Sistem limfatic
| Sistemul limfatic | |
|---|---|
![]() | |
| Sistemul limfatic uman | |
![]() | |
| Latină | systema lymphoideum |
Sistemul limfatic este parte a sistemului circulator, care cuprinde o rețea de vase limfatice care transportă un lichid clar numit limfă (latină apă[1]) direcțional spre inimă. Sistemul limfatic a fost descris pentru prima dată în secolul al XVII-lea, în mod independent de către Olaus Rudbeck și Thomas Bartholin. Spre deosebire de sistemul cardiovascular sistemul limfatic nu este un sistem închis. Sistemul circulator uman procesează o medie de 20 de litri de sânge pe zi prin filtrare capilară, prin care se elimină plasma, rămânând celulele sanguine. Aproximativ 17 litri din plasma filtrată sunt reabsorbiți direct în vasele de sânge, în timp ce restul de 3 litri rămân în lichidul interstițial. Una dintre principalele funcții ale sistemului limfatic este de a asigura o cale alternativă pentru ca acești 3 litri în plus pe zi să revină în sânge.[2]
Cealaltă funcție principală este aceea de apărare a sistemului imunitar. Limfa este foarte asemănătoare cu plasma sanguină însă conține limfocite și alte celule albe. Ea conține, de asemenea, produse reziduale și resturi de celule împreună cu bacterii și proteine. Organele asociate compuse din țesut limfoid sunt locurile de producție ale limfocitelor. Limfocitele sunt concentrate în ganglionii limfatici. Splina și timusul sunt, de asemenea, organe limfoide ale sistemului imunitar. Amigdalele sunt organe limfoide, care sunt de asemenea asociate cu sistemul digestiv. Țesuturile limfoide conțin limfocite și, de asemenea, alte tipuri de celule pentru sprijin.[3] De asemenea, sistemul include toate structurile dedicate circulației și producerii de limfocite (componenta celulară principală a limfei), care include, de asemenea, măduva osoasă, și țesutul limfoid asociat cu sistemul digestiv.[4]
Sângele nu vine în contact direct cu celulele și țesuturile parenchimatoase din organism, ci mai degrabă constituenții sângelui mai întâi părăsesc vasele microvasculare de schimb pentru a deveni fluid interstițial, care apoi vine în contact cu celulele parenchimatoase ale corpului. Limfa este lichidul care se formează atunci când fluidul interstițial intră în vasele limfatice inițiale ale sistemului limfatic. Limfa este apoi deplasată de-a lungul rețelei de vase limfatice fie prin contracțiile intrinseci ale pasajelor limfatice, fie prin compresia extrinsecă a vaselor limfatice datorită forțelor externe exercitate de țesuturi (de exemplu, contracțiile mușchilor scheletici), sau prin intermediul inimilor limfatice în cazul unor animale. Organizarea ganglionilor limfatici și a drenajului urmează organizarea corpului în regiuni interne și externe; prin urmare, drenajul limfatic al capului, membrelor și pereților cavității corpului urmează un traseu extern, iar drenajul limfatic al toracelui, abdomenului, precum și al cavităților pelviene urmează un traseu intern.[5] În cele din urmă, vasele limfatice se golesc în conductele limfatice, care se varsă într-una dintre cele două vene subclaviculare, aproape de joncțiunea lor cu venele jugulare interne.
Structura

Sistemul limfatic constă din organele limfatice, o rețea de transport alcătuită din vasele limfatice și din limfa circulantă.
Țesutul limfoid terțiar conține de obicei mult mai puține limfocite și își asumă un rol imunitar doar atunci când a interacționat cu antigeni care au avut ca rezultat inflamația. El realizează acest lucru importând limfocitele din sânge și limfă.[6]
Timusul și măduva osoasă constituie principalele organe limfoide implicate în producerea și selecția clonală precoce a țesuturilor de limfocite. Măduva osoasă e responsabilă de crearea ambelor tipuri de celule T precum și de producția și maturizarea celulelor B. De la nivelul măduvei osoase, celulele B se alătură imediat sistemului sangvin și merg spre organe limfoide secundare în căutarea agenților patogeni. Celulele T, pe de altă parte, merg de la măduva osoasă către timus, unde se pot dezvolta mai departe. Celulele T mature se alătură celulelor B în căutarea agenților patogeni. Restul de 95% din celulele T încep un proces de apoptoză (moarte celulară programată).
Organele limfoide primare sau centrale generează limfocite din celulele progenitoare imature.
Organele limfoide secundare sau periferice care includ nodulii limfatici și splina, conțin limfocite mature naive și inițiază un răspuns imun adaptativ. Organele limfoide periferice sunt locurile de activare a limfocitelor de către antigen. Activarea conduce la expansiune clonală și maturizarea afinității. Limfocitele mature recirculă între sânge și organele limfoide periferice până când își întâlnesc antigenul specific.
Țesutul limfoid secundar oferă mediul pentru ca moleculele native, alterate sau străine (antigene), să interacționeze cu limfocitele. Sunt exemplificate de nodulii limfatici și foliculii limfoizi din amigdale, plăcile Peyer, splina, polipi nazali, tegument, etc care sunt asociate cu mucoasa-țesut limfoid asociat (MALT).
În peretele gastrointestinal, apendicele are o mucoasă asemănătoare cu cea a colonului, însă aici este puternic infiltrat cu limfocite.
Timusul
Timusul este un organ limfoid central și este sediul celulelor limfoformatoare de tip T(timocitele).
Splina
Splina sintetizează anticorpii în pulpa sa albă și îndepărtează bacteriile acoperite de anticorpi și celulele sangvine acoperite de anticorpi pe calea circulației sangvine și a nodulilor limfatici. Un studiu publicat în 2009 utilizând șoareci a descoperit că splina conține, în rezervele sale, jumătate din monocitele corpului la nivelul pulpei roșii.[7] Aceste monocite, după deplasarea către țesuturile lezate (cum ar fi inima), se transformă în celule dendritice și macrofage în timp ce inițiază vindecarea tisulară.[7][8][9] Splina este un centru de activitate a sistemului fagocitic mononuclear și poate fi considerată echivalentul unui ganglion limfatic mare, deoarece absența sa predispune la anumite infecții.
La fel ca și timusul, splina are doar vase limfatice eferente. Atât artera gastrică scurtă cât și artera splenică o irigă cu sânge.[10]
Centrii germinali sunt irigați de arteriole denumite rădăcini peniciliforme.[11]
Până în luna a cincea de dezvoltare prenatală, splina creează celule roșii sangvine. După naștere măduva osoasă rămâne singura responsabilă de hematopoeză. Ca un organ limfatic major și având un rol central în sistemul reticuloendotelial, splina păstrează capacitatea de a produce limfocite. Splina stochează celule roșii sangvine și limfocite. Ea poate stoca suficiente celule roșii sangvine pentru a ajuta în cazul unei urgențe. În orice moment pot fi stocate până la 25% din limfocite.[12]
Ganglionii limfatici (nodulii limfatici)

Un ganglion limfatic este o colecție organizată de țesut limfatic, prin care limfa trece pe traseul său înapoi în sânge. Ganglionii limfatici sunt localizați la anumite intervale de-a lungul sistemului limfatic. Câteva vase limfatice aferente aduc limfa, care pătrunde prin substanța nodulilor limfatici, și este apoi drenată printr-un vas limfatic eferent. Sunt între cinci și șase sute de ganglioni limfatici în corpul uman, dintre care mulți sunt grupați în clustere în diferite regiuni, precum în zona axilară sau abdominală.
Corpul unui nodul limfatic constă din foliculi limfoizi aflați în partea exterioară denumită cortex. Partea interioară a nodulului este denumită măduvă, și este înconjurată de cortex pe toată suprafața, cu excepția unei porțiuni denumită hil. Hil-ul se prezintă ca o adâncitură pe suprafața ganglionului limfatic, făcând ca ganglionul limfatic - sferic de felul lui - să aibă forma bobului de fasole sau ovoidă. Vasul limfatic eferent pornește direct din nodulul limfatic de aici. Arterele și venele care irigă nodulul limfatic cu sânge intră și ies la nivelul hilului.
Există o zonă la nivelul ganglionului limfatic, denumită paracortex, care înconjoară imediat măduva. Spre deosebire de cortex, care conține în principal celule T imature sau timocite, paracortexul conține un amestec de celule T mature și imature. Limfocitele intră în ganglionul limfatic prin venule endoteliale înalt specializate, care se găsesc în paracortex.
Un folicul limfatic este o colecție densă de limfocite, numărul, mărimea și configurația acestora modificându-se în concordanță cu starea funcțională a ganglionului limfatic. De exemplu, foliculii se extind semnificativ când întâlnesc un antigen străin. Selecția celulelor B, de asemenea numite limfocite B, apare în centrul germinal al ganglionului limfatic.
Ganglionii limfatici sunt în mod particular mai numeroși în mediastin în torace, gât, pelvis, axilă (sub braț), regiunea inghinală și în asociere cu vasele sangvine ale intestinelor.[4]
Alte tipuri de țesut limfatic

Țesutul limfoid asociat cu sistemul limfatic se ocupă cu funcțiile imunitare, apărând corpul de infecții și de răspândirea tumorilor. El constă din țesut conjunctiv format din fibre reticulare cu diverse tipuri de leucocite (celule albe sangvine), în principal limfocite prinse în acesta, prin care trece limfa. Regiunile țesutului limfatic care sunt dens impregnate cu limfocite sunt cunoscute ca foliculi limfatici. Țesutul limfatic poate să fie bine organizat structural sub forma ganglionilor limfatici, ori poate consta în foliculi limfoizi vag organizați cunoscuți ca țesut limfatic asociat mucoasei.
Limfaticele

Vasele limfatice de asemenea denumite uneori vase de limfă, conduc limfa între diferite părți ale corpului. Ele includ vasele tubulare ale capilarelor limfatice, vasele colectoare limfatice, ductul limfatic drept și ductul toracic denumit de asemenea și ductul limfatic stâng. Vasele limfatice transportă limfa înapoi în sânge, în cele din urmă înlocuind volumul pierdut din sânge în timpul formării lichidului interstițial. Aceste vase sunt numite, de asemenea, canale limfatice sau simplu, limfatice.[13]
Limfaticele sunt responsabile pentru menținerea balanței lichidelor corporale. Rețeaua sa de capilare și vase limfatice colectoare, funcționează pentru a drena eficient și a transporta fluidul extravazat înapoi în sistemul cardiovascular. Fluidele împreună cu proteinele și antigenele sunt capturate și returnate circulației sangvine. Există numeroase valve intraluminale menite să asigure un flux unidirecțional fără reflux. Două sisteme de valve sunt utilizate pentru a se obține acest flux unidirecțional - un sistem de valve primare și secundare.[14]Two valve systems are used to achieve this one directional flow—a primary and a secondary valve system.[15]
Capilarele sunt înfundate, iar supapele de aici utilizează niște joncțiuni specializate, împreună cu filamente de ancorare, pentru a permite un flux unidirecțional către vasele primare. Limfaticele colectoare sunt prevăzute totuși să acționeze prin propulsarea limfei în circulația sangvină prin acțiunea combinată a valvelor intraluminale și a celulelor musculare limfatice.[16]
Dezvoltarea
Țesuturile limfatice încep să se dezvolte pe la sfârșitul celei de a cincea săptămâni de dezvoltare embrionară. Vasele limfatice se dezvoltă din sacii limfatici care apar din venele în curs de dezvoltare, care sunt derivate din mezoderm.
Primii saci limfatici care apar sunt cei doi saci limfatici jugulari aflați la intersecția venelor jugulare și subclaviene. Din sacii limfatici jugulari, se răspândesc plexurile capilare limfatice către torace, membrele superioare, gât și cap. Unele dintre plexuri se lărgesc și formează vasele limfatice din regiunile lor corespunzătoare. Fiecare sac limfatic jugular reține cel puțin o conexiune cu vena sa jugulară, cea stângă dezvoltându-se în porțiunea superioară a ductului toracic.
Următorul sac limfatic care apare este sacul limfatic retroperitoneal nepereche aflat la nivelul rădăcinii mezenterului intestinelor. Se dezvoltă din vena cavă primitivă și venele mezonefrice. Plexurile capilare și vasele limfatice se întind de la sacul limfatic retroperitoneal către viscerele abdominale și diafragm. Sacul stabilește conexiuni cu cisterna chilului limfatic, dar își pierde conexiunile sale cu venele învecinate.
Ultimii saci limfatici, sacii limfatici posteriori pereche, se dezvoltă din venele iliace. Sacii limfatici posteriori produc plexurile capilare și vasele limfatice ale peretelui abdominal, regiunii pelvice și membrelor inferioare. Sacii limfatici posteriori se alătură cisternei limfatice și își pierd conexiunile cu venele adiacente.
Cu excepția părții anterioare a sacului de la care se dezvoltă cisterna chilului, toți sacii limfatici devin invadați de celule mezenchimale și sunt transformați în grupuri de ganglioni limfatici.
Splina se dezvoltă din celule mezenchimale între straturile dorsale ale mezenterului stomacului. Timusul apare ca o excrescență a celei de-a treia pungi faringiene.
Funcții
Sistemul limfatic are multiple funcții interdependente:[17]
- Este responsabil pentru eliminarea fluidului interstițial din țesuturi
- Absoarbe și transportă acizii grași și grăsimile precum chilul din sistemul digestiv
- Transportă globule albe către și de la ganglionii limfatici în oase
- Limfa transportă celulele prezentatoare de antigen, precum celule dendritice către nodulii limfatici unde este stimulat un răspuns imun
Funcție de sistem de transport al acizilor grași
Vase limfatice numite chilifere sunt prezente în endoteliul tractului gastrointestinal, predominant în intestinul subțire. În timp ce mulți alți nutrienți absorbiți de intestinul subțire sunt trecuți în sistemul venos portal pentru a fi drenați pe calea venei porte în ficat pentru procesare, grăsimile (lipidele) sunt trecute în sistemul limfatic pentru a fi transportate în circulația sangvină prin intermediul canalului toracic. (Exista și excepții, de exemplu trigliceridele cu lanț mediu (MCTs) sunt esteri grași ai glicerolului care difuzează pasiv din tractul gastrointestinal către sistemul portal). Limfa îmbogățită provenită din vasele limfatice ale intestinului subțire este denumită chil. Nutrienții care sunt eliberați în sistemul circulator sunt procesați de ficat, fiind traversați prin circulația lui sistemică.
Funcția imunitară
Semnificația clinică
Studiul drenajului limfatic al diferitelor organe este important în diagnosticul, prognosticul și tratamentul cancerului. Sistemul limfatic, datorită proximității sale fizice cu principalele țesuturi ale corpului, este responsabil pentru transportul celulelor canceroase între diferite părți ale corpului într-un proces denumit metastază. Ganglionii limfatici implicați pot captura aceste celule canceroase. Dacă aceștia nu sunt eficienți în distrugerea celulelor canceroase, ganglionii pot deveni locuri ale tumorilor secundare.
Limfadenopatia
Limfadenopatia se referă la unul sau mai mulți ganglioni limfatici măriți. Grupuri mici sau ganglioni limfatici individuali măriți sunt în general reactivi ca răspuns la infecție sau inflamație. Aceasta este denumită limfadenopatie locală. Când mai mulți ganglioni limfatici din diferite părți ale corpului sunt implicați, se numește limfadenopatie generalizată. Limfadenopatia generalizată poate fi determinată de infecții precum mononucleoza infecțioasă, tuberculoza și HIV, boli ale țestului conjunctiv precum LES (lupus eritematos sistemic) și artrita reumatoidă, și cancere, incluzând ambele tipuri de cancere ale țesutului din ganglionii limfatici, discutate mai jos și metastaza celulelor canceroase din alte părți ale corpului, care au ajuns prin intermediul sistemului limfatic.[18]
Limfedemul
Limfedemul este umflarea cauzată de acumularea limfei care poate să apară dacă sistemul limfatic este afectat sau are malformații. De obicei afectează membrele, deși fața, gâtul și abdomenul pot fi de asemenea afectate. Într-o stare extremă denumită elefantiazis acest proces
progresează astfel încât pielea devine groasă cu un aspect similar pielii de la nivelul membrelor unui elefant.[19]
Cauzele sunt necunoscute în majoritatea cazurilor, dar uneori există un istoric anterior de infecție severă, de obicei cauzată de o parazitoză precum filarioza limfatică.
Limfangiomatoza este o afecțiune ce implică chisturi multiple sau leziuni formate din vasele limfatice.
Limfedemul poate de asemenea să apară după îndepărtarea chirurgicală a nodulilor limfatici canceroși de la nivelul axilei (cauzând edem al brațului datorită drenajului limfatic deficitar) sau inghinal (ce determină edem la nivelul piciorului). Tratamentul constă în masaj și nu este permanent.
Cancerul

Cancerul sistemului limfatic poate fi primar sau secundar. Limfomul se referă la cancerul care ia naștere din țesutul limfatic. Leucemia limfoidă și limfoamele sunt acum considerate a fi tumori ale aceluiași tip de linii celulare. Ele sunt denumite leucemii atunci când sunt localizate în sânge sau în măduva osoasă și limfom când sunt localizate în țesutul limfatic. Sunt grupate împreună sub denumirea de cancer limfoid.[20]
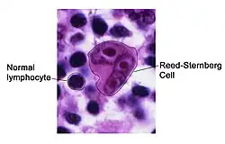
Limfomul este în general considerat ca fiind limfom Hodgkin și limfom non-Hodgkin. Limfomul Hodgkin este caracterizat printr-un tip particular de celule, denumite celule Reed-Sternberg, vizibile la microscop. Este asociat cu infecția anterioară cu virusul Epstein-Barr și, în general, determină o limfadenopatie „gumoasă” nedureroasă. Este diagnosticat pe stadii utilizând metoda Ann Arbor. Chimioterapia în general implică cura ABVD și poate implica și radioterapia.[21] Limfomul non-Hodgkin este un cancer caracterizat prin proliferarea crescută a celulelor B sau T, în general apare la vârstă mai înaintată decât în cazul limfomului Hodgkin. Este tratat în funcție de grad - avansat sau incipient - și prezintă un prognostic mai rezervat față de limfomul Hodgkin.[21]
Limfangiosarcomul este o tumoră malignă a țesutului moale în timp ce limfangiomul este o tumoră benignă care apare frecvent în asociere cu sindromul Turner. Limfangioleiomiomatoza este o tumoră benignă a musculaturii netede a limfaticelor care apare la nivelul plămânilor.
Istorie
Hippocrate a fost una dintre primele persoane care a menționat sistemul limfatic în secolul V î.e.n. În lucrarea sa - Despre articulații - el a menționat pe scurt despre ganglionii limfatici într-o singură propoziție. Rufus din Efes, un medic roman, a identificat ganglionii limfatici axilari, inghinali și mezenterici precum și timusul între primul secol și al doilea e.n.[22] Prima mențiune a vaselor limfatice a fost în secolul al 3-lea înainte de Hristos de către Herophilos, un anatomist grec care locuia în Alexandria, care a concluzionat în mod incorect că ”venele absorbante ale limfaticelor” - prin care el înțelegea vasele limfatice (vasele limfatice ale intestinului) - drenează în vena portă hepatică și de aici în ficat.[22] Descoperirile lui Ruphus și Herophilos au fost propagate ulterior de medicul grec Galen, care a descris vasele limfatice și ganglionii limfatici mezenterici pe care el îi observase în disecțiile sale pe maimuțe și porci în secolul al II-lea e.n.[22][23]
La mijlocul secolului al XVI-lea, Gabriele Falloppio (descoperitorul trompelor falopiene) a descris ceea ce astăzi sunt cunoscute drept vase limfatice, ca fiind un „traseu de-a lungul intestinelor plin cu substanță galbenă”.[22] În jurul lui 1563, Bartolomeo Eustachio, un profesor de anatomie, descria canalul toracic la cabaline ca vena albă toracică.[22] Următoarea descoperire a avut loc în 1622 când un doctor, Gaspare Aselli, a identificat vasele limfatice ale intestinului la câini și le-a denumit vena albă și lactee, care acum sunt cunoscute ca vase limfatice. Vasele limfatice au fost denumite ca cel de-al patrulea tip de vase (celelalte trei fiind arterele, venele și nervii, care erau considerate pe atunci ca fiind un tip de vas), și dezaproba afirmația lui Galen cum că chilul era transportat de către vene. Dar, el încă credea că vasele limfatice transportau chilul către ficat (precum era predat de Galen).[24] El, de asemenea, a identificat canalul toracic, dar nu a reușit să evidențieze conexiunile sale cu vasele chilifere.[22] Această conexiune a fost stabilită de către Jean Pecquet în 1651, care a descoperit un lichid alb care se amestecă cu sângele la nivelul inimii unui câine. El a presupus că acel lichid este chiar chilul pe măsură ce debitul său creștea atunci când era aplicată o presiune abdominală. El a urmărit traseul acestui fluid până la canalul toracic, pe care l-a urmat până la un sac umplut cu chil pe care l-a denumit receptaculul chilului, care este acum cunoscut sub denumirea de cisterna chili; investigații ulterioare l-au condus la descoperirea faptului că conținutul chiliferelor pătrunde în sistemul venos prin canalul toracic.[22][24] Astfel, s-a dovedit cu certitudine faptul că aceste vase limfatice nu se termină în ficat, astfel negând a doua idee a lui Galen, anume că lichidul vâscos rezultat din procesul de digestie intestinală (chil) curgea spre ficat.[24] Johann Veslingius a desenat primele schițe ale vaselor limfatice la oameni în 1647.[23]
Ideea cum că sângele recirculă prin corp mai degrabă decât sa fie produs din nou de către ficat și de inimă a fost acceptată prima oară ca rezultat al lucrării lui William Harvey- lucrare pe care a publicat-o în 1628. În 1652, Olaus Rudbeck (1630-1702), un suedez, a descoperit anumite vase transparente în ficat care conțin un lichid clar (și nu alb), și astfel le-a numit vase hepato-apoase. El a aflat și faptul că acestea drenează în ductul toracic, și că au valve.[24] El și-a anunțat descoperirile la curtea Reginei Cristina a Suediei, însă nu și-a publicat descoperirile timp de un an,[25] iar între timp, descoperiri similare au fost publicate de Thomas Bartholin, care a mai publicat în plus faptul că asemenea vase sunt prezente peste tot în corp, nu doar la nivelul ficatului. El este de asemenea și cel care le-a numit vase limfatice.[24] Acest fapt a condus la o dispută între unul dintre elevii lui Barholin, Martin Bogdan[26] și Rudbeck, pe care l-a acuzat de plagiat.[25]
Ideile lui Galen au persistat în medicină până în secolul XVII. Se credea că sângele era produs de către ficat din chilul contaminat cu nutrienți de la intestin și stomac, la care erau adăugate diferite spirtoase ale altor organe și că acest sânge era consumat de toate organele corpului. Conform acestei teorii era necesar ca sângele să fie consumat și produs de mai multe ori. Chiar și în secolul al XVII-lea, această idee a fost apărată de unii medici.[23]
Alexandru Monro de la Școala Medicală a Universității din Edinburgh a fost primul care a descris funcționarea sistemului limfatic în detaliu.[27]
"Claude Galien". Litografie de Pierre Roche Vigneron. (Paris: Lith de Gregoire et Deneux, cca. 1865)
Gabriele Falloppio
Portretul lui Eustachius
Olaus Rudbeck în 1696
Thomas Bartholin
Etimologie
Adjectivul folosit pentru sistemul de transport al limfei este „limfatic”. Adjectivul folosit pentru țesuturile în care sunt formate limfocite e „limfoid”.
Limfatic vine din cuvântul latin lymphaticus, însemnând „legat de apă.”
Note
- ↑ „Lymph - Definition and More from the Free Merriam-Webster Dictionary”. www.merriam-webster.com. Accesat în .
- ↑ Human Physiology: From Cells to Systems, by Lauralee Sherwood
- ↑ Tak W. Mak; Mary E. Saunders (Ph.D.); Mary E. Saunders (). Primer to the immune response. Academic Press. pp. 28–. ISBN 978-0-12-374163-9. Accesat în .
- 1 2 Warwick, Roger; Peter L. Williams. „Angiology (Chapter 6)”. Gray's anatomy. illustrated by Richard E. M. Moore (ed. Thirty-fifth). London: Longman. pp. 588–785.
- ↑ Wisco, Jonathan. „Lymphatic System”. AnatomyOne. Amirsys, Inc. Arhivat din original la . Accesat în .
- ↑ Goldsby, Richard () [1992]. „Cells and Organs of the Immune System (Chapter 2)”. Immunology (ed. Fifth). New York: W. H. Freeman and Company. pp. 24–56. ISBN 0-7167-4947-5.
- 1 2 Swirski, FK; Nahrendorf, M; Etzrodt, M; Wildgruber, M; Cortez-Retamozo, V; Panizzi, P; Figueiredo, JL; Kohler, RH; Chudnovskiy, A; Waterman, P; Aikawa, E; Mempel, TR; Libby, P; Weissleder, R; Pittet, MJ (). „Identification of splenic reservoir monocytes and their deployment to inflammatory sites”. Science. 325 (5940): 612–6. doi:10.1126/science.1175202. PMC 2803111
. PMID 19644120. - ↑ Jia, T; Pamer, EG (). „Immunology. Dispensable but not irrelevant”. Science. 325 (5940): 549–50. doi:10.1126/science.1178329. PMC 2917045
. PMID 19644100. - ↑ Finally, the Spleen Gets Some Respect By NATALIE ANGIER, The New York Times, 3 august 2009
- ↑ Blackbourne, Lorne H (). Surgical recall. Lippincott Williams & Wilkins. p. 259. ISBN 978-0-7817-7076-7.
- ↑ „Penicilliary radicles”. Medical-dictionary.thefreedictionary.com. Accesat în .
- ↑ „Spleen: Information, Surgery and Functions”. Childrens Hospital of Pittsburgh - Chp.edu. . Arhivat din original la . Accesat în .
- ↑ „Definition of lymphatics”. Webster's New World Medical Dictionary. medicineNet.com. Arhivat din original la . Accesat în .
- ↑ Vittet D. Lymphatic collecting vessel maturation and valve morphogenesis. Microvasc Res. 2014 Jul 12. pii: S0026-2862(14)00100-9. doi: 10.1016 PMID: 25020266
- ↑ Heppell C1, Richardson G, Roose T. A model for fluid drainage by the lymphatic system. PMID: 23161129
- ↑ Bazigou E, Wilson J, Moore JE Primary and secondary lymphatic valve development: Molecular, functional and mechanical insights.Microvasc Res. 2014 Jul 30. pii: S0026-2862(14)00112-5. PMID: 25086182
- ↑ „The functions of the Lymphatic System”. Accesat în .
- ↑ Britton, the editors Nicki R. Colledge, Brian R. Walker, Stuart H. Ralston ; illustated by Robert (). Davidson's principles and practice of medicine (ed. 21st ed.). Edinburgh: Churchill Livingstone/Elsevier. p. 1001. ISBN 978-0-7020-3085-7.
- ↑ „Lymphedema”.
- ↑ Anthony S. Fauci; Eugene Braunwald; Dennis Kasper (). Harrison's Manual of Medicine. McGraw Hill Professional. pp. 352–. ISBN 978-0-07-147743-7. Accesat în .
- 1 2 Britton, the editors Nicki R. Colledge, Brian R. Walker, Stuart H. Ralston ; illustated by Robert (). Davidson's principles and practice of medicine (ed. 21st ed.). Edinburgh: Churchill Livingstone/Elsevier. pp. 1001,1037–1040. ISBN 978-0-7020-3085-7.
- 1 2 3 4 5 6 7 Ambrose, C. (). „Immunology's first priority dispute—An account of the 17th-century Rudbeck–Bartholin feud”. Cellular Immunology. 242 (1): 1–8. doi:10.1016/j.cellimm.2006.09.004. PMID 17083923.
- 1 2 3 Fanous, Medhat YZ; Anthony J Phillips; John A Windsor (). „Mesenteric Lymph: The Bridge to Future Management of Critical Illness”. Journal of the Pancreas. Department of Internal Medicine and Gastroenterology ALMA MATER STUDIORUM - UNIVERSITY OF BOLOGNA. 8 (4): 374–399. PMID 17625290. Accesat în .
- 1 2 3 4 5 Flourens, P. (). „ASELLI, PECQUET, RUDBECK, BARTHOLIN (Chapter 3)”. A History of the Discovery of the Circulation of the Blood. Rickey, Mallory & company. pp. 67–99. Accesat în .
- 1 2 Eriksson, G. (). „Olaus Rudbeck as scientist and professor of medicine (Original article in Swedish)”. Svensk Medicinhistorisk Tidskrift (în Swedish). 8 (1): 39–44. PMID 16025602.
- ↑ „Disputatio anatomica, de circulatione sanguinis”. Account of Rudbeck's work on lymphatic system and dispute with Bartholin. The International League of Antiquarian Booksellers. Accesat în .
- ↑ Turner, A. Logan (). Story of a Great Hospital: The Royal Infirmary of Edinburgh 1729-1929. Oliver and Boyd. p. 360.
Legături externe
| Resurse bibliotecare |
|---|
| Despre sistemul limfatic |
- Lymphatic System
- Lymphatic System Overview (innerbody.com)

