Urachus
| Urachus | |
|---|---|
![]() Vertical section of bladder, penis, and urethra. Urachus is seen at top | |
![]() Urachus is #1 | |
| Identifiers | |
| MeSH | D014497 |
| Anatomical terminology | |
The urachus forms from the distal end of the allantois in the embryo, and develops into a closed cord between the base of the bladder, and the navel.[1] It drains the bladder of the fetus that joins and runs within the umbilical cord.[2] The fibrous remnant lies in the space of Retzius, between the transverse fascia anteriorly and the peritoneum posteriorly. At birth, the urachus develops into the median umbilical ligament.[3][4]
Development
The part of the urogenital sinus related to the bladder and urethra absorbs the ends of the Wolffian ducts and the associated ends of the renal diverticula. This gives rise to the trigone of the bladder and part of the prostatic urethra.
The remainder of this part of the urogenital sinus forms the body of the bladder and part of the prostatic urethra. The apex of the bladder stretches and is connected to the umbilicus as a narrow canal. This canal is initially open, but later closes as the urachus goes on to definitively form the median umbilical ligament.
Clinical significance
Failure of the inside of the urachus to be filled in leaves the urachus open. The telltale sign is leakage of urine through the umbilicus. This is often managed surgically. There are four anatomical causes:
- Urachal cyst: there is no longer a connection between the bladder and the umbilicus, however a fluid filled cavity with uroepithelium lining persists between these two structures.
- Urachal fistula: there is free communication between the bladder and umbilicus
- Urachal diverticulum (vesicourachal diverticulum): the bladder exhibits outpouching[5]
- Urachal sinus: the pouch opens toward the umbilicus[6]
The urachus is also subject to neoplasia. Urachal adenocarcinoma is histologically similar to adenocarcinoma of the bowel. Rarely, urachus carcinomas can metastasise to other regions of the body, including pelvic bones and the lung.[7]
One urachal mass has been reported that was found to be a manifestation of IgG4-related disease.[8]
Additional images
- Inguinal fossae
Midsagittal CT scan of a man's abdomen showing the urachus
The normal urachus and its anomalous variants
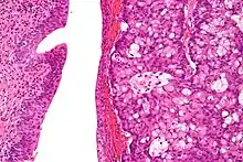
High magnification micrograph of a urachal carcinoma. H&E stain
References
This article incorporates text in the public domain from page 1213 of the 20th edition of Gray's Anatomy (1918)
- ↑ "Urachus". www.cancer.gov. 2 February 2011. Retrieved 21 December 2024.
- ↑ Larsen, "Human Embryology," 3rd ed., pg. 258
- ↑ Tan C, Simon MA, Dolin N, Gesner L (August 2020). "Incidental vesicourachal diverticulum in a young female". Radiology Case Reports. 15 (8): 1305–1308. doi:10.1016/j.radcr.2020.05.046. PMC 7322240. PMID 32612730.
- ↑ Mrad Daly K, Ben Rhouma S, Zaghbib S, Oueslati A, Gharbi M, Nouira Y (September 2019). "Infected urachal cyst in an adult: A case report". Urology Case Reports. 26: 100976. doi:10.1016/j.eucr.2019.100976. PMC 6661533. PMID 31380223.
- ↑ Le, Tao; Bhushan, Vikas; Vasan, Neil (2010). First Aid for the USMLE Step 1: 2010 (20th Anniversary ed.). US: The McGraw-Hill Companies, Inc. pp. 122. ISBN 978-0-07-163340-6.
- ↑ Guray, Sogut, et al. (2000) Urachal Cyst. Eastern Journal of Medicine 5(2):76-78.
- ↑ Elser, C; Sweet, J; Cheran, S K; Haider, M A; Jewett, M; Sridhar, S S (February 2012). "A case of metastatic urachal adenocarcinoma treated with several different chemotherapeutic regimens". Can Urol Assoc J. 6 (1): E27 – E31. doi:10.5489/cuaj.11109 (inactive 1 November 2024). PMC 3289708. PMID 22396380.
{{cite journal}}: CS1 maint: DOI inactive as of November 2024 (link) - ↑ Travis W. Dum; Da Zhang; Eugene K. Lee (2015). "IgG4-Related Disease in a Urachal Tumor". Case Reports in Urology. 2015: 275850. doi:10.1155/2014/275850. PMC 4151357. PMID 25202466. 275850.

