Lymphocytic interstitial pneumonia
| Lymphocytic interstitial pneumonia | |
|---|---|
| Other names | Lymphocytic interstitial pneumonitis |
![]() | |
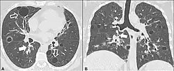
| CT scan of lymphocytic interstitial pneumonia, with pulmonary cysts. | |
| Specialty | Respirology |
Lymphocytic interstitial pneumonia (LIP) is a syndrome secondary to autoimmune and other lymphoproliferative disorders. Symptoms include fever, cough, and shortness of breath. Lymphocytic interstitial pneumonia applies to disorders associated with both monoclonal or polyclonal gammopathy.[1]
Signs and symptoms
Patients with lymphocytic interstitial pneumonia may present with lymphadenopathy, enlarged liver, enlarged spleen, enlarged salivary gland, thickening and widening of the extremities of the fingers and toes (clubbing), and breathing symptoms such as shortness of breath and wheezing.
Causes
Possible causes of lymphocytic interstitial pneumonia include the Epstein–Barr virus, auto-immune, and HIV.
Diagnosis
Arterial blood gases may reveal signs of hypoxemia when tested in a lab. Respiratory alkalosis may also be present.[2] Peripheral lymphocytosis can be observed.[3] A lung biopsy may also be indicated.[4]
Treatment
Patients presenting with no symptoms, and not affected by the syndrome may not require treatment. Corticosteroids have been reported to be of benefit in select patients. Bronchodilators may assist with breathing issues. Resolution may occur with the use of highly active anti-retroviral therapy used in patients with HIV, which suggests that the virus alone may cause immune cells to proliferate, or immunosuppression caused by HIV may lead to other viruses that induce the proliferation of immune cells, leading to LIP. There has been a decreased association of HIV and LIP since the introduction of antiretroviral therapy.[5] However, responses to different treatments are widely varied, and no single first line treatment represents the default treatment for lymphocytic interstitial pneumonia.
References
- ↑ Zander DS, Farver CF (2016-12-14). Pulmonary Pathology: A Volume in the Series: Foundations in Diagnostic Pathology. Elsevier Health Sciences. p. 450. ISBN 978-0-323-46119-1.
- ↑ Teirstein AS, Rosen MJ (September 1988). "Lymphocytic interstitial pneumonia". Clin. Chest Med. 9 (3): 467–71. PMID 3044682.
- ↑ Pitt J (February 1991). "Lymphocytic interstitial pneumonia". Pediatr. Clin. North Am. 38 (1): 89–95. doi:10.1016/s0031-3955(16)38044-0. PMID 1987520.
- ↑ Strimlan CV, Rosenow EC, Weiland LH, Brown LR (May 1978). "Lymphocytic interstitial pneumonitis. Review of 13 cases". Ann. Intern. Med. 88 (5): 616–21. doi:10.7326/0003-4819-88-5-616. PMID 646244.
- ↑ Fagan, K. A., MD, & King Jr, T. E., MD. (2020, March 4). Lymphoid interstitial pneumonia in adults (1086842168 824689407 K. R. Flaherty MD, MS & 1086842169 824689407 H. Hollingsworth MD, Eds.). Retrieved November 29, 2020, from https://www.uptodate.com/contents/lymphoid-interstitial-pneumonia-in-adults
