Testicul
Testiculele sunt o pereche de organe de reproducere masculine, glande mixte care produc spermatozoizi (funcția exocrină) și testosteron (funcția endocrină), un hormon care controlează dezvoltarea caracteristicilor sexuale masculine și care joacă un rol important în dezvoltarea spermei.
| Testiculul | |
![]() Testicul uman | |
![]() Structura internă a testiculului și învelișurile sale | |
| Detalii | |
|---|---|
| Latină | testis |
| Sistem | aparatul genital masculin |
| arteră testiculară | |
| plex venos pampiniform, venă testiculară | |
| plex spermatic | |
| ganglioni limfatici lombari | |
| Resurse externe | |
| Gray's | p.1236 |
| TA | A09.3.01.001 |
| FMA | 7210 |
| Terminologie anatomică | |
Testiculul (din latină testis) este gonada masculină la animale. Mamiferele de sex masculin au două testicule, care sunt de obicei conținute într-o extensie a abdomenului, numită scrot.
Poziție

Se dezvoltă în regiunea lombară, de unde descind (descensus testis) de-a lungul peretelui dorsal al cavității abdominale, trec prin canalul inghinal și ajung în scrot, unde le găsim în mod normal la naștere, despărțite prin septul scrotal (septum scroti). Există și posibilitatea opririi acestui proces de coborâre a testiculelor, la diferite niveluri, respectiv, în cavitatea abdominală, în canalul inghinal sau în dreptul orificiului extern al aceluiași canal, ceea ce constituie ectopia testiculară, uni- sau bilaterală. Ea necesită intervenție chirurgicală sau tratament medical, deoarece, în caz contrar, se instalează atrofia testiculară.
Anatomia testiculului
Anatomie externă
Forma testiculelor este ovoidală, fiecare cântărind 20-30 gr. Au dimensiuni de 4–5 cm, în lungime și 2,5 cm grosime, culoare alb-albăstrie și consistență fermă, elastică, asemănătoare cu globul ocular, fiind în întregime acoperite de seroasa vaginală. Prezintă două fețe, medială și laterală, două margini, superoanterioară, liberă și inferoposterioară, și două extremități, superioară (extremitas superior) și inferioară (extremitas inferior). Extremitatea superioară este acoperită de capul epididimului. Între capul epididimului și testicul există un mic corp ovoid, numit hidatida sesilă a lui Morgagni (appendix testis), plină cu o substanță gelatinoasă.
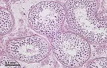
Anatomie internă


_Cross-section.jpg.webp)
Sub seroasa vaginală, adică sub epiorchium, testiculul este învelit într-o membrană fibroasă, densă, numită albugineea. Grosimea albugineii, care este în medie de 1 mm, crește la nivelul marginii posterioare a testiculului, îndeosebi în jumătatea superioară, unde este mult mai mare și alcătuiește mediastinum testis, sau corpul lui Highmore. Prin vârful acestuia pătrund, în testicul, vasele sangvine și ies din el 10-15 canalicule (ductuli efferentes), ce aparțin căilor spermatice, care străbat tunica albuginee și pătrund în capul epididimului. De la nivelul vârfului și fețelor laterale ale mediastinului pornesc radial în toată grosimea organului numeroase septuri conjunctive, care împart testiculul în lobuli. Aceștea, de formă piramidală sau conică, a căror bază este situată pe albuginee, opusă ca dispoziție mediastinului, sunt în număr de 200-300 și conțin canaliculele seminifere contorte (tubulli seminiferi contorti). Lungimea acestor canalicule foarte flexuoase este între 0,70-0,80 m, numărul lor variază de la 1-4. Ele formează parenchimul testicului (parenchyma testis) și reprezintă porțiunea glandulară a acestuia, constituită dintr-o membrană bazală, pe care se găsesc două feluri de celule: celule germinative de diferite vârste (cele mai vârstnice, spermatogoniile, dau naștere, înspre lumenul tubilor, la celule din ce în ce mai tinere, iar în lumenul tubilor contorți sunt spermatozoizii sau spermiile), care sunt implantate în celelalte celule ale tubilor, în celulele de sprijin ale lui Sertoli. Între tuburile contorte, în țesutul conjunctiv se găsesc celulele interstițiale ale lui Leydig, cu funcție secretoare internă. Tuburile contorte se unesc în canaliculele drepte, ce se continuă cu rețeaua testiculară a lui Haller din mediastin, din care iau naștere ducturile eferente, ce se deschid în capul epididimului.
Dezvoltare
Dezvoltarea accelerată a testiculelor are loc în doua perioade: perioada embrionară și perioada pubertății.
Boli și afecțiuni ale testiculelor
- Cancerul testicular și neoplasme.
- Varicocelul testicular.
- Hidrocelul testicular.
Curiozități
Membrii tribului Bubal, situat între Kenya și Somalia, folosesc în alimentație secrețiile menstruale ale bovinelor, care sunt bogate în hormoni și odată consumate produc schimbări iremediabile în organismul uman.[1] Astfel, de multe ori, glandele sexuale ale bărbaților din acest trib ajung la 70-80 centimetri.[1]
Note
- Cel mai SINISTRU ritual din lume. Oamenii ajung să arate ca niște MONȘTRI după ce îl fac. Cum arată bărbații cu cele mai mari TESTICULE din lume | GALERIE FOTO și VIDEO ȘOCANT, 11 ianuarie 2016, Costin Popa, Evenimentul zilei, accesat la 16 august 2016

