Traditional serrated adenoma
| Traditional serrated adenomas | |
|---|---|
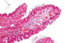
![]() | |
| Traditional serrated adenoma with intermediate magnification, showing serrated crypts and cytologic atypia (H&E stain). | |
| Specialty | Gastroenterology |
| Symptoms | Asymptomatic |
| Complications | Colorectal cancer |
| Usual onset | >50 years of age |
| Diagnostic method | Colonoscopy |
| Treatment | Polypectomy |
| Frequency | <1% of all colon polyps |
Traditional serrated adenoma is a premalignant type of polyp found in the colon, often in the distal colon (sigmoid, rectum). Traditional serrated adenomas are a type of serrated polyp, and may occur sporadically or as a part of serrated polyposis syndrome. Traditional serrated adenomas are relatively rare, accounting for less than 1% of all colon polyps.[1][2] Usually, traditional serrated adenomas are found in the distal colon and are usually less than 10 mm in size.[1]
Histopathology
Traditional serrated adenomas are characterized by ectopic crypts, pseudostratification, and a villous pattern with stretched nuclei.[3]
Epidemiology
Usually found in individuals over the age of 50 years, traditional serrated adenomas affect men and women equally.[1] The overall prevalence of traditional serrated adenomas is less than 1% of the general population.[3] Traditional serrated adenomas are the least common type of serrated polyps found in the colon, accounting for 5% of serrated colon polyps.[4]
References
- 1 2 3 McCarthy, AJ; Serra, S; Chetty, R (2019). "Traditional serrated adenoma: an overview of pathology and emphasis on molecular pathogenesis". BMJ Open Gastroenterology. 6 (1): e000317. doi:10.1136/bmjgast-2019-000317. PMC 6673762. PMID 31413858.
- ↑ Kalimuthu, Sangeetha N.; Chelliah, Adeline; Chetty, Runjan (15 December 2016). "From traditional serrated adenoma to tubulovillous adenoma and beyond". World Journal of Gastrointestinal Oncology. 8 (12): 805–809. doi:10.4251/wjgo.v8.i12.805. ISSN 1948-5204. PMC 5156846. PMID 28035250.
- 1 2 Crockett, SD; Nagtegaal, ID (October 2019). "Terminology, Molecular Features, Epidemiology, and Management of Serrated Colorectal Neoplasia". Gastroenterology. 157 (4): 949–966.e4. doi:10.1053/j.gastro.2019.06.041. PMID 31323292.
- ↑ Chetty, R (January 2016). "Traditional serrated adenoma (TSA): morphological questions, queries and quandaries". Journal of Clinical Pathology. 69 (1): 6–11. doi:10.1136/jclinpath-2015-203452. PMID 26553935. S2CID 12982470.
