Crup
Crupul (sau laringotraheobronșita) este o afecțiune respiratorie cauzată de o infecție virală a căilor respiratorii superioare. Infecția provoacă inflamarea internă a gâtului. Inflamația împiedică respirația normală; simptomele crupului sunt tusea lătrătoare, stridorul (respirația șuierătoare) și răgușeala (disfonia). Simptomele crupului pot fi ușoare, moderate sau severe, agravându-se adesea în timpul nopții. Afecțiunea poate fi tratată prin administrarea unei singure doze de steroizi pe cale orală. În unele cazuri mai severe, se administrează adrenalină (epinefrină). Spitalizarea este rareori necesară.
| Crup | |
![]() | |
| Specialitate | pneumologie pediatrie |
|---|---|
| Simptome | tuse răgușeală[*] stridor[*] |
| Metodă de diagnostic | control medical radiografie |
| Clasificare și resurse externe | |
| ICD-9 | 464.4 |
| ICD-10 | J05.0 |
| ICD-11 | |
| ICD-9-CM | 464.4[1][2] |
| DiseasesDB | 13233 |
| MedlinePlus | 000959 |
| Patient UK | Crup |
| MeSH ID | D003440 |
Diagnosticul de crup este stabilit pe baza semnelor și simptomelor, după excluderea cauzelor mai grave ale simptomelor (de exemplu, epiglotita sau aspirarea de corp străin). De obicei, nu sunt necesare investigații suplimentare, cum sunt analize de sânge, radiografii și culturi. Crupul este o afecțiune obișnuită, întâlnită la aproximativ 15% dintre copii, îndeosebi la cei cu vârsta cuprinsă între 6 luni și 5-6 ani. Adolescenții și adulții pot fi diagnosticați cu crup în cazuri rare.
Semne și simptome
Simptomele crupului includ tuse lătrătoare, stridor(un sunet acut, tipic, în momentul inspirației), răgușeală (disfonie) și dificultate respiratorie care se agravează de regulă în timpul nopții.[3] Tusea „lătrătoare” este deseori descrisă ca fiind aseamănătoare sunetului emis de foci sau de leii de mare.[4] Plânsul poate agrava respirația șuierătoare, care poate fi un semn de îngustare a căilor respiratorii. Pe măsură ce crupul se agravează, semnele respirației șuierătoare se pot ameliora.[3]
Alte simptome includ febră, guturai (simptome tipice ale răcelii obișnuite) și retracția pielii intercostale.[3][5] Salivația sau aspectul bolnav indică, în mod tipic, alte afecțiuni medicale.[5]
Cauze
De regulă, crupul se consideră a fi datorat unei infecții virale.[3][6] Unele persoane folosesc termenul pentru a indica laringotraheita severă, crupul spasmodic, difteria laringiană, traheita bacteriană, laringotraheobronșita și laringotraheobronhopneumonia. Primele două afecțiuni sunt virale și prezintă simptome mai ușoare; ultimele patru sunt bacteriene și sunt, de obicei, mai severe.[4]
Cauze virale
În 75% din cazuri virusul paragripal, îndeosebi tipul 1 și 2, este responsabil de apariția crupului.[7] În unele cazuri, crupul este cauzat de alte virusuri inclusiv virusul gripal A și B, virusul rubeolic, adenovirusul și virusul sincițial respirator (VRS).[4] Crupul spasmodic (crup cu tuse lătrătoare) este cauzat de același grup de virusuri ca și în cazul laringotraheitei acute, fără a avea însă semnele obișnuite ale infecției (febră, dureri de gât și un număr crescut de leucocite).[4] Tratamentul și reacția la tratament sunt identice.[7]
Cauze bacteriene
Crupul bacterian poate fi clasificat în următoarele tipuri: difterie laringiană, traheită bacteriană, laringotraheobronșită și laringotraheobronhopneumonie.[4] Difteria laringiană este cauzată de agentul Corynebacterium diphtheriae în timp ce traheita bacteriană, laringotraheobronșita și laringotraheobronhopneumonia au origine virală, urmată de o infecție bacteriană. Bacteriile cele mai adesea implicate sunt Staphylococcus aureus, Streptococcus pneumoniae, Hemophilus influenzae, și Moraxella catarrhalis.[4]
Fiziopatologie
Infecția virală provoacă inflamarea laringelui, a traheei și a căilor respiratorii majore ca urmare a pătrunderii leucocitelor.[6] Inflamația poate determina dificultăți respiratorii.[6]
Diagnostic
| Caracteristică | Numărul de puncte atribuit în funcție de această caracteristică | |||||
|---|---|---|---|---|---|---|
| 0 | 1 | 2 | 3 | 4 | 5 | |
| Retracție intercostală |
Nu există | Ușoară | Moderată | Severă | ||
| Stridor | Nu există | În stare de agitație |
În repaus | |||
| Cianoză | Nu există | În stare de agitație |
În repaus | |||
| Gradul de conștiență |
Normal | Dezorientat | ||||
| Inspirație | Normală | Redusă | Redusă semnificativ | |||
Diagnosticul de crup se stabilește pe baza semnelor și simptomelor.[6] Primul pas constituie excluderea altor afecțiuni care pot determina obturarea tractului respirator superior, îndeosebi epiglotita, prezența unui corp străin în tractul respirator, stenoza subglotică, angioedemul, abcesul retrofaringian și traheita bacteriană.[4][6]
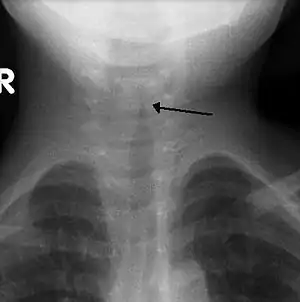
Radiografia gâtului nu este un procedeu de rutină,[6] însă dacă se realizează, poate indica îngustarea traheii, denumită semnul clopotului, datorită formei de clopot a acesteia. Aspectul de clopot nu este evident în jumătate din cazuri.[5]
Analizele de sânge și efectuarea de culturi virale (analize în vederea detectării virusurilor) pot provoca, în mod inutil, iritarea căilor respiratorii.[6] Totuși, culturile virale obținute prin aspirație rinofaringiană (un procedeu de utilizare a unui tub pentru prelevarea de mucus nazal), pot fi utilizate pentru a confirma cauza exactă. De regulă, aceste culturi sunt limitate la domeniul cercetării.[3] În cazul în care starea unui pacient nu se ameliorează în urma tratamentului standard, pot fi efectuate teste ulterioare în vederea depistării prezenței bacteriilor.[4]
- Gravitate
Sistemul cel mai răspândit de clasificare a gravității crupului este punctajul Westley. Acest test este utilizat în scop științific și nu în practica clinică.[4] Testul reprezintă suma punctelor atribuite în funcție de cinci factori: gradul de conștiență, cianoza, stridorul, inspirația și retracția.[4] Punctele acordate pentru fiecare factor sunt ilustrate în tabelul din partea dreaptă, iar punctajul final variază de la 0 la 17.[8]
- Un punctaj total ≤ 2 indică un crup de gravitate scăzută. Pacientul poate prezenta tuse lătrătoare și răgușeală, fără stridor (respirație șuierătoare) în stare de repaus.[7]
- Un punctaj total de 3–5 puncte este clasificat ca fiind crup de gravitate moderată — pacientul prezintă respirație șuierătoare și puține alte semne.[7]
- Un punctaj total de 6–11 puncte reprezintă crup de gravitate severă. Simptomele sunt stridorul evident, dar și retracția cutiei toracice.[7]
- Un punctaj total ≥ 12 înseamnă posibilă insuficiență respiratorie. În acest stadiu, este posibil ca pacientul să nu mai prezinte tuse lătrătoare și respirație șuierătoare.[7]
85% dintre copiii aduși la camera de gardă prezintă crup de gravitate scăzută; crupul sever se întâlnește în cazuri rare (<1%).[7]
Prevenire
Imunizarea (vaccinarea) împotriva gripei și difteriei poate preveni crupul.[4]
Tratament
Copiii cu crup trebuie calmați pe cât posibil.[6] În mod obișnuit, se administrează steroizi, iar în cazuri grave, epinefrină.[6] Copiilor cu saturație de oxigen (cantitatea de oxigen din sânge) sub 92% trebuie să li se administreze oxigen,[4] iar pacienții cu crup sever pot fi spitalizați pentru a fi ținuți sub observație.[5] Dacă este necesar oxigen, se recomandă menținerea unei surse de oxigen în apropierea feței copilului, aceasta creând mai puțin stres decât utilizarea unei măști de oxigen.[4] În urma tratamentului, mai puțin de 0,2% dintre pacienți necesită intubație endotraheală(plasarea unui tub în interiorul tractului respirator).[8]
Steroizi
Corticosteroizii, cum ar fi dexametazona și budesonida, pot fi utilizați în tratamentul crupului.[9] Se obțin efecte benefice semnificative în decurs de șase ore de la administrare.[9] Deși aceste medicamente sunt eficiente în cazul administrării pe cale orală (pe gură), parenterală (prin injectare), sau prin inhalare, se preferă administrarea pe cale orală.[6] De obicei, o singură doză este suficientă și se consideră a fi destul de sigură.[6] Dexametazona poate fi administrată în siguranță în doze de 0,15, 0,3 și 0,6 mg/kg.[10]
Epinefrină
Crupul moderat până la sever poate fi ameliorat prin administrarea de epinefrină prin nebulizată (soluție inhalată care dilată căile respiratorii).[6] Deși epinefrina reduce, de obicei, gravitatea crupului în decurs de 10–30 minute, efectele benefice durează doar aproximativ 2 ore.[3][6] În cazul în care starea ameliorată a copilului rămâne constantă după 2–4 ore în urma tratamentului și nu apar alte complicații, acesta poate fi externat.[3][6]
Altele
Sunt studiate și alte tratamente pentru crup, dar nu există suficiente dovezi care să susțină administrarea acestora. Inhalațiile de aburi fierbinți sau de aer umidificat reprezintă tratamente ambulatorii tradiționale, dar studiile clinice nu au putut demonstra eficacitatea acestora [4][6] și astfel sunt rareori utilizate în prezent.[11] De asemenea, nu se recomandă utilizarea de antitusive, care conțin de obicei dextrometorfan și/sau guiafenezină.[3] Deși în trecut s-a recomandat inhalarea de heliox (un amestec de heliu și oxigen) pentru îmbunătățirea respirației, nu există dovezi suficiente pentru a susține acest tratament.[12] Deoarece crupul este, de obicei, o afecțiune virală, nu se administrează antibiotice decât în cazul în care se suspectează prezența bacteriilor.[3] În cazul infecțiilor bacteriene, se recomandă antibioticele vancomicină și cefotaximă.[4] În cazuri grave asociate cu gripă A sau B, pot fi administrate antivirale cum ar fi inhibitorii de neuraminidază.[4]
Prognostic
Crupul viral este, de obicei, o boală de scurtă durată; rareori survine decesul în urma insuficienței respiratorii și/sau a unui stop cardiac.[3] De regulă, simptomele se ameliorează în decurs de două zile, dar pot dura până la șapte zile.[7] Alte complicații rare includ traheita bacteriană, pneumonia și edemul pulmonar.[7]
Epidemiologie
Aproximativ 15% dintre copii, de regulă cu vârsta cuprinsă între 6 luni și 5–6 ani, sunt diagnosticați cu crup.[4][6] Aproximativ 5% dintre copiii din această grupă de vârstă sunt spitalizați cu diagnosticul de crup.[7] În cazuri rare, crupul poate afecta copiii cu vârsta cuprinsă între 3 luni și 15 ani.[7] Frecvența crupului în rândul băieților este de 50% de ori mai mare decât în rândul fetelor; crupul este mai frecvent toamna.[4]
Istoric
Termenul crup provine din engleza modernă timpurie de la verbul croup, a cărui semnificație este „a plânge răgușit”; denumirea a fost utilizată pentru prima oară în Scoția și a devenit populară în secolul al XVIII-lea.[13] Crupul difteric a fost cunoscut încă din timpul lui Homer în Grecia Antică. În anul 1826, Bretonneau a stabilit distincția între crupul viral și crupul cauzat de difterie.[14] Francezii numeau crupul viral „faux-croup”, utilizând termenul „croup” pentru a desemna o boală provocată de bacteria cauzatoare de difterie.[11] Crupul cauzat de difterie a devenit aproape necunoscut datorită imunizării eficiente.[14]
Referințe
- Disease Ontology, accesat în
- Monarch Disease Ontology release 2018-06-29[*] Verificați valoarea
|titlelink=(ajutor); - Rajapaksa S, Starr M (). „Croup – assessment and management”. Aust Fam Physician. 39 (5): 280–2. PMID 20485713.
- Cherry JD (). „Clinical practice. Croup”. N. Engl. J. Med. 358 (4): 384–91. doi:10.1056/NEJMcp072022. PMID 18216359. Arhivat din original la . Accesat în .
- „Diagnosis and Management of Croup” (PDF). BC Children’s Hospital Division of Pediatric Emergency Medicine Clinical Practice Guidelines.
- Everard ML (). „Acute bronchiolitis and croup”. Pediatr. Clin. North Am. 56 (1): 119–33, x–xi. doi:10.1016/j.pcl.2008.10.007. PMID 19135584.
- Johnson D (). „Croup”. Clin Evid (Online). 2009. PMC 2907784
. PMID 19445760. - Klassen TP (). „Croup. A current perspective”. Pediatr. Clin. North Am. 46 (6): 1167–78. doi:10.1016/S0031-3955(05)70180-2. PMID 10629679.
- Russell KF, Liang Y, O'Gorman K, Johnson DW, Klassen TP (). Klassen, Terry P, ed. „Glucocorticoids for croup”. Cochrane Database Syst Rev. 1 (1): CD001955. doi:10.1002/14651858.CD001955.pub3. PMID 21249651.
- Port C (). „Towards evidence based emergency medicine: best BETs from the Manchester Royal Infirmary. BET 4. Dose of dexamethasone in croup”. Emerg Med J. 26 (4): 291–2. doi:10.1136/emj.2009.072090. PMID 19307398.
- Marchessault V (). „Historical review of croup”. Can J Infect Dis. 12 (6): 337–9. PMC 2094841
. PMID 18159359. - Vorwerk C, Coats T (). Vorwerk, Christiane, ed. „Heliox for croup in children”. Cochrane Database Syst Rev. 2 (2): CD006822. doi:10.1002/14651858.CD006822.pub2. PMID 20166089.
- Online Etymological Dictionary, croup. Accessed 2010-09-13.
- Feigin, Ralph D. (). Textbook of pediatric infectious diseases. Philadelphia: Saunders. p. 252. ISBN 0-7216-9329-6.
Legături externe
Materiale media legate de Crup la Wikimedia Commons- „crup” la DEX online
Vezi și
| Vedeți: Indicații! |
