Papilom
Un papilom (plural papiloame) (papillo- + -oma) este o tumoare epitelială benignă[1] care se dezvoltă în exterior (proeminență exterioară) ca o excrescență sub formă de mamelon sau adesea sub formă de deget. În acest context papila se referă la proeminența produsă de tumoare, nu la o tumoare pe o papilă deja existentă (cum ar fi mamelonul).
| Papilom | |
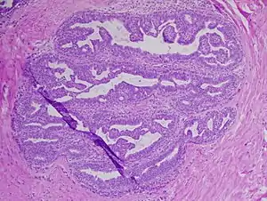
![]() Papilom intraductal la sân, H&E, 10x | |
| Specialitate | oncologie |
|---|---|
| Clasificare și resurse externe | |
| ICD-11 | |
| ICD-O | 8050/0 |
| MeSH ID | D010212 |
Atunci când nu este utilizat într-un anumit context, se referă în mod frecvent la infecții (papilom cu celule scuamoase) cauzate de virusul papiloma uman (HPV), cum ar fi negii. Virusul papiloma uman este o cauză majoră a cancerului de col uterin, deși majoritatea infecțiilor cu HPV nu cauzează cancer. Există, cu toate acestea, multe alte condiții care cauzează papiloame, precum și multe cazuri în care nu există nici o cauză cunoscută.
Semne și simptome
O tumoare papilomatoasă benignă se formează pe epiteliu, făcând să apară proeminențe precum conopida la nivelul mucoasei. Aceasta poate fi albă sau colorată normal, poate fi pediculat sau sesil. Dimensiunea medie este între 1-5 cm. Nu există o preferință în funcție de sex. Cele mai frecvente locuri de apariție sunt zona palatal-uvulară, urmată de limbă și buze. Duratele variază de la câteva săptămâni la 10 ani.
Cauza
Testele imunocromatografice au identificat antigene ale virusului papiloma uman (HPV) tipurile 6 și 11 în aproximativ 50% din cazurile de carcinom cu celule scuamoase.
Prognostic
Nu există nici o dovadă că papiloamele sunt precanceroase.
Diagnostice diferențial
- Verruca vulgaris intraorală,
- Condyloma acuminatum și
- Hiperplazie epitelială focală.
Notă: diferențierea se face cu precizie prin examen microscopic.
Tratament
Eliminarea papiloamelor se face prin excizie chirurgicală, recurența este rară.
Referințe
- Definiția pentru „papilloma” de la Dorland's Medical Dictionary
Legături externe
- Choroid Plexus Papilloma - Palmer, Cheryl Ann and Daniel Keith Harrison; EMedicine; Jun 5, 2008
- Squamous cell papilloma Arhivat în , la Wayback Machine.
- „Papilloma bladder”. Medcyclopaedia. GE. Arhivat din original la .
