Chalkstick fracture
| Chalkstick fracture | |
|---|---|
| Other names | Carrot stick fractures |
![]() | |
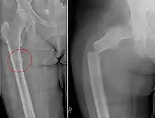
| Chalkstick fracture due to bone metastasis of breast cancer. The left image shows the metastasis, on the right a pathological fracture a few days later. | |
| Specialty | Orthopedics |
| Risk factors | Paget's disease of bone, ankylosing spondylitis, and osteopetrosis. |
Chalkstick fractures are fractures, typically of long bones, in which the fracture is transverse to the long axis of the bone, like a broken stick of chalk.[1] A healthy long bone typically breaks like a hard woody stick as the collagen in the matrix adds remarkable flexibility to the mineral and the energy can run up and down the growth rings of bone. The bones of children will even follow a greenstick fracture pattern.
Chalkstick fractures are particularly common in Paget's disease of bone, and osteopetrosis.[2] It is also seen in cases of fused spine as in a patient with ankylosing spondylitis.[3]
Treatment
Nonsurgical orthotic management may be appropriate for individuals who have stable fracture patterns as well as no neurological defects. Long-term monitoring is also required to avoid developing a worsening kyphotic deformity. If these patients develop malalignment syndrome, surgical treatment is advised.
Patients with neurological deficits or unstable patterns of fracture require surgical fixation to relieve spinal cord compression and stabilize the injury. A halo brace is another option to manage patients with cervical fractures.[4]
References
- ↑ Musculoskeletal imaging. [S.l.]: Elsevier Saunders. 2014. p. 305. ISBN 9781455708130.
- ↑ Avioli, Louis V.; Krane, Stephen M. (2013). Metabolic Bone Disease, Volume 2. Academic Press. p. 520. ISBN 9781483267920.
- ↑ Tomar, SuryapratapSingh (2018). "Chalkstick fracture: A catastrophic injury". Asian Journal of Neurosurgery. 13 (2): 383–385. doi:10.4103/ajns.AJNS_167_13. PMC 5898110. PMID 29682039.
- ↑ Chaudhary, Saad B.; Hullinger, Heidi; Vives, Michael J. (June 30, 2011). "Management of Acute Spinal Fractures in Ankylosing Spondylitis". ISRN Rheumatology. 2011. Hindawi Limited: 1–9. doi:10.5402/2011/150484. ISSN 2090-5467. PMC 3263739. PMID 22389792.
Further reading
- Katsimpari, Chaido; Koutsoviti, Sofia; Mpalanika, Alexia; Kalavri, Eleni; Theotikos, Evangelos; Fanouriakis, Antonis; Elezoglou, Antonia (2022). "Spontaneous Chalk-Stick Fracture in Ankylosing Spondylitis: A Case Report". Mediterranean Journal of Rheumatology. 33 (3). Convin SA: 346–348. doi:10.31138/mjr.33.3.346. ISSN 2529-198X. PMC 9727473. PMID 36531425.
- Skarentzos, Konstantinos; Karamanou, Georgia; Chrysafis, Ioannis; Papagoras, Charalampos (May 6, 2020). "Chalk-stick fracture in ankylosing spondylitis". Clinical Rheumatology. 39 (8). Springer Science and Business Media LLC: 2469–2470. doi:10.1007/s10067-020-05117-0. ISSN 0770-3198. PMID 32377994.
