Nodular melanoma
| Nodular melanoma | |
|---|---|
![]() | |
| Specialty | Oncology, dermatology |

Nodular melanoma (NM) is the most aggressive form of melanoma.[1] It tends to grow more rapidly in thickness (vertically penetrate the skin) than in diameter compared to other melanoma subtypes.[2] Instead of arising from a pre-existing mole, it may appear in a spot where a lesion did not previously exist. Since NM tends to grow in depth more quickly than it does in width, and can occur in a place that did not have a previous lesion, the prognosis is often worse because it takes longer for a person to be aware of the changes. NM is most often darkly pigmented; however, some NM lesions can be light brown, multicolored or even colorless (non-pigmented). A light-colored or non-pigmented NM lesion may escape detection because the appearance is not alarming, however an ulcerated and/or bleeding lesion is common.[3]: 696 Polypoid melanoma is a virulent variant of nodular melanoma.[3]: 696
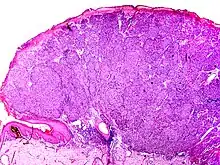
The microscopic hallmarks are:
- Dome-shaped at low power
- Epidermis thin or normal
- Dermal nodule of melanocytes with a 'pushing' growth pattern
- No "radial growth phase"
Treatment
Therapies for metastatic melanoma include the biologic immunotherapy agents ipilimumab, pembrolizumab, and nivolumab; BRAF inhibitors, such as vemurafenib and dabrafenib; and a MEK inhibitor trametinib.[4]
Prognosis
Important prognosis factors for nodular melanoma include:
- Thickness
- Ulceration
- Sentinel lymph node (SLN) status[2]
See also
References
- ↑ DE, Elder; D, Massi; RA, Scolyer; R, Willemze (2018). "2. Melanocytic tumours". WHO Classification of Skin Tumours. Vol. 11 (4th ed.). Lyon (France): World Health Organization. pp. 145–146. ISBN 978-92-832-2440-2.
- 1 2 Egger, Michael E.; Dunki-Jacobs, Erik M.; Callender, Glenda G.; Quillo, Amy R.; Scoggins, Charles R.; Martin, Robert C.G.; Stromberg, Arnold J.; McMasters, Kelly M. (October 2012). "Outcomes and prognostic factors in nodular melanomas". Surgery. 152 (4): 652–660. doi:10.1016/j.surg.2012.07.006. ISSN 0039-6060. PMID 22925134.
- 1 2 James, William D.; Berger, Timothy G.; et al. (2006). Andrews' Diseases of the Skin: clinical Dermatology. Saunders Elsevier. ISBN 978-0-7216-2921-6.
- ↑ Maverakis E, Cornelius LA, Bowen GM, Phan T, Patel FB, Fitzmaurice S, He Y, Burrall B, Duong C, Kloxin AM, Sultani H, Wilken R, Martinez SR, Patel F (2015). "Metastatic melanoma - a review of current and future treatment options". Acta Derm Venereol. 95 (5): 516–524. doi:10.2340/00015555-2035. PMID 25520039.
