Tumoare cerebrală
| Tumoare cerebrală | |
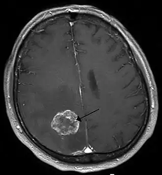
![]() Metastază cerebrală în emisfera cerebrală dreaptă, cauzată de cancerul pulmonar afișată prin intermediul imagisticii de rezonanță nucleară. | |
| Specialitate | oncologie neurochirurgie neurologie |
|---|---|
| Clasificare și resurse externe | |
| ICD-9 | 191, 225.0 |
| DiseasesDB | 30781 |
| MedlinePlus | 007222 000768 |
| eMedicine | emerg/334 |
| NCI | Tumoare cerebrală |
| MeSH ID | D001932 |
O tumoare cerebrală sau neoplasm intracranian apare atunci când celule anormale se formează în creier.[1] Există două tipuri principale de tumori: malignă sau canceroasă și benignă.[1] Tumorile canceroase pot fi împărțite în tumori principale, ce apar direct pe creier și acelea care s-au răspândit din altă parte, cunoscute ca și tumori- metastaze cerebrale.[2] Acest articol se axează, în principal, pe tumorile ce apar pe creier. Toate tipurile de tumori cerebrale produc simptome ce variază în funcție de partea implicată a creierului.[1] Acestea pot include dureri de cap, convulsii, tulburări de vedere, stări de vomă și schimbări mentale.[2] Durerea de cap este, în mod clasic, mai puternică dimineața și dispare după vomitare.[1] Mai multe probleme specifice pot include dificultăți la mers, în timpul vorbirii sau senzoriale.[2][3] Pe măsură ce boala progresează, se pot întâlni cazuri de pierdere a cunoștinței.[3]
Cauze și diagnostic
Cauza celor mai multe dintre aceste cazuri este necunoscută.[1] Factorii de risc ce ar putea fi implicați ocazional, includ un număr de sindromuri genetice precum neurofibromatoza, dar și expunerea la substanța chimică clorură de vinil, virusul Epstein-Barr și radiații ionizante.[1][2][3] Deși există semne de îngrijorare privind utilizarea telefonului mobil, dovezile nu sunt clare.[3] Cele mai uzuale tipuri de tumori primare, la adulți, sunt: meningiomul și astrocitomul, precum glioblastomul.[2] La copii, tipul cel mai întâlnit este meduloblastomul.[3] Diagnosticul este dat în general prin examinare medicală, împreună cu o tomografie computerizată sau imagistică prin rezonanță magnetică.[1] După diagnosticare, boala este, în general, confirmată prin biopsie.[2] Plecând de la constatarea tumorilor, acestea sunt împărțite în diferite grade de severitate.[2]
Tratament și prognostic
Tratamentul poate include o combinație de intervenții chirurgicale, terapie prin radiere și chimioterapie.[2] Medicamentația anticonvulsivă este necesară pentru persoanele ce au convulsii.[2] Dexametazona și furosemidul pot fi administrate pentru a reduce umflăturile din jurul tumorii.[2] Unele tumori cresc suficient de lent încât este necesară doar monitorizarea acestora.[2] Sunt studiate tratamente ce folosesc sistemul imunitar al persoanei.[1] Rezultatul variază considerabil, în funcție de tipul tumorii și de cât de mult s-a răspândit în momentul diagnosticării.[3] Glioblastoamele au, în general, rezultate slabe, în timp ce meningioamele au rezultate bune.[3] Media de cinci ani rată de supraviețuire pentru cancerul cerebral este de 33% in Statele Unite ale Americii.[4]
Epidemiologie
Tumorile cerebrale secundare sau metastatice sunt mai comune decât tumorile cerebrale primare,[1] iar jumătate din metastaze au ca sursă cancerul pulmonar.[1] Tumorile cerebrale primare apar la aproximativ 250.000 de oameni pe an la nivel global, ceea ce înseamnă mai puțin de 2% decât alte tipuri de cancer.[3] La copiii sub 15 ani, tumorile cerebrale sunt pe locul doi, după leucemia acută limfoblastică, ca și cauză a cancerului.[5] În Australia costurile economice medii ale unui caz de cancer cerebral sunt de 1.9 milioane de dolari, mai ridicate decât ale oricărui alt tip de cancer.[6]
Referințe
- 1 2 3 4 5 6 7 8 9 10 „General Information About Adult Brain Tumors”. NCI. . Accesat în .
- 1 2 3 4 5 6 7 8 9 10 11 „Adult Brain Tumors Treatment”. NCI. . Accesat în .
- 1 2 3 4 5 6 7 8 World Cancer Report 2014. World Health Organization. . pp. Chapter 5.16. ISBN 9283204298.
- ↑ „SEER Stat Fact Sheets: Brain and Other Nervous System Cance”. NCI. Accesat în .
- ↑ World Cancer Report 2014. World Health Organization. . pp. Chapter 1.3. ISBN 9283204298.
- ↑ „Brain Tumour Facts 2011” (PDF). Brain Tumour Alliance Australia. Arhivat din original în . Accesat în .
