Councilman body

In pathology, a Councilman body, also known as a Councilman hyaline body or apoptotic body, is an eosinophilic globule of apoptotic hepatocyte cell fragments. Ultimately, the fragments are taken up by macrophages or adjacent parenchymal cells.[1] They are found in the liver of individuals suffering from acute viral hepatitis, yellow fever, and other viral syndromes.[2]
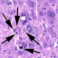
Apoptotic bodies
.jpg)
When referring to Councilman bodies, it is crucial to understand the term "apoptotic body". Apoptotic bodies are a peculiar type of extracellular vesicle that are left over pieces from cells that have undergone apoptosis, programming cell death.[3] The dying cells release varying amounts of closed, subcellular pieces that are often large for extracellular vesicles that may include forms of protein, DNA and RNA fragments, chromatin, lipids, cytosol, and organelles.
Associated conditions
Yellow fever
Councilman bodies were first identified in yellow fever, which characteristically shows a midzonal hepatic necrosis on biopsy. Similar inclusions are observed in other viral hemorrhagic fevers and all of the viral hepatitides. Liver biopsy of acute viral hepatitis shows panlobular lymphocytic infiltrates with ballooning hepatocytes.[4]
Viral hepatitis

Hepatocytes are the liver's primary parenchymal cells, forming 80% of the liver's mass and 60% of its cells. They are round in shape and contain a nucleus and organelles that contribute to metabolic and secretory functions.[5] Hepatocytes also play a pivotal role in liver inflammation.[6] Councilman bodies are often named for the hepatocytes undergoing apoptosis, which occurs in the portal tracts and lobules of the liver. Inflammation of the liver is caused by the cytotoxic killing of hepatocytes, or Councilman bodies. Eventually, this inflammation leads to liver damage in viral hepatitis.[7] Through the use of double immune fluorescence methods, HBsAg and/or HBcAg (hepatitis B core antigen) are present in Councilman bodies in the liver.[8]
Eponym
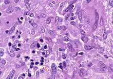
.png)
Councilman bodies are named after American pathologist William Thomas Councilman (1854–1933), who discovered them.
Discovery
With a bright field microscope, Councilman described typical, discrete, necrotic lesions in human hepatic cells of those infected with yellow fever.[9] He noted that the bodies appeared to be red in hematoxylin and eosin-stained sections of hepatic tissue, while being circumscribed, varying in size, round or irregular shape, and having numerous vacuoles of different sizes.
Causes
While Councilman bodies are identified in patients with yellow fever, the yellow fever virus does not cause the bodies. Yellow fever virus particles are not found in Councilman bodies under an electron microscope, agreeing with William Thomas Councilman's suggestion.[9] It is not possible to find membranous components or lipid droplets within the bodies. This means that Councilman bodies appear to be formed from general toxemia, rather than from the viral particles.
Documented cases and studies
Primates - yellow fever
In Rio de Janeiro, numerous wild primates died during an outbreak of yellow fever. All deceased primates were submitted for necropsy and yellow fever diagnosis for the Brazilian Ministry of Health's surveillance program. 56 out of 1,304 primates tested positive for yellow fever from liver samples using real time RT-PCR diagnostics. The official diagnosis included that the liver contained hepatocellular degeneration and necrosis with Councilman bodies and intracytoplasmic lipid.[4]
Male adult - yellow fever
Hideyo Noguchi was born in 1876 in Aizu. Throughout his life, he became a well known scientist in Japan for his work in investigating yellow fever between 1918 and 1924 in Central and South America. He believed that Leptospira icteroides was the cause of yellow fever. However, his theory was discredited in 1927. Unfortunately, he developed yellow fever from a laboratory infection and passed away in Africa at 51 years old. His theorized vaccine against L. icteroides was ineffective for preventing yellow fever. His liver samples showed Councilman bodies in the hepatocytes in their intermediate zones that revealed eosinophilic cytoplasmic coagulation.[10]
Multiple samples viewed with electron microscope
Five adults with hepatitis, two children with hepatoma, and three mongrel dogs provided tissue samples for study have an auxiliary liver transplant into the pelvis. The tissues were fixed immediately in ice-cold 1% osmium tetroxide, buffered with veronal acetate, and sucrose. Sections were cut, stained with lead hydroxide or citrate, and viewed under an electron microscope. The results showed the both canine and human tissue were intact, but altered hepatocytes were observed.[11] The doctors declared that councilman bodies were observed as vacuolated acidophilic bodies within the tissue samples.
LEC rats - acute hepatitis and hepatoma

An LEC rat, an inbred mutant rat, which suffered from hereditary hepatitis, was examined for elucidation during the development of the acute phase of hepatitis by quantitative analyses of the liver and laboratory data on serum enzymes. The progression of the acute hepatitis in the LEC rat was observed, showing only a few enlarged hepatocytes and Councilman bodies in its early life. These appeared around 8 weeks of age without any clinic signs of hepatitis. The acute phase of hepatitis started with a major increase of Councilman bodies, large nuclei, and hepatocytes in mitosis in the liver around 3-4 weeks before the onset of fulminant hepatitis. From these observations, three stages of progression of acute hepatitis were proposed in the LEC rat.[12]
See also
References
- ↑ Ivan Damjanov, MD, PhD: Pathology for the Health Professions, 4th ed, St. Louis, Saunders Elsevier, 2012, p 19, Fig. 1-26.)
- ↑ "Hepatic Pathology".
- ↑ "Apoptotic Bodies". www.beckman.com. Retrieved 2024-12-05.
- 1 2 "Conference 05 - 2021 Case: 03 20210922". www.askjpc.org. Retrieved 2024-12-06.
- ↑ "RLO: The Anatomy of the Liver". www.nottingham.ac.uk. Retrieved 2024-12-05.
- ↑ Gong, Jin; Tu, Wei; Liu, Jingmei; Tian, Dean (2023-01-18). "Hepatocytes: A key role in liver inflammation". Frontiers in Immunology. 13. doi:10.3389/fimmu.2022.1083780. ISSN 1664-3224. PMC 9890163. PMID 36741394.
- ↑ Hepatitis: Video, Causes, & Meaning | Osmosis. Retrieved 2024-12-05 – via www.osmosis.org.
- ↑ Storch, W (1982-08-01). "[Double immunofluorescence detection of HBsAg and HBcAg in Councilman bodies of the liver]". Leber, Magen, Darm. 12 (4): 146–149. ISSN 0300-8622. PMID 6290808.
- 1 2 Baruch, E.; Carbonell, L.; Weibel, J. (1963-01-01). "Fine structure of Councilman bodies in the liver of Aluatta seniculus seniculus L infected with yellow fever virus". Experimental Cell Research. 29 (1): 50–53. doi:10.1016/0014-4827(63)90356-2. ISSN 0014-4827. PMID 13969778.
- ↑ Kantha, SS. (1989). "Hideyo Noguchi's research on yellow fever (1918-1928) in the pre-electron microscopic era". Kisasato Arch Exp Med. 62: 1–9.
- ↑ Pathol, Am J (May 1966). "The ultrastructure of acidophilic "Councilman-like" bodies in the liver". The American Journal of Pathology. 48 (5): 755–767. PMC 1907261. PMID 4287129.
- ↑ Kasai, N; Osanai, T; Miyoshi, I; Kamimura, E; Yoshida, M C; Dempo, K (1990-09-01). "Clinico-pathological studies of LEC rats with hereditary hepatitis and hepatoma in the acute phase of hepatitis". Laboratory Animal Science. 40 (5): 502–505. ISSN 0023-6764. PMID 2170750.