Spermatogeneză
În biologie, spermatogeneza reprezintă procesul de formare a spermatozoizilor. Se desfășoară în tuburile seminifere, în trei zone distincte ale acestora, corespunzător celor trei perioade ale spermatogenezei:
- perioada germinativă: anumite celule ale testiculului, numite spermatogonii, se divid intens, formând numeroase generații de celule;
- perioada de creștere: unele dintre acestea acumulează substanțe nutritive, cresc și devin spermatocite primare;
- perioada de maturație: spermatocitele primare se divid de două ori consecutiv și din fiecare rezultă patru celule (spermatide), care, după unele transformări, devin spermatozoizi.

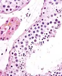
Tub seminifer conţinând spermatozoizi maturizați
Din cauză că una dintre cele două diviziuni de maturație este reducțională (meioză), nucleul spermatozoidului va avea numai jumătate din numărul cromozomilor caracteristici speciei (este în fază haploidă).
Spermatogeneza se desfășoară în mod analog cu procesul de ovogeneză și are aceeași semnificație biologică.
Alte articole de consultat
- Anizogamie
- Evoluția reproducerii sexuate
- Glosar de biologie
- Fertilitate oncologică
- Infertilitate
- Infertilitate feminină
- Meioză
- Oocit
- Oogoniu
- Ovogeneză
- Reproducere sexuată
- Sistemul de reproducere feminin
- Sistemul de reproducere masculin
- Sistemul de reproducere uman
Referințe
Legături externe
- en Psihologie reproductivă
- en „How a Man Produces 1,500 Sperm a Second”. National Geographic News. . Accesat în .
Acest articol conține text din Dicționarul enciclopedic român (1962-1966), aflat acum în domeniul public.
This article is issued from Wikipedia. The text is licensed under Creative Commons - Attribution - Sharealike. Additional terms may apply for the media files.