Scleroză laterală amiotrofică

Scleroza laterală amiotrofică

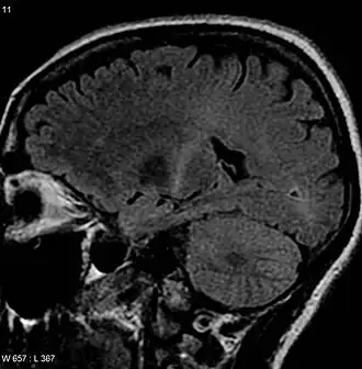
RMN cu semnal crescut(ă) în partea posterioară a capsulei interne ce poate fi trasată către cortexul motor în concordanță cu diagnosticul de SLA.
Specialitateneurologie  Modificați la Wikidata
Metodă de diagnosticAwaji Criteria[*][[Awaji Criteria (diagnostic criteria for ALS)|]]  Modificați la Wikidata
Clasificare și resurse externe
ICD-9335.20
ICD-10G12.2
ICD-9-CM335.20[1][2]  Modificați la Wikidata
OMIM105400
DiseasesDB29148
MedlinePlus000688
eMedicineneuro/14 emerg/24 pmr/10
Patient UKScleroză laterală amiotrofică
MeSH IDD000690

Scleroza laterală amiotrofică (SLA), cunoscută și ca boala lui Lou Gehrig sau boala lui Charcot, reprezintă o boală ce implică moartea neuronilor specifică.[3] În Regatul Unit al Marii Britanii, termenul de boala neuronului motor (BNM) este utilizat de obicei,[4] în timp ce alții folosesc acest termen pentru un grup de cinci afecțiuni, dintre care SLA este cea mai comună.[5] SLA se caracterizează prin rigiditate musculară, spasme musculare și agravarea treptată a slăbiciunii cauzată de pierdere musculară.[6] Aceasta duce la dificultate de vorbire, înghițire și eventual respirație.[7]

Istoric

Descrieri ale acestei boli datează încă din anul 1824, cel puțin, și au fost relatate de către Charles Bell.[8] În 1869, legătura dintre simptome și problemele neurologice de bază au fost prima dată descrise de către Jean-Martin Charcot, care, în anul 1874, a început să utilizeze termenul de scleroză laterală amiotrofică.[8] A devenit binecunoscută în Statele Unite ale Americii atunci când faimosul jucător de baseball Lou Gehrig a fost afectat,[3] și în secolul XX, atunci când Stephen Hawking a devenit faimos pentru realizările sale științifice.[9] În 2014, videoclipuri cu provocarea ice bucket (găleata cu gheață) au devenit virale pe internet și au crescut gradul de conștientizare publică.[10]

Cauze și mecanisme

Cauza nu este cunoscută la 90% și până la 95% dintre cazuri.[7] Aproximativ 5-10% dintre cazuri sunt moștenite de la părinții unei persoane.[11] Aproximativ jumătate dintre aceste cazuri genetice apar din cauza a una sau două gene.[12] Duce la moartea neuronilor care controlează mușchii voluntari.[13] Diagnosticul este bazat pe semnele și simptomele unei persoane, acestea fiind testate pentru a exclude alte potențiale cauze.[7]

Tratament, prognoză și epidemiologie

Nu există leac pentru SLA.[7] Un medicament numit riluzol poate mări durata de viață cu aproximativ două sau trei luni.[14] Ventilația non-invazivă poate duce la îmbunătățirea calității și longevității vieții.[15] Boala începe, de obicei, în jurul vârstei de 60 de ani, iar în cazurile moștenite, în jurul vârstei de 50 de ani.[11] Media de supraviețuire de la debut și până la deces este între trei și patru ani.[16] Aproximativ 10% supraviețuiesc mai mult de 10 ani.[7] Majoritatea mor din cauza insuficienței respiratorii. În multe părți ale lumii, ratele de SLA sunt necunoscute.[11] În Europa și în Statele Unite ale Americii, boala afectează aproximativ 2 persoane din 100.000, în fiecare an.[11][17] Corporația Mitsubishi Tanabe Pharma a anunțat recent că a primit autorizația de a comercializa Radicut® (sau Edaravone ori MCI-186) pentru a trata SLA în Japonia în anul 2015. Din 2017 medicamentul a primit autorizația de a comercializa Radicava în SUA.[18]

Referințe

  1. Monarch Disease Ontology release 2018-06-29[*] Verificați valoarea |titlelink= (ajutor);
  2. Disease Ontology, accesat în
  3. 1 2 Kelly, Evelyn B. (). Encyclopedia of human genetics and disease. Santa Barbara, Calif.: Greenwood. pp. 79–80. ISBN 9780313387135.
  4. „Motor neurone disease”. http://www.nhs.uk/. Arhivat din original la . Accesat în . Legătură externa în |website= (ajutor)
  5. Ellison, edited by Seth Love, David N. Louis, David W. (). Greenfield's neuropathology (ed. 8th ed.). London: Hodder Arnold. p. 947. ISBN 9780340906811.
  6. 1 2 3 4 5 „Motor Neuron Diseases Fact Sheet: National Institute of Neurological Disorders and Stroke (NINDS)”. www.ninds.nih.gov. Arhivat din original la . Accesat în .
  7. 1 2 Rowland LP (martie 2001). „How amyotrophic lateral sclerosis got its name: the clinical-pathologic genius of Jean-Martin Charcot”. Arch. Neurol. 58 (3): 512–5. doi:10.1001/archneur.58.3.512. PMID 11255459.[nefuncțională]
  8. Youngson, David B. Jacoby, Robert M. (). Encyclopedia of family health (ed. 3rd ed.). Tarrytown, NY: Marshall Cavendish. p. 1256. ISBN 9780761474869.
  9. Song, P (august 2014). „The Ice Bucket Challenge: The public sector should get ready to promptly promote the sustained development of a system of medical care for and research into rare diseases”. Intractable & rare diseases research. 3 (3): 94–6. doi:10.5582/irdr.2014.01015. PMID 25364651.
  10. 1 2 3 4 Kiernan, MC; Vucic, S; Cheah, BC; Turner, MR; Eisen, A; Hardiman, O; Burrell, JR; Zoing, MC (). „Amyotrophic lateral sclerosis”. Lancet. 377 (9769): 942–55. doi:10.1016/s0140-6736(10)61156-7. PMID 21296405.
  11. Miller, RG; Mitchell, JD; Moore, DH (). „Riluzole for amyotrophic lateral sclerosis (ALS)/motor neuron disease (MND)”. The Cochrane database of systematic reviews. 3: CD001447. doi:10.1002/14651858.CD001447.pub3. PMID 22419278.
  12. McDermott, CJ; Shaw, PJ (). „Diagnosis and management of motor neurone disease”. BMJ (Clinical research ed.). 336 (7645): 658–62. doi:10.1136/bmj.39493.511759.be. PMID 18356234.
  13. Malamut, edited by Joseph I. Sirven, Barbara L. (). Clinical neurology of the older adult (ed. 2nd ed.). Philadelphia: Wolters Kluwer Health/Lippincott Williams & Wilkins. p. 421. ISBN 9780781769471.
  14. „Epidemiology of Sporadic ALS”. http://aces.stanford.edu/. Arhivat din original la . Accesat în . Legătură externa în |website= (ajutor)
  15. FDA. „Radicava (edaravone) Injection”. Accesat în .
Acest articol este emis de la Wikipedia. Textul este licențiat sub Creative Commons - Attribution - Sharealike. Se pot aplica termeni suplimentari pentru fișierele media.