Leucemia mieloidă acută
Leucemia mieloidă acută (LMA) este un tip de cancer afectând linia mieloidă a celulelor sanguine, caracterizat prin creșterea rapidă a celulelor anormale care se acumulează în măduva osoasă și în sânge și interferează cu producția normală de celule sanguine.[1] Simptomele pot include senzație de oboseală, dispnee, învinețire ușoară, sângerări și risc crescut de infecție.[1] Ocazional, se poate răspândi la nivelul creierului, pielii sau gingiilor.[1] Fiind o formă de leucemie acută, LMA progresează rapid și, de obicei, conduce la deces în câteva săptămâni sau luni dacă este lăsată netratată.[1][7]
| Leucemia mieloidă acută | |
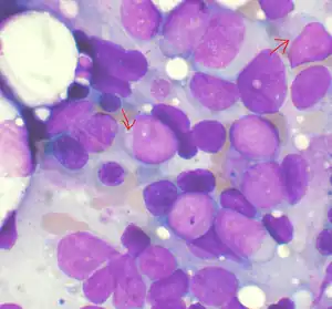
![]() Aspirat de măduvă osoasă care arată leucemie mieloidă acută; săgețile indică tije Auer | |
| Specialitate | Hematologie, oncologie |
|---|---|
| Simptome | epuizare[*] slăbire anorexie[*] anemie hemoragie splenomegalie[*] |
| Metodă de diagnostic | Hemogramă bone marrow examination[*] bone marrow differential[*] |
| Tratament | Chimioterapie, radioterapie, transplant de celule stem[1][2] |
| Frecvență | 1 milion (2015)[3] |
| Decese | 147.100 (2015)[4] |
| Clasificare și resurse externe | |
| ICD-11 | |
| ICD-9-CM | 205.0[5][6] 205.00[6] |
| OMIM | 601626 |
| DiseasesDB | 203 |
| MedlinePlus | 000542 |
| Patient UK | Leucemia mieloidă acută |
| MeSH ID | D015470[6] |
Printre factorii de risc se numără fumatul, chimioterapia sau radioterapia anterioară, sindromul mielodisplazic și expunerea la benzen.[1] Mecanismul de bază implică înlocuirea măduvei osoase normale cu celule leucemice, ceea ce duce la o scădere a globulelor roșii, trombocitelor și globulelor albe normale.[1] Diagnosticul se bazează în general pe aspirația măduvei osoase și pe analize de sânge specifice.[2] LMA are mai multe subtipuri pentru care tratamentele și rezultatele pot varia.[1]
LMA este de obicei tratată inițial cu chimioterapie, cu scopul de a induce remisiunea.[1] Aceasta poate fi urmată de chimioterapie suplimentară, radioterapie sau de un transplant de celule stem.[1][2] Mutațiile genetice specifice prezente în celulele canceroase pot ghida terapia și pot determina cât timp este probabil să supraviețuiască persoana bolnavă.[2]
În 2015, LMA a afectat aproximativ un milion de oameni și a dus la 147.000 de decese la nivel global.[3][4] Apare cel mai frecvent la adulții în vârstă.[8] Bărbații sunt afectați mai des decât femeile.[8] Rata de supraviețuire la cinci ani este de aproximativ 35% la persoanele cu vârste sub 60 de ani și 10% la persoanele peste 60 de ani.[2] Persoanele în vârstă, a căror stare de sănătate este prea precară pentru chimioterapie intensivă, au o perioadă de supraviețuire tipică de 5-10 luni.[2] Reprezintă aproximativ 1,8% din decesele cauzate de cancer din Statele Unite.[8]
Referințe
- „Adult Acute Myeloid Leukemia Treatment”. National Cancer Institute (în engleză). . Arhivat din original la . Accesat în .
- Döhner H, Weisdorf DJ, Bloomfield CD (septembrie 2015). „Acute Myeloid Leukemia”. The New England Journal of Medicine. 373 (12): 1136–52. doi:10.1056/NEJMra1406184. PMID 26376137.
- „Global, regional, and national incidence, prevalence, and years lived with disability for 310 diseases and injuries, 1990-2015: a systematic analysis for the Global Burden of Disease Study 2015”. Lancet. 388 (10053): 1545–1602. octombrie 2016. doi:10.1016/S0140-6736(16)31678-6. PMC 5055577
. PMID 27733282. - „Global, regional, and national life expectancy, all-cause mortality, and cause-specific mortality for 249 causes of death, 1980-2015: a systematic analysis for the Global Burden of Disease Study 2015”. Lancet. 388 (10053): 1459–1544. octombrie 2016. doi:10.1016/S0140-6736(16)31012-1. PMC 5388903
. PMID 27733281. - Disease Ontology, accesat în
- Monarch Disease Ontology release 2018-06-29[*] Verificați valoarea
|titlelink=(ajutor); - Marino, Bradley S.; Fine, Katie S. (). Blueprints Pediatrics. Lippincott Williams & Wilkins. p. 205. ISBN 9781451116045. Accesat în .
- „Acute Myeloid Leukemia – Cancer Stat Facts”. NCI (în engleză). Arhivat din original la . Accesat în .
