Psoriatic arthritis
| Psoriatic arthritis | |
|---|---|
| Other names | Arthritis psoriatica, arthropathic psoriasis, psoriatic arthropathy |
| Severe psoriatic arthritis of both feet and ankles. There is also damage to the nails. | |
| Specialty | Rheumatology |
Psoriatic arthritis (PsA) is a long-term inflammatory arthritis that occurs in people affected by the autoimmune disease psoriasis.[1][2] The classic features of psoriatic arthritis include dactylitis (sausage-like appearance), skin lesions, and nail lesions.[3] Damage to the nails can include small depressions in the nail (pitting), thickening of the nails, and detachment of the nail from the nailbed.[3] Skin damage consistent with psoriasis (e.g., red, scaly, and itchy plaques) frequently occurs before the onset of psoriatic arthritis but psoriatic arthritis can precede the rash in 15% of affected individuals.[3] It is classified as a type of seronegative spondyloarthropathy.
Genetics are thought to be strongly involved in the development of psoriatic arthritis.[3] Obesity and certain forms of psoriasis are thought to increase the risk.[3]
Psoriatic arthritis affects up to 30% of people with psoriasis and occurs in children and adults.[3] Some people with PsA never get psoriasis.[4]
The condition is less common in people of Asian or African descent and affects men and women equally.[3]
Signs and symptoms
Peripheral pain
The majority of patients with PsA experience peripheral joint involvement.[5] Pain, swelling, or stiffness in one or more joints is commonly present in psoriatic arthritis.[5] Psoriatic arthritis is inflammatory, and affected joints are generally red or warm to the touch.[5] Asymmetrical oligoarthritis, defined as inflammation affecting two to four joints during the first six months of disease, is present in 70% of cases. However, in 15% of cases, the arthritis is symmetrical.
The joints of the hand that are involved in psoriasis are the proximal interphalangeal, the distal interphalangeal, the metacarpophalangeal joint, and the wrist. Involvement of the distal interphalangeal joints is a characteristic feature in many cases.[6]
Sausage-like swelling in the fingers or toes, known as dactylitis, occurs in about 40% of PsA cases.[5][7]
PsA may cause shoulder pain, most commonly felt in the front of the shoulder or the upper part of the arm. It is usually felt when moving the arm and may only be noticed in certain movements. In addition, many people find it painful when lying on the sore side in bed at night.[8][9]
Enthesitis can occur, causing pain over a wider area around the joint.[10][11] Pain can also occur in and around the feet and ankles, especially enthesitis in the Achilles tendon (inflammation of the Achilles tendon where it inserts into the bone) or plantar fasciitis in the sole of the foot.[5]
Axial pain
Approximately 25–70% of PsA patients have axial involvement.[12] Axial pain can occur in the area of the sacrum (the lower back, above the tailbone),[5] as a result of sacroiliitis or spondylitis, which is present in 40% of cases.
Nails
Nail psoriasis has been found to have a strong association of 80% to 90% with PsA across multiple studies. PsA classically affects the distal interphalangeal joint, which is the joint closest to the nail.[13] Nail pitting often accompanies distal interphalangeal joint involvement and may be essential in differentiating psoriatic arthritis from other diseases.[6] Psoriasis can also cause damage to the nails, such as pitting or separation from the nail bed,[5] onycholysis, hyperkeratosis under the nails, and horizontal ridging.[14]
Psoriasis
Psoriasis classically presents with scaly skin lesions, which are most commonly seen over extensor surfaces such as the scalp, natal cleft, and umbilicus.
Fatigue
Severe fatigue is present in approximately 30% of patients with PsA.[15] It is sometimes described as extreme exhaustion that does not go away with adequate rest. The fatigue may be caused directly by the disease itself, or be a secondary effect of other factors.[16][17][18]
A small (n=247) 2023 study found poor sleep quality was common among patients with psoriatic arthritis.[19]
Complications
Rare complications are uveitis in one or both eyes, slightly higher risk of heart conditions, and increased risks of Crohn's disease and of non-alcoholic fatty liver disease (NAFLD).[10]
Pattern of activity
Psoriatic arthritis may remain mild or may progress to more destructive joint disease. Periods of active disease, or flares, will typically alternate with periods of remission. In severe forms, psoriatic arthritis may progress to arthritis mutilans[20] which on X-ray gives a "pencil-in-cup" appearance.[3]
HLA-B27
Approximately 40–50% of individuals with psoriatic arthritis have the HLA-B27 genotype.[3] Whilst the incidence of psoriatic arthritis is significantly higher among people positive for HLA-B27 (compared to the overall population), the vast majority of people with HLA-B27 will not have psoriatic arthritis.[21] For instance in the US HLA-B27 incidence is 6-8%,[21] whilst psoriatic arthritis incidence has been estimated at 0.06–0.25%.[22]
Causes
Psoriatic arthritis is an inheritable polygenic disease, with many genes known or theorized to contribute to its clinical presentation (or lack thereof). When someone with the genes for psoriatic arthritis comes into contact with certain substances, these substances may induce an autoimmune reaction, causing the immune system to target normal tissues in the body. The exact strength, location, and clinical effects of this reaction depend on which genes are involved for each individual. The substance that triggers the reaction is typically not known.[3]
Genomic analysis has identified several genes involved in some patients, notably genes related to class I MHC including HLA-B*08, HLA-B*27, HLA-B*38, and HLA-B*39. Other genes relating to the immune system and central tolerance may also be involved, such as interleukin receptor genes. Thematically, these genes are often those that identify human tissues as normal and healthy, or the genes in immune cells designed to recognize those identifiers. In the case of psoriatic arthritis, the genes targeting immune cells are overexpressed, which leads to an increase in the recruitment of phagocytic neutrophils present in psoriatic skin lesions, hereby increasing inflammation and phagocytosis of healthy cells.[23] If the genes are functioning abnormally, then the immune system has a higher risk of attacking normal tissues.[3]
Bone cells such as osteoclasts are theorized to be involved in patients with psoriatic arthritis, in contrast to most people with psoriasis whose bone cells are not significantly involved in the disease.[24]
Health and environmental factors known to be associated with psoriatic arthritis include:[3]
- Current, or history of, severe psoriasis
- Disease of the finger/toenails
- Obesity
- Tissue trauma, or deep lesions associated with sites of trauma
Diagnosis
There is no definitive test to diagnose psoriatic arthritis.
Several classification criteria have been proposed, but they have wide variability.[22]
A rheumatologist (a physician specializing in autoimmune diseases) may use physical examinations, health history, blood tests, and X-rays to accurately diagnose psoriatic arthritis.
Factors that contribute to a diagnosis of psoriatic arthritis include the following:
- Psoriasis in the patient, or a family history of psoriasis or psoriatic arthritis.
- A negative test result for rheumatoid factor, a blood factor associated with rheumatoid arthritis.
- Arthritis symptoms in the distal interphalangeal articulations of hand (the joints closest to the tips of the fingers). This is not typical of rheumatoid arthritis.
- Ridging or pitting of fingernails or toenails (onycholysis), which is associated with psoriasis and psoriatic arthritis.
- Radiologic images demonstrating degenerative joint damage.
Other symptoms that are more typical of psoriatic arthritis than other forms of arthritis include enthesitis (inflammation in the Achilles tendon (at the back of the heel) or the plantar fascia (bottom of the feet)), and dactylitis (sausage-like swelling of the fingers or toes).[25]
Imaging


Magnetic resonance image of the index finger in psoriatic arthritis (mutilans form). Shown is a T2 weighted fat suppressed sagittal image. A focal increased signal (probable erosion) is seen at the base of the middle phalanx (long thin arrow). There is synovitis at the proximal interphalangeal joint (long thick arrow) plus increased signal in the overlying soft tissues indicating edema (short thick arrow). There is also diffuse bone edema (short thin arrows) involving the head of the proximal phalanx and extending distally down the shaft.
Magnetic resonance images of the fingers in psoriatic arthritis. Shown are T1 weighted axial (a) pre-contrast and (b) post-contrast images exhibiting dactylitis due to flexor tenosynovitis at the second finger with enhancement and thickening of the tendon sheath (large arrow). Synovitis is seen in the fourth proximal interphalangeal joint (small arrow).
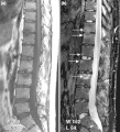
(a) T1-weighted and (b) short tau inversion recovery (STIR) magnetic resonance images of lumbar and lower thoracic spine in psoriatic arthritis. Signs of active inflammation are seen at several levels (arrows). In particular, anterior spondylitis is seen at level L1/L2 and an inflammatory Andersson lesion at the upper vertebral endplate of L3.
Magnetic resonance images of sacroiliac joints. Shown are T1-weighted semi-coronal magnetic resonance images through the sacroiliac joints (a) before and (b) after intravenous contrast injection. Enhancement is seen at the right sacroiliac joint (arrow, left side of the image), indicating active sacroiliitis.
Differential diagnosis
Several conditions can mimic the clinical presentation of psoriatic arthritis including rheumatoid arthritis, osteoarthritis, reactive arthritis, gouty arthritis, systemic lupus erythematosus, and inflammatory bowel disease-associated arthritis.[3]
In contrast to psoriatic arthritis, rheumatoid arthritis tends to affect the proximal joints (e.g., the metacarpophalangeal joints), involves a greater number of joints than psoriatic arthritis, and affects them symmetrically.[3] Involvement of the spinal joints is more suggestive of psoriatic arthritis than rheumatoid arthritis.[3] Rheumatoid factor (RF) and cyclic citrullinated peptide autoantibodies are typically found in the blood of people with RA, but not, as a rule, in those with PsA.[26][27]
Comorbidities may help differential diagnosis.[27]
Osteoarthritis shares certain clinical features with psoriatic arthritis such as its tendency to affect multiple distal joints in an asymmetric pattern.[3] Unlike psoriatic arthritis, osteoarthritis does not typically involve inflammation of the sacroiliac joint.[3]
Psoriatic arthritis sometimes affects only one joint and is sometimes confused for gout or pseudogout when this happens.[3]
Classification
There are five main types of psoriatic arthritis:[3][28]
- Oligoarticular: This type affects around 70% of patients and is generally mild. This type does not occur in the same joints on both sides of the body and usually only involves fewer than 3 joints.
- Polyarticular: This type accounts for around 25% of cases, and affects five or more joints on both sides of the body simultaneously. This type is most similar to rheumatoid arthritis and is disabling in around 50% of all cases.
- Arthritis mutilans (M07.1): Affects less than 5% of patients and is a severe, deforming, and destructive arthritis. This condition can progress over months or years causing severe joint damage. Arthritis mutilans has also been called chronic absorptive arthritis and may be seen in rheumatoid arthritis.
- Spondyloarthritis (M07.2): This type is characterized by stiffness of the neck or the sacroiliac joint of the spine, but can also affect the hands and feet, in a similar fashion to symmetric arthritis.
- Distal interphalangeal predominant (M07.0): This type of psoriatic arthritis is found in about 5% of patients and is characterized by inflammation and stiffness in the joints nearest to the ends of the fingers and toes. Nail damage is often marked.
Management
Because prolonged inflammation can lead to joint damage, early diagnosis and treatment to slow or prevent joint damage is recommended.[29]
The underlying process in psoriatic arthritis is inflammation; therefore, treatments are directed at reducing and controlling inflammation. The first-line initial treatment for most patients is a TNF inhibitor-type biological disease-modifying anti-rheumatic drug (DMARD).[30][6]
The goal of treatment is to achieve minimal or low disease activity. The criteria for minimal disease activity is meeting five of these seven criteria and low disease activity/remission is achieved when all seven criteria are fulfilled: (1) tender joint count ≤1, (2) tender entheseal joints ≤1, (3) swollen joint count ≤1, (4) PASI ≤1 or BSA ≤3%, (5) patient pain VAS ≤15, (6) patient global disease activity VAS ≤20, (7) HAQ ≤0.5.[31]
Biological DMARDs
Biologics (also called biological response modifiers) are a class of therapeutics developed using recombinant DNA technology. Biologic medications are derived from living cells cultured in a laboratory. Unlike traditional DMARDs that affect the entire immune system, biologics target specific parts of the immune system. They are given by injection or intravenous (IV) infusion.
Biologics prescribed for psoriatic arthritis are TNF-α inhibitors, including infliximab, etanercept, golimumab, certolizumab pegol and adalimumab, as well as the IL-12/IL-23 inhibitor ustekinumab,[3] the IL-17A inhibitor secukinumab,[32] and the IL-23 inhibitor risankizumab.
Biologics may increase the risk of minor and serious infections.[33] More rarely, they may be associated with nervous system disorders, blood disorders or certain types of cancer.
Nonsteroidal anti-inflammatory drugs
Typically the medications first prescribed for psoriatic arthritis are NSAIDs such as ibuprofen and naproxen, followed by more potent NSAIDs like diclofenac, indomethacin, and etodolac. NSAIDs can irritate the stomach and intestine, and long-term use can lead to gastrointestinal bleeding.[34][35] Coxibs (COX-2 inhibitors) e.g. celecoxib or etoricoxib, are associated with a statistically significant 50 to 66% relative risk reduction in gastrointestinal ulcers and bleeding complications compared to traditional NSAIDs, but carry an increased rate of cardiovascular events such as myocardial infarction (MI) or heart attack, and stroke.[36][37] Both COX-2 inhibitors and other non-selective NSAIDs have potential adverse effects that include damage to the kidneys.
Conventional synthetic disease-modifying antirheumatic drugs
Oral small molecules such as methotrexate, leflunomide, cyclosporin, azathioprine, and sulfasalazine are used in persistent symptomatic cases without exacerbation. Rather than just reducing pain and inflammation, this class of drugs helps slow down or halt the progression of the disease, and therefore limit the amount of joint damage that occurs. Most DMARDs act slowly and may take weeks or even months to take full effect.[38] According to a recent Cochrane review, low dose oral methotrexate was slightly more effective than placebos.[39] Immunosuppressant drugs can also reduce psoriasis skin symptoms but can lead to liver and kidney problems and an increased risk of serious infection.
Phosphodiesterase-4 inhibitors
A first-in-class treatment option for the management of psoriatic arthritis is apremilast, a small molecule phosphodiesterase-4 inhibitor approved for use by the FDA in 2014. By inhibiting PDE4, an enzyme that breaks down cyclic adenosine monophosphate, cAMP levels rise, resulting in the down-regulation of various pro-inflammatory factors including TNF-α, interleukin 17 and interleukin 23, as well as the up-regulation of anti-inflammatory factor interleukin 10.
It is given in tablet form and taken by mouth. Side effects include headaches, back pain, nausea, diarrhea, fatigue, nasopharyngitis, and upper respiratory tract infections, as well as depression and weight loss.
It was patented in 2014 and manufactured by Celgene. There is no current generic equivalent available on the market.
JAK inhibitors
The JAK1 inhibitors tofacitinib (Xeljanz) and upadacitinib (Rinvoq) are approved for the use in active psoriatic arthritis.[40] The TYK2 inhibitor deucravacitinib (Sotyktu), which has been approved for plaque psoriasis, is currently undergoing a Phase II clinical trial to evaluate the efficacy and safety on psoriatic arthritis. The Takeda TYK2 inhibitor TAK-279 recently demonstrated a 20% improvement in signs and symptoms of disease at week 12 as compared to placebo in a Phase II clinical trial.[41] Takeda also plans to initiate a Phase III clinical trial to evaluate the efficacy and safety of TAK-279.[41]
Other treatments
A review found tentative evidence of benefit of low level laser therapy and concluded that it could be considered for relief of pain and stiffness associated RA.[42]
Photochemotherapy with methoxsalen and long-wave ultraviolet light (PUVA therapy) are used for severe skin lesions. Doctors may use joint injections with corticosteroids in cases where one joint is severely affected. In psoriatic arthritis patients with severe joint damage orthopedic surgery may be implemented to correct joint destruction, usually with the use of a joint replacement. Surgery is effective for pain alleviation, correcting joint disfigurement, and reinforcing joint usefulness and strength.
Management of fatigue
Changes in lifestyle may help manage fatigue.[43]
Epidemiology
Reviews have found psoriatic arthritis incidence globally of 0.11%, with incidence in the USA of 0.06–0.25%[22] and in Europe of 0.19% (95% CI 0.16–0.32).[44] Other studies found an overall prevalence rate of 0.1-0.2%, affecting men and women equally, and an incidence rate of 0.006% annually, [21]
70% of people who develop psoriatic arthritis first show signs of psoriasis on the skin, 15% develop skin psoriasis and arthritis at the same time, and 15% develop skin psoriasis following the onset of psoriatic arthritis.[45] Some people with PsA never get psoriasis.[4]
Psoriatic arthritis can develop in people who have any level severity of psoriatic skin disease, ranging from mild to very severe.[46] Studies have found that obesity is a significant risk factor and predictor of disease outcome.[47] Other risk factors associated with an increased risk of developing psoriatic arthritis include severe psoriasis, nail psoriasis, scalp psoriasis, inverse psoriasis, and having a first-degree relative with psoriatic arthritis.[41]
Psoriatic arthritis tends to appear about 10 years after the first signs of psoriasis.[3] For the majority of people, this is between the ages of 30 and 55, but the disease can also affect children. The onset of psoriatic arthritis symptoms before symptoms of skin psoriasis is more common in children than adults.[48]
More than 80% of patients with psoriatic arthritis will have psoriatic nail lesions characterized by nail pitting, separation of the nail from the underlying nail bed, ridging and cracking, or more extremely, loss of the nail itself (onycholysis).[48][22]
Enthesitis is observed in 30 to 50% of patients and most commonly involves the plantar fascia and Achilles’ tendon, but it may cause pain around the patella, iliac crest, epicondyles, and supraspinatus insertions[49]
Men and women are equally affected by this condition.[3] Like psoriasis, psoriatic arthritis is more common among Caucasians than African or Asian people.[3]
Prevention
Some progress has been made in preventing patients with psoriasis from developing psoriatic arthritis. However, once psoriatic arthritis is established, the inflammatory burden of psoriatic disease might not be susceptible to modulation in many patients.[50]
See also
References
- ↑ Freedberg, Irwin M., Fitzpatrick, Thomas B. (2003). Fitzpatrick's dermatology in general medicine (6th ed.). New York: McGraw-Hill. pp. 427–436. ISBN 978-0-07-138076-8.
- ↑ James, William, Berger, Timothy, Elston, Dirk (2005). Andrews' Diseases of the Skin: Clinical Dermatology (10th ed.). Saunders. p. 194. ISBN 978-0-7216-2921-6.
- 1 2 3 4 5 6 7 8 9 10 11 12 13 14 15 16 17 18 19 20 21 22 23 Ritchlin CT, Colbert RA, Gladman DD (March 2017). "Psoriatic Arthritis". New England Journal of Medicine (Review). 376 (10): 957–70. doi:10.1056/NEJMra1505557. PMID 28273019. S2CID 43867408.
- 1 2 "Are You at Risk for Psoriatic Arthritis?". www.psoriasis.org.
- 1 2 3 4 5 6 7 Amherd-Hoekstra A, Näher H, Lorenz HM, Enk AH (May 2010). "Psoriatic arthritis: a review". Journal of the German Society of Dermatology. 8 (5): 332–9. doi:10.1111/j.1610-0387.2009.07334.x. PMID 20015187. S2CID 25484225.
- 1 2 3 Papadakis MA, McPhee SJ, eds. (2023). Quick medical diagnosis & treatment 2023. McGraw-Hill Education. ISBN 978-1-264-91671-9. OCLC 1349393887.
- ↑ https://www.arthritis.org/health-wellness/about-arthritis/related-conditions/physical-effects/enthesitis-and-psa
- ↑ "Areas of the body (shoulder) | Psoriatic Arthritis (PsA) support program | Arthritis Australia". mypsoriaticarthritis.org.au.
- ↑ "How Psoriatic Arthritis Affects the Shoulder | MyPsoriasisTeam". www.mypsoriasisteam.com.
- 1 2 "Psoriatic arthritis". Versus Arthritis.
- ↑ https://www.arthritis.org/health-wellness/about-arthritis/related-conditions/physical-effects/enthesitis-and-psa
- ↑ Poddubnyy D, Jadon DR, Van den Bosch F, Mease PJ, Gladman DD (August 2021). "Axial involvement in psoriatic arthritis: An update for rheumatologists". Seminars in Arthritis and Rheumatism. 51 (4): 880–887. doi:10.1016/j.semarthrit.2021.06.006. PMID 34198146.
- ↑ Muneer H, Sathe NC, Masood S (January 16, 2025). StatPearls. StatPearls Publishing. PMID 32644686 – via PubMed.
- ↑ "Psoriatic Arthritis". Arthritis Action. Archived from the original on 27 January 2016. Retrieved 12 August 2015.
- ↑ Krajewska-Włodarczyk M, Owczarczyk-Saczonek A, Placek W (June 30, 2017). "Fatigue – an underestimated symptom in psoriatic arthritis". Rheumatology. 55 (3): 125–130. doi:10.5114/reum.2017.68911.
- ↑ Krajewska-Włodarczyk M, Owczarczyk-Saczonek A, Placek W (2017). "Fatigue – an underestimated symptom in psoriatic arthritis - PMC". Reumatologia. 55 (3): 125–130. doi:10.5114/reum.2017.68911. PMC 5534506. PMID 28769135.
- ↑ Jara S (March 1, 2021). "What Does Psoriatic Arthritis Fatigue Really Feel Like?".
- ↑ Tan JS, Fong W, Kwan YH, Leung YY (November 5, 2020). "Prevalence and variables associated with fatigue in psoriatic arthritis: a cross-sectional study". Rheumatology International. 40 (11): 1825–1834. doi:10.1007/s00296-020-04678-2. PMID 32776160 – via PubMed.
- ↑ Toledano E, Hidalgo C, Gómez-Lechón L, Ibáñez M, Chacón CC, Martín-Vallejo J, Pastor S, Montilla C (2023). "SLEEP quality in patients with psoriatic arthritis and its relationship with disease activity and comorbidities: A cross-sectional study". Scientific Reports. 13 (1): 22927. Bibcode:2023NatSR..1322927T. doi:10.1038/s41598-023-48723-z. PMC 10739913. PMID 38129461.
- ↑ Davidson S (2010). Davidson's Principles and Practice of Medicine. Churchill Livingstone/Elsevier. p. 1096. ISBN 978-0-7020-3085-7.
- 1 2 3 Parameswaran P, Lucke M (November 30, 2024). "HLA-B27 Syndromes". StatPearls. StatPearls Publishing. PMID 31855367 – via PubMed.
- 1 2 3 4 Ogdie A, Weiss P (November 5, 2015). "The Epidemiology of Psoriatic Arthritis". Rheumatic Disease Clinics of North America. 41 (4): 545–568. doi:10.1016/j.rdc.2015.07.001. PMC 4610151. PMID 26476218.
- ↑ Billi A, Ludwig J, Fritz Y, Rozic R, Swindell W, Tsoi L, Gruzka D, Abdolliahi-Roodsaz S, Xing X, Diaconu D, Uppala R, Camhi M, Klenotic P, Sarkar M, Husni M, Scher J, McDonald C, Kahlenberg J, Midura R, Gudjonsson J, Ward N (March 10, 2020). "Klk6 expression in skin induces PAR-1 mediated psoriasiform dermatitis and inflammatory joint disease". The Journal of Clinical Investigation. 130 (6): 3151–3157. doi:10.1172/JCI133159. PMC 7260032. PMID 32155135.
- ↑ Gottlieb A, Korman NJ, Gordon KB, Feldman SR, Lebwohl M, Koo JY, Van Voorhees AS, Elmets CA, Leonardi CL, Beutner KR, Bhushan R, Menter A (May 2008). "Guidelines of care for the management of psoriasis and psoriatic arthritis". Journal of the American Academy of Dermatology. 58 (5): 851–864. doi:10.1016/j.jaad.2008.02.040. PMID 18423261.
- ↑ "Psoriatic Arthritis". The Johns Hopkins University School of Medicine and the Johns Hopkins Arthritis Center. Retrieved 2011-05-04.
- ↑ "Testing for Psoriatic Arthritis | Arthritis Foundation". www.arthritis.org.
- 1 2 Saalfeld W, Mixon AM, Zelie J, Lydon EJ (September 14, 2021). "Differentiating Psoriatic Arthritis from Osteoarthritis and Rheumatoid Arthritis: A Narrative Review and Guide for Advanced Practice Providers". Rheumatology and Therapy. 8 (4): 1493–1517. doi:10.1007/s40744-021-00365-1. PMC 8572231. PMID 34519965.
- ↑ "Psoriatic Arthritis".
- ↑ Farragher TM, Lunt M, Plant D, Bunn DK, Barton A, Symmons DP (May 2010). "Benefit of early treatment in inflammatory polyarthritis patients with anti-cyclic citrullinated peptide antibodies versus those without antibodies". Arthritis Care & Research. 62 (5): 664–75. doi:10.1002/acr.20207. PMC 2962800. PMID 20461787.
- ↑ Singh JA, Guyatt G, Ogdie A, Gladman DD, Deal C, Deodhar A, Dubreuil M, Dunham J, Husni ME, Kenny S, Kwan-Morley J, Lin J, Marchetta P, Mease PJ, Merola JF (Jan 2019). "2018 American College of Rheumatology/National Psoriasis Foundation Guideline for the Treatment of Psoriatic Arthritis". Arthritis Care & Research. 71 (1): 2–29. doi:10.1002/acr.23789. ISSN 2151-464X. PMC 8265826. PMID 30499259.
- ↑ Coates LC, Fransen J, Helliwell PS (2010-01-01). "Defining minimal disease activity in psoriatic arthritis: a proposed objective target for treatment". Annals of the Rheumatic Diseases. 69 (1): 48–53. doi:10.1136/ard.2008.102053. ISSN 0003-4967. PMID 19147615.
- ↑ "Secukinumab Has Superior Persistence in Psoriatic Arthritis". AJMC. 5 December 2020. Retrieved 2021-04-06.
- ↑ Isaacs D (2013). "Infectious Risks Associated with Biologics". Hot Topics in Infection and Immunity in Children IX. Advances in Experimental Medicine and Biology. Vol. 764. pp. 151–8. doi:10.1007/978-1-4614-4726-9_12. ISBN 978-1-4614-4725-2. PMID 23654064.
- ↑ Warner TD, Giuliano F, Vojnovic I, Bukasa A, Mitchell JA, Vane JR (1999). "Nonsteroid drug selectivities for cyclo-oxygenase-1 rather than cyclo-oxygenase-2 are associated with human gastrointestinal toxicity: a full in vitro analysis". Proc Natl Acad Sci U S A. 96 (13): 7563–8. Bibcode:1999PNAS...96.7563W. doi:10.1073/pnas.96.13.7563. PMC 22126. PMID 10377455.
- ↑ Scholer DW, Ku EC, Boettcher I, Schweizer A (April 1986). "Pharmacology of diclofenac sodium". Am. J. Med. 80 (4B): 34–8. doi:10.1016/0002-9343(86)90077-X. PMID 3085490.
- ↑ Antman EM, Bennett JS, Daugherty A, Furberg C, Roberts H, Taubert KA (Mar 2007). "Use of nonsteroidal antiinflammatory drugs: an update for clinicians: a scientific statement from the American Heart Association". Circulation. 115 (12): 1634–42. doi:10.1161/CIRCULATIONAHA.106.181424. PMID 17325246.
- ↑ Kearney PM, Baigent C, Godwin J, Halls H, Emberson JR, Patrono C (Jun 2006). "Do selective cyclo-oxygenase-2 inhibitors and traditional non-steroidal anti-inflammatory drugs increase the risk of atherothrombosis? Meta-analysis of randomised trials". BMJ. 332 (7553): 1302–8. doi:10.1136/bmj.332.7553.1302. PMC 1473048. PMID 16740558.
- ↑ Jones G, Crotty M, Brooks P (2000). "Interventions for psoriatic arthritis". The Cochrane Database of Systematic Reviews (3): CD000212. doi:10.1002/14651858.CD000212. ISSN 1469-493X. PMID 10908464.
- ↑ Wilsdon TD, Whittle SL, Thynne TR, Mangoni AA (2019-01-18). "Methotrexate for psoriatic arthritis". Cochrane Database of Systematic Reviews. 1 (1): CD012722. doi:10.1002/14651858.cd012722.pub2. ISSN 1465-1858. PMC 6353064. PMID 30656673.
- ↑ "Tofacitinib for psoriatic arthritis (PsA) is now approved by the European Commission". Rheumatology. 58 (1): e2. 2019-01-01. doi:10.1093/rheumatology/key333. ISSN 1462-0324. PMID 30380114.
- 1 2 3 "TAK-279 Demonstrates Improvements in ACR 20 Response for Psoriatic Arthritis". Pharmacy Times. 2023-11-08. Retrieved 2023-11-08.
- ↑ Brosseau L, Robinson V, Wells G, Debie R, Gam A, Harman K, Morin M, Shea B, Tugwell P (19 October 2005). "Low level laser therapy (Classes I, II and III) for treating rheumatoid arthritis". The Cochrane Database of Systematic Reviews. 2010 (4): CD002049. doi:10.1002/14651858.CD002049.pub2. PMC 8406947. PMID 16235295.
- ↑ Jara S (March 1, 2021). "Psoriatic Arthritis Fatigue: 20+ Daily Routine Changes to Improve Energy".
- ↑ "Google Scholar". scholar.google.com.
- ↑ "Psoriatic Arthritis". The Johns Hopkins University School of Medicine and the Johns Hopkins Arthritis Center. Retrieved 2011-05-04.
- ↑ Who's At Risk, Be Joint Smart (a coalition of the National Psoriasis Foundation and the Arthritis Foundation). Accessed 2016-11-12.
- ↑ Scher JU, Ogdie A, Merola JF, Ritchlin C (March 2019). "Preventing psoriatic arthritis: focusing on patients with psoriasis at increased risk of transition". Nature Reviews Rheumatology. 15 (3): 153–166. doi:10.1038/s41584-019-0175-0. ISSN 1759-4790. PMID 30742092. S2CID 59945330.
- 1 2 "Psoriatic Arthritis". WebMD LLC. Retrieved 2011-05-04.
- ↑ Ritchlin CT, Colbert RA, Gladman DD (2017-03-08). "Psoriatic Arthritis". New England Journal of Medicine. 376 (10): 957–970. doi:10.1056/nejmra1505557. PMID 28273019. S2CID 43867408.
- ↑ Scher JU, Ogdie A, Merola JF, Ritchlin C (March 30, 2019). "Preventing psoriatic arthritis: focusing on patients with psoriasis at increased risk of transition". Nature Reviews Rheumatology. 15 (3): 153–166. doi:10.1038/s41584-019-0175-0. PMID 30742092 – via www.nature.com.