Melanoma with features of a Spitz nevus
| Melanoma with features of a Spitz nevus | |
|---|---|
| Other names | Spitzoid melanoma |
![]() | |
| Spitzoid melanoma | |
| Specialty | Dermatology |
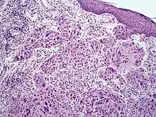
Melanoma with features of a Spitz nevus, also known as a Spitzoid melanoma, is a cutaneous condition characterized histologically with tissue similar to a spitz nevus and with overall symmetry and a dermal nodule of epithelioid melanocytes that do not mature with progressively deeper dermal extension.[1]
See also
References
- ↑ Rapini, Ronald P.; Bolognia, Jean L.; Jorizzo, Joseph L. (2007). Dermatology: 2-Volume Set. St. Louis: Mosby. p. 1752. ISBN 1-4160-2999-0.
This article is issued from Wikipedia. The text is licensed under Creative Commons - Attribution - Sharealike. Additional terms may apply for the media files.
