Fungal infection
| Mycosis | |
|---|---|
| Other names | Mycoses,[1] fungal disease,[2] fungal infection[3] ICD-10CM codes: Mycoses B35-B49 [4] |
![]() | |
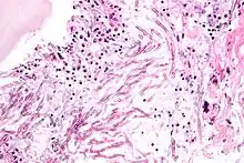
| Micrograph showing a mycosis (aspergillosis). The Aspergillus (which is spaghetti-like) is seen in the center and surrounded by inflammatory cells and necrotic debris. H&E stain. | |
| Specialty | Infectious Diseases[5] |
| Types | Systemic, superficial, subcutaneous[3] |
| Causes | Pathogenic fungus: dermatophytes, yeasts, molds[6][7] |
| Risk factors | Immunodeficiency, cancer treatment, large surface area wounds/burns,[8][9] organ transplant,[6] COVID-19,[10] tuberculosis |
| Diagnostic method | Based on symptoms, culture, microscopic examination[6] |
| Treatment | Antifungals[3] |
| Frequency | Common[11] |
| Deaths | 1.7 million (2020)[12] |
Fungal infection, also known as mycosis, is a disease caused by fungi.[5][13] Different types are traditionally divided according to the part of the body affected; superficial, subcutaneous, and systemic.[3][6] Superficial fungal infections include common tinea of the skin, such as tinea of the body, groin, hands, feet and beard, and yeast infections such as pityriasis versicolor.[7] Subcutaneous types include eumycetoma and chromoblastomycosis, which generally affect tissues in and beneath the skin.[1][7] Systemic fungal infections are more serious and include cryptococcosis, histoplasmosis, pneumocystis pneumonia, aspergillosis and mucormycosis.[3] Signs and symptoms range widely.[3] There is usually a rash with superficial infection.[2] Fungal infection within the skin or under the skin may present with a lump and skin changes.[3] Pneumonia-like symptoms or meningitis may occur with a deeper or systemic infection.[2]
Fungi are everywhere, but only some cause disease.[13] Fungal infection occurs after spores are either breathed in, come into contact with skin or enter the body through the skin such as via a cut, wound or injection.[3] It is more likely to occur in people with a weak immune system.[14] This includes people with illnesses such as HIV/AIDS, and people taking medicines such as steroids or cancer treatments.[14] Fungi that cause infections in people include yeasts, molds and fungi that are able to exist as both a mold and yeast.[3] The yeast Candida albicans can live in people without producing symptoms, and is able to cause both superficial mild candidiasis in healthy people, such as oral thrush or vaginal yeast infection, and severe systemic candidiasis in those who cannot fight infection themselves.[3]
Diagnosis is generally based on signs and symptoms, microscopy, culture, sometimes requiring a biopsy and the aid of medical imaging.[6] Some superficial fungal infections of the skin can appear similar to other skin conditions such as eczema and lichen planus.[7] Treatment is generally performed using antifungal medicines, usually in the form of a cream or by mouth or injection, depending on the specific infection and its extent.[15] Some require surgically cutting out infected tissue.[3]
Fungal infections have a world-wide distribution and are common, affecting more than one billion people every year.[11] An estimated 1.7 million deaths from fungal disease were reported in 2020.[12] Several, including sporotrichosis, chromoblastomycosis and mycetoma are neglected.[16]
A wide range of fungal infections occur in other animals, and some can be transmitted from animals to people.[17]
Classification
Mycoses are traditionally divided into superficial, subcutaneous, or systemic, where infection is deep, more widespread and involving internal body organs.[3][11] They can affect the nails, vagina, skin and mouth.[18] Some types such as blastomycosis, cryptococcus, coccidioidomycosis and histoplasmosis, affect people who live in or visit certain parts of the world.[18] Others such as aspergillosis, pneumocystis pneumonia, candidiasis, mucormycosis and talaromycosis, tend to affect people who are unable to fight infection themselves.[18] Mycoses might not always conform strictly to the three divisions of superficial, subcutaneous and systemic.[3] Some superficial fungal infections can cause systemic infections in people who are immunocompromised.[3] Some subcutaneous fungal infections can invade into deeper structures, resulting in systemic disease.[3] Candida albicans can live in people without producing symptoms, and is able to cause both mild candidiasis in healthy people and severe invasive candidiasis in those who cannot fight infection themselves.[3][7]
ICD-11 codes
- 1F20 Aspergillosis
- 1F21 Basidiobolomycosis
- 1F22 Blastomycosis
- 1F23 Candidosis
- 1F24 Chromoblastomycosis
- 1F25 Coccidioidomycosis
- 1F26 Conidiobolomycosis
- 1F27 Cryptococcosis
- 1F28 Dermatophytosis
- 1F29 Eumycetoma
- 1F2A Histoplasmosis
- 1F2B Lobomycosis
- 1F2C Mucormycosis
- 1F2D Non-dermatophyte superficial dermatomycoses
- 1F2E Paracoccidioidomycosis
- 1F2F Phaeohyphomycosis
- 1F2G Pneumocystosis
- 1F2H Scedosporiosis
- 1F2J Sporotrichosis
- 1F2K Talaromycosis
- 1F2L Emmonsiosis
Superficial mycoses
Superficial mycoses include candidiasis in healthy people, common tinea of the skin, such as tinea of the body, groin, hands, feet and beard, and malassezia infections such as pityriasis versicolor.[3][7]
Oral candidiasis
Tinea corporis
Pityriasis versicolor
Subcutaneous
Subcutaneous fungal infections include sporotrichosis, chromoblastomycosis, and eumycetoma.[3]
Systemic
Systemic fungal infections include histoplasmosis, cryptococcosis, coccidioidomycosis, blastomycosis, mucormycosis, aspergillosis, pneumocystis pneumonia and systemic candidiasis.[3]
Systemic mycoses due to primary pathogens originate normally in the lungs and may spread to other organ systems. Organisms that cause systemic mycoses are inherently virulent.. Systemic mycoses due to opportunistic pathogens are infections of people with immune deficiencies who would otherwise not be infected. Examples of immunocompromised conditions include AIDS, alteration of normal flora by antibiotics, immunosuppressive therapy, and metastatic cancer. Examples of opportunistic mycoses include Candidiasis, Cryptococcosis and Aspergillosis.
Signs and symptoms
Most common mild mycoses often present with a rash.[2] Infections within the skin or under the skin may present with a lump and skin changes.[3] Less common deeper fungal infections may present with pneumonia like symptoms or meningitis.[2]
Causes
Mycoses are caused by certain fungi; yeasts, molds and some fungi that can exist as both a mold and yeast.[3][6] They are everywhere and infection occurs after spores are either breathed in, come into contact with skin or enter the body through the skin such as via a cut, wound or injection.[3] Candida albicans is the most common cause of fungal infection in people, particularly as oral or vaginal thrush, often following taking antibiotics.[3]
Risk factors
Fungal infections are more likely in people with weak immune systems.[14] This includes people with illnesses such as HIV/AIDS, and people taking medicines such as steroids or cancer treatments.[14] People with diabetes also tend to develop fungal infections.[19] Very young and very old people, also, are groups at risk.[20]
Individuals being treated with antibiotics are at higher risk of fungal infections.[21]
Children whose immune systems are not functioning properly (such as children with cancer) are at risk of invasive fungal infections.[22]
COVID-19
During the COVID-19 pandemic some fungal infections have been associated with COVID-19.[10][23][24] Fungal infections can mimic COVID-19, occur at the same time as COVID-19 and more serious fungal infections can complicate COVID-19.[10] A fungal infection may occur after antibiotics for a bacterial infection which has occurred following COVID-19.[25] The most common serious fungal infections in people with COVID-19 include aspergillosis and invasive candidiasis.[26] COVID-19–associated mucormycosis is generally less common, but in 2021 was noted to be significantly more prevalent in India.[10][27]
Mechanism
Fungal infections occur after spores are either breathed in, come into contact with skin or enter the body through a wound.[3]
Diagnosis

Diagnosis is generally by signs and symptoms, microscopy, biopsy, culture and sometimes with the aid of medical imaging.[6]
Differential diagnosis
Some tinea and candidiasis infections of the skin can appear similar to eczema and lichen planus.[7] Pityriasis versicolor can look like seborrheic dermatitis, pityriasis rosea, pityriasis alba and vitiligo.[7]
Some fungal infections such as coccidioidomycosis, histoplasmosis, and blastomycosis can present with fever, cough, and shortness of breath, thereby resembling COVID-19.[28]
Prevention
Keeping the skin clean and dry, as well as maintaining good hygiene, will help larger topical mycoses. Because some fungal infections are contagious, it is important to wash hands after touching other people or animals. Sports clothing should also be washed after use.
Treatment
Treatment depends on the type of fungal infection, and usually requires topical or systemic antifungal medicines.[15] Pneumocystosis that does not respond to anti-fungals is treated with co-trimoxazole.[29] Sometimes, infected tissue needs to be surgically cut away.[3]
Epidemiology
Worldwide, every year fungal infections affect more than one billion people.[11] An estimated 1.6 million deaths from fungal disease were reported in 2017.[30] The figure has been rising, with an estimated 1.7 million deaths from fungal disease reported in 2020.[12] Fungal infections also constitute a significant cause of illness and mortality in children.[31]
According to the Global Action Fund for Fungal Infections, every year there are over 10 million cases of fungal asthma, around 3 million cases of long-term aspergillosis of lungs, 1 million cases of blindness due to fungal keratitis, more than 200,000 cases of meningitis due to cryptococcus, 700,000 cases of invasive candidiasis, 500,000 cases of pneumocystosis of lungs, 250,000 cases of invasive aspergillosis, and 100,000 cases of histoplasmosis.[32]
History
In 500BC, an apparent account of ulcers in the mouth by Hippocrates may have been thrush.[33] The Hungarian microscopist based in Paris David Gruby first reported that human disease could be caused by fungi in the early 1840s.[33]
SARS 2003
During the 2003 SARS outbreak, fungal infections were reported in 14.8–33% of people affected by SARS, and it was the cause of death in 25–73.7% of people with SARS.[34]
Other animals
A wide range of fungal infections occur in other animals, and some can be transmitted from animals to people, such as Microsporum canis from cats.[17]
See also
- Fungal infection in plants § Fungi
- Actinomycosis
- Climate change and infectious diseases
References
- 1 2 Johnstone RB (2017). "25. Mycoses and Algal infections". Weedon's Skin Pathology Essentials (2nd ed.). Elsevier. pp. 438–465. ISBN 978-0-7020-6830-0.
- 1 2 3 4 5 "Fungal Diseases Homepage | CDC". www.cdc.gov. 29 March 2021. Retrieved 17 June 2021.
- 1 2 3 4 5 6 7 8 9 10 11 12 13 14 15 16 17 18 19 20 21 22 23 24 25 Barlow G, Irving WL, Moss PJ (2020). "20. Infectious diseases". In Feather A, Randall D, Waterhouse M (eds.). Kumar and Clark's Clinical Medicine (10th ed.). Elsevier. pp. 559–563. ISBN 978-0-7020-7870-5.
- ↑ ICD-10CM. mycoses B35-B49.
{{cite book}}: CS1 maint: numeric names: authors list (link) - 1 2 3 "ICD-11 - ICD-11 for Mortality and Morbidity Statistics". icd.who.int. Retrieved 25 May 2021.
- 1 2 3 4 5 6 7 Willinger B (2019). "1. What is the target? Clinical mycology and diagnostics". In Presterl E (ed.). Clinically Relevant Mycoses: A Practical Approach. Germany: Springer. pp. 3–19. ISBN 978-3-319-92299-7.
- 1 2 3 4 5 6 7 8 Kutzner H, Kempf W, Feit J, Sangueza O (2021). "2. Fungal infections". Atlas of Clinical Dermatopathology: Infectious and Parasitic Dermatoses. Hoboken: Wiley Blackwell. pp. 77–108. ISBN 978-1-119-64706-5.
- ↑ Struck MF, Gille J (September 2013). "Fungal infections in burns: a comprehensive review". Annals of Burns and Fire Disasters. 26 (3): 147–153. PMC 3917146. PMID 24563641.
- ↑ Kalan L, Grice EA (July 2018). "Fungi in the Wound Microbiome". Advances in Wound Care. 7 (7): 247–255. doi:10.1089/wound.2017.0756. PMC 6032664. PMID 29984114.
- 1 2 3 4 "Fungal Diseases and COVID-19 | CDC". www.cdc.gov. 7 June 2021. Retrieved 7 August 2021.
- 1 2 3 4 Nakazato G, Alesandra A, Lonni SG, Panagio LA, de Camargo LC, Goncalves MC, et al. (2020). "4. Applications of nanometals in cutaneous infections". In Rai M (ed.). Nanotechnology in Skin, Soft Tissue, and Bone Infections. Switzerland: Springer. ISBN 978-3-030-35146-5.
- 1 2 3 Kainz K, Bauer MA, Madeo F, Carmona-Gutierrez D (June 2020). "Fungal infections in humans: the silent crisis". Microbial Cell. 7 (6): 143–145. doi:10.15698/mic2020.06.718. PMC 7278517. PMID 32548176.
- 1 2 Richardson MD, Warnock DW (2012). "1. Introduction". Fungal Infection: Diagnosis and Management (4th ed.). John Wiley & Sons. pp. 1–7. ISBN 978-1-4051-7056-7.
- 1 2 3 4 "Fungal Infections | Fungal | CDC". www.cdc.gov. 29 January 2019. Retrieved 16 June 2021.
- 1 2 Graininger W, Diab-Elschahawi M, Presterl E (2019). "3. Antifungal agents". In Presterl E (ed.). Clinically Relevant Mycoses: A Practical Approach. Springer. pp. 31–44. ISBN 978-3-319-92299-7.
- ↑ Queiroz-Telles F, Fahal AH, Falci DR, Caceres DH, Chiller T, Pasqualotto AC (November 2017). "Neglected endemic mycoses". The Lancet. Infectious Diseases. 17 (11): e367 – e377. doi:10.1016/S1473-3099(17)30306-7. PMID 28774696.
- 1 2 Seyedmousavi S, Bosco SM, de Hoog S, Ebel F, Elad D, Gomes RR, et al. (April 2018). "Fungal infections in animals: a patchwork of different situations". Medical Mycology. 56 (suppl_1): 165–187. doi:10.1093/mmy/myx104. PMC 6251577. PMID 29538732.
- 1 2 3 "Types of Fungal Diseases | Fungal Diseases | CDC". www.cdc.gov. 27 June 2019. Retrieved 12 June 2021.
- ↑ "Thrush in Men". NHS. Retrieved 2013-07-13.
- ↑ "Fungal infections: Introduction". Archived from the original on May 8, 2003. Retrieved May 26, 2010.
- ↑ Britt LD, Peitzman A, Barie P, Jurkovich G (2012). Acute Care Surgery. Lippincott Williams & Wilkins. p. 186. ISBN 9781451153934.
- ↑ Blyth CC, Hale K, Palasanthiran P, O'Brien T, Bennett MH (February 2010). "Antifungal therapy in infants and children with proven, probable or suspected invasive fungal infections". The Cochrane Database of Systematic Reviews. 2015 (2): CD006343. doi:10.1002/14651858.cd006343.pub2. PMC 10576261. PMID 20166083.
- ↑ Hoenigl M, Talento AF, eds. (2021). Fungal Infections Complicating COVID-19. MDPI. ISBN 978-3-0365-0554-1.
- ↑ Gangneux JP, Bougnoux ME, Dannaoui E, Cornet M, Zahar JR (June 2020). "Invasive fungal diseases during COVID-19: We should be prepared". Journal de Mycologie Médicale. 30 (2): 100971. doi:10.1016/j.mycmed.2020.100971. PMC 7136887. PMID 32307254.
- ↑ Saxena SK (2020). Coronavirus Disease 2019 (COVID-19): Epidemiology, Pathogenesis, Diagnosis, and Therapeutics. Singapore: Springer. p. 73. ISBN 978-981-15-4813-0.
- ↑ "Fungal Diseases and COVID-19". www.cdc.gov. 7 June 2021. Retrieved 7 August 2021.
- ↑ Qu JM, Cao B, Chen RC (2021). COVID-19: The Essentials of Prevention and Treatment. Amsterdam, Netherlands: Elsevier. ISBN 978-0-12-824003-8.
- ↑ "Fungal Diseases and COVID-19". www.cdc.gov. 7 June 2021. Retrieved 19 June 2021.
- ↑ "CDC - DPDx - Pneumocystis". www.cdc.gov. 22 January 2019. Archived from the original on 25 July 2021. Retrieved 25 July 2021.
- ↑ "Stop neglecting fungi". Nature Microbiology. 2 (8): 17120. July 2017. doi:10.1038/nmicrobiol.2017.120. PMID 28741610.
- ↑ Sehgal M, Ladd HJ, Totapally B (December 2020). "Trends in Epidemiology and Microbiology of Severe Sepsis and Septic Shock in Children". Hospital Pediatrics. 10 (12): 1021–1030. doi:10.1542/hpeds.2020-0174. PMID 33208389. S2CID 227067133.
- ↑ Rodrigues ML, Nosanchuk JD (February 2020). "Fungal diseases as neglected pathogens: A wake-up call to public health officials". PLOS Neglected Tropical Diseases. 14 (2): e0007964. doi:10.1371/journal.pntd.0007964. PMC 7032689. PMID 32078635.
- 1 2 Homei A, Worboys M (11 November 2013). "1. Introduction". Fungal Disease in Britain and the United States 1850-2000: Mycoses and Modernity. Springer. p. 6. ISBN 978-0-333-71492-8.
- ↑ Song G, Liang G, Liu W (August 2020). "Fungal Co-infections Associated with Global COVID-19 Pandemic: A Clinical and Diagnostic Perspective from China". Mycopathologia. 185 (4): 599–606. doi:10.1007/s11046-020-00462-9. PMC 7394275. PMID 32737747.
