Atacul ischemic tranzitoriu
Atacul ischemic tranzitoriu (AIT), cunoscut și sub numele de mini-accident vascular cerebral, este un episod scurt de disfuncție neurologică cauzat de lipsa fluxului sanguin (ischemie) într-o zonă a creierului sau a retinei, fără necroza țesuturilor.[4] Prezintă aceleași simptome ca și un accident vascular cerebral, cum ar fi slăbiciune sau amorțeală pe o parte a corpului, pierderea bruscă a vederii, dificultăți de vorbire sau de înțelegere a vorbirii, coordonare slabă sau confuzie.[5] Simptomele au în general un debut brusc și durează mai puțin de o oră.[5]
| Atacul ischemic tranzitoriu | |
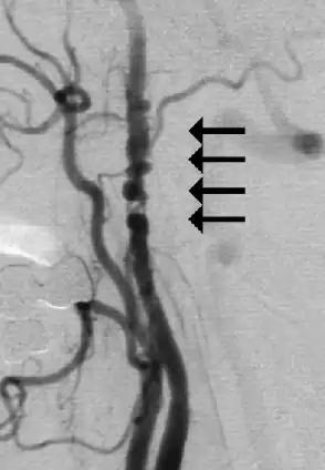
![]() Angiogramă prezentând îngustarea arterelor carotide la o femeie cu AIT[1] | |
| Specialitate | Neurologie, chirurgie vasculară |
|---|---|
| Complicații | Accident vascular cerebral[2] |
| Tratament | Modificări ale stilului de viață, medicație, intervenții chirurgicale[2] |
| Frecvență | 1 din 1.000 de persoane pe an[2] |
| Clasificare și resurse externe | |
| ICD-11 | |
| ICD-9-CM | 435.9[3] 435.8[3] 435[3] |
| DiseasesDB | 13253 |
| MedlinePlus | 000730 |
| MeSH ID | D002546[3] |
Printre factorii de risc se numără diabetul zaharat, hipertensiunea arterială, fumatul, alcoolismul, stresul psihologic și lipsa de mișcare.[2] AIT are un mecanism de bază similar cu cel al accidentelor vasculare cerebrale ischemice.[2] Definiția se baza anterior pe o durată a simptomelor mai mică de 24 de ore; conform definițiilor mai noi, poate, de asemenea, să nu includă nicio dovadă de infarct la imagistica medicală.[4]
Este o urgență medicală.[2] Tratamentul poate include modificări ale stilului de viață, cum ar fi renunțarea la fumat și limitarea consumului de alcool, precum și administrarea de medicamente precum aspirină sau anticoagulante (diluanți ai sângelui).[5] Alte măsuri includ gestionarea tensiunii arteriale, administrarea de statine și controlul zahărului din sânge.[2] La persoanele care prezintă îngustarea arterelor carotide, poate fi indicată o endarterectomie carotidiană.[2] Aproximativ o treime dintre persoanele care au suferit un AIT prezintă un accident vascular cerebral în viitor.[5]
Aproximativ 2% dintre oameni au prezentat anterior un AIT și 1 din 1.000 de persoane sunt nou afectate în fiecare an.[2] Persoanele în vârstă (> 60 de ani) sunt afectate mai frecvent.[2][6] Bărbații sunt afectați în număr mai mare decât femeile.[6] AIT a fost descris pentru prima dată în jurul anului 400 î.Hr. de Hipocrate și s-a remarcat ca fiind un factor de risc pentru accident vascular cerebral ulterior.[7]
Referințe
- Arning, C; Grzyska, U (). „Color Doppler imaging of cervicocephalic fibromuscular dysplasia”. Cardiovascular ultrasound. 2: 7. doi:10.1186/1476-7120-2-7. PMID 15265239.
- Panuganti, KK; Tadi, P; Lui, F (ianuarie 2021). „Transient Ischemic Attack”. PMID 29083778.
- Monarch Disease Ontology release 2018-06-29[*] Verificați valoarea
|titlelink=(ajutor); - Easton, J. Donald; Saver, Jeffrey L.; Albers, Gregory W.; Alberts, Mark J.; Chaturvedi, Seemant; Feldmann, Edward; Hatsukami, Thomas S.; Higashida, Randall T.; Johnston, S. Claiborne (iunie 2009). „Definition and Evaluation of Transient Ischemic Attack: A Scientific Statement for Healthcare Professionals From the American Heart Association/American Stroke Association Stroke Council; Council on Cardiovascular Surgery and Anesthesia; Council on Cardiovascular Radiology and Intervention; Council on Cardiovascular Nursing; and the Interdisciplinary Council on Peripheral Vascular Disease: The American Academy of Neurology affirms the value of this statement as an educational tool for neurologists”. Stroke. 40 (6): 2276–2293. doi:10.1161/STROKEAHA.108.192218. PMID 19423857.
- „Transient Ischemic Attack Information Page | National Institute of Neurological Disorders and Stroke”. www.ninds.nih.gov. Arhivat din original la . Accesat în .
- Ferri, Fred F. (). Ferri's Clinical Advisor 2020 E-Book: 5 Books in 1 (în engleză). Elsevier Health Sciences. p. 1394. ISBN 978-0-323-67977-0. Accesat în .
- Rolak, Loren A. (). Neurology Secrets (în engleză). Hanley & Belfus. p. 398. ISBN 978-1-56053-056-5. Accesat în .
