Precursor B-cell lymphoblastic leukemia
| Precursor B-cell lymphoblastic leukemia | |
|---|---|
![]() | |
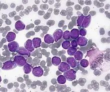
| A Wright's stained bone marrow aspirate smear from a person with precursor B-cell acute lymphoblastic leukemia. | |
| Specialty | Oncology |
Precursor B-cell lymphoblastic leukemia is a form of lymphoid leukemia in which too many B-cell lymphoblasts (immature white blood cells) are found in the blood and bone marrow. It is the most common type of acute lymphoblastic leukemia (ALL). It is sometimes additionally classified as a lymphoma, as designated leukemia/lymphoma. ALL is the most prevalent childhood malignancy, with precursor B-cell ALL (B-ALL) accounting for approximately 75–80% of newly diagnosed pediatric ALL cases.
Subtypes
It consists of the following subtypes:[1]
- t(9;22)-BCR/ ABL
- t(v;11q23)-MLL rearrangement
- t(1;19)-E2A/PBX1
- t(12;21)-ETV/ CBFα
- t(17;19)-E2A-HLF
Molecular mechanisms
One interesting model of precursor B ALL shows aberrant function of a single gene, namely Pax5, as capable to change phenotype of B cells toward precursor cells.[2][3] In approximately two-thirds of pediatric B-ALL patients, specific chromosomal translocations and their fusion genes are detectable, and these fusion genes play crucial roles as risk factors for strategic treatment. More than 200 fusion genes or mutated genes have been identified in ALL patients to date.
Diagnosis
t(12;21)-ETV/ CBFα has a better prognosis as compared to other subtypes.
Treatment
References
- ↑ Randolph TR (2004). "Advances in acute lymphoblastic leukemia". Clin Lab Sci. 17 (4): 235–45. PMID 15559730.
- ↑ Carotta S, Nutt SL (March 2008). "Losing B cell identity". BioEssays. 30 (3): 203–7. doi:10.1002/bies.20725. PMID 18293359.
- ↑ Den Boer ML, van Slegtenhorst M, De Menezes RX, et al. (February 2009). "A subtype of childhood acute lymphoblastic leukaemia with poor treatment outcome: a genome-wide classification study". Lancet Oncol. 10 (2): 125–34. doi:10.1016/S1470-2045(08)70339-5. PMC 2707020. PMID 19138562.
This article incorporates public domain material from Dictionary of Cancer Terms. U.S. National Cancer Institute.
External links
- Precursor B-lymphoblastic leukemia entry in the public domain NCI Dictionary of Cancer Terms
