SOX10
Transcription factor SOX-10 is a protein that in humans is encoded by the SOX10 gene.[5][6][7][8]
Function
This gene encodes a member of the SOX (SRY-related HMG-box) family of transcription factors involved in the regulation of embryonic development and determination of cell fate. The encoded protein acts as a transcriptional activator after forming a protein complex with other proteins. This protein acts as a nucleocytoplasmic shuttle protein and is important for neural crest and peripheral nervous system development.[8]
In melanocytic cells, there is evidence that SOX10 gene expression may be regulated by MITF.[9]
Mutations
Mutations in this gene are associated with Waardenburg–Shah syndrome[8] and uveal melanoma.[10]
Immunostain
SOX10 is used as an immunohistochemistry marker, being positive in:[11]
- Neuroectodermal neoplasms of neural crest origin, especially:
- Melanoma, although desmoplastic melanomas may be only focally positive.
- Nevus
SOX10 immunohistochemistry in a dermal nevus, showing positively staining nevus cells (arrows)
SOX10 immunohistochemistry of normal skin (top) and atypical melanocytic proliferation (bottom), seen mainly in hair follicles.
SOX10 immunohistochemistry facilitates showing lentigo maligna, as an increased number of melanocytes along stratum basale and nuclear pleumorphism. The changes are continuous with the resection margin (inked in yellow, at left), conferring a diagnosis of a not radically removed lentigo maligna.
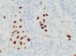
Immunohistochemistry stain for SOX10 in a poorly differentiated metastatic melanoma to a lymph node, helping in its diagnosis.
Interactions
The interaction between SOX10 and PAX3 is studied best in human patients with Waardenburg syndrome, an autosomal dominant disorder that is divided into four different types based upon mutations in additional genes. SOX10 and PAX3 interactions are thought to be regulators of other genes involved in the symptoms of Waardenburg syndrome, particularly MITF, which influences the development of melanocytes as well as neural crest formation. MITF expression can be transactivated by both SOX10 and PAX3 to have an additive effect.[12][13] The two genes have binding sites near one another on the upstream enhancer of the c-RET gene.[14] SOX10 is also thought to target dopachrome tautomerase through a synergistic interaction with MITF, which then results in other melanocyte alteration.[15]
SOX10 can influence the generation of Myelin Protein Zero (MPZ) transcription through its interactions with proteins such as OLIG1 and EGR2,[16][17] which is important for the functionality of neurons. Other cofactors have been identified, such as SP1, OCT6, NMI, FOXD3 and SOX2.[18]
The interaction between SOX10 and NMI seems to be coexpressed in glial cells, gliomas, and the spinal cord and has been shown to modulate the transcriptional activity of SOX10.[19]
See also
- SOX genes
- List of histologic stains that aid in diagnosis of cutaneous conditions
References
- 1 2 3 GRCh38: Ensembl release 89: ENSG00000100146 – Ensembl, May 2017
- 1 2 3 GRCm38: Ensembl release 89: ENSMUSG00000033006 – Ensembl, May 2017
- ↑ "Human PubMed Reference:". National Center for Biotechnology Information, U.S. National Library of Medicine.
- ↑ "Mouse PubMed Reference:". National Center for Biotechnology Information, U.S. National Library of Medicine.
- ↑ Pingault V, Bondurand N, Kuhlbrodt K, Goerich DE, Préhu MO, Puliti A, Herbarth B, Hermans-Borgmeyer I, Legius E, Matthijs G, Amiel J, Lyonnet S, Ceccherini I, Romeo G, Smith JC, Read AP, Wegner M, Goossens M (Feb 1998). "SOX10 mutations in patients with Waardenburg-Hirschsprung disease". Nature Genetics. 18 (2): 171–3. doi:10.1038/ng0298-171. PMID 9462749. S2CID 2327032.
- ↑ Bondurand N, Kuhlbrodt K, Pingault V, Enderich J, Sajus M, Tommerup N, Warburg M, Hennekam RC, Read AP, Wegner M, Goossens M (Sep 1999). "A molecular analysis of the yemenite deaf-blind hypopigmentation syndrome: SOX10 dysfunction causes different neurocristopathies". Human Molecular Genetics. 8 (9): 1785–9. doi:10.1093/hmg/8.9.1785. PMID 10441344.
- ↑ Huber WE, Price ER, Widlund HR, Du J, Davis IJ, Wegner M, Fisher DE (Nov 2003). "A tissue-restricted cAMP transcriptional response: SOX10 modulates alpha-melanocyte-stimulating hormone-triggered expression of microphthalmia-associated transcription factor in melanocytes". The Journal of Biological Chemistry. 278 (46): 45224–30. doi:10.1074/jbc.M309036200. PMID 12944398.
- 1 2 3 "Entrez Gene: SOX10 SRY (sex determining region Y)-box 10".
- ↑ Hoek KS, Schlegel NC, Eichhoff OM, Widmer DS, Praetorius C, Einarsson SO, Valgeirsdottir S, Bergsteinsdottir K, Schepsky A, Dummer R, Steingrimsson E (Dec 2008). "Novel MITF targets identified using a two-step DNA microarray strategy". Pigment Cell & Melanoma Research. 21 (6): 665–76. doi:10.1111/j.1755-148X.2008.00505.x. PMID 19067971.
- ↑ Das D, Kaur I, Ali MJ, Biswas NK, Das S, Kumar S, Honavar SG, Maitra A, Chakrabarti S, Majumder PP (Jul 2014). "Exome sequencing reveals the likely involvement of SOX10 in uveal melanoma". Optometry and Vision Science. 91 (7): e185–92. doi:10.1097/OPX.0000000000000309. PMID 24927141. S2CID 24239911.
- ↑ Nat Pernick. "Stains - SOX10". Pathology Outlines. Topic Completed: 1 February 2014. Revised: 20 September 2019
- ↑ Potterf SB, Furumura M, Dunn KJ, Arnheiter H, Pavan WJ (July 2000). "Transcription factor hierarchy in Waardenburg syndrome: regulation of MITF expression by SOX10 and PAX3". Hum. Genet. 107 (1): 1–6. doi:10.1007/s004390000328. PMID 10982026. S2CID 24931810.
- ↑ Bondurand N, Pingault V, Goerich DE, Lemort N, Le Caignec C, Wegner M, Goossens M (August 2000). "Interaction among SOX10, PAX3 and MITF, three genes altered in Waardenburg syndrome". Hum. Mol. Genet. 9 (13): 1907–17. doi:10.1093/hmg/9.13.1907. PMID 10942418.
- ↑ Lang D, Epstein JA (April 2003). "Sox10 and Pax3 physically interact to mediate activation of a conserved c-RET enhancer". Hum. Mol. Genet. 12 (8): 937–45. doi:10.1093/hmg/ddg107. PMID 12668617.
- ↑ Ludwig A, Rehberg S, Wegner, M (January 2004). "Melanocyte-specific expression of dopachrome tautomerase is dependent on synergistic gene activation by the Sox10 and Mitf transcription factors". FEBS Letters. 556 (1–3): 236–44. Bibcode:2004FEBSL.556..236L. doi:10.1016/s0014-5793(03)01446-7. PMID 14706856. S2CID 8245142.
- ↑ Li H, Lu Y, Smith HK, Richardson W (December 2007). "Olig1 and Sox10 Interact Synergistically to Drive Myelin Basic Protein Transcription in Oligodendrocytes". The Journal of Neuroscience. 27 (52): 14375–82. doi:10.1523/jneurosci.4456-07.2007. PMC 6329447. PMID 18160645.
- ↑ LeBlanc S, Ward R, Svaren, J (May 2007). "Neuropathy-Associated Egr2 Mutants Disrupt Cooperative Activation of Myelin Protein Zero by Egr2 and Sox10". Mol. Cell. Biol. 27 (9): 3521–29. doi:10.1128/mcb.01689-06. PMC 1899967. PMID 17325040.
- ↑ Bondurand N, Sham MH (October 2013). "The role of SOX10 during enteric nervous system development". Dev. Biol. 382 (1): 330–43. doi:10.1016/j.ydbio.2013.04.024. PMID 23644063.
- ↑ Schlierf B, Lang S, Kosian T, Werner T, Wegner M (November 2011). "The high-mobility group transcription factor Sox10 interacts with the N-myc-interacting protein Nmi". J. Mol. Biol. 353 (5): 1033–42. doi:10.1016/j.jmb.2005.09.013. PMID 16214168.
Further reading
- Jacobs JM, Wilson J (1992). "An unusual demyelinating neuropathy in a patient with Waardenburg's syndrome". Acta Neuropathol. 83 (6): 670–4. doi:10.1007/BF00299420. PMID 1636383. S2CID 35774306.
- Southard-Smith EM, Kos L, Pavan WJ (1998). "Sox10 mutation disrupts neural crest development in Dom Hirschsprung mouse model". Nat. Genet. 18 (1): 60–4. doi:10.1038/ng0198-60. PMID 9425902. S2CID 25574343.
- Kuhlbrodt K, Schmidt C, Sock E, Pingault V, Bondurand N, Goossens M, Wegner M (1998). "Functional analysis of Sox10 mutations found in human Waardenburg-Hirschsprung patients". J. Biol. Chem. 273 (36): 23033–8. doi:10.1074/jbc.273.36.23033. PMID 9722528.
- Pusch C, Hustert E, Pfeifer D, Südbeck P, Kist R, Roe B, Wang Z, Balling R, Blin N, Scherer G (1998). "The SOX10/Sox10 gene from human and mouse: sequence, expression, and transactivation by the encoded HMG domain transcription factor". Hum. Genet. 103 (2): 115–23. doi:10.1007/s004390050793. PMID 9760192. S2CID 20623767.
- Inoue K, Tanabe Y, Lupski JR (1999). "Myelin deficiencies in both the central and the peripheral nervous systems associated with a SOX10 mutation". Ann. Neurol. 46 (3): 313–8. doi:10.1002/1531-8249(199909)46:3<313::AID-ANA6>3.0.CO;2-7. PMID 10482261. S2CID 32618827.
- Dunham I, Shimizu N, Roe BA, Chissoe S, Hunt AR, Collins JE, Bruskiewich R, Beare DM, Clamp M, Smink LJ, Ainscough R, Almeida JP, Babbage A, Bagguley C, Bailey J, Barlow K, Bates KN, Beasley O, Bird CP, Blakey S, Bridgeman AM, Buck D, Burgess J, Burrill WD, O'Brien KP (1999). "The DNA sequence of human chromosome 22". Nature. 402 (6761): 489–95. Bibcode:1999Natur.402..489D. doi:10.1038/990031. PMID 10591208.
- Touraine RL, Attié-Bitach T, Manceau E, Korsch E, Sarda P, Pingault V, Encha-Razavi F, Pelet A, Augé J, Nivelon-Chevallier A, Holschneider AM, Munnes M, Doerfler W, Goossens M, Munnich A, Vekemans M, Lyonnet S (2000). "Neurological phenotype in Waardenburg syndrome type 4 correlates with novel SOX10 truncating mutations and expression in developing brain". Am. J. Hum. Genet. 66 (5): 1496–503. doi:10.1086/302895. PMC 1378013. PMID 10762540.
- Bondurand N, Pingault V, Goerich DE, Lemort N, Sock E, Le Caignec C, Wegner M, Goossens M (2000). "Interaction among SOX10, PAX3 and MITF, three genes altered in Waardenburg syndrome". Hum. Mol. Genet. 9 (13): 1907–17. doi:10.1093/hmg/9.13.1907. PMID 10942418.
- Smit DJ, Smith AG, Parsons PG, Muscat GE, Sturm RA (2000). "Domains of Brn-2 that mediate homodimerization and interaction with general and melanocytic transcription factors". Eur. J. Biochem. 267 (21): 6413–22. doi:10.1046/j.1432-1327.2000.01737.x. PMID 11029584.
- Sham MH, Lui VC, Chen BL, Fu M, Tam PK (2001). "Novel mutations of SOX10 suggest a dominant negative role in Waardenburg-Shah syndrome". J. Med. Genet. 38 (9): 30e–30. doi:10.1136/jmg.38.9.e30. PMC 1734934. PMID 11546831.
- Rehberg S, Lischka P, Glaser G, Stamminger T, Wegner M, Rosorius O (2002). "Sox10 is an active nucleocytoplasmic shuttle protein, and shuttling is crucial for Sox10-mediated transactivation". Mol. Cell. Biol. 22 (16): 5826–34. doi:10.1128/MCB.22.16.5826-5834.2002. PMC 133963. PMID 12138193.
- Pingault V, Girard M, Bondurand N, Dorkins H, Van Maldergem L, Mowat D, Shimotake T, Verma I, Baumann C, Goossens M (2002). "SOX10 mutations in chronic intestinal pseudo-obstruction suggest a complex physiopathological mechanism". Hum. Genet. 111 (2): 198–206. doi:10.1007/s00439-002-0765-8. PMID 12189494. S2CID 2292165.
- Lang D, Epstein JA (2003). "Sox10 and Pax3 physically interact to mediate activation of a conserved c-RET enhancer". Hum. Mol. Genet. 12 (8): 937–45. doi:10.1093/hmg/ddg107. PMID 12668617.
- Shimotake T, Tomiyama H, Aoi S, Iwai N (2003). "Discrepancy between macroscopic and microscopic transitional zones in Hirschsprung's disease with reference to the type of RET/GDNF/SOX10 gene mutation". J. Pediatr. Surg. 38 (5): 698–701. doi:10.1016/jpsu.2003.50186. PMID 12720173.
- Chan KK, Wong CK, Lui VC, Tam PK, Sham MH (2003). "Analysis of SOX10 mutations identified in Waardenburg-Hirschsprung patients: Differential effects on target gene regulation". J. Cell. Biochem. 90 (3): 573–85. doi:10.1002/jcb.10656. PMID 14523991. S2CID 22751147.
- Inoue K, Khajavi M, Ohyama T, Hirabayashi S, Wilson J, Reggin JD, Mancias P, Butler IJ, Wilkinson MF, Wegner M, Lupski JR (2004). "Molecular mechanism for distinct neurological phenotypes conveyed by allelic truncating mutations". Nat. Genet. 36 (4): 361–9. doi:10.1038/ng1322. PMID 15004559.
External links
- SOX10+protein,+human at the U.S. National Library of Medicine Medical Subject Headings (MeSH)
This article incorporates text from the United States National Library of Medicine, which is in the public domain.





