Cystic nephroma

Cystic nephroma
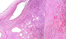
Micrograph of a cystic nephroma (left of image). Normal kidney is seen on the right. H&E stain.
SpecialtyOncology Edit this on Wikidata

A cystic nephroma, also known as multilocular cystic nephroma, mixed epithelial stromal tumour (MEST) and renal epithelial stromal tumour (REST),[1] is a type of rare benign kidney tumour.

Symptoms

Cystic nephromas are often asymptomatic. They are typically discovered on medical imaging incidentally (i.e. an incidentaloma).

Diagnosis

Cystic nephromas are diagnosed by biopsy or excision. It is important to correctly diagnose them as, radiologically, they may mimic the appearance of a renal cell carcinoma that is cystic.[2]

Pathologic diagnosis

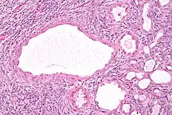
High magnification micrograph of a cystic nephroma showing the characteristic simple epithelium with hobnail morphology, and the ovarian-like stroma. H&E stain.

The characteristics of cystic nephromas are:

  • Cysts lined by a simple epithelium with a hobnail morphology, i.e. the nuclei of the cyst lining epithelium bulges into the lumen of the cysts,
  • Ovarian-like stroma that has a:
    • Spindle cell morphology, and has a
    • Basophilic cytoplasm.

Cystic nephromas have an immunostaining pattern like ovarian stroma; they are positive for:

  • Estrogen receptor (ER),
  • Progesterone receptor (PR) and
  • CD10.

Differential diagnosis

Histopathologic types of kidney tumor, with relative incidences and prognoses. Cystic nephroma is seen at bottom right in pie chart.

Additional images

References

  1. โ†‘ Turbiner J, Amin MB, Humphrey PA, Srigley JR, De Leval L, Radhakrishnan A, Oliva E (April 2007). "Cystic nephroma and mixed epithelial and stromal tumor of kidney: a detailed clinicopathologic analysis of 34 cases and proposal for renal epithelial and stromal tumor (REST) as a unifying term". The American Journal of Surgical Pathology. 31 (4): 489โ€“500. doi:10.1097/PAS.0b013e31802bdd56. PMID 17414095.
  2. โ†‘ Small JE, Jinnteh T, Hong X, Tuncali K, Seltzer SE, Ros PR (11 August 2003). "Cystic Nephroma". BrighamRAD Teaching Case Database. Archived from the original on 2004-10-24.
This article is issued from Wikipedia. The text is licensed under Creative Commons - Attribution - Sharealike. Additional terms may apply for the media files.