Hemophagocytosis

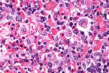
Hemophagocytosis is a dangerous form of phagocytosis in which histiocytes engulf red blood cells, white blood cells, platelets, and their precursors[1] in bone marrow and other tissues.
It is part of the presentation of hemophagocytic lymphohistiocytosis and macrophage activation syndrome. It has also been seen at autopsy of people who died of COVID-19.[2]
References
- ↑ "Hemophagocytic Syndromes and Infection".
- ↑ Satturwar, Swati; Fowkes, Mary; Farver, Carol; Wilson, Allecia M.; Eccher, Albino; Girolami, Ilaria; Pujadas, Elisabet; Bryce, Clare; Salem, Fadi; El Jamal, Siraj M.; Paniz-Mondolfi, Alberto; Petersen, Bruce; Gordon, Ronald E.; Reidy, Jason; Fraggetta, Filippo; Marshall, Desiree A.; Pantanowitz, Liron (2021). "Postmortem Findings Associated With SARS-CoV-2". American Journal of Surgical Pathology (5): 587–603. doi:10.1097/PAS.0000000000001650. ISSN 0147-5185. PMC 8132567.
This article is issued from Wikipedia. The text is licensed under Creative Commons - Attribution - Sharealike. Additional terms may apply for the media files.