Accident vascular cerebral
Ischemia cerebrală este produsă de o reducere a fluxului sangvin cu durata de câteva secunde până la câteva minute. Dacă oprirea durează mai mult de câteva minute, apare infarctarea (moartea) țesutului cerebral irigat de vasul afectat. Cauzele de ischemie (infarct) cerebral sunt variate: de la hipotensiune sistemică ce produce de obicei sincope până la embolizare din diverse surse arteriale sau inimă[1] sau boli ale vaselor cerebrale.
| Accident vascular cerebral | |
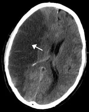
![]() Scanare tomografică a creierului, putându-se observa ischemia cerebrală în emisfera dreaptă | |
| Specialitate | Neurologie |
|---|---|
| Metodă de diagnostic | ROSIER scale[*] Orpington Prognostic Scale[*] |
| Clasificare și resurse externe | |
| ICD-9 | 434.91 |
| ICD-10 | I61-I64ner |
| ICD-11 | |
| OMIM | 601367 |
| DiseasesDB | 2247 |
| MedlinePlus | 000726 |
| eMedicine | neuro/9 emerg/558 emerg/557 pmr/187 |
| Patient UK | Accident vascular cerebral |
| MeSH ID | D020521 |
Hemoragia intracraniană poate să apară în parenchimul cerebral, spațiul subarahoidian sau în spațiul subdural ori epidural; majoritatea hemoragiilor sunt asociate hipertensiunii arteriale, mai rar pot exista hemoragii spontane, malformații arteriovenoase sau sângerări intratumorale.
Definiție
Accidentul vascular, cunoscut și sub numele de accident vascular cerebral (AVC), injurie cerebro-vasculară (ICV), sau atac cerebral, este atunci când un flux sangvin slab către creier duce la moartea celulelor. Există două tipuri principale: cel ischemic cauzat de lipsa fluxului sangvin și hemoragic din cauza sângerării. Acestea duc la părți ale creierului care nu funcționează corespunzător.[2]
De obicei, dar nu mereu, simptomele apar rapid. Dacă simptomele durează mai puțin de una sau două ore, atunci este cunoscut drept atac ischemic tranzitor (AIT).[3] Atacurile hemoragice ar putea fi asociate, de asemenea, cu dureri de cap severe.[3] Simptomele unui accident vascular pot fi permanente.[2] Complicațiile pe termen lung pot include pneumonia sau pierderea controlului vezicii urinare.[3]
Simptome
Cele mai cunoscute simptome ale accidentului vascular cerebral sunt:
Cauze, diagnostic și patofiziologie
Principalul factor de risc al atacului cerebral este tensiunea arterială mare.[5] Alți factori de risc includ, printre altele, fumatul de tutun, obezitatea, colesterolul ridicat, diabetul, AIT anterior și fibrilația atrială.[4][5] Un accident vascular ischemic este, de obicei, cauzat de un blocaj al unui vas de sânge.[6] Un accident vascular hemoragic este cauzat de sângerare, fie direct în creier, fie în spațiul ce împrejmuiește creierul.[6][7] Sângerarea poate apărea din cauza unui anevrism cerebral.[6] Diagnosticarea se face, de regulă, prin imagistică medicală precum o scanare CT sau scanare RMN alături de o examinare fizică. Alte teste precum electrocardiograma (EKG) și testele sangvine sunt efectuate pentru a determina factorii de risc și pentru a elimina alte posibile cauze. Nivelul mic de zahăr din sânge poate cauza simptome similare.[8]
Prevenire și tratament
Prevenția include scăderea factorilor de risc precum și posibil aspirina, statinele, operație chirurgicală pentru a deschide arterele creierului la persoanele ce prezintă strâmtorare și warfarina la persoanele cu fibrilație atrială.[4] Un accident vascular necesită adesea ajutor de urgență.[2] Un atac vascular ischemic, dacă este detectat până la între trei și patru ore și jumătate poate fi tratat cu o medicație ce poate rupe cheagul. Aspirina poate fi utilizată. Unele accidente vasculare hemoragice beneficiază de chirurgie. Tratamentul pentru recuperarea funcțiilor pierdute se numește reabilitare în urma unui accident vascular cerebral și are loc, în mod ideal, într-o unitate de tratare a accidentelor vasculare; însă, acestea nu există în multe părți ale lumii.[4]
Epidemiologie
În 2010, aproximativ 17 milioane de oameni au avut un accident vascular cerebral, iar 33 de milioane de oameni au avut un accident vascular cerebral și sunt în viață. Între anii 1990 și 2010 numărul accidentelor apărute a scăzut în fiecare an cu aproximativ 10% în țările dezvoltate și au crescut cu 10% în țările în curs de dezvoltare.[9] în 2013, atacul vascular cerebral a fost cea de-a doua cea mai frecventă cauză de deces, după boala arterelor coronariene, însumând 6,4 milioane de decese (12% din total).[10] Aproximativ 3,3 milioane de decese au rezultat din accidente vasculare ischemice, în timp ce 3,2 milioane de decese au rezultat din atacuri vasculare hemoragice.[10] Aproximativ jumătate dintre persoanele ce au avut atac vascular cerebral trăiesc mai puțin de un an.[4] Per total, două treimi dintre accidentele vasculare cerebrale apar la persoanele de peste 65 de ani.[9]
Note
- AVC ischemic cardioembolic: actualizări în etiologie, diagnostic și tratament. Arhivat în , la Wayback Machine. Actualități în Neurologie
- „What Is a Stroke?”. http://www.nhlbi.nih.gov/. . Accesat în . Legătură externa în
|website=(ajutor) - „What Are the Signs and Symptoms of a Stroke?”. http://www.nhlbi.nih.gov. . Accesat în . Legătură externa în
|website=(ajutor) - Donnan GA, Fisher M, Macleod M, Davis SM (mai 2008). „Stroke”. Lancet. 371 (9624): 1612–23. doi:10.1016/S0140-6736(08)60694-7. PMID 18468545.
- „Who Is at Risk for a Stroke?”. http://www.nhlbi.nih.gov. . Accesat în . Legătură externa în
|website=(ajutor) - „Types of Stroke”. http://www.nhlbi.nih.gov. . Accesat în . Legătură externa în
|website=(ajutor) - Feigin VL, Rinkel GJ, Lawes CM, Algra A, Bennett DA, van Gijn J, Anderson CS (). „Risk factors for subarachnoid hemorrhage: an updated systematic review of epidemiological studies”. Stroke. 36 (12): 2773–80. doi:10.1161/01.STR.0000190838.02954.e8. PMID 16282541.
- „How Is a Stroke Diagnosed?”. http://www.nhlbi.nih.gov. . Accesat în . Legătură externa în
|website=(ajutor) - Feigin VL, Forouzanfar MH, Krishnamurthi R, Mensah GA, Connor M, Bennett DA, Moran AE, Sacco RL, Anderson L, Truelsen T, O'Donnell M, Venketasubramanian N, Barker-Collo S, Lawes CM, Wang W, Shinohara Y, Witt E, Ezzati M, Naghavi M, Murray C (). „Global and regional burden of stroke during 1990-2010: findings from the Global Burden of Disease Study 2010”. Lancet. 383 (9913): 245–54. doi:10.1016/S0140-6736(13)61953-4. PMID 24449944.
- GBD 2013 Mortality and Causes of Death, Collaborators (). „Global, regional, and national age-sex specific all-cause and cause-specific mortality for 240 causes of death, 1990-2013: a systematic analysis for the Global Burden of Disease Study 2013”. Lancet. doi:10.1016/S0140-6736(14)61682-2. PMID 25530442.
Bibliografie
- en J. P. Mohr; Dennis Choi; James Grotta; Philip Wolf (). Stroke: Pathophysiology, Diagnosis, and Management. New York: Churchill Livingstone. ISBN 0-443-06600-0. OCLC 50477349.
- en Charles P. Warlow; Jan van Gijn; Martin S. Dennis; Joanna M. Wardlaw; John M. Bamford; Graeme J. Hankey; Peter A. G. Sandercock; Gabriel Rinkel; Peter Langhorne; Cathie Sudlow; Peter Rothwell (). Stroke: Practical Management (ed. 3rd). Wiley-Blackwell. ISBN 1-4051-2766-X.
Vezi și
Legături externe
- Accident vascular cerebral pe Curlie
- DRAGON Score for Post-Thrombolysis Arhivat în , la Wayback Machine.
- THRIVE score for stroke outcome Arhivat în , la Wayback Machine.
- National Institute of Neurological Disorders and Stroke
