Cancer
Cancerul cunoscut sub denumirea științifică de tumoare malignă sau neoplasm malign, este un grup de boli ce implică dezvoltarea anormală a celulelor cu potențial de a invada sau a se răspândi în alte părți ale corpului.[2][3] Nu toate tumorile sunt canceroase; tumorile benigne nu se răspândesc la alte organe.[3] Posibile semne și simptome includ, printre altele: un nodul nou apărut, sângerări anormale, tuse prelungită, pierdere în greutate fără explicație și modificări ale scaunelor.[4] În timp ce aceste simptome pot indica existența cancerului, acestea pot apărea și din cauza altor probleme.[4] Există peste 100 de tipuri diferite de cancer care afectează corpul uman.[3]
| Cancer | |
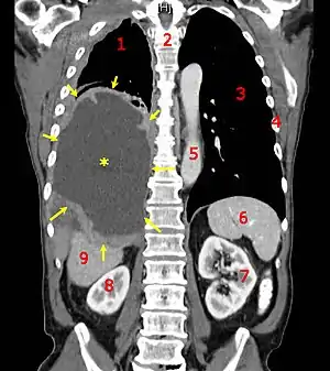
![]() Tomografia computerizată arată prezența mezotilomului malign Legendă: Mezoteliomul malign (cancer al mezoteliului cutiei toracice) este evidențiat prin săgeți de culoare galbenă; eufusiunea pleurală - prin stea galbenă. Cifrele indică: 1 și 3 plămâni, 2 coloană vertebrală, 4 coaste, 5 aortă, 6 splină, 7 - 8 rinichi, 9 ficat. | |
| Specialitate | oncologie |
|---|---|
| Cauze | causes of cancer[*] infectious causes of cancer[*] |
| Clasificare și resurse externe | |
| ICD-9 | 140—239 |
| ICD-10 | C00—C97 |
| ICD-11 | |
| ICD-9-CM | 199[1] |
| DiseasesDB | 28843 |
| MedlinePlus | 001289 |
| MeSH ID | D009369 |

Fumatul este cauza a circa 22% din decesele cauzate de cancer.[2] Alte 10% se datorează obezității, unei diete necorespunzătoare, lipsei de activitate fizică și consumului de alcool.[2] Printre alți factori se numără anumite infecții, expunere la radiații ionizante și poluanților de mediu.[5] În țările în curs de dezvoltare aproape 20% din cancere sunt cauzate de infecții ca hepatita B, hepatita C și papilomavirusului uman.[2] Acești factori acționează, cel puțin parțial, prin modificarea genelor unei celule.[6] În mod obișnuit, multe asemenea modificări genetice sunt necesare până la dezvoltarea sau apariția cancerului.[6] Aproximativ 5–10% din cancere se datorează defectelor genetice moștenite ereditar, de la părinți.[7] Cancerul poate fi detectat prin anumite semne și simptome sau prin teste de depistare a cancerului.[2] Apoi, în mod obișnuit, se fac alte analize și investigații prin imagistică medicală și se confirmă prin biopsie.[8]
Multe tipuri de cancer pot fi prevenite prin menținerea unei greutăți corporale sănătoase, fără fumat și fără consum excesiv de alcool, consumând legume, fructe și cereale integrale din abundență, cu vaccinurile contra anumitor boli infecțioase, fără a consuma prea multă carne roșie și evitând expunerea excesivă la soare.[9][10] Depistarea timpurie prin teste de depistare este utilă în cazul cancerului cervical și colorectal.[11] Beneficiile testelor de depistare în cazul cancerului mamar sunt controversate.[11][12] Cancerul este adesea tratat printr-o combinație de radioterapie, operație, chimioterapie și terapie vizată.[2][13] Managementul durerii și a simptomelor joacă un rol important în îngrijirea bolnavilor. Îngrijirea paliativă este în special importantă în cazul bolnavilor în stadiu avansat.[2] Șansele de supraviețuire depind de tipul de cancer și gradul bolii la începutul tratamentului.[6] La copiii sub 15 ani la momentul diagnozei rata de supraviețuire de cinci ani în țările în curs de dezvoltare este de 80%.[14] În cazurile de cancer în Statele Unite, rata medie de supraviețuire de cinci ani este atinsă de 66% din bolnavi.[15]
În 2012 s-au depistat circa 14,1 milioane de noi cazuri de cancer la nivel global.[6] Acestea au rezultat în circa 8,2 milioane de morți adică 14.6% din totalul deceselor umane.[6][16] Cele mai frecvente tipuri de cancer la bărbați sunt cancerul pulmonar, cancerul de prostată, cancerul colorectal și cancerul de stomac, iar la femei cele mai des întâlnite tipuri de cancer sunt cancerul mamar, cancerul colorectal, cancerul pulmonar și cancerul cervical.[6] Cancerul de piele în afară de melanom nu este inclus în aceste statistici iar dacă ar fi inclus, ar reprezenta cel puțin 40% din numărul total al cazurilor.[17][18] La copii leucemia limfoblastică acută și tumorile creierului sunt cele mai comune cu excepția Africii unde limfomul non-Hodgkin este cel mai răspândit.[14] În 2012 circa 165.000 copii sub vârsta de 15 ani au fost diagnosticați cu cancer. Riscul apariției cancerului sporește semnificativ odată cu înaintarea în vârstă și tot mai multe cazuri de cancer apar în special în țările dezvoltate.[6] Ratele cresc pe măsura creșterii longevității și schimbării stilului de viață în țările în curs de dezvoltare.[19] Implicațiile financiare legate de cancer au fost estimate la $1,16 trilioane dolari americani pe an în 2010.[20]
Cauze
Substanțe chimice

Expunerea la anumite substanțe a fost legată de anumite tipuri de cancer. Aceste substanțe se numesc agenți cancerigeni.
Fumul de tutun, de exemplu provoacă 90% din cancerul pulmonar [21]. De asemenea, provoacă cancer în laringe, cap, gât, stomac, vezică, rinichi, esofag și pancreas.[22] Fumatul conține peste cincizeci de agenți cancerigeni cunoscuți, inclusiv nitrozamine și hidrocarburi aromatice policiclice [23].
Tutunul este responsabil pentru aproximativ unul din cinci decese cauzate de cancer în întreaga lume [23] și aproximativ unul din trei în lumea dezvoltată.[24]
În Europa de Vest, 10% din cazurile de cancer la bărbați și 3% în cazurile de cancer la femei sunt atribuite expunerii la alcool, în special cancerele hepatice și ale tractului digestiv.[25] Cancerul provenit din expunerea la substanțe legate de locul de muncă poate provoca între 2 și 20% dintre cazuri, [26] cauzând cel puțin 200 000 de decese [27].
Infecții virale
Cauzele virotice ale diverselor tipuri de cancer:
- Hepatita B și C - ambele conduc la cancer hepatic;
- Virusul Papilloma HPV - cancer cervical;
- Celula Merkel poliomavirus - cancer de piele;
- Citomegalovirus - duce la apariția tumorilor pe creier chiar la tinerețe;
- Virusul Epstein-Barr - cancerul de sânge și al sistemului limfatic;
- Virusul XMRV - cancerul de prostată.
Etapele formării unei tumori maligne
Etapa de inițiere
Asupra celulelor acționează factori mutageni.
Etapa de promovare
Celulele suferă modificări la nivelul materialului genetic.
Etapa de progresie
Celulele încep diviziunea necontrolată, haotică.
Diagnostic
Metodele de diagnostic pentru diagnosticul tumorilor - fie ele canceroase sau nu - sunt în special imagistice (ecografia, tomografia, RMN, etc), dar pentru un diagnostic corect este necesară examinarea anatomo-patologică a țesutului afectat, examenul microscopic confirmând și precizând natura cancerului. Fragmentele de țesut pentru analiză se pot obține prin biopsie sau prin intervenție chirurgicală deschisă sau laparoscopică, în cazul tumorilor solide, prin puncție în cazul țesuturilor moi ce pot fi aspirate în seringă (de exemplu prin puncție medulară, în cazul leucemiilor) sau prin puncție-biopsie cu ace speciale tăietoare cum este cazul biopsiei hepatice efectuată pentru diagnosticul cancerului hepatic.
Prevenire și tratament
Multe tipuri de cancer pot fi prevenite prin menținerea unei greutăți corporale sănătoase, fără fumat și fără consum excesiv de alcool, consumând legume, fructe și cereale integrale din abundență, cu vaccinele contra anumitor boli infecțioase, fără a consuma prea multă carne roșie și evitând expunerea excesivă la soare.[9][28] Depistarea timpurie prin teste de depistare este utilă în cazul cancerului cervical și colorectal.[11] Beneficiile testelor de depistare în cazul cancerului mamar sunt controversate.[11][12] Cancerul este adesea tratat printr-o combinație de radio terapie, operație, chemoterapie, și terapie vizată.[2][29] Managementul durerii și a simptomelor joacă un rol important în îngrijirea bolnavilor. Îngrijirea paliativă este în special importantă în cazul bolnavilor în stadiu avansat.[2] Șansele de supraviețuire depind de tipul de cancer și gradul bolii la începutul tratamentului.[6] La copiii sub 15 ani la momentul diagnozei rata de supraviețuire de cinci ani în țările în curs de dezvoltare este de 80%.[14] În cazurile de cancer din Statele Unite, rata medie de supraviețuire de cinci ani este atinsă de 66% din bolnavi.[30]
Tratamentul profilactic
Profilaxia primară în cancer vizează cauza bolii, atunci când aceasta este cunoscută, și eliminarea factorilor de risc.
Unele cancere sunt provocate de virusuri oncogene, și ar putea fi prevenite prin vaccinare împotriva virusului respectiv. Este cazul carcinomului hepatocelular[31], apărut pe fondul infecției cronice cu virusul hepatitei B și al cancerului de col uterin[32], care s-a dovedit că apare numai în prezența infecției cronice cu tipurile oncogene de papilomavirus uman (HPV). Vaccinul împotriva hepatitei B a intrat în uz la începutul anilor 1980, fiind introdus în Programul Național de Imunizare din România în 1995. În ceea ce privește HPV, există vaccinuri împotriva a 2 din tipurile oncogene de papilomavirus (16 și 18), responsabile de majoritatea cancerelor de col uterin (aprox. 70%). S-a dovedit că vaccinarea înainte ca organismul să vină în contact cu aceste tipuri de virus (adică înainte de începutul vieții sexuale) împiedică infecția ulterioară și previne apariția leziunilor precanceroase produse de aceste tipuri virale la nivelul colului uterin. Pe termen lung, se estimează că vaccinarea sistematică a fetelor va duce la o scădere importantă a incidenței cancerului de col uterin, prin eliminarea cazurilor datorate acestor 2 tipuri virale cancerigene. Totuși, deoarece vaccinul nu conferă protecție față de toate tulpinile virale oncogene, este necesar ca și femeile vaccinate să efectueze screening-ul periodic pentru depistarea precoce a cancerului de col. În România, vaccinurile împotriva HPV sunt disponibile pentru vaccinare opțională din anul 2007, iar vaccinarea gratuită împotriva HPV, finanțată din Programul Național de Oncologie, a fost introdusă în campanii școlare în toamna anului 2008 și s-a efectuat la fetele de 9-10 ani, în clasa a IV-a, numai cu acordul scris al părinților sau tutorilor. Ulterior, grupa de vârstă vizată a fost cea de 12-14 ani (clasa a VI-a și a VII-a), cu posibilitatea de vaccinare gratuită și a femeilor în vârstă de până la 24 de ani, la indicația medicului ginecolog.
Multe forme de cancer sunt asociate cu factori de mediu și pot fi prevenite. Dintre factorii de risc pentru apariția cancerului, care ar putea fi evitați, fac parte radiațiile ionizante (prin exces de proceduri de radiodiagnostic sau radioterapie), fumatul, diverse substanțe chimice sau medicamente implicate în carcinogeneză.
Profilaxia secundară vizează depistarea bolii prin metode de screening în stadiile incipiente, precanceroase, care sunt curabile prin tratament specific. Metoda de screening depinde de tipul de cancer vizat. De exemplu screeningul pentru cancerul pulmonar se realizează prin efectuarea anuală a examenului radiologic pulmonar. Metoda de screening pentru cancerul de col uterin este examenul citologic Babeș-Papanicolau, care în mod ideal ar trebui efectuat la toate femeile active sexual de 2 ori pe an sau măcar anual. Pentru cancerul de sân, pe lângă autopalpare sau palparea sistematică a sânului cu ocazia oricărui consult medical, există screeningul prin mamografie.
Tratamentul curativ
Există 3 posibilități de tratament curativ al unui cancer: cură chirurgicală, chimioterapie și radioterapie. Fiecare din aceste metode poate fi aplicată singură sau, de regulă, în diverse combinații cu celelalte. Cura chirurgicală vizează îndepărtarea tumorii maligne și a țesuturilor invadate tumoral. Chimioterapia și radioterapia vizează distrugerea celulelor canceroase, atât din tumora primară, cât și de la nivelul metastazelor.
Tratamentul paliativ
Cancerele depistate în stadii avansate nu sunt curabile. În aceste situații se aplică tratamente paliative, cu scopul de a controla simptomele supărătoare și a ameliora calitatea vieții pacienților aflați în stadii avansate de boală. Cel mai cunoscut simptom al cancerului care beneficiază de tratament paliativ este durerea canceroasă. Un alt exemplu este icterul mecanic prin compresie tumorală din cadrul neoplasmului de cap de pancreas, care beneficiază de tratament paliativ chirurgical.
Evoluție și prognostic
Cancerele depistate și tratate în stadiile incipiente pot fi vindecate, iar cancerele depistate în stadii avansate sau netratate evoluează invariabil către deces. Potrivit OMS, cancerul este una dintre cauzele principale de deces în întreaga lume.[33]
Epidemiologie
În anul 2008, cancerul a cauzat 7,7 milioane de decese la nivel mondial, iar 1,5 milioane dintre acestea au fost provocate de infecții care ar fi putut fi prevenite sau tratate.[34] Un raport al Agenției Internaționale pentru Studiul Cancerului (IARC) - agenție a Organizației Mondiale a Sănătățtii – arată că, în 2030, vor ajunge să moara de cancer circa 13,2 milioane de oameni în fiecare an – aproape de două ori mai mulți decât în 2008.[35]
În SUA, cancerul ucide aproximativ 1.500 de oameni pe zi și este a doua cea mai răspândită boală, după afecțiunile de inimă.[36] În România, ultimele statistici monitorizau 420.000 de bolnavi, iar anual sunt diagnosticate alte 95.000-96.000 de persoane, din care peste jumătate - în fază incurabilă.[36]
Tipuri de cancer după localizare
- Cancer de col uterin
- Cancer de colecist
- Cancer de colon
- Cancer de piele
- Cancer de prostată
- Cancer gastric
- Cancer hepatic
- Cancer tiroidian
- Cancer mamar
- Cancer osos
- Cancer pulmonar
- Cancer renal
- Cancer esofagian
- Cancer labial
- Cancerul testicular
- Leucemie
- Sarcom
- Cancer pancreatic
Stadializarea cancerului
- Sistemul de stadializare TNM
- Stadializarea Ann Arbor
- Stadializarea Gleason
- Stadializarea Dukes
Note
- Disease Ontology, accesat în
- „Cancer Fact sheet N°297”. World Health Organization. februarie 2014. Accesat în .
- „Defining Cancer”. National Cancer Institute. Accesat în .
- „Cancer - Signs and symptoms”. NHS Choices. Accesat în .
- Anand P, Kunnumakkara AB, Kunnumakara AB, Sundaram C, Harikumar KB, Tharakan ST, Lai OS, Sung B, Aggarwal BB (septembrie 2008). „Cancer is a preventable disease that requires major lifestyle changes”. Pharm. Res. 25 (9): 2097–116. doi:10.1007/s11095-008-9661-9. PMC 2515569
. PMID 18626751. - World Cancer Report 2014. World Health Organization. . pp. Chapter 1.1. ISBN 9283204298.
- „Heredity and Cancer”. American Cancer Society. Arhivat din original la . Accesat în .
- „How is cancer diagnosed?”. American Cancer Society. . Arhivat din original la . Accesat în .
- Kushi LH, Doyle C, McCullough M; et al. (). „American Cancer Society Guidelines on nutrition and physical activity for cancer prevention: reducing the risk of cancer with healthy food choices and physical activity”. CA Cancer J Clin. 62 (1): 30–67. doi:10.3322/caac.20140. PMID 22237782.
- Parkin, DM; Boyd, L; Walker, LC (). „16. The fraction of cancer attributable to lifestyle and environmental factors in the UK in 2010”. British journal of cancer. 105 Suppl 2: S77–81. doi:10.1038/bjc.2011.489. PMID 22158327.
- World Cancer Report 2014. World Health Organization. . pp. Chapter 4.7. ISBN 9283204298.
- Gøtzsche PC, Jørgensen KJ (). „Screening for breast cancer with mammography”. The Cochrane database of systematic reviews. 6: CD001877. doi:10.1002/14651858.CD001877.pub5. PMID 23737396.
- „Targeted Cancer Therapies”. NCI. . Accesat în .
- World Cancer Report 2014. World Health Organization. . pp. Chapter 1.3. ISBN 9283204298.
- „SEER Stat Fact Sheets: All Cancer Sites”. National Cancer Institute. Accesat în .
- „The top 10 causes of death Fact sheet N°310”. WHO. mai 2014. Accesat în .
- Dubas, LE; Ingraffea, A (). „Nonmelanoma skin cancer”. Facial plastic surgery clinics of North America. 21 (1): 43–53. doi:10.1016/j.fsc.2012.10.003. PMID 23369588.
- Cakir, BÖ; Adamson, P; Cingi, C (). „Epidemiology and economic burden of nonmelanoma skin cancer”. Facial plastic surgery clinics of North America. 20 (4): 419–22. doi:10.1016/j.fsc.2012.07.004. PMID 23084294.
- Jemal A, Bray, F, Center, MM, Ferlay, J, Ward, E, Forman, D (februarie 2011). „Global cancer statistics”. CA: a cancer journal for clinicians. 61 (2): 69–90. doi:10.3322/caac.20107. PMID 21296855.
- World Cancer Report 2014. World Health Organization. . pp. Chapter 6.7. ISBN 9283204298.
- Biesalski HK, Bueno de Mesquita B, Chesson A, Chytil F, Grimble R, Hermus RJ, Köhrle J, Lotan R, Norpoth K, Pastorino U, Thurnham D (). „European Consensus Statement on Lung Cancer: risk factors and prevention. Lung Cancer Panel”. Ca. 48 (3): 167–76; discussion 164–6. doi:10.3322/canjclin.48.3.167. PMID 9594919.
- Kuper H, Boffetta P, Adami HO (septembrie 2002). „Tobacco use and cancer causation: association by tumour type”. Journal of Internal Medicine. 252 (3): 206–24. doi:10.1046/j.1365-2796.2002.01022.x. PMID 12270001.
- Kuper H, Adami HO, Boffetta P (iunie 2002). „Tobacco use, cancer causation and public health impact”. Journal of Internal Medicine. 251 (6): 455–66. doi:10.1046/j.1365-2796.2002.00993.x. PMID 12028500.
- Sasco AJ, Secretan MB, Straif K (august 2004). „Tobacco smoking and cancer: a brief review of recent epidemiological evidence”. Lung Cancer. 45 Suppl 2: S3–9. doi:10.1016/j.lungcan.2004.07.998. PMID 15552776.
- Schütze M, Boeing H, Pischon T, Rehm J, Kehoe T, Gmel G, Olsen A, Tjønneland AM, Dahm CC, Overvad K, Clavel-Chapelon F, Boutron-Ruault MC, Trichopoulou A, Benetou V, Zylis D, Kaaks R, Rohrmann S, Palli D, Berrino F, Tumino R, Vineis P, Rodríguez L, Agudo A, Sánchez MJ, Dorronsoro M, Chirlaque MD, Barricarte A, Peeters PH, van Gils CH, Khaw KT, Wareham N, Allen NE, Key TJ, Boffetta P, Slimani N, Jenab M, Romaguera D, Wark PA, Riboli E, Bergmann MM (aprilie 2011). „Alcohol attributable burden of incidence of cancer in eight European countries based on results from prospective cohort study”. BMJ. 342: d1584. doi:10.1136/bmj.d1584. PMC 3072472
. PMID 21474525. - Irigaray P, Newby JA, Clapp R, Hardell L, Howard V, Montagnier L, Epstein S, Belpomme D (decembrie 2007). „Lifestyle-related factors and environmental agents causing cancer: an overview”. Biomedicine & Pharmacotherapy = Biomedecine & Pharmacotherapie. 61 (10): 640–58. doi:10.1016/j.biopha.2007.10.006. PMID 18055160.
- „WHO calls for prevention of cancer through healthy workplaces” (Press release). World Health Organization. . Arhivat din originalul de la . Accesat în .
- Parkin, DM; Boyd, L; Walker, LC (). „16. The fraction of cancer attributable to lifestyle and environmental factors in the UK in 2010”. British journal of cancer. 105 Suppl 2: S77–81. doi:10.1038/bjc.2011.489. PMID 22158327.
- „Targeted Cancer Therapies”. NCI. . Accesat în .
- „SEER Stat Fact Sheets: All Cancer Sites”. National Cancer Institute. Accesat în .
- Dumitru Matei: Actualități în diagnosticul și tratamentul hepatitelor cronice Arhivat în , la Wayback Machine., www.ecmb.ro, 2007 (accesat la 4 septembrie 2010)
- Dumitru Matei, Adela Iancu, Rodica Matei, Eliza Cinteză, Florina Comănici: Tendințe actuale privind folosirea vaccinurilor în România, revista Practica medicală, pag. 236-245, Vol. 4, Nr. 4(16)/2009 (ediție online accesată la 4 septembrie 2010)
- Ziua Mondială de luptă împotriva cancerului Arhivat în , la Wayback Machine., 3 februarie 2014, agerpres.ro
- Unul din șase cazuri de cancer apare ca urmare a infecțiilor netratate, 11 mai 2012, Descoperă, accesat la 22 mai 2012
- În anii 2030, cancerul va ucide peste 13 milioane de oameni anual, 2 iunie 2010, Descoperă, accesat la 23 mai 2012
- Forbes. Un român a inventat dispozitivul care descoperă cancerul în șase minute, 18 octombrie 2010, Raluca Bâra-Iacob, Viorela Pitulice, adevarul.ro, accesat la 3 august 2011
Legături externe
- Multimedia Guide to Cancer Biology
- Împăratul tuturor bolilor: scurtă istorie a cancerului, 5 octombrie 2012, Maria Olaru, Descoperă
- Vaccinele ar putea preveni cancerul Arhivat în , la Wayback Machine., winarticles.net
- Agenți cancerigeni (Agents Classified by the IARC Monographs, Volumes 1–109) Arhivat în , la Wayback Machine., monographs.iarc.fr en
