Ghon focus

A Ghon focus is a primary lesion usually subpleural, often in the mid to lower zones, caused by Mycobacterium bacilli (tuberculosis) developed in the lung of a nonimmune host (usually a child).[1] It is named for Anton Ghon (1866โ1936), an Austrian pathologist.
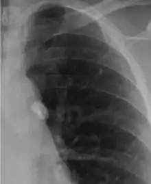
It is a small area of granulomatous inflammation, only detectable by chest X-ray if it calcifies or grows substantially (see tuberculosis radiology).[2] Typically these will heal, but in some cases, especially in immunosuppressed patients, it will progress to miliary tuberculosis (so named due to the granulomas resembling millet seeds on a chest X-ray).[2]
The classical location for primary infection is surrounding the lobar fissures, either in the upper part of the lower lobe or lower part of the upper lobe.[2]
If the Ghon focus also involves infection of adjacent lymphatics and hilar lymph nodes, it is known as the Ghon's complex or primary complex. When a Ghon's complex undergoes fibrosis and calcification it is called a Ranke complex.[2][3]
References
- โ Braun, Carie Ann; Anderson, Cindy Miller (2007). Pathophysiology: Functional Alterations in Human Health. Lippincott Williams & Wilkins. p. 326. ISBN 9780781762502. Retrieved 13 November 2017.
Ghon focus.
- 1 2 3 4 Kumar, Vinay; Abbas, Abul K.; Fausto, Nelson; & Mitchell, Richard N. (2007). Robbins Basic Pathology (8th ed.). Saunders Elsevier. pp. 516-522 ISBN 978-1-4160-2973-1
- โ "Pathology Image Gallery: Answers to Case 10". Archived from the original on 2004-11-11.