Hemoragie intracerebrală
Hemoragia intracerebrală (ICH), cunoscută și sub numele de sângerare/Hemoragie cerebrală și hemoragia intraparenchimală, este o sângerare bruscă în țesuturile creierului, în ventriculii săi sau în ambele.[3][4][1] Este un fel de sângerare în interiorul craniului[3] și este un fel de accident vascular cerebral.[4]
| Hemoragie intracerebrală | |
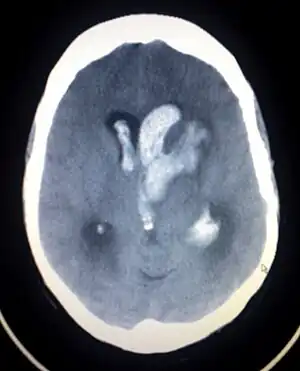
![]() Scanarea CT a unei sângerări intracerebrale spontane, care se scurge în ventriculii laterali | |
| Specialitate | Neurochirurgie |
|---|---|
| Cauze | Traumatism cranian, Anevrism, malformații arterio-venoasă, tumori cerebrale[1] |
| Metodă de diagnostic | Scanare CT[1] |
| Diagnostic diferențial | Accident vascular cerebral ischemic[1] |
| Tratament | controlul tensiune arterială, operație, drenaj ventricular[1] |
| Frecvență | 2,5 la 10.000 de persoane pe an[2] |
| Decese | 44% mor în decurs de o lună[2] |
| Clasificare și resurse externe | |
| ICD-9 | 431 |
| ICD-10 | I61 P10.1 |
| ICD-11 | |
| MeSH ID | D002543 |
Simptomele pot include dureri de cap, slăbiciune unilaterală, vărsături, convulsii, scăderea nivelului de conștiență și rigiditate a gâtului.[2] De multe ori simptomele se înrăutățesc în timp.[1] Febra este, de asemenea, frecventă.[1]
Cauzele includ traumatisme cerebrale, anevrisme, malformații arterio-venoasă și tumori cerebrale.[1] Cei mai mari factori de risc pentru sângerări spontane sunt hipertensiunea arterială și amiloidoza.[2] Alți factori de risc includ alcoolismul, colesterolul scăzut, diluanții de sânge și consumul de cocaină.[2] Diagnosticul se face de obicei prin scanare CT.[1] Alte afecțiuni care pot apărea în mod similar includ accident vascular cerebral ischemic.[1]
Tratamentul trebuie de obicei efectuat într-o unitate de anestezie și terapie intensivă.[1] Liniile directoare recomandă scăderea tensiunii arteriale la o sistolică] de 140 mmHg.[1][5] Diluanții de sânge trebuie inversați dacă este posibil și glicemia trebuie menținută în intervalul normal.[1] Intervenția chirurgicală pentru plasarea unui drenaj ventricular poate fi utilizată pentru tratarea hidrocefaliei, dar corticosteroizii nu ar trebui folosiți.[1] Chirurgia pentru îndepărtarea sângelui este utilă în anumite cazuri.[1]
Sângerările cerebrale afectează aproximativ 2,5 la 10.000 de persoane în fiecare an.[2] Apare mai des la bărbați și la persoanele în vârstă.[2] Aproximativ 44% dintre cei afectați mor în decurs de o lună.[2] Un rezultat bun apare la aproximativ 20% dintre cei afectați.[2] Hemoragia intracerebrală, un tip de accident vascular cerebral hemoragic, s-a distins mai întâi de accidentele vascular cerebrale ischemice din cauza fluxului sanguin insuficient, așa-numitele „leaks and plugs” („scurgeri și dopuri”), în 1823.[6]
Referințe
- Hemphill JC, 3rd; Greenberg, SM; Anderson, CS; Becker, K; Bendok, BR; Cushman, M; Fung, GL; Goldstein, JN; Macdonald, RL; Mitchell, PH; Scott, PA; Selim, MH; Woo, D; American Heart Association Stroke Council; Council on Cardiovascular and Stroke Nursing; Council on Clinical Cardiology (iulie 2015). „Guidelines for the Management of Spontaneous Intracerebral Hemorrhage: A Guideline for Healthcare Professionals From the American Heart Association/American Stroke Association”. Stroke: A Journal of Cerebral Circulation. 46 (7): 2032–60. doi:10.1161/str.0000000000000069
. PMID 26022637. - Caceres, JA; Goldstein, JN (august 2012). „Intracranial hemorrhage”. Emergency Medicine Clinics of North America. 30 (3): 771–94. doi:10.1016/j.emc.2012.06.003. PMC 3443867
. PMID 22974648. - https://my.clevelandclinic.org/health/diseases/14480-brain-bleed-hemorrhage-intracranial-hemorrhage
- Naidich, Thomas P.; Castillo, Mauricio; Cha, Soonmee; Smirniotopoulos, James G. (). Imaging of the Brain, Expert Radiology Series,1: Imaging of the Brain (în engleză). Elsevier Health Sciences. p. 387. ISBN 978-1416050094. Arhivat din original la .
- Ko, SB; Yoon, BW (decembrie 2017). „Blood Pressure Management for Acute Ischemic and Hemorrhagic Stroke: The Evidence”. Seminars in Respiratory and Critical Care Medicine. 38 (6): 718–725. doi:10.1055/s-0037-1608777
. PMID 29262429.
.jpg.webp)