Schizofrenie

Schizofrenia (greacă Σχιζοφρένεια schizein = a despica, a scinda, phren = minte, suflet), (Bleuler, 1911), sinonimă cu Dementia praecox (Kraepelin, 1896) este o denumire a unui grup de boli mintale incluse în categoria psihozelor endogene[6]. Caracteristică este apariția unor manifestări psihopatologice majore, cum sunt halucinațiile, deliruri, tulburări formale de gândire, tulburări afective, tulburări de comportament, dezorganizarea personalității. Până la data actuală nu au fost puse în evidență cauze corporale decelabile. În sistemele de clasificare modernă se consideră obligatorie pentru stabilirea diagnosticului o durată minimă a manifestărilor morbide. Tablourile clinice de tip schizofrenic, care nu îndeplinesc și acest criteriu, sunt clasificate - până la proba timpului - drept boli schizofreniforme. Schizofrenia este una din cele mai severe afecțiuni psihiatrice, cu repercusiuni grave atât pentru bolnav, cât și pentru aparținători, mai ales că nu se poate prevedea niciodată care va fi evoluția bolii, în pofida tratamentelor moderne care au modificat radical prognoza privind încadrarea socială a bolnavilor. Schizofrenia este o psihoză caracterizată prin deteriorarea proceselor de gândire și de răspunsuri emoționale inadecvate.[7] Tulburarea se manifestă prin halucinații auditive, deliruri paranoide sau bizare sau prin vorbire și gândire dezorganizate și este însoțită de disfuncție socială sau ocupațională semnificativă. Debutul acestor simptome apare de obicei la începutul perioade adulte, cu o prevalență globală de-a lungul vieții în jur de 0,3–0,7%.[8] Diagnosticul se bazează pe comportamentul observat și pe experiențele raportate de pacient.

Schizofrenie

Pânză brodată de un pacient diagnosticat cu schizofrenie
Specialitatepsihiatrie
psihologie clinică  Modificați la Wikidata
SimptomePsihoză[1][2]
disfuncție cognitivă[*][3][2]
boală
halucinație  Modificați la Wikidata
Clasificare și resurse externe
ICD-9295
ICD-10F20
ICD-11  Modificați la Wikidata
ICD-9-CM295.9[4]
295.90[4]
295[4]  Modificați la Wikidata
OMIM181500
DiseasesDB11890
MedlinePlus000928
eMedicinemed/2072 emerg/520
Patient UKSchizofrenie
MeSH IDD012559[4][5]  Modificați la Wikidata

Ereditatea, mediul din frageda copilărie, factorii neurobiologici, procesele psihologice și sociale apar drept factori importanți care contribuie la apariția tulburării; unele droguri recreaționale și medicamente par a cauza sau înrăutăți simptomele. Cercetarea actuală se apleacă în special asupra rolului factorilor neurobiologici, dar nu a fost găsită nicio cauză organică responsabilă de una singură pentru apariția tulburării. Numeroasele combinații posibile de simptome au declanșat dezbateri asupra întrebării dacă diagnosticul reprezintă o singură tulburare sau e vorba de mai multe sindroame separate. În ciuda etimologiei termenului din rădăcinile skhizein (σχίζειν, „a scinda”) și phrēn, phren- (φρήν, φρεν-; „minte”) din greaca veche, schizofrenia nu înseamnă o „minte scindată” și nu este același lucru cu tulburarea disociativă de identitate — cunoscută și ca „tulburarea de personalitate multiplă” sau „personalitate scindată” — tulburare cu care este adesea confundată de către publicul larg.[9]

Tratamentul obișnuit este reprezentat de medicația antipsihotică, care în principal blochează activitatea receptorilor de dopamină (și, uneori, de serotonină). Psihoterapia și recuperarea profesională și socială sunt de asemenea importante în tratament. În cazuri mai severe — atunci când bolnavul reprezintă un risc pentru sine sau pentru alții — spitalizarea obligatorie poate fi necesară, deși în zilele noastre șederile în spital sunt mai scurte și mai puțin frecvente decât în trecut.[10]

Se crede în general că tulburarea afectează în principal cogniția, dar ea contribuie de obicei la probleme cronice de comportament și emoționale. Persoanele cu schizofrenie prezintă frecvent afecțiuni comorbide, incluzând depresie majoră și tulburare de anxietate; prevalența de-a lungul vieții a abuzului de substanțe (alcool, droguri, etc.) este de aproape 50%.[11] Problemele sociale, cum ar fi șomaj îndelungat, sărăcie și lipsa unui cămin, sunt frecvente. Speranța de viață a persoanelor cu schizofrenie este cu 12 - 15 ani mai mică decât a celor care nu au această tulburare, acesta fiind rezultatul problemelor de sănătate fizică și al frecvenței crescute a sinuciderilor (în jur de 5%).[8]

Simptome

O persoană diagnosticată cu schizofrenie poate avea halucinații (cele mai frecvente sunt reprezentate de auzirea unor voci), deliruri (adesea bizare sau de natură persecutorie) și gândire și vorbire dezorganizate. Ultima poate trece de la pierderea șirului gândirii la fraze vag conectate ca înțeles și la incoerență, cunoscută drept schizofazie, în cazuri severe. Retragerea socială, indiferența față de îmbrăcăminte și igienă, pierderea motivației și a judecății sunt frecvente în schizofrenie.[12]

Există adesea dificultăți emoționale sistematice, care sunt observabile, de exemplu lipsa unui răspuns emoțional adecvat.[13] Debilitatea cogniției sociale este asociată cu schizofrenia,[14] la fel ca simptomele de paranoia; izolarea socială apare frecvent.[15] Apar frecvent probleme cu memoria de lucru și memoria pe timp îndelungat, atenția, funcțiile de execuție și viteza de procesare a informației.[8] Într-un subtip frecvent persoana poate rămâne preponderent tăcută, poate rămâne nemișcată în posturi bizare sau se poate deda la agitație fără sens, toate semne ale catatoniei.[16]

Adolescența târzie și debutul perioadei adulte sunt perioade de vârf pentru apariția schizofreniei,[8] aceștia fiind anii critici în dezvoltarea socială și profesională a tânărului adult.[17] La 40% dintre bărbații și 23% dintre femeile diagnosticați/diagnosticate cu schizofrenie, tulburarea s-a manifestat înaintea vârstei de 19 ani.[18] Pentru a reduce tulburările de dezvoltare asociate schizofreniei, multă muncă a fost depusă recent pentru a identifica și trata faza prodromală (de pre-manifestare) a bolii, care a fost detectată cu până la 30 de luni înainte de apariția simptomelor.[17] Persoanele cu schizofrenie pot prezenta simptome psihotice temporare sau auto-limitate[19] și simptomele nespecifice de retragere socială, iritabilitate, disforie,[20] și lipsă de tact[21] în timpul fazei prodromale.

Clasificarea schneideriană

La începutul secolului al XX-lea, psihiatrul Kurt Schneider a efectuat liste cu forme de simptome psihotice despre care credea că diferențiază schizofrenia de alte tulburări psihotice. Ele sunt numite simptome de prim rang sau simptomele de prim rang ale lui Schneider. Ele includ:[22]

  • delirul de a fi controlat de o forță externă;
  • credința că gândurile sunt inserate sau sustrase din mintea conștientă a pacientului;
  • credința că gândurile proprii sunt difuzate altor oameni
  • auzirea de voci halucinatorii care comentează gândurile sau acțiunile sale sau care conversează cu alte voci halucinatorii.

Deși ele au contribuit semnificativ la criteriile actuale de diagnostic, sensibilitatea și specificitatea simptomelor de prim rang a fost pusă la îndoială. O trecere în revistă a studiilor de diagnoză efectuate între 1970 și 2005 a aflat că ele nu permit nici confirmarea nici respingerea pretențiilor lui Schneider, sugerând ca simptomele de prim rang să capete un rol secundar în analizele viitoare ale sistemelor de diagnostic.[23]

Simptome pozitive și simptome negative

Schizofrenia este adesea descrisă în termeni de simptome pozitive și simptome negative (sau de lipsă).[24] Simptomele pozitive sunt cele pe care cei mai mulți subiecți nu le au în mod obișnuit, dar care sunt prezente la persoanele cu schizofrenie. Ele includ delir, gânduri și vorbire dezorganizate, halucinații tactile, auditive, vizuale, olfactive și gustative, considerate în mod tipic drept manifestări psihotice.[25] Halucinațiile sunt de asemenea în mod tipic legate de conținutul temei delirului.[26] Simptomele pozitive răspund în general bine la medicamente.[26]

Simptomele negative sunt deficiențe ale răspunsurilor emoționale normale sau ale altor procese de gândire și răspund mai puțin la medicamente.[12] Ele includ de obicei emoții și afect plat sau lipsit de sensibilitate, sărăcia vorbirii (alogie), neputința de a experimenta plăcerea (anhedonie), lipsa dorinței de a forma relații sociale (asocialitate) și lipsa motivației (avoliție). Cercetările sugerează că simptomele negative contribuie mai mult decât simptomele pozitive la proasta calitate a vieții, la handicapuri funcționale și la a deveni o povară pentru alții.[27] Persoanele cu simptome preponderent negative pot avea adesea un trecut de proastă adaptare înaintea apariției bolii, iar răspunsul la medicamente este adesea limitat.[12][28]

Cauze

O combinație de factori genetici și de mediu joacă un rol important în apariția schizofreniei.[8][9] Oamenii cu istoric familial de schizofrenie și care suferă de o psihoză temporară sau auto-limitată au o șansă de 20–40% de a fi diagnosticați cu schizofrenie în anul următor psihozei.[29]

Aspecte genetice

Estimările privind caracterul ereditar al schizofreniei variază datorită dificultății de a separa efectele genelor de cele ale mediului.[30] Cel mai mare risc de a deveni bolnav de schizofrenie îl au cei care au o rudă de gradul întâi care are de asemenea schizofrenie (riscul este de 6,5%); mai mult de 40% din gemenii monozigotici ai bolnavilor de schizofrenie prezintă de asemenea această boală.[9] Este posibilă implicarea a numeroase gene în producerea bolii, fiecare având un efect mic și transmitere și exprimare necunoscute.[9] Au fost propuse mai multe gene potențial responsabile, incluzând variațiile numărului de copii, NOTCH4 și sectoarele (loci) proteinelor histonice.[31] Mai multe studii de asocieri la nivelul întregului genom, cum ar fi proteina cu punte de zinc 804A, au fost de asemenea corelate cu boala.[32] Se pare că există o suprapunere substanțială între genele responsabile de schizofrenie și cele responsabile de tulburarea bipolară.[33]

Plecând de la premiza existenței unei baze ereditare, o întrebare din psihologia evolutivă este de ce s-au perpetuat genele care măresc probabilitatea de a avea o psihoză, presupunând că acest lucru ar fi o proastă adaptare din punct de vedere evolutiv. O teorie pleacă de la ideea de gene legate de evoluția limbii și a naturii umane, dar până azi astfel de idei rămân aproape pur teoretice.[34][35] O pistă de răspuns poate fi aceea legată de observația corelației între creativitate, genialitate și un coeficient înalt de inteligență pe de-o parte, și schizofrenie pe de cealaltă: studiile au arătat că indivizii cu comportament și limbaj bizar (personalități de tip schizotipic (gen Albert Einstein sau Van Gogh), care nu sunt însă schizofrenici) sunt mai creativi decât indivizii normali.[36][37][38] Studiile au arătat o corelație între anumite variante ale unor gene (precum neuregulin 1 de ex.) recunoscute a avea o implicare în patogeneza psihozelor (schizofrenia inclusiv) și creativitatea celor care posedă această variantă.[39][40], în timp ce alte studii au arătat că descendenții direcți ai celor cu psihoze sunt mai creativi decât copii normali (fără risc ereditar).[41] Jani (January) Schofield, unul dintre puținii copii cunoscuți în literatura psihiatrică a se fi născut cu schizofrenie (halucinații vizuale), este o americancă diagnosticată în fragedă copilărie (la 6 ani, cu schizofrenie infantilă) și care a obținut un IQ de 146, și asta doar pentru ca inteligența ei atinsese atunci deja limita măsurabilă a testelor întocmite în 2006 pentru copii, fiind un geniu care la 2 ani vorbea fluent, scria și manifesta capacități de gândire abstractă, care în mod normal apar în pre-adolescență (fapt care însă n-a împiedicat maladia să-i mutileze dezvoltarea intelectuală și evoluția socială).[42][43]

Factorii de mediu

Factorii de mediu asociați cu apariția schizofreniei includ mediul de viață, folosirea de droguri și factorii de stres prenatali.[8] Stilul de creștere și educare a copiilor pare a nu avea niciun efect important, deși bolnavii susținuți de părinți o duc mai bine decât cei cu părinți critici sau ostili.[9] S-a descoperit în mod repetat că traiul în mediul urban, în copilărie sau la vârsta adultă, dublează riscul de a face schizofrenie,[8][9] chiar după eliminarea efectelor datorate folosirii drogurilor recreaționale, grupului etnic și mărimii grupului social.[44] Alți factori care joacă un rol important includ izolarea socială și imigrarea, legată de adversitate socială, discriminare rasială, șomaj și condiții proaste de locuit.[9][45]

Abuzul de substanțe

Unele droguri au fost asociate cu apariția schizofreniei, inclusiv canabisul, cocaina și amfetaminele.[9] Aproape jumătate din cei care au schizofrenie folosesc în mod excesiv droguri și/sau alcool.[46] Rolul canabisului ar putea fi cauzal,[47] dar alte droguri ar putea fi folosite doar ca mecanisme de a face față depresiei, anxietății, plictiselii și singurătății.[46][48]

Canabisul este corelat cu o creștere proporțională cu doza a riscului de a avea tulburări psihotice[49] iar uzul frecvent este corelat cu dublarea riscului de psihoză și schizofrenie.[48][50] În timp ce mulți cercetători acceptă ideea conform căreia canabisul este o cauză ce contribuie la apariția schizofreniei,[51] această ipoteză rămâne controversată.[31][52] Amfetamina, cocaina și mult mai rar alcoolul pot provoca psihoze foarte asemănătoare schizofreniei.[9][53] Deși nu este în general acceptată drept cauză a bolii, bolnavii cu schizofrenie folosesc nicotina mult mai des decât restul populației.[54]

Factori de dezvoltare

Factori cum ar fi hipoxiile și infecțiile sau stresul și malnutriția mamei pe parcursul dezvoltării fetale pot provoca o ușoară creștere a riscului de a apariție a schizofreniei.[8] Cei diagnosticați cu schizofrenie sunt mai des născuți iarna sau primăvara (cel puțin în emisfera nordică), ceea ce poate fi un rezultat al ratei crescute de expunere la virusuri in utero.[9] Această diferență este de circa 5 - 8%.[55] Infecțiile cu protozoarul Toxoplasma Gondii, responsabil de toxoplasmoza, par a fi legate de schizofrenie în diverse feluri: infecția acută poate produce simptome psihotice similare celor manifestate în schizofrenie; anumite medicamente folosite în tratamentul uman al schizofreniei manifestă o acțiune inhibitorie a replicării protozoarului Toxoplasma Gondii; numeroase studii au arătat că în rândul bolnavilor de schizofrenie prezența de anticorpi pentru Toxoplasma Gondii este mai frecventă decât în populația generală; expunerea copilului în copilărie la un mediu în care există pisici este considerat a fi un factor de risc la schizofrenie în sine, pisicile fiind cunoscute a fi principalul purtător și vehicul pentru protozoarul responsabil de toxoplasmoza umană.[56]

Mecanisme

Au fost făcute mai multe încercări de a explica legătura dintre afectarea funcționării creierului și schizofrenie.[8] Una din cele mai frecvente este ipoteza dopaminică, ce atribuie psihoza unei interpretări eronate, de către minte, a descărcărilor neuronale dopaminergice.[8]

Mecanisme psihologice

Numeroase mecanisme psihologice au fost implicate în apariția și persistența schizofreniei. La persoanele diagnosticate cu schizofrenie, sau care prezintă riscul de a face boala, au fost identificate devieri cognitive, în special în situații de stres sau care produc confuzie.[57] Unele componente cognitive pot reflecta deficite neurocognitive cum ar fi pierderi de memorie, în timp ce altele pot fi legate de anumite probleme și experiențe.[58][59]

În pofida unei manifestări demonstrate a unui afect plat, cercetări recente indică faptul că mulți indivizi diagnosticați cu schizofrenie sunt reactivi din punct de vedere emoțional, în particular față de stimuli de stres sau negativi, iar această sensibilitate poate fi cauza vulnerabilității față de simptome sau a apariției tulburării.[60][61] Unele date sugerează că ceea ce constituie conținutul credințelor delirante sau al experiențelor psihotice se poate baza pe cauze emoționale, iar modul în care persoana respectivă interpretează aceste experiențe poate influența simptomatologia.[62][63][64] Folosirea de „comportamente sigure” pentru a evita amenințări imaginare poate contribui la cronicizarea delirurilor.[65] Alte dovezi referitoare la rolul mecanismelor psihologice vin din evaluarea efectelor psihoterapiei asupra simptomelor schizofreniei.[66]

Mecanisme neurologice

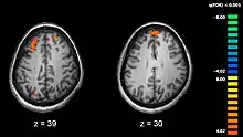
Imaginile de rezonanță magnetică funcțională (fMRI) și alte tehnologii de a obține imagini ale creierului permit studierea diferențelor de activitate cerebrală la persoanele diagnosticate. Imaginea prezintă două nivele ale creierului, cu arii (colorate în roșu) care sunt mai active în persoanele de control (sănătoase, imaginea din stânga) decât la suferinzii de schizofrenie (imaginea din dreapta). Imaginea provine dintr-un studiu cu fMRI a memoriei de lucru.[67]

Schizofrenia este corelată cu diferențe subtile ale structurilor cerebrale, prezente în 40-50% din cazuri și de chimie cerebrală, în timpul stărilor psihotice acute.[8] Studii care folosesc teste neuropsihologice și tehnologii de obținere a imaginilor creierului, cum ar fi fMRI și PET pentru a examina diferențele de activitate cerebrală au arătat că diferențele care apar în mod obișnuit sunt în lobii frontali, hippocampus și lobii temporali.[68] Reduceri ale volumului creierului, mai mici decât cele observate în cazul bolii lui Alzheimer au fost raportate în zonele cortexului frontal și lobilor temporali. Este însă nesigur dacă aceste schimbări de volum sunt treptate sau preexistente apariției bolii.[69] Aceste diferențe au fost asociate cu deficiențe neurocognitive care sunt corelate schizofreniei.[70] Deoarece circuitele neurale sunt afectate, s-a sugerat alternativa că schizofrenia trebuie gândită drept o asociere de tulburări de dezvoltare neurologică.[71]

S-a acordat o atenție deosebită funcției dopaminei în circuitul mezolimbic din creier. Această cercetare atentă a rezultat din descoperirea accidentală că medicamentele bazate pe fenotiazină, substanță care blochează funcțional dopamina, pot reduce simptomele de psihoză. Această constatare este de asemenea susținută de faptul că amfetaminele, care conduc la eliberarea de dopamină, pot exacerba simptomele de psihoză din schizofrenie.[72] Influenta ipoteză dopaminică susținea că activarea excesivă a receptorilor D2 ai dopaminei era cauza (simptomelor pozitive) din schizofrenie. Deși postulat de aproape 20 de ani pe baza efectului de blocaj al receptorilor D2, care este comun tuturor antipsihoticelor, abia la mijlocul anilor '90 studiile de imagini PET și SPET au furnizat dovezile necesare. În prezent, ipoteza dopaminei este considerată simplistă, în parte deoarece noile antipsihotice (antipsihoticele atipice) pot fi la fel de eficace ca și medicamentele mai vechi (antipsihoticele tipice), dar afectează de asemenea funcționarea serotoninei, iar efectul lor de blocare al dopaminei este ceva mai scăzut.[73]

Interesul cercetătorilor a fost atras de neurotransmițătorul glutamat și de funcționarea redusă a receptorilor NDMA pentru glutamat în cadrul schizofreniei, în mare parte datorită nivelelor anormal de joase de receptori de glutamat găsiți la autopsia creierelor celor care suferiseră de schizofrenie,[74] ca și de descoperirea unor medicamente care blochează glutamatul, cum sunt feniciclidina sau ketamina, care pot mima simptomele si problemele cognitive asociate bolii.[75] Funcția redusă a glutamatului este legată de rezultate slabe la testele care solicită lobul frontal și funcția hipocampală, iar glutamatul poate afecta funcția dopaminei, ambele fiind corelate cu schizofrenia, ceea ce sugerează un puternic rol de mediere (posibil cauzal) al circuitelor de glutamat ale celor bolnavi.[76] Cu toate acestea, simptomele pozitive nu răspund la medicație glutamalergică.[77]

Diagnostic

John Nash, un matematician american câștigător, printre alții, al premiului Nobel pentru economie pe anul 1994, a suferit de schizofrenie. Viața sa a fost subiectul filmului O minte sclipitoare, câștigător al premiului Oscar în anul 2001.

Schizofrenia este diagnosticată fie pe baza criteriilor din Manualul diagnostic și statistic al tulburărilor psihice al Asociației Psihiatrice Americane, versiunea DSM-IV-TR, fie din Clasificarea statistică internațională a bolilor și a problemelor de sănătate înrudite a Organizației Mondiale a Sănătății, numit ICD-10.[8] Aceste criterii utilizează experiențele raportate de bolnavi și anomaliile de comportament raportate, urmate de evaluarea clinică efectuată de către un profesionist în domeniul sănătății mintale. Simptomele legale de schizofrenie apar de-a lungul unui continuum al populației și trebuie să atingă o anumită severitate pentru a fi pus acest diagnostic.[9] În anul 2009 nu exista niciun test obiectiv pentru diagnosticul de schizofrenie.[8]

Criterii

Criteriile ICD-10 sunt în general folosite în țările europene, în timp ce criteriile DSM-IV-TR sunt folosite în Statele Unite ale Americii și în restul lumii, fiind cele mai folosite în cercetările științifice. Criteriile ICD-10 pun mai multă bază pe simptomele schneideriene de prim rang. În practică, potrivirea dintre cele două este foarte mare.[78]

Conform celei de-a patra ediții revizuite ale Manualului diagnostic și statistic al tulburărilor psihice (DSM-IV-TR), pacientul trebuie să aibă cel puțin trei din următoarele criterii de diagnostic:[79]

  1. Simptome caracteristice: două sau mai multe dintre următoarele, fiecare prezent majoritatea timpului într-o perioadă de o lună (sau mai puțin, dacă simptomele au intrat în remisie datorită tratamentului).
    • Delir
    • Halucinații
    • Vorbire dezorganizată, care este o manifestare a tulburării de gândire formală
    • Comportament sever dezorganizat (de exemplu, îmbrăcăminte nepotrivită, țipete frecvente) sau comportament catatonic
    • Simptome negative: Afect plat (lipsa sau refuzul unui răspuns emoțional), alogie (lipsă sau degradare a vorbirii) sau avoliție (lipsă sau degradare a motivației)
    Dacă delirul este considerat bizar sau halucinațiile constau în a auzi o voce care comentează acțiunile pacientului, sau a auzi două sau mai multe voci care conversează între ele, prezența numai a acelui simptom este suficientă în ce privește cele de mai sus. Criteriul vorbirii dezorganizate este întrunit doar dacă este suficient de sever pentru a afecta serios comunicarea.
  2. Disfuncție socială sau ocupațională: Pentru o parte semnificativă a timpului de la debutul tulburării, una sau mai multe domenii de funcționare cum ar fi munca, relațiile interpersonale sau grija față de sine sunt în mod hotărât sub nivelul avut înainte de debutul tulburării.
  3. Durată semnificativă: semnele continue de dezorganizare persistă pentru cel puțin șase luni. Această perioadă de șase luni trebuie să includă cel puțin o lună de simptome (sau mai puțin, dacă simptomele au cedat la tratament).

Dacă semnele tulburării sunt prezente mai mult de o lună dar mai puțin de șase luni, diagnosticul aplicat este cel de tulburare schizofreniformă.[79] Dacă simptomele de psihoză durează mai puțin de o lună, tulburarea poate fi diagnosticată ca scurtă tulburare psihotică, iar alte tulburări pot fi clasificate drept tulburare psihotică altfel neprecizată. Nu se poate pune diagnosticul de schizofrenie dacă tulburarea afectivă este prezentă în mod substanțial (deși în acest caz se poate pune diagnosticul de tulburare schizoafectivă), sau dacă există simptome de tulburare pervazivă de dezvoltare, cu excepția cazului în care există delir sever sau halucinații severe, și nici dacă simptomele sunt rezultatul fiziologic direct al unei tulburări medicale generale sau al unei substanțe, cum ar fi abuzul de droguri sau de medicamente.

Subtipuri ale bolii

DSM-IV-TR conține cinci subclase al schizofreniei; totuși cei care elaborează DSM-5 recomandă eliminarea lor din noua clasificare:[80][81]

  • Tipul paranoid: sunt prezente delirul sau halucinațiile auditive, dar tulburarea de gândire, comportamentul dezorganizat și afectul plat nu sunt prezente. Delirul este persecutoriu și/sau grandios dar pe lângă acesta pot fi prezente alte teme cum ar fi gelozia, religiozitatea sau somatizarea. (DSM codul 295.3/ICD codul F20.0)
  • Tipul dezorganizat: Numit schizofrenie hebefrenică în ICD. Acesta cuprinde concomitent tulburarea de gândire și afectul plat. (DSM codul 295.1/ICD codul F20.1)
  • Tipul catatonic: Subiectul este aproape imobil sau prezintă mișcări agitate, lipsite de sens. Simptomele pot include stupoarea catatonică și flexibilitatea cerosă. Forma catatonică poate culmina cu starea de „catatonie pernicioasă”: bolnavul imobil prezintă febră crescută cu tulburări vegetative grave, care pot provoca moartea. (DSM codul 295.2/ICD codul F20.2)
  • Tipul nediferențiat: Sunt prezente simptome psihotice dar nu sunt îndeplinite criteriile pentru tipurile paranoid, dezorganizat și catatonic. (DSM codul 295.9/ICD codul F20.3)
  • Tipul rezidual: Simptomele pozitive sunt prezente doar la un nivel scăzut de intensitate. (DSM codul 295.6/ICD codul F20.5)

ICD-10 definește două subclase adiționale:[81]

  • Depresia post-schizofrenică: O perioadă depresivă care apare în urma unei boli de schizofrenie, perioadă în care simptomele de schizofrenie pot fi încă prezente. (ICD codul F20.4)
  • Schizofrenia simplă: Dezvoltarea insidioasă sau treptată a unor simptome negative grave fără a trece prin perioade de psihoză. (ICD codul F20.6)

Diagnostic diferențial

Simptomele de psihoză pot fi prezente în alte tulburări mentale, inclusiv în tulburarea bipolară,[82] tulburarea de personalitate borderline,[83] intoxicația cu medicamente și psihoza indusă de droguri. Delirurile („ne-bizare”) sunt de asemenea prezente în tulburarea de delir, iar izolarea socială în tulburarea de anxietate socială, tulburarea de personalitate evazivă și tulburarea de personalitate schizotipică. Comorbiditatea schizofreniei cu tulburarea obsesiv-compulsivă (TOC) apare mult mai frecvent decât s-ar putea datora unei pure întâmplări, deși poate fi dificil să se distingă între obsesiile din TOC și delirurile din schizofrenie.[84]

O examinare medicală și neurologică mai generale pot fi necesare pentru a exclude boli somatice care pot produce uneori simptome de psihoză asemănătoare schizofreniei,[79] cum sunt tulburările metabolice, infecțiile sistemice, sifilisul, SIDA, epilepsia și leziunile cerebrale. Poate fi necesar să fie eliminat ca diagnostic delirul, care poate fi decelat prin halucinații vizuale, debut brusc și nivel de conștiință variabil, ceea ce indică o afecțiune medicală de bază. Investigațiile acestea nu sunt în general repetate la recăderea în boală, cu excepția prezenței unei recomandări medicale specifice sau unor posibile efecte adverse ale medicației antipsihotice.

Prevenție

Actualmente dovezile privind efectivitatea intervențiilor pentru prevenirea schizofreniei nu sunt concludente.[85] Deși există unele dovezi privind faptul că intervenția precoce asupra persoanelor cu un episod de psihoză poate îmbunătăți rezultatele pe termen scurt, există un beneficiu scăzut al acestor măsuri după cinci ani de la aplicarea lor.[8] Încercarea de a preveni schizofrenia în faza prodromală are beneficii nesigure, iar în anul 2009 astfel de încercări nu erau recomandate.[86] Prevenția este dificilă deoarece nu există indicatori de încredere care să prezică apariția ulterioară a bolii.[87] Totuși, unele cazuri de schizofrenie ar putea fi amânate sau posibil prevenite descurajând folosirea canabisului, în special de către tineri.[88] Indivizii care provin din familii cu cazuri de schizofrenie pot fi mai vulnerabili la psihozele induse de canabis.[51] Un studiu a descoperit că în cazul tulburărilor psihotice induse de canabis, ele sunt urmate de apariția unor psihoze persistente în aproximativ jumătate din cazuri.[89]

Cercetarea teoretică se focalizează asupra strategiilor care ar putea micșora incidența schizofreniei. Una dintre abordări încearcă să înțeleagă ce se petrece la nivel genetic și neurologic pentru a explica apariția bolii, astfel încât să poată fi dezvoltate intervenții biomedicale. Totuși, efectele genetice multiple și variate, de mică amploare și interacțiunile cu mediul înconjurător fac ca acest lucru să fie dificil. În mod alternativ, strategiile de sănătate publică pot remedia în mod selectiv factori socio-economici care sunt corelați cu rate ridicate ale schizofreniei în anumite grupuri, legate de exemplu de imigrare, etnicitate sau sărăcie. Strategiile la nivelul întregii populații ar putea promova servicii care să asigure nașteri sănătoase și creștere sănătoasă, inclusiv în domenii ale dezvoltării psihologice, cum ar fi cogniția. Totuși, nu există suficiente dovezi pentru a pune actualmente în aplicare astfel de idei, iar anumite probleme generale nu sunt specifice schizofreniei.[90][91]

Tratament

Tratamentul primar pentru schizofrenie este reprezentat de medicamentele antipsihotice, adeseori în asociere cu suportul psihologic și social.[8] Spitalizarea poate avea loc pentru episoade severe, fie în mod voluntar, fie (dacă legislația medicală o permite) prin tratament forțat. Spitalizarea pe termen lung se întâlnește rar, începând de la dezinstituționalizarea care a debutat în anii '50.[10] Serviciile de sprijin comunitare includ centre de primire, vizite făcute de către membrii serviciilor medicale comunitare, angajări subsidiate[92] și grupuri de sprijin; acestea se întâlnesc în mod frecvent. Unele dovezi indică faptul că exercițiul fizic regulat are un efect pozitiv asupra sănătății fizice și mentale a bolnavilor de schizofrenie.[93]

Terapia convulsivantă electrică - TCE (electroșoc: Cerletti și Bini, 1938) sau farmacologică (șocul cardiazolic: von Meduna, 1934), precum și coma hipoglicemică cu insulină (Sakel, 1933), introduse empiric pe baza unor ipoteze fiziopatologice ulterior infirmate, dar având totuși o eficacitate certă, au căzut în desuetudine după introducerea tratamentului medicamentos neuroleptic. Totuși, în cazul unor stări catatonice grave cu pericol vital (catatonia pernicioasă), electroșocul reprezintă și în prezent terapia de elecție.

Medicamente

Risperidona (marcă comercială Risperdal) este un antipsihotic atipic foarte frecvent.

Tratamentul de primă linie al schizofreniei este medicația antipsihotică,[94] care poate reduce simptomele pozitive în decurs de 7 - 14 zile. Totuși, antipsihoticele nu reușesc să amelioreze simptomele negative și disfuncțiile cognitive.[28][95]

Alegerea antipsihoticelor administrate se bazează pe efecte benefice, riscuri și cost.[8] Care sunt cele mai bune antipsihotice, cele tipice sau cele atipice, rămâne un aspect controversat.[96] Ambele au rate egale de oprire și de revenire a simptomelor atunci când antipsihoticele tipice sunt folosite în doze mici sau moderate.[97] Există un răspuns bun în 40–50% din cazuri, un răspuns parțial în 30–40% din cazuri și rezistență (lipsa de răspuns satisfăcător a simptomelor la două-trei antipsihotice timp de șase săptămâni) în 20% din cazuri.[28] Clozapina este un tratament eficace pentru cei care răspund slab la alte medicamente, dar are o reacție adversă potențială gravă, și anume agranulocitoza (număr scăzut de celule sanguine albe) în 1–4% din cazuri.[8][9][98]

Referitor la efectele adverse, antipsihoticele tipice sunt asociate cu frecvențe mari ale efectelor secundare extrapiramidale, în timp ce antipsihoticele atipice sunt asociate cu creștere în greutate, diabet zaharat și risc de sindrom metabolic.[97] În timp ce antipsihoticele atipice au mai puține efecte secundare extrapiramidale, aceste diferențe sunt destul de mici.[99] Anumite antipsihotice atipice, cum ar fi chetiapina sau risperidona sunt asociate cu risc crescut de deces, în comparație cu antipsihoticul tipic perfenazină, iar clozapina este corelată cu cel mai mic risc de deces.[100] Nu este clar dacă noile antipsihotice reduc șansa de a face sindrom neuroleptic malign, o tulburare neurologică rară, dar gravă.[101]

Pentru cei care nu vor sau nu-și pot lua medicamentele în mod regulat, preparatele antipsihotice dépôt („de depozit”) cu acțiune pe termen lung pot fi folosite pentru a ține boala sub control.[102] Atunci când sunt folosite în asociere cu intervenții psiho-sociale, ele pot îmbunătăți respectarea tratamentului pe termen lung.[102]

Intervențiile psiho-sociale

Anumite intervenții psiho-sociale pot fi utile în tratamentul schizofreniei, inclusiv terapia de familie,[103] tratament comunitar asertiv, angajare subsidiată, remedierea cognitivă,[104] școlile de meserii, terapia cognitiv-comportamentală (TCC), intervențiile de economie simbolică, intervențiile psiho-sociale contra abuzului de substanțe și de control de greutate.[105] Terapia de familie sau educația care se adresează întregii familii a unui bolnav poate reduce recăderile și spitalizările.[103] Dovezile privind efectivitatea TCC, fie în reducerea simptomelor, fie în prevenirea recăderilor sunt neglijabile.[106][107] S-ar putea ca terapia artistică sau teatrală să nu fi fost bine studiată.[108][109]

Prognostic

Schizofrenia aduce cu sine mari costuri umane și economice.[8] Rezultatul acesteia este o speranță de viață cu 12–15 ani mai redusă, în principal datorită corelării ei cu obezitatea, modul de viață sedentar și cu fumatul, rata crescută a sinuciderii jucând un rol secundar.[8] Aceste diferențe în ceea ce privește speranța de viață au crescut între anii '70 și '90,[110] iar între anii '90 și prima decadă a secolului al XXI-lea nu s-au schimbat substanțial în cazul unui sistem de sănătate cu acces gratuit (Finlanda).[100]

Schizofrenia este o cauză majoră de handicap, psihoza activă fiind pe locul al treilea, după cvadriplegie și demență, fiind o cauză mai importantă decât paraplegia și orbirea.[111] Aproximativ trei sferturi dintre bolnavii de schizofrenie au un handicap continuu cu recăderi.[28] Unii bolnavi se recuperează complet, iar alții funcționează bine în societate.[112] Cei mai mulți bolnavi pot trăi independent, cu ajutorul comunității.[8] La cei care au un prim episod de psihoză un rezultat bun pe termen lung apare în 42% din cazuri, unul intermediar în 35% din cazuri, iar unul slab în 27% din cazuri.[113] Aceste rezultate par mai bune în țările în curs de dezvoltare decât în țările dezvoltate.[114] Aceste concluzii au fost însă puse la îndoială.[115][116]

O rată a sinuciderii peste medie este corelată cu schizofrenia. Ea a fost raportată ca fiind de 10%, dar o analiză mai recentă a studiilor și statisticilor a revizuit această estimare la 4,9%, cel mai adesea în perioada următoare debutului bolii sau primei internări.[117] Procentul bolnavilor care încearcă să se sinucidă cel puțin o dată este de câteva ori mai mare (între 20 și 40%).[118][119] Există o varietate de factori de risc, incluzând sexul masculin, depresia și un coeficient de inteligență înalt.[118]

Fumatul s-a dovedit puternic corelat cu schizofrenia în studii efectuate în diverse părți ale lumii.[120][121] Folosirea de țigarete este foarte mare la cei diagnosticați cu schizofrenie, estimându-se că 80% - 90% dintre aceștia sunt fumători în mod regulat, în comparație cu 20% din restul populației.[121] Bolnavii fumători tind să fumeze foarte mult, în plus fumează țigarete cu conținut ridicat de nicotină.[119]

Unele date sugerează că cei care suferă de schizofrenie paranoidă ar putea avea o perspectivă mai bună de a trăi în mod independent și de funcționare profesională adecvată.[122]

Epidemiologie

Ani afectați de handicap din cauza schizofreniei la 100 000 de locuitori în 2004.

     nu sunt date

      185

     185–197

     197–207

     207–218

     218–229

     229–240

     240–251

     251–262

     262–273

     273–284

     284–295

      295

Schizofrenia afectează în jur de 0,3–0,7% din oameni, la un anumit moment din viața lor,[8] sau 24 de milioane de oameni pe plan mondial în anul 2011.[123] Aceasta este de 1,4 ori mai frecventă la bărbați decât la femei și în mod obișnuit apare la bărbați mai devreme decât la femei[9] vârstele de vârf de apariție a bolii sunt de 20 - 28 ani la bărbați și de 26 - 32 ani la femei.[124] Apariția în copilărie este mult mai rară,[125] la fel ca și apariția la vârstă mijlocie sau la bătrânețe.[126] În pofida ideii des întâlnite că schizofrenia apare cu aproximativ aceleași frecvențe la nivel mondial, prevalența ei variază de-a lungul și de-a latul lumii,[127] între țări,[128] și la nivel local și de cartier.[129] Ea produce aproximativ 1% din anii afectați de handicap la nivel mondial.[9] Frecvența schizofreniei variază de până la trei ori în funcție de definiția ei.[8]

Istoric

O descriere a unui comportament de tip schizofren găsim deja în antichitate în scrierile lui Aretaeus din Cappadocia. Rapoartele despre un sindrom similar schizofreniei sunt considerate rare în documentele istorice dinaintea secolului al XIX-lea, deși rapoarte despre un comportament irațional, ininteligibil sau scapăt de sub control erau frecvente. Un studiu de caz detaliat din 1797 cu privire la James Tilly Matthews și rapoartele lui Phillipe Pinel au fost publicate în 1809, fiind adesea considerate ca primele cazuri ale acestei boli descrise în literatura medicală și psihiatrică.[130] Schizofrenia a fost pentru prima oară descrisă drept un sindrom distinct care-i afecta pe adolescenți și pe tinerii adulți de către Bénédict Morel în 1853, denumit démence précoce (tradus literal 'demență precoce'). Termenul dementia praecox a fost folosit în 1891 de către Arnold Pick într-un studiu de caz al unei tulburări psihotice. În 1893 Emil Kraepelin a introdus o diferențiere generală în clasificarea tulburărilor mentale între dementia praecox și tulburarea afectivă (numită depresie maniacală și incluzând atât depresia unipolară cât și pe cea bipolară). Kraepelin credea că dementia praecox era în mod primar o boală a creierului,[131] în particular o formă de demență, distinsă de alte forme de demență cum ar fi boala lui Alzheimer, care apare de obicei către bătrânețe.[132]

Cuvântul schizofrenie care se traduce drept „scindare a minții” și provine din rădăcinile grecești schizein (σχίζειν, „a scinda”) și phrēn, phren- (φρήν, φρεν-, „minte”)[133] a fost inventat de Eugen Bleuler în anul 1908 și era menit să descrie separarea funcțiilor între personalitate, gândire și percepție. Bleuler a descris simptomele principale drept cei patru A: Afect plat, Autism, Asociații de idei dereglate și Ambivalență.[134] Bleuler și-a dat seama că boala nu era o demență, deoarece starea unora din pacienții săi se îmbunătățea în loc să se înrăutățească, propunând termenul de schizofrenie pentru aceasta. Tratamentul a fost revoluționat la mijlocul anilor '50 prin descoperirea și introducerea clorpromazinei.[135]

La începutul anilor '70 criteriile de diagnostic pentru schizofrenie au fost subiectul unor controverse care au dus la criteriile operaționale utilizate actualmente. Conform unui Studiu de diagnostic anglo-american din 1971, schizofrenia a fost diagnosticată mult mai des în SUA decât în Europa.[136] Aceasta se datora în parte criteriilor mai laxe de diagnostic din SUA, care foloseau manualul DSM-II, în timp ce Europa folosea ICD-9. Studiul lui David Rosenhan din 1972, publicat în revista Science sub titlul „On being sane in insane places”, conchidea că diagnosticul de schizofrenie din SUA era adesea subiectiv și nu prezenta încredere.[137] Aceștia erau unii dintre factorii care au condus la revizuirea nu numai a diagnosticului schizofreniei, ci la revizuirea întregului manual DSM, având ca rezultat publicarea DSM-III în 1980.[138]

Termenul de schizofrenie este adesea confundat cu ideea că bolnavii ar avea o „personalitate scindată”. Deși unii oameni diagnosticați cu schizofrenie pot auzi voci și pot crede că vocile sunt personalități distincte, schizofrenia nu implică fenomenul ca o persoană să schimbe mai multe personalități distincte. Confuzia pornește în parte din interpretarea literală a termenului bleulerian de schizofrenie (Bleuler inițial a corelat schizofrenia cu disocierea și a inclus personalitatea scindată în categoria proprie pentru schizofrenie[139][140]). Tulburarea disociată de identitate (a avea o „personalitate scindată”) a fost de asemenea confundată deseori cu diagnosticul de schizofrenie în conformitate cu criteriile laxe din DSM-II[140][141]. Primul abuz al termenului pentru a desemna „personalitatea scindată” a apărut într-un articol al poetului T. S. Eliot din anul 1933.[142]

Puncte de vedere alternative

Prof. Thomas Szasz, MD, care se opune tratării bolilor mintale, arată sarcastic duplicitatea cu care sunt judecate aceste simptomele caracteristice pentru schizofrenie:

„Dacă vorbești cu Dumnezeu înseamnă că te rogi; dacă Dumnezeu îți vorbește, suferi de schizofrenie. Dacă îți vorbesc morții înseamnă că ești spiritist; dacă tu le vorbești morților, atunci ești schizofrenic.[143]
Thomas Szasz, The Second Sin

În societate și cultură

Termenul de schizofrenie a fost inventat de Eugen Bleuler.

În anul 2002 termenul japonez pentru schizofrenie a fost schimbat din Seishin-Bunretsu-Byō 精神分裂病 (boala-scindării-minții) în Tōgō-shitchō-shō 統合失調症 (tulburare de integrare) pentru a reduce stigmatizarea produsă de acest termen.[144] Noul nume a fost inspirat de modelul bio-psiho-social; el a mărit procentul pacienților care erau informați asupra acestui diagnostic de la 37% la 70% de-a lungul a trei ani.[145]

În Statele Unite ale Americii costul schizofreniei incluzând costurile directe (pacienți tratați ambulatoriu, pacienți internați, medicamente și îngrijire pe termen lung) și costurile care nu sunt legate de medicină (aplicarea legii, reducerea productivității și șomajul) a fost estimat la 62,7 miliarde USD în anul 2002.[146] Cartea și filmul O minte sclipitoare redau biografia lui John Forbes Nash, un matematician laureat la premiului Nobel care a fost diagnosticat cu schizofrenie.

Stigmatizarea socială a fost identificată drept un obstacol major în recuperarea pacienților bolnavi de schizofrenie.[147]

Violența

Indivizii cu boli mentale severe, inclusiv schizofrenie, au un risc semnificativ mai mare de a fi victime ale infracțiunilor violente și nonviolente.[148] Pe de altă parte, schizofrenia a fost uneori asociată cu o rată ridicată de acțiuni violente, deși ele sunt datorate în mod primar folosirii drogurilor.[149] Procentele omuciderilor corelate cu psihozele sunt similare celor legate de abuzul de substanțe și merg în paralel cu procentele generale din acea regiune.[150] Ce rol are schizofrenia asupra violenței în mod separat de abuzul de droguri rămâne discutabil, dar anumite aspecte ale biografiilor unor indivizi sau anumite stări mentale se pot număra printre factorii cauzatori de violență.[151]

Rapoartele jurnalistice referitoare la schizofrenie tind să graviteze în jurul unor acte de violență rare dar neobișnuite. Mai mult, într-o populație mare și reprezentativă studiată în anul 1999, 12,8% din americani credeau că suferinzii de schizofrenie au o probabilitate foarte înaltă de a comite acțiuni violente împotriva altor persoane, iar 48,1% considerau că acest lucru este doar probabil. Peste 74% au răspuns că suferinzii de schizofrenie fie „nu prea sunt în stare” fie „nu sunt deloc capabili” de a decide asupra propriului tratament, iar 70,2% au afirmat aceleași lucruri cu privire la a decide asupra banilor proprii.[152] Adepții ideii că suferinzii de psihoză sunt violenți s-au dublat față de anii '50, conform unei meta-analize.[153]

Referințe

  1. Gabrb2-knockout mice displayed schizophrenia-like and comorbid phenotypes with interneuron-astrocyte-microglia dysregulation.[*][[Gabrb2-knockout mice displayed schizophrenia-like and comorbid phenotypes with interneuron-astrocyte-microglia dysregulation. (articol științific)|]] Verificați valoarea |titlelink= (ajutor)
  2. GABRB2, a key player in neuropsychiatric disorders and beyond[*][[GABRB2, a key player in neuropsychiatric disorders and beyond (articol științific)|]] Verificați valoarea |titlelink= (ajutor)
  3. The association of GABRB2 SNPs with cognitive function in schizophrenia[*][[The association of GABRB2 SNPs with cognitive function in schizophrenia (scientific article published on 31 January 2019)|]] Verificați valoarea |titlelink= (ajutor)
  4. Disease Ontology, accesat în
  5. Human Phenotype Ontology release 2018-03-08, accesat în
  6. en "Dementia praecox to schizophrenia: the first 100 years." Psychiatry Clin Neurosci, 53(4):437-48, Aug. 1999
  7. "Schizophrenia" Concise Medical Dictionary. Oxford University Press, 2010. Oxford Reference Online. Maastricht University Library Arhivat în , la Wayback Machine.. 29 June 2010 prepaid subscription only
  8. van Os J, Kapur S. Schizophrenia. Lancet. 2009 [archived 2013-06-23; cited 2012-05-14];374(9690):635–45. doi:10.1016/S0140-6736(09)60995-8. PMID 19700006.
  9. Picchioni MM, Murray RM. Schizophrenia. BMJ. 2007;335(7610):91–5. doi:10.1136/bmj.39227.616447.BE. PMID 17626963.
  10. Becker T, Kilian R. Psychiatric services for people with severe mental illness across western Europe: what can be generalized from current knowledge about differences in provision, costs and outcomes of mental health care?. Acta Psychiatrica Scandinavica Supplement. 2006;429(429):9–16. doi:10.1111/j.1600-0447.2005.00711.x. PMID 16445476.
  11. Buckley PF, Miller BJ, Lehrer DS, Castle DJ. Psychiatric comorbidities and schizophrenia. Schizophr Bull. 2009;35(2):383–402. doi:10.1093/schbul/sbn135. PMID 19011234.
  12. Carson VB (2000). Mental health nursing: the nurse-patient journey W.B. Saunders. ISBN 978-0-7216-8053-8. p. 638.
  13. Schizophrenia. Wiley-Blackwell; 2003. ISBN 9780632063888. p. 21.
  14. Brunet-Gouet E, Decety J. Social brain dysfunctions in schizophrenia: a review of neuroimaging studies. Psychiatry Res. 2006;148(2–3):75–92. doi:10.1016/j.pscychresns.2006.05.001. PMID 17088049.
  15. Schizophrenia. Wiley-Blackwell; 2003. ISBN 9780632063888. p. 481.
  16. Ungvari GS, Caroff SN, Gerevich J. The catatonia conundrum: evidence of psychomotor phenomena as a symptom dimension in psychotic disorders. Schizophr Bull. 2010;36(2):231–8. doi:10.1093/schbul/sbp105. PMID 19776208.
  17. Addington J, Cadenhead KS, Cannon TD, et al.. North American prodrome longitudinal study: a collaborative multisite approach to prodromal schizophrenia research. Schizophrenia Bulletin. 2007;33(3):665–72. doi:10.1093/schbul/sbl075. PMID 17255119.
  18. Cullen KR, Kumra S, Regan J et al.. Atypical Antipsychotics for Treatment of Schizophrenia Spectrum Disorders. Psychiatric Times. 2008 [archived 2008-12-28; cited 2012-05-14];25(3).
  19. Amminger GP, Leicester S, Yung AR, et al.. Early onset of symptoms predicts conversion to non-affective psychosis in ultra-high risk individuals. Schizophrenia Research. 2006;84(1):67–76. doi:10.1016/j.schres.2006.02.018. PMID 16677803.
  20. Parnas J, Jorgensen A. Pre-morbid psychopathology in schizophrenia spectrum. British Journal of Psychiatry. 1989;115:623–7. PMID 2611591.
  21. Coyle, Joseph (). „Chapter 54: The Neurochemistry of Schizophrenia”. În Siegal, George J; Albers, R. Wayne; Brady, Scott T; Price, Donald. Basic Neurochemistry: Molecular, Cellular and Medical Aspects (Textbook) (ed. 7th). Burlington, MA: Elsevier Academic Press. p. 876. ISBN 978-0-12-088397-4.
  22. Clinical Psychopathology. 5 ed. New York: Grune & Stratton; 1959.
  23. Nordgaard J, Arnfred SM, Handest P, Parnas J. The diagnostic status of first-rank symptoms. Schizophrenia Bulletin. 2008;34(1):137–54. doi:10.1093/schbul/sbm044. PMID 17562695.
  24. Sims A. Symptoms in the mind: an introduction to descriptive psychopathology. Philadelphia: W. B. Saunders; 2002. ISBN 0-7020-2627-1.
  25. Kneisl C. and Trigoboff E.(2009). Contemporary Psychiatric- Mental Health Nursing. 2nd edition. London: Pearson Prentice Ltd. p. 371
  26. American Psychiatric Association. Task Force on DSM-IV. (2000). Diagnostic and statistical manual of mental disorders: DSM-IV-TR. American Psychiatric Pub. ISBN 978-0-89042-025-6. p. 299
  27. Velligan DI and Alphs LD. Negative Symptoms in Schizophrenia: The Importance of Identification and Treatment. Psychiatric Times. 1 martie 2008 [archived 2009-10-06; cited 2012-05-14];25(3).
  28. Smith T, Weston C, Lieberman J. Schizophrenia (maintenance treatment). Am Fam Physician. 2010;82(4):338–9. PMID 20704164.
  29. Drake RJ, Lewis SW. Early detection of schizophrenia. Current Opinion in Psychiatry. 2005;18(2):147–50. doi:10.1097/00001504-200503000-00007. PMID 16639167.
  30. O'Donovan MC, Williams NM, Owen MJ. Recent advances in the genetics of schizophrenia. Hum. Mol. Genet.. 2003;12 Spec No 2:R125–33. doi:10.1093/hmg/ddg302. PMID 12952866.
  31. McLaren JA, Silins E, Hutchinson D, Mattick RP, Hall W. Assessing evidence for a causal link between cannabis and psychosis: a review of cohort studies. Int. J. Drug Policy. 2010;21(1):10–9. doi:10.1016/j.drugpo.2009.09.001. PMID 19783132.
  32. O'Donovan MC, Craddock NJ, Owen MJ. Genetics of psychosis; insights from views across the genome. Hum. Genet.. 2009;126(1):3–12. doi:10.1007/s00439-009-0703-0. PMID 19521722.
  33. Craddock N, Owen MJ. The Kraepelinian dichotomy - going, going... But still not gone. The British Journal of Psychiatry. 2010;196:92–95. doi:10.1192/bjp.bp.109.073429. PMID 20118450.
  34. Crow TJ. The 'big bang' theory of the origin of psychosis and the faculty of language. Schizophrenia Research. 2008;102(1–3):31–52. doi:10.1016/j.schres.2008.03.010. PMID 18502103.
  35. Mueser KT, Jeste DV. Clinical Handbook of Schizophrenia. New York: Guilford Press; 2008. ISBN 1593856520. p. 22–23.
  36. „Exploration, Vanderbilt's Online Research Magazine (HTML Site) - READ MORE”. Arhivat din original la . Accesat în .
  37. Odd behavior may lead to creativity , http://phys.org/news6322.html#nRlv
  38. Smart genes put us at risk of mental illness, http://medicalxpress.com/news/2012-12-smart-genes-mental-illness.html , December 5: Humans may be endowed with the ability to perform complex forms of learning, attention and function but the evolutionary process that led to this has put us at risk of mental illness. Data from new research, published today in the journal Nature Neuroscience, was analysed by Dr Richard Emes, a bioinformatics expert from the School of Veterinary Medicine and Science at The University of Nottingham. The results showed that disease-causing mutations occur in the genes that evolved to make us smarter than our fellow animals.
  39. Genes for Psychosis and Creativity, http://cogsci.uwaterloo.ca/courses/Phil447.2009/keri.pdf
  40. Mad genius: Study suggests link between psychosis and creativity, http://phys.org/news173364756.html
  41. Children of bipolar parents more creative, http://phys.org/news8016.html#nRlv
  42. January First: A Child's Descent into Madness and Her Father's Struggle to Save Her, Michael Schofield, Crown Publishers 2012, p. 23 239
  43. Channel 9 Australia's "Mornings" - YouTube
  44. Van Os J. Does the urban environment cause psychosis?. British Journal of Psychiatry. 2004;184(4):287–288. doi:10.1192/bjp.184.4.287. PMID 15056569.
  45. Selten JP, Cantor-Graae E, Kahn RS. Migration and schizophrenia. Current Opinion in Psychiatry. 2007;20(2):111–115. doi:10.1097/YCO.0b013e328017f68e. PMID 17278906.
  46. Gregg L, Barrowclough C, Haddock G. Reasons for increased substance use in psychosis. Clin Psychol Rev. 2007;27(4):494–510. doi:10.1016/j.cpr.2006.09.004. PMID 17240501.
  47. Cannabis Use and Earlier Onset of Psychosis: A Systematic Meta-analysis.. Archives of general psychiatry. 2011 Feb 7. PMID 21300939.
  48. Leweke FM, Koethe D. Cannabis and psychiatric disorders: it is not only addiction. Addict Biol. 2008;13(2):264–75. doi:10.1111/j.1369-1600.2008.00106.x. PMID 18482435.
  49. Moore THM, Zammit S, Lingford-Hughes A et al.. Cannabis use and risk of psychotic or affective mental health outcomes: a systematic review. Lancet. 2007;370(9584):319–328. doi:10.1016/S0140-6736(07)61162-3. PMID 17662880.
  50. Sewell, RA (2009 Apr). „Cannabinoids and psychosis”. International Review of Psychiatry (Abingdon, England). 21 (2): 152–62. doi:10.1080/09540260902782802. PMID 19367509. Verificați datele pentru: |date= (ajutor)
  51. Henquet, C (2008 Nov). „Gene-Environment Interplay Between Cannabis and Psychosis”. Schizophrenia Bulletin. 34 (6): 1111–21. doi:10.1093/schbul/sbn108. PMC 2632498Accesibil gratuit. PMID 18723841. Verificați datele pentru: |date= (ajutor)
  52. Ben Amar M, Potvin S (2007 Jun). „Cannabis and psychosis: what is the link?”. Journal of Psychoactive Drugs. 39 (2): 131–42. doi:10.1080/02791072.2007.10399871. PMID 17703707. Verificați datele pentru: |date= (ajutor)
  53. Larson, Michael. WebMD. Alcohol-Related Psychosis; 2006-03-30 [cited 27 septembrie 2006].
  54. Sagud, M (2009 Sep). „Smoking and schizophrenia”. Psychiatria Danubina. 21 (3): 371–5. PMID 19794359. Verificați datele pentru: |date= (ajutor)
  55. Yolken R.. Viruses and schizophrenia: a focus on herpes simplex virus.. Herpes. 2004;11(Suppl 2):83A–88A. PMID 15319094.
  56. Torrey EF, Yolken RH. Toxoplasma gondii and schizophrenia. Emerg Infect Dis [serial online] Nov 2003, http://wwwnc.cdc.gov/eid/article/9/11/03-0143_article.htm
  57. Broome MR, Woolley JB, Tabraham P, et al.. What causes the onset of psychosis?. Schizophr. Res.. 2005;79(1):23–34. doi:10.1016/j.schres.2005.02.007. PMID 16198238.
  58. Bentall RP, Fernyhough C, Morrison AP, Lewis S, Corcoran R. Prospects for a cognitive-developmental account of psychotic experiences. Br J Clin Psychol. 2007;46(Pt 2):155–73. doi:10.1348/014466506X123011. PMID 17524210.
  59. Kurtz MM. Neurocognitive impairment across the lifespan in schizophrenia: an update. Schizophrenia Research. 2005;74(1):15–26. doi:10.1016/j.schres.2004.07.005. PMID 15694750.
  60. Cohen AS, Docherty NM. Affective reactivity of speech and emotional experience in patients with schizophrenia. Schizophrenia Research. 2004;69(1):7–14. doi:10.1016/S0920-9964(03)00069-0. PMID 15145465.
  61. Horan WP, Blanchard JJ. Emotional responses to psychosocial stress in schizophrenia: the role of individual differences in affective traits and coping. Schizophrenia Research. 2003;60(2–3):271–83. doi:10.1016/S0920-9964(02)00227-X. PMID 12591589.
  62. Smith B, Fowler DG, Freeman D, et al.. Emotion and psychosis: links between depression, self-esteem, negative schematic beliefs and delusions and hallucinations. Schizophr. Res.. 2006;86(1–3):181–8. doi:10.1016/j.schres.2006.06.018. PMID 16857346.
  63. Beck, AT. A Cognitive Model of Schizophrenia. Journal of Cognitive Psychotherapy. 2004;18(3):281–88. doi:10.1891/jcop.18.3.281.65649.
  64. Bell V, Halligan PW, Ellis HD. Explaining delusions: a cognitive perspective. Trends in Cognitive Science. 2006;10(5):219–26. doi:10.1016/j.tics.2006.03.004. PMID 16600666.
  65. Freeman D, Garety PA, Kuipers E, Fowler D, Bebbington PE, Dunn G. Acting on persecutory delusions: the importance of safety seeking. Behav Res Ther. 2007;45(1):89–99. doi:10.1016/j.brat.2006.01.014. PMID 16530161.
  66. Kuipers E, Garety P, Fowler D, Freeman D, Dunn G, Bebbington P. Cognitive, emotional, and social processes in psychosis: refining cognitive behavioral therapy for persistent positive symptoms. Schizophr Bull. 2006;32 Suppl 1:S24–31. doi:10.1093/schbul/sbl014. PMID 16885206.
  67. Kim J, Matthews NL, Park S (2010) An Event-Related fMRI Study of Phonological Verbal Working Memory in Schizophrenia. PLoS ONE 5(8): e12068. doi:10.1371/journal.pone.0012068.
  68. Kircher, Tilo and Renate Thienel. The Boundaries of Consciousness. Amsterdam: Elsevier; 2006. ISBN 0444528768. Functional brain imaging of symptoms and cognition in schizophrenia. p. 302.
  69. Coyle 2006, p. 878.
  70. Green MF. Cognitive impairment and functional outcome in schizophrenia and bipolar disorder. Journal of Clinical Psychiatry. 2006;67(Suppl 9):3–8. PMID 16965182.
  71. Insel TR. Rethinking schizophrenia. Nature. 2010;468(7321):187–93. doi:10.1038/nature09552. PMID 21068826.
  72. Laruelle M, Abi-Dargham A, van Dyck CH, et al.. Single photon emission computerized tomography imaging of amphetamine-induced dopamine release in drug-free schizophrenic subjects. Proc. Natl. Acad. Sci. U.S.A.. 1996;93(17):9235–40. doi:10.1073/pnas.93.17.9235. PMID 8799184.
  73. Jones HM, Pilowsky LS. Dopamine and antipsychotic drug action revisited. British Journal of Psychiatry. 2002;181:271–275. doi:10.1192/bjp.181.4.271. PMID 12356650.
  74. Konradi C, Heckers S. Molecular aspects of glutamate dysregulation: implications for schizophrenia and its treatment. Pharmacology and Therapeutics. 2003;97(2):153–79. doi:10.1016/S0163-7258(02)00328-5. PMID 12559388.
  75. Lahti AC, Weiler MA, Tamara Michaelidis BA, Parwani A, Tamminga CA. Effects of ketamine in normal and schizophrenic volunteers. Neuropsychopharmacology. 2001;25(4):455–67. doi:10.1016/S0893-133X(01)00243-3. PMID 11557159.
  76. Coyle JT, Tsai G, Goff D. Converging evidence of NMDA receptor hypofunction in the pathophysiology of schizophrenia. Annals of the New York Academy of Sciences. 2003;1003:318–27. doi:10.1196/annals.1300.020. PMID 14684455.
  77. Tuominen HJ, Tiihonen J, Wahlbeck K. Glutamatergic drugs for schizophrenia: a systematic review and meta-analysis. Schizophrenia Research. 2005;72(2–3):225–34. doi:10.1016/j.schres.2004.05.005. PMID 15560967.
  78. Jakobsen KD, Frederiksen JN, Hansen T, et al.. Reliability of clinical ICD-10 schizophrenia diagnoses. Nordic Journal of Psychiatry. 2005;59(3):209–12. doi:10.1080/08039480510027698. PMID 16195122.
  79. American Psychiatric Association. Diagnostic and statistical manual of mental disorders: DSM-IV. Washington, DC: American Psychiatric Publishing, Inc.; 2000 [cited 2008-07-04]. ISBN 0-89042-024-6. Schizophrenia.
  80. American Psychiatric Association DSM-5 Work Groups (2010) Proposed Revisions – Schizophrenia and Other Psychotic Disorders. Retrieved 17 February 2010.
  81. The ICD-10 Classification of Mental and Behavioural Disorders [pdf]; p. 26.
  82. Pope HG. Distinguishing bipolar disorder from schizophrenia in clinical practice: guidelines and case reports. Hospital and Community Psychiatry. 1983 [cited 2008-02-24];34:322–28.
  83. McGlashan TH. Testing DSM-III symptom criteria for schizotypal and borderline personality disorders. Archives of General Psychiatry. 1987;44(2):143–8. PMID 3813809.
  84. Bottas A. Comorbidity: Schizophrenia With Obsessive-Compulsive Disorder. Psychiatric Times. 15 aprilie 2009;26(4).
  85. Marshall M, Rathbone J. Early intervention for psychosis. Cochrane Database Syst Rev. 2006;(4):CD004718. doi:10.1002/14651858.CD004718.pub2. PMID 17054213.
  86. de Koning MB, Bloemen OJ, van Amelsvoort TA, et al.. Early intervention in patients at ultra high risk of psychosis: benefits and risks. Acta Psychiatr Scand. 2009;119(6):426–42. doi:10.1111/j.1600-0447.2009.01372.x. PMID 19392813.
  87. Cannon TD, Cornblatt B, McGorry P. The empirical status of the ultra high-risk (prodromal) research paradigm. Schizophrenia Bulletin. 2007;33(3):661–4. doi:10.1093/schbul/sbm031. PMID 17470445.
  88. Arseneault L, Cannon M, Witton J, Murray RM (). „Causal association between cannabis and psychosis: examination of the evidence”. Br J Psychiatry. 184 (2): 110–7. doi:10.1192/bjp.184.2.110. PMID 14754822.
  89. Arendt, M (2005 Dec). „Cannabis-induced psychosis and subsequent schizophrenia-spectrum disorders: follow-up study of 535 incident cases”. The British Journal of Psychiatry : The Journal of Mental Science. 187 (6): 510–5. doi:10.1192/bjp.187.6.510. PMID 16319402. Verificați datele pentru: |date= (ajutor)
  90. Kirkbride, JB (2011 Mar). „The Prevention of Schizophrenia—What Can We Learn From Eco-Epidemiology?”. Schizophrenia Bulletin. 37 (2): 262–71. doi:10.1093/schbul/sbq120. PMC 3044619Accesibil gratuit. PMID 20974748. Arhivat din original la 2012-04-24. Accesat în 2012-05-14. Verificați datele pentru: |date= (ajutor)
  91. McGrath, JJ (2011 Dec 1). „The search for modifiable risk factors for schizophrenia”. The American Journal of Psychiatry. 168 (12): 1235–8. doi:10.1176/appi.ajp.2011.11081300. PMID 22193665. Verificați datele pentru: |date= (ajutor)
  92. McGurk SR, Mueser KT, Feldman K, Wolfe R, Pascaris A. Cognitive training for supported employment: 2–3 year outcomes of a randomized controlled trial.. American Journal of Psychiatry. 2007;164(3):437–41. doi:10.1176/appi.ajp.164.3.437. PMID 17329468.
  93. Gorczynski P, Faulkner G. Exercise therapy for schizophrenia. Cochrane Database Syst Rev. 2010;(5):CD004412. doi:10.1002/14651858.CD004412.pub2. PMID 20464730.
  94. National Collaborating Centre for Mental Health. Gaskell and the British Psychological Society. Schizophrenia: Full national clinical guideline on core interventions in primary and secondary care [PDF]; 2009-03-25 [cited 2009-11-25].
  95. Tandon R, Keshavan MS, Nasrallah HA. Schizophrenia, "Just the Facts": what we know in 2008 part 1: overview. Schizophrenia Research. 2008;100(1–3):4–19. doi:10.1016/j.schres.2008.01.022. PMID 18291627.
  96. Kane JM, Correll CU. Pharmacologic treatment of schizophrenia. Dialogues Clin Neurosci. 2010;12(3):345–57. PMID 20954430.
  97. Schultz SH, North SW, Shields CG. Schizophrenia: a review. Am Fam Physician. 2007;75(12):1821–9. PMID 17619525.
  98. Wahlbeck K, Cheine MV, Essali A. Clozapine versus typical neuroleptic medication for schizophrenia. The Cochrane Database of Systematic Reviews. 2007;(2):CD000059. doi:10.1002/14651858.CD000059. PMID 10796289.
  99. Tandon R, Belmaker RH, Gattaz WF, et al.. World Psychiatric Association Pharmacopsychiatry Section statement on comparative effectiveness of antipsychotics in the treatment of schizophrenia. Schizophr. Res.. 2008;100(1–3):20–38. doi:10.1016/j.schres.2007.11.033. PMID 18243663.
  100. Chwastiak LA, Tek C. The unchanging mortality gap for people with schizophrenia. Lancet. 2009;374(9690):590–2. doi:10.1016/S0140-6736(09)61072-2. PMID 19595448.
  101. Ananth J, Parameswaran S, Gunatilake S, Burgoyne K, Sidhom T. Neuroleptic malignant syndrome and atypical antipsychotic drugs. Journal of Clinical Psychiatry. 2004;65(4):464–70. doi:10.4088/JCP.v65n0403. PMID 15119907.
  102. McEvoy JP. Risks versus benefits of different types of long-acting injectable antipsychotics. J Clin Psychiatry. 2006;67 Suppl 5:15–8. PMID 16822092.
  103. Pharoah F, Mari J, Rathbone J, Wong W. Family intervention for schizophrenia. Cochrane Database Syst Rev. 2010;12:CD000088. doi:10.1002/14651858.CD000088.pub3. PMID 21154340.
  104. Medalia A, Choi J. Cognitive remediation in schizophrenia.. Neuropsychology Rev. 2009;19(3):353–364. doi:10.1007/s11065-009-9097-y. PMID 19444614.
  105. Dixon LB, Dickerson F, Bellack AS, et al.. The 2009 schizophrenia PORT psychosocial treatment recommendations and summary statements. Schizophr Bull. 2010;36(1):48–70. doi:10.1093/schbul/sbp115. PMID 19955389.
  106. Lynch D, Laws KR, McKenna PJ. Cognitive behavioural therapy for major psychiatric disorder: does it really work? A meta-analytical review of well-controlled trials. Psychol Med. 2010;40(1):9–24. doi:10.1017/S003329170900590X. PMID 19476688.
  107. Jones C, Cormac I, Silveira da Mota Neto JI, Campbell C. Cognitive behaviour therapy for schizophrenia. Cochrane Database Syst Rev. 2004;(4):CD000524. doi:10.1002/14651858.CD000524.pub2. PMID 15495000.
  108. Ruddy R, Milnes D. Art therapy for schizophrenia or schizophrenia-like illnesses.. Cochrane Database Syst Rev. 2005;(4):CD003728. doi:10.1002/14651858.CD003728.pub2. PMID 16235338.
  109. Ruddy RA, Dent-Brown K. Drama therapy for schizophrenia or schizophrenia-like illnesses.. Cochrane Database Syst Rev. 2007;(1):CD005378. doi:10.1002/14651858.CD005378.pub2. PMID 17253555.
  110. Saha S, Chant D, McGrath J. A systematic review of mortality in schizophrenia: is the differential mortality gap worsening over time?. Arch. Gen. Psychiatry. 2007;64(10):1123–31. doi:10.1001/archpsyc.64.10.1123. PMID 17909124.
  111. Ustun TB. Multiple-informant ranking of the disabling effects of different health conditions in 14 countries. The Lancet. 1999;354(9173):111–15. doi:10.1016/S0140-6736(98)07507-2. PMID 10408486.
  112. Warner R. Recovery from schizophrenia and the recovery model. Curr Opin Psychiatry. 2009;22(4):374–80. doi:10.1097/YCO.0b013e32832c920b. PMID 19417668.
  113. Menezes NM, Arenovich T, Zipursky RB. A systematic review of longitudinal outcome studies of first-episode psychosis. Psychol Med. 2006;36(10):1349–62. doi:10.1017/S0033291706007951. PMID 16756689.
  114. Isaac M, Chand P, Murthy P. Schizophrenia outcome measures in the wider international community. Br J Psychiatry Suppl. 2007;50:s71–7. PMID 18019048.
  115. Cohen A, Patel V, Thara R, Gureje O. Questioning an axiom: better prognosis for schizophrenia in the developing world?. Schizophr Bull. 2008;34(2):229–44. doi:10.1093/schbul/sbm105. PMID 17905787.
  116. Burns J. Dispelling a myth: developing world poverty, inequality, violence and social fragmentation are not good for outcome in schizophrenia. Afr J Psychiatry (Johannesbg). 2009;12(3):200–5. PMID 19894340.
  117. Palmer BA, Pankratz VS, Bostwick JM. The lifetime risk of suicide in schizophrenia: a reexamination. Archives of General Psychiatry. 2005;62(3):247–53. doi:10.1001/archpsyc.62.3.247. PMID 15753237.
  118. Carlborg A, Winnerbäck K, Jönsson EG, Jokinen J, Nordström P. Suicide in schizophrenia. Expert Rev Neurother. 2010;10(7):1153–64. doi:10.1586/ern.10.82. PMID 20586695.
  119. American Psychiatric Association. Task Force on DSM-IV. (2000). Diagnostic and statistical manual of mental disorders: DSM-IV-TR. American Psychiatric Pub. ISBN 978-0-89042-025-6. p. 304
  120. De Leon J, Diaz FJ. A meta-analysis of worldwide studies demonstrates an association between schizophrenia and tobacco smoking behaviors. Schizophrenia research. 2005;76(2-3):135–57. doi:10.1016/j.schres.2005.02.010. PMID 15949648.
  121. Keltner NL, Grant JS. Smoke, Smoke, Smoke That Cigarette. Perspectives in Psychiatric Care. 2006;42(4):256. doi:10.1111/j.1744-6163.2006.00085.x. PMID 17107571.
  122. American Psychiatric Association. Task Force on DSM-IV. (2000). Diagnostic and statistical manual of mental disorders: DSM-IV-TR. American Psychiatric Pub. ISBN 978-0-89042-025-6. p. 314
  123. World Health Organization. Schizophrenia; 2011 [cited 27 februarie 2011].
  124. Castle D, Wessely S, Der G, Murray RM. The incidence of operationally defined schizophrenia in Camberwell, 1965–84. The British Journal of Psychiatry. 1991;159:790–4. doi:10.1192/bjp.159.6.790. PMID 1790446.
  125. Kumra S, Shaw M, Merka P, Nakayama E, Augustin R. Childhood-onset schizophrenia: research update. Canadian Journal of Psychiatry. 2001;46(10):923–30. PMID 11816313.
  126. Hassett Anne, et al. (eds). Psychosis in the Elderly. London: Taylor and Francis.; 2005. ISBN 1841843946. p. 6.
  127. Jablensky A, Sartorius N, Ernberg G, et al.. Schizophrenia: manifestations, incidence and course in different cultures. A World Health Organization ten-country study. Psychological Medicine Monograph Supplement. 1992;20:1–97. doi:10.1017/S0264180100000904. PMID 1565705.
  128. Kirkbride JB, Fearon P, Morgan C, et al.. Heterogeneity in incidence rates of schizophrenia and other psychotic syndromes: findings from the 3-center AeSOP study. Archives of General Psychiatry. 2006;63(3):250–8. doi:10.1001/archpsyc.63.3.250. PMID 16520429.
  129. Kirkbride JB, Fearon P, Morgan C, et al.. Neighbourhood variation in the incidence of psychotic disorders in Southeast London. Social Psychiatry and Psychiatric Epidemiology. 2007;42(6):438–45. doi:10.1007/s00127-007-0193-0. PMID 17473901.
  130. Heinrichs RW. Historical origins of schizophrenia: two early madmen and their illness. Journal of the History of the Behavioral Sciences. 2003;39(4):349–63. doi:10.1002/jhbs.10152. PMID 14601041.
  131. Kraepelin E, Diefendorf AR. Text book of psychiatry. 7 ed. London: Macmillan; 1907.
  132. Hansen RA, Atchison B. Conditions in occupational therapy: effect on occupational performance. Hagerstown, MD: Lippincott Williams & Wilkins; 2000. ISBN 0-683-30417-8.
  133. Kuhn R. Eugen Bleuler's concepts of psychopathology. History of Psychiatry. 2004;15(3):361–6. doi:10.1177/0957154X04044603. PMID 15386868.
  134. Stotz-Ingenlath G. Epistemological aspects of Eugen Bleuler's conception of schizophrenia in 1911 [PDF]. Medicine, Health Care and Philosophy. 2000;3(2):153–9. doi:10.1023/A:1009919309015. PMID 11079343.
  135. Turner T. Unlocking psychosis. British Medical Journal. 2007;334(suppl):s7. doi:10.1136/bmj.39034.609074.94. PMID 17204765.
  136. Wing JK. International comparisons in the study of the functional psychoses. British Medical Bulletin. 1971;27(1):77–81. PMID 4926366.
  137. Rosenhan D. On being sane in insane places. Science. 1973;179(4070):250–8. doi:10.1126/science.179.4070.250. PMID 4683124.
  138. Wilson M. DSM-III and the transformation of American psychiatry: a history. American Journal of Psychiatry. 1993;150(3):399–410. PMID 8434655.
  139. Stotz-Ingenlath G: Epistemological aspects of Eugen Bleuler’s conception of schizophrenia in 1911. Med Health Care Philos 2000; 3:153—159
  140. Hayes, J. A., & Mitchell, J. C. (1994). Mental health professionals' skepticism about multiple personality disorder. Professional Psychology: Research and Practice, 25, 410-415
  141. Putnam, Frank W. (1989). Diagnosis and Treatment of Multiple Personality Disorder. New York: The Guilford Press. pp. 351. ISBN 0-89862-177-1
  142. Berrios, G. E.; Porter, Roy. A history of clinical psychiatry: the origin and history of psychiatric disorders. London: Athlone Press; 1995. ISBN 0-485-24211-7.
  143. T. Szasz, The Second Sin Anchor/Doubleday, Garden City, NY. 1973, p. 113. Citat: „If you talk to God, you are praying; If God talks to you, you have schizophrenia. If the dead talk to you, you are a spiritualist; If you talk to the dead, you are a schizophrenic.”
  144. Kim Y, Berrios GE. Impact of the term schizophrenia on the culture of ideograph: the Japanese experience. Schizophr Bull. 2001;27(2):181–5. PMID 11354585.
  145. Sato M. Renaming schizophrenia: a Japanese perspective. World Psychiatry. 2004;5(1):53–55. PMID 16757998.
  146. Wu EQ. The economic burden of schizophrenia in the United States in 2002. J Clin Psychiatry. 2005;66(9):1122–9. PMID 16187769.
  147. Maj, Mario and Sartorius N.. Schizophrenia. Chichester: Wiley; 15 September 1999. ISBN 978-0-471-99906-5. p. 292.
  148. Maniglio, R (2009 Mar). „Severe mental illness and criminal victimization: a systematic review”. Acta Psychiatrica Scandinavica. 119 (3): 180–91. doi:10.1111/j.1600-0447.2008.01300.x. PMID 19016668. Verificați datele pentru: |date= (ajutor)
  149. Fazel, S (2009 Aug). McGrath, John, ed. „Schizophrenia and Violence: Systematic Review and Meta-Analysis”. PLOS Medicine. 6 (8): e1000120. doi:10.1371/journal.pmed.1000120. PMC 2718581Accesibil gratuit. PMID 19668362. Verificați datele pentru: |date= (ajutor)
  150. Large, M (2009 Jul). „The relationship between the rate of homicide by those with schizophrenia and the overall homicide rate: a systematic review and meta-analysis”. Schizophrenia Research. 112 (1–3): 123–9. doi:10.1016/j.schres.2009.04.004. PMID 19457644. Verificați datele pentru: |date= (ajutor)
  151. Bo, S (2011 Jul). „Risk factors for violence among patients with schizophrenia”. Clinical Psychology Review. 31 (5): 711–26. doi:10.1016/j.cpr.2011.03.002. PMID 21497585. Verificați datele pentru: |date= (ajutor)
  152. Pescosolido BA, Monahan J, Link BG, Stueve A, Kikuzawa S. The public's view of the competence, dangerousness, and need for legal coercion of persons with mental health problems. American Journal of Public Health. 1999;89(9):1339–45. doi:10.2105/AJPH.89.9.1339. PMID 10474550.
  153. Phelan JC, Link BG, Stueve A, Pescosolido BA. Public Conceptions of Mental Illness in 1950 and 1996: What Is Mental Illness and Is It to be Feared?. Journal of Health and Social Behavior. 2000;41(2):188–207. doi:10.2307/2676305.

Bibliografie

  • de Kraepelin, Emil: Lehrbuch de Psychiatrie, Leipzig, 1896.
  • de Bleuler, Eugen: Dementia praecox oder Gruppe der Schizophrenien, Leipzig, 1911.
  • de Schneider, Kurt: Die Schizophrenie, Leipzig, 1930.
  • de Huber, Gerd: Psychiatrie, Stuttgart, 1994.
  • en Nasrallah, H.A. (edit.): Handbook of schizophrenia, Amsterdam, 1991.

Legături externe

ATENȚIE !
Vă rugăm să aveți în vedere faptul că Wikipedia nu prezintă nicio garanție în privința corectitudinii datelor pe care le conține.
Cu toate că depunem mult efort în a îmbunătăți informațiile din articole, acestea nu pot înlocui un sfat medical de specialitate.


This article is issued from Wikipedia. The text is licensed under Creative Commons - Attribution - Sharealike. Additional terms may apply for the media files.