Gliomatosis cerebri
| Gliomatosis cerebri | |
|---|---|
| Other names | Infiltrative diffuse astrocytosis |
![]() | |
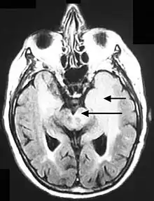
| Axial fluid-attenuated inversion recovery MRI image demonstrating tumor-related infiltration involving both temporal lobes (Short arrow), and the substantia nigra (Long arrow). | |
| Specialty | Neuro-oncology, Neurosurgery |
Gliomatosis cerebri is a rare growth pattern of some brain tumors, impacting at least three cerebral lobes, mostly with bilateral involvement of the cerebral hemispheres. It can be seen in some types of diffuse glioma, most notably glioblastoma. It consists of infiltrative threads that spread deeply into the brain, making them very difficult to remove with surgery or treat with radiation and is associated with poor prognosis.
Previously it was considered to be a separate type of tumor, but this view has been overturned by molecular and genetic diagnostics.
Definition
As defined by the WHO, gliomatosis cerebri spans at least three cerebral lobes, usually involves both hemispheres and can also spread deeply into the gray matter or into infratentorial structures like the brainstem, cerebelleum or spinal cord.[1]
Until the 4th revision of the WHO classification of tumours of the central nervous system of 2016, gliomatosis cerebri was considered to be a distinct entity. Due to advances in molecular diganostics, the lack of a specific genetic profile and poor prognostic value, this definition is now considered obsolete.[1]
Causes
Gliomatosis cerebri is most often caused by glioblastoma, but can also arise from astrocytoma, oligodendroglioma or other types of diffuse glioma.[2] Other pathologies such as vasculitis, encephalitis or leukoencephalopathy may also cause similar radiological findings.[3]
Notes
- 1 2 Louis, David N.; Ohgaki, Hiroko; Wiestler, Otmar D.; Cavenee, Webster K., eds. (2016). WHO classification of tumours of the central nervous system. World Health Organization classification of tumours (Revised 4th ed.). Lyon: International Agency for Research on Cancer. p. 23. ISBN 978-92-832-4492-9.
- ↑ Kwon, Mi Jung; Kang, So Young; Cho, Haeyon; Lee, Jung Il; Kim, Sung Tae; Suh, Yeon-Lim (March 2020). "Clinical relevance of molecular subgrouping of gliomatosis cerebri per 2016 WHO classification: a clinicopathological study of 89 cases". Brain Pathology. 30 (2): 235–245. doi:10.1111/bpa.12782. ISSN 1015-6305. PMC 8018049. PMID 31435963.
- ↑ Rudà, Roberta; Bertero, Luca; Sanson, Marc (February 2014). "Gliomatosis Cerebri: A Review". Current Treatment Options in Neurology. 16 (2): 273. doi:10.1007/s11940-013-0273-2. hdl:2318/1701662. ISSN 1092-8480. PMID 24390814. S2CID 25043219.
