Colecistită
| Colecistită | |
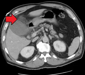
![]() Acute cholecystitis as seen on CT. Note the fat stranding around the enlarged gallbladder. | |
| Specialitate | General surgery, gastroenterology |
|---|---|
| Simptome | inflamație[1] |
| Tratament | Gallbladder removal surgery, gallbladder drainage[2][3] |
| Clasificare și resurse externe | |
| ICD-9-CM | 575.10[4][5] 575.11[4] |
| OMIM | 600803 |
| DiseasesDB | 2520 |
| MedlinePlus | 000264 |
| MeSH ID | D002764[4] |
Colecistita este o inflamație a vezicii biliare. In marea majoritate a cazurilor, colecistita este asociată calculilor biliari, mai precis atunci când un calcul obstrucționează canalul cistic, ducând adesea la infectarea acestuia (cu bacterii din duoden), iar regiunea din amonte se inflamează. Netratată, se poate ajunge la gangrenarea vezicii, urmată de peritonită. Alte complicații sunt colangita, cronicizarea infecției, abcese peri-veziculare sau sindromul Mirizzi.
Criza acută este intensificată de obicei de o masă bogată în grăsimi, caracterizandu-se prin instalarea rapidă a unei dureri intense, constante, localizată in epigastru sau hipocondrul drept, si care cedează treptat in 12 ore.
Simptome
- Crize dureroase în hipocondrul drept;
- Greață, vărsături;
- Stare febrilă;
- Sensibilitate la palpare în hipocondrul drept;
- In 15% din cazuri, vezica poate fi palpată;
- In 25% din cazuri apare icter
Tratament
- Tratament cu antibiotice;
- Colecistectomie laparoscopică (extirparea vezicii biliare);
- Colecistostomie percutanată (aspiratia vezicii biliare).
Note
- ↑ Disease Ontology, accesat în
- ↑
- ↑
- 1 2 3 Monarch Disease Ontology release 2018-06-29[*] Verificați valoarea
|titlelink=(ajutor); - ↑ Disease Ontology, accesat în
Bibliografie:
- Diagnostic si tratament in practica medicala, LM Tierney
Acest articol este emis de la Wikipedia. Textul este licențiat sub Creative Commons - Attribution - Sharealike. Se pot aplica termeni suplimentari pentru fișierele media.
