Mercury granuloma
| Mercury granuloma | |
|---|---|
![]() | |
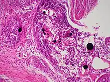
| Cutaneous mercury granuloma is a rare disorder caused by the introduction of elemental Hg into skin. | |
| Specialty | Dermatology |
Mercury granulomas is the result of mercury exposure, a skin condition characterized by foreign-body giant cell reaction.[1]: 46
See also
References
- ↑ James, William D.; Berger, Timothy G.; et al. (2006). Andrews' Diseases of the Skin: clinical Dermatology. Saunders Elsevier. ISBN 978-0-7216-2921-6.
This article is issued from Wikipedia. The text is licensed under Creative Commons - Attribution - Sharealike. Additional terms may apply for the media files.
