Lipid pneumonia
| Lipid pneumonia | |
|---|---|
| Other names | Lipid pneumonia, lipoid pneumonia, cholesterol pneumonia |
![]() | |
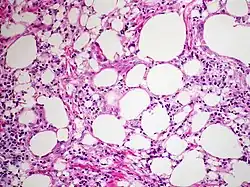
| Lipid pneumonia, exogenous Case 108 | |
| Specialty | Pulmonology |
Lipid pneumonia, also known as lipoid pneumonia, is a specific form of lung inflammation (pneumonia) that develops when lipids enter the bronchial tree. The disorder is sometimes called cholesterol pneumonia in cases where that lipid is a factor.[1]
Signs and symptoms
The pneumonia presents as a foreign body reaction causing cough, dyspnea, and often fever. Hemoptysis has also been reported.[2]
Causes
Sources of such lipids could be either exogenous or endogenous.[3]
Exogenous
Exogenous lipid pneumonia refers to lipoid pneumonia caused by something from outside of the body. For example, inhaled nose drops with an oil base, application of oil-based ointments such as Vaseline in the nasal passages, or accidental inhalation of cosmetic oil. Amiodarone is an anti-arrhythmic known to cause this condition. Oil pulling has also been shown to be a cause.[4] Fire breather's pneumonia from the inhalation of hydrocarbon fuel is a specific variant. At risk populations include the elderly, developmentally delayed or persons with gastroesophageal reflux. Switching to water-soluble alternatives may be helpful in some situations.[2]
Tuberculosis
Secondary tuberculosis in humans often begins as a lipid pneumonia.[5] This may be due to high content of mycolic acid, cord factor, and Wax-D in the cell wall of M. tuberculosis, that has long been speculated to be a virulence factor of the mycobacteria.[5]
Endogenous
Endogenous lipid pneumonia can occur in the setting of airway obstruction. In this variant, lipid-laden macrophages and giant cells accumulate in the isolated bronchial airspace distal to the obstruction.[6]
Appearance
The gross appearance of a lipid pneumonia is that in which there is an ill-defined, pale yellow area on the lung. This yellow appearance explains the colloquial term "golden" pneumonia.[7]
At the microscopic scale, foamy macrophages and giant cells are seen in the airways, and the inflammatory response is visible in the parenchyma.
On CT, lipoid pneumonia appears as a "crazy paving" pattern, characterized by ground glass opacities with interspersed interlobular septal thickening.[8]
Diagnosis
.jpg)
The evaluation of lipid pneumonia may include the following:[9]
- Chest X-ray
- CT scan of the chest
- Arterial blood gas (pH)
- Bronchoscopy (histological sample)
Management
There are no specific guidelines for the treatment of the disease. Limited evidence suggest that the corticosteroids and possibly intravenous immunoglobulins may improve condition but in the case of exogenous type the stopping of the offending agent is the step that should be taken first.[9]
Prognosis
Endogenous lipoid pneumonia and non-specific interstitial pneumonitis has been seen prior to the development of pulmonary alveolar proteinosis in a child.[6]
Epidemiology
Lipid pneumonia has been known to occur in underwater divers after breathing poorly filtered air supplied by a surface compressor lubricated by mineral oil.[10]
History
Laughlen first described lipid pneumonia in 1925 with infants that inhaled oil droplets.[10] It is a condition that has been seen as an occupational risk for commercial diving operations but documented cases are rare.[10]
References
- ↑ Pelz L, Hobusch D, Erfurth F, Richter K (1972). "[Familial cholesterol pneumonia]". Helv Paediatr Acta. 27 (4): 371–9. PMID 4644274.
- 1 2 Moe Bell, Marvin (2015). "Lipoid pneumonia: An unusual and preventable illness in elderly patients". Canadian Family Physician. 61 (9): 775–777. PMC 4569110. PMID 26371101.
- ↑ "Pulmonary Pathology". Retrieved 21 November 2008.
- ↑ Kim JY, Jung JW, Choi JC, Shin JW, Park IW, Choi BW (February 2014). "Recurrent lipoid pneumonia associated with oil pulling". The International Journal of Tuberculosis and Lung Disease. 18 (2): 251–2. doi:10.5588/ijtld.13.0852. PMID 24429325.
- 1 2 Rl, Hunter; Mr, Olsen; C, Jagannath; Jk, Actor (2006). "Multiple roles of cord factor in the pathogenesis of primary, secondary, and cavitary tuberculosis, including a revised description of the pathology of secondary disease". Annals of Clinical and Laboratory Science. 36 (4): 371–386. ISSN 0091-7370. PMID 17127724.
- 1 2 Antoon JW, Hernandez ML, Roehrs PA, Noah TL, Leigh MW, Byerley JS (2014). "Endogenous lipoid pneumonia preceding diagnosis of pulmonary alveolar proteinosis". The Clinical Respiratory Journal. 10 (2): 246–249. doi:10.1111/crj.12197. PMID 25103284. S2CID 205037400.
- ↑ Zander, Dani S.; Farver, Carol F. (14 December 2016). Pulmonary Pathology E-Book: A Volume in Foundations in Diagnostic Pathology Series. Elsevier Health Sciences. p. 517. ISBN 978-0-323-46119-1. Retrieved 19 December 2022.
- ↑ Betancourt, SL; Martinez-Jimenez, S; Rossi, SE; Truong, MT; Carrillo, J; Erasmus, JJ (January 2010). "Lipoid pneumonia: spectrum of clinical and radiologic manifestations". AJR. American Journal of Roentgenology. 194 (1): 103–9. doi:10.2214/AJR.09.3040. PMID 20028911.
- 1 2 Beck, Lauren R.; Landsberg, David (2022). "Lipoid Pneumonia". StatPearls. StatPearls Publishing. PMID 32119464. Retrieved 19 December 2022.
- 1 2 3 Kizer KW, Golden JA (November 1987). "Lipoid pneumonitis in a commercial abalone diver". Undersea Biomedical Research. 14 (6): 545–52. PMID 3686744. Archived from the original on 15 April 2013. Retrieved 2 April 2013.
Further reading
- Spickard, Anderson; Hirschmann, JV (28 March 1994). "Exogenous Lipoid Pneumonia". Archives of Internal Medicine. 154 (6): 686–92. doi:10.1001/archinte.1994.00420060122013. PMID 8129503.
- Betancourt, SL; Martinez-Jimenez, S; Rossi, SE; Truong, MT; Carrillo, J; Erasmus, JJ (January 2010). "Lipoid pneumonia: spectrum of clinical and radiologic manifestations". AJR. American Journal of Roentgenology. 194 (1): 103–9. doi:10.2214/ajr.09.3040. PMID 20028911.
.jpg)