Ghost cell

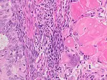
A ghost cell is an enlarged eosinophilic epithelial cell with eosinophilic cytoplasm but without a nucleus. It has lost its nucleus and cytoplasmic contents, leaving behind only the cell membrane and sometimes remnants of the cell's structure. In pathology, ghost cells are often associated with certain types of tumors, such as pilomatricomas and calcifying odontogenic cysts, where they appear as pale, anucleate cells that have undergone degeneration or calcification.
The ghost cells indicate coagulative necrosis where there is cell death but retainment of cellular architecture. In histologic sections ghost cells are those which appear as shadow cells. They are dead cells. For example, in peripheral blood smear preparations, the RBCs are lysed and appear as ghost cells.
They are found in:
- Craniopharyngioma (Rathke pouch)[1]
- Odontoma[2]
- Ameloblastic fibroma[3]
- Calcifying odontogenic cyst (Gorlin cyst)[4]
- Pilomatricoma[5]
References
- ↑ Rodriguez, Fausto J.; Scheithauer, Bernd W.; Tsunoda, Shigeru; Kovacs, Kalman; Vidal, Sergio; Piepgras, David G. (2007). "The Spectrum of Malignancy in Craniopharyngioma". The American Journal of Surgical Pathology. 31 (7): 1020–8. doi:10.1097/PAS.0b013e31802d8a96. PMID 17592268.
- ↑ Sedano, Heddie O.; Pindborg, Jens J. (1975). "Ghost cell epithelium in odontomas". Journal of Oral Pathology and Medicine. 4 (1): 27–30. doi:10.1111/j.1600-0714.1975.tb01737.x. PMID 807691.
- ↑ Yoon, Jung Hoon; Jun Kim, Hyung; In Yook, Jong; Cha, In Ho; Ellis, Gary L; Kim, Jin (2004). "Hybrid odontogenic tumor of calcifying odontogenic cyst and ameloblastic fibroma". Oral Surgery, Oral Medicine, Oral Pathology, Oral Radiology, and Endodontology. 98 (1): 80–4. doi:10.1016/j.tripleo.2004.01.003. PMID 15243475.
- ↑ Siar, CH; Kawakami, T; Buery, RR; Nakano, K; Tomida, M; Tsujigiwa, H; Han, PP; Nagatsuka, H; Ng, HK (2011). "Notch signaling and ghost cell fate in the calcifying cystig odontogenic tumor". European Journal of Medical Research. 16 (11): 501–6. doi:10.1186/2047-783X-16-11-501. PMC 3351808. PMID 22027644.
- ↑ Barbhuiya, JN; Datta, PK; Basak, P; Banerjee, PP (1996). "Pilomatrixoma". Indian Journal of Dermatology, Venereology and Leprology. 62 (5): 318–9. PMID 20948103.