente administrate preventiv sau precoce și asociate cu o bună igienă a vieții (alimentație corectă, curățenie corporală, odihnă, abținerea de la medicamente sau de la droguri care pot deprima suplimentar imunitatea, abținerea de la activități care riscă provocarea unor răniri), întârzie deosebit de eficace evoluția bolii.
Terapia HAART
Highly Active Antiretroviral Therapy (HAART) este denumirea folosită pentru complexul mai multor medicamente antiretrovirale folosite concomitent. Scopul terapiei este reducerea numărului de viruși sub limita detectabilității și redresarea sistemului imun pentru a preveni astfel apariția acelor boli care definesc declanșarea SIDA.
Terapia HAART constă de regulă din două medicamenete asemănătoare inhibitorilor de transcriptază nucleozidică inversă NRTI (nucleoside reverse transcriptase inhibitor) și un inhibitor de reverse transcriptază nenucleozidic NNRTI (non-nucleoside reverse transcriptase inhibitor), un inhibitor de protează PI (protease inhibitor) sau un al treilea analog nucleozidic. Ambele combinații medicamentoase au avantaje și dezavantaje și nu se poate spune care din ele este de recomandat, decizia luându-se pentru fiecare caz în parte. Combinația 2 NRTI + 1 PI a fost studiată în timp îndelungat, concluziile efectelor clinice trase din acest studiu reflectând un spectru larg. Dezavantajul este numărul mare de tablete necesare pentru terapia zilnică care duce o acceptanță redusă din partea pacientului. În plus mai există pericolul toxicității prin administrare de lungă durată. Combinația 2 NRTI + 1 NNRTI are se pare o putere de frânare a înmulțirii virale asemănătoare dar nu există încă rezultate din studii clinice ci doar studii de laborator. Acceptanța din partea pacientului este mai bună pentru că NNRTI este administrat oral doar o dată iar NRTI de două ori pe zi. Combinația din 3 NRTI (AZT, 3CT, Abacavir) este administrată cel mai ușor, presupune cele mai puține tablete. Substanțele active se găsesc toate trei într-o singură tabletă care se administrează de două ori pe zi. Alte combinații de NRTI nu pot fi incluse într-o singură tabletă din cauza drepturilor de patent asupra lor. În India, Africa de Sud, Brazilia și Kenya se produc și generice care conțin 2 NRTI + NNRTI. Se pare că există puține interacțiuni cu alte medicamente iar în caz de rezistență medicamentoasă mai stau încă două clase terapeutice la dispoziție. Nu există însă studii de lungă durată cu punct final pentru această terapie cu generice, iar efectul inhibitor al dezvoltării virale pare a fi mai mic.
Note
- WikiSkripta
- https://www.hiv.gov/hiv-basics/overview/about-hiv-and-aids/symptoms-of-hiv, accesat în Lipsește sau este vid:
|title=(ajutor) - http://www.cdc.gov/hiv Lipsește sau este vid:
|title=(ajutor) - Monarch Disease Ontology release 2018-06-29[*] Verificați valoarea
|titlelink=(ajutor); - Simona Stiuriuc. „SIDA”. ROmedic.
- Mirela Gruia. „SIDA”. CSID.
- Patrice Morand. „Le Syndrome d'Immunodéficience Acquise (SIDA) : « Enjeux et leçons d'une Pandémie »” (PDF). Université Joseph Fourier de Grenoble (în franceză). Arhivat din original (PDF) la . Accesat în .
- „AIDS (Acquired Immune Deficiency Syndrome)”. Institute of Human Virology (în engleză). Arhivat din original la . Accesat în .
- „The Nobel Prize in Physiology or Medicine 2008”. Nobelprize.org (în engleză).
- F. Barre-Sinoussi, J. C. Chermann, L. Montagnier; et al. (). „Isolation of a T-lymphotropic retrovirus from a patient at risk for acquired immune deficiency syndrome (AIDS)”. Science (în engleză). 220 (4599): 868–871. doi:10.1126/science.6189183. PMID 6189183.
- Mikulas Popovic, M. G. Sarngadharan, Elizabeth Read, Robert C. Gallo (). „Detection, Isolation, and Continuous Production of Cytopathic Retroviruses (HTLV-III) from Patients with AIDS and Pre-AIDS” (PDF). Science (în engleză). 224 (4648): 497–500. PMID 6200935.
- „Sida”. SfatulMedicului.ro.
- T. Zhu, B. T. Korber, A. J. Nahmias, E. Hooper, P. M. Sharp, D. D. Ho (). „An African HIV-1 sequence from 1959 and implications for the origin of the epidemic”. Nature (în engleză). 391 (6667): 594–597. PMID 9468138.
- „Pneumocystis Pneumonia --- Los Angeles”. Morbidity and Mortality Weekly Report (în engleză). 30 (21): 1–3. .
- „Epidemiologic Notes and Reports Update on Kaposi's Sarcoma and Opportunistic Infections in Previously Healthy Persons -- United States”. Morbidity and Mortality Weekly Report (în engleză). 31 (22): 300–301. .
- „A Cluster of Kaposi's Sarcoma and Pneumocystis carinii Pneumonia among Homosexual Male Residents of Los Angeles and range Counties, California”. Morbidity and Mortality Weekly Report (în engleză). 31 (23): 305–307. .
- „Epidemiologic Notes and Reports Pneumocystis carinii Pneumonia among Persons with Hemophilia A”. Morbidity and Mortality Weekly Report (în engleză). 31 (27): 365–367. .
- L. M. Aledort (septembrie 1983). „AIDS: an update”. Hospital practice (Office ed.) (în engleză). 18 (9): 159–165, 169–171. PMID 6411589.
- „About World AIDS Day”. World AIDS Day (în engleză).
- Lawrence K. Altman (). „Children's AIDS Study Finds AZT Ineffective”. The New York Times (în engleză). Washington.
- „SAQUINAVIR”. PubChem (în engleză).
- „Nevirapin Teva, INN-nevirapine” (PDF). Europäische Kommission (în germană).
- „Enfuvirtid”. DocCheck Flexikon (în germană).
- Treating 3 million by 2005: Making it happen (în engleză). WHO. ISBN 92-4-159112-9.
- „SIDA”. ROmedic.
- „Ce este HIV?”. Viața cu HIV.
- gp120 și gp41 sunt receptori de membrană.
- CCR5 este o proteină de pe suprafața celulelor albe din sânge, care este implicată în sistemul imunitar.
- Nuno R. Faria; et al. (). „The early spread and epidemic ignition of HIV-1 in human populations”. Science. 346 (6205): 56–61. doi:10.1126/science.1256739.
- „După 20 de ani de căutări s-a descoperit originea virusului HIV”. Gândul. .
- Alin Motogna (). „După zeci de ani de căutări a fost identificată originea virusului HIV”. Descoperă.ro.
- „How Do You Get HIV or AIDS?”. AIDS.gov (în engleză).
- „HIV Transmission”. Centers for Disease Control and Prevention (în engleză).
- „How Do You Get HIV?”. AVERT (în engleză).
- „HIV and AIDS - Causes”. NHS (în engleză).
- „Global summary of the HIV/AIDS epidemic, December 2014”. World Health Organization (în engleză).
- „Global HIV/AIDS Overview”. AIDS.gov (în engleză).
- Cristian Delcea (). „HIV/SIDA a ajuns în România cu trenul. Povestea primului bolnav”. Adevărul.
- „7000 de persoane infectate cu HIV pe zi! In Romania 340 de noi cazuri pe an”. Stirile Pro TV. .
- „HIV/SIDA in cifre”. Stop Sida. Arhivat din original la . Accesat în .
- AIDS epidemic update (PDF) (în engleză). UNAIDS. decembrie 2007. ISBN 978-92-9-173621-8.
- „AIDS epidemic update” (PDF). UNAIDS (în engleză). noiembrie 2009. ISBN 978-92-9173-832-8.
- UNAIDS Report on the global AIDS epidemic 2010 (în engleză). UNAIDS.
- „2011 UNAIDS World AIDS Day Report” (PDF). UNAIDS (în engleză).
- UNAIDS report on the global AIDS epidemic 2012 (PDF) (în engleză). UNAIDS. ISBN 978-92-9173-592-1.
- UNAIDS report on the global AIDS epidemic 2013 (PDF) (în engleză). UNAIDS. ISBN 978-92-9253-032-7.
- „The Gap Report” (PDF). UNAIDS (în engleză).
- „Fact sheet 2015”. UNAIDS (în engleză).
- „Fact sheet 2016” (PDF). UNAIDS (în engleză).
