Lentigo simplex
| Lentigo simplex | |
|---|---|
| Other names | Simple lentigo[1] |
![]() | |
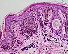
| Lentigo simplex or simple lentigo | |
| Specialty | Dermatology |
Lentigo simplex is the most common form of lentigo.[2]: 29 A single lesion or multiple lesions (lentigines) may be present at birth or more commonly first develop in early childhood. Lentigo simplex is not induced by sun exposure, and it is not associated with any medical diseases or conditions. It is also referred to as simple lentigo and juvenile lentigo. This condition also affects cats, those with orange coloration most often, and can appear on the nose, lips, and eyes as the cat ages.[3]
See also
References
- ↑ Rapini, Ronald P.; Bolognia, Jean L.; Jorizzo, Joseph L. (2007). Dermatology: 2-Volume Set. St. Louis: Mosby. pp. 1717–20. ISBN 978-1-4160-2999-1.
- ↑ James, William D.; Berger, Timothy G.; et al. (2006). Andrews' Diseases of the Skin: clinical Dermatology. Saunders Elsevier. ISBN 978-0-7216-2921-6.
- ↑ "Lentigines". Centre for Veterinary Education. University of Sydney. Retrieved 28 January 2014.
External links
This article is issued from Wikipedia. The text is licensed under Creative Commons - Attribution - Sharealike. Additional terms may apply for the media files.
