Rhabdoporella stolleyi

Rhabdoporella stolleyi

Taxonavigation

Taxonavigation: Dasycladales 

Superregnum: Eukaryota
Regnum: Plantae
Divisio: Chlorophyta
Subphylum: Chlorophytina
Classis: Ulvophyceae
Ordo: Dasycladales

Familia: †Dasyporellaceae
Tribus: †Dasyporelleae
Genus: †Rhabdoporella
Species: †Rhabdoporella stolleyi

Name

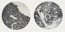
Rhabdoporella stolleyi Rothpletz, 1913: 30, pl. 5: figs. 1-2 (as 'Stolleyi')

References

Primary references

  • Rothpletz, A. 1913. Über die Kalkalgen, Spongiostromen und einige andere Fossilien aus dem Obersilur Gotlands. Sveriges Geologiska Undersökning 10: 1–57. BHL Reference page. 
  • Guiry, M.D. & Guiry, G.M. 2023. Rhabdoporella stolleyi. AlgaeBase. World-wide electronic publication, National University of Ireland, Galway. Accessed 2023-10-11.
This article is issued from Wikimedia. The text is licensed under Creative Commons - Attribution - Sharealike. Additional terms may apply for the media files.