Anaplasma bovis
| Anaplasma bovis | |
|---|---|
| Scientific classification | |
| Domain: | Bacteria |
| Phylum: | Pseudomonadota |
| Class: | Alphaproteobacteria |
| Order: | Rickettsiales |
| Family: | Ehrlichiaceae |
| Genus: | Anaplasma |
| Species: | A. bovis |
| Binomial name | |
| Anaplasma bovis Dumler et al. 2001 | |
Anaplasma bovis[1] is gram negative, obligate intracellular organism, which can be found in wild and domestic ruminants, and potentially a wide variety of other species. It is one of the last species of the Family Anaplasmaceae (formerly Ehrlichiaceae) to be formally described. It preferentially infects host monocytes,[2] and is often diagnosed via blood smears, PCR, and ELISA. A. bovis is not currently considered zoonotic, and does not frequently cause serious clinical disease in its host (although clinical disease has been noted in calves). This organism is transmitted by tick vectors, so tick bite prevention is the mainstay of A. bovis control, although clinical infections can be treated with tetracyclines. This organism has a global distribution, with infections noted in many areas, including Korea,[3] Japan,[4] Europe, Brazil, Africa, and North America.[2]
History and Taxonomy
The clinical syndrome which is now linked to members of the genus Anaplasma have been reported since 1780, although at the time, the actual pathogenic agent was not yet known.[2] In the early 1900s, many other members of this genus were described and determined to be the causative agent of Anaplasmosis in a wide variety of domestic and wildlife species[5]. Anaplasma bovis itself, was first identified in 1936, in cattle hosts.[6]
With the development of more sensitive molecular methods, there has been a drastic reorganization in the taxonomic classifications of Rickettsial organisms within the past 20 years. Generally, these organisms are grouped according to morphology, ecology, epidemiology, and clinical characteristics.[2] Under the previous taxonomic organization, the order contained 2 families; Family Rickettsialaceae, and Family Ehrlicheae. In the dramatic reorganization that occurred in 2001, the family Ehrlichiaceae was replaced by family Anaplasmaceae, and via molecular phylogenetic analyses, the genera within these classes were redistributed based on genetic similarities.[1] The current taxonomic organization includes the Genera Anaplasama, Ehrlichia, Wolbachia, and Neorickettsia within the Family Anaplasmaceae, and the Genera Rickettsia and Orientia within the Family Rickettsiaceae.[2]
Anaplasma bovis is currently one of 6 recognized species within the Genus Anaplasma. Other members of this genus include the species A. phagocytophilum, A. marginale, A. platys, A. ovis, and A. centrale[7]
Morphological Characteristics
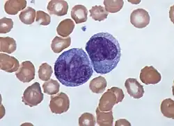
.jpg)
Anaplasma bovis is a gram negative obligate intracellular bacteria.[8] The bacteria lives within the mononuclear cells of cattle, specifically monocytes. When the bacteria is suspected you can take a blood smear and observe the cells for presence of A. bovis within. Commonly observed forms on a blood smear are small spherical bodies within monocytes that can measure from 0.5 to 6 μm.[9] The morulae have acidophilic shades including pale red, dark purple, light purple and pink. A study by Prasath, N.B. et, al. showed that about 80% of monocytes contained inclusion bodies in an infected Jersey cow.
Epidemiology
Geographic Distribution
Anaplasma bovis has a large geographic distribution affecting many different countries across the world. It has been detected in Brazil, North America, Africa, Japan, China, Pakistan, Israel and Korea.[3][6] Anaplasma bovis has the highest reporting in cattle, goats, and wild deer.[7] Cattle and Buffalo have been infected by A. bovis in Africa, South America, the Middle East and Japan.[8] Geographic distribution is largely influenced by season, climate and weather due to changes in tick population and distribution.[10][11] A. bovis has been found across the world in many different countries, having a significant impact on animal production and the health of wildlife species. Research is limited on the prevalence and geographic distribution of A. bovis within specific countries, so provides an area for further development within the literature.
North Africa
DNA of A. bovis has been reported in domestic species such as cattle, sheep and goats.[12] The highest infection rate of A. bovis in North Africa is reported in sheep at 42.7% of the population.[13]
Japan and Korea
Anaplasma bovis has also been detected in deer from Japan and Korea. Research on the Japanese islands of Hokkaido and Honshu has shown the prevalence of A. bovis in Hemaphysalis longicornis ticks on Honshu island. Detection of A. bovis DNA was also found from blood samples of native wild deer on both islands.[14] Anaplasma bovis has also been detected in dogs and cats in Japan.[15][16]
China and Taiwan
Research has shown that A. bovis has been detected in areas of China. A study done in Chongqing, China determined that the prevalence of A. bovis within a sample population was 8.4% using blood sample collection and DNA extraction.[17] A. bovis has also been detected in small mammals in Taiwan.[18]
Canada
Although further research must be done to determine the prevalence of A. bovis in Canada, the bacteria has been isolated from D. andersoni type ticks in Southern Saskatchewan and Alberta.[19]
Israel
Research regarding the distribution of many tick vector pathogens in Israel has shown that A. bovis can be isolated from R. sanguineus and R. turanicus ticks.[20]
Pakistan
Anaplasma bovis was isolated in asymptomatic tick infested cattle by taking blood samples, detecting the presence of Anaplasma by PCR methods and then analyzing the positive samples for differences in genetics. The prevalence of A.bovis within the sample population was 7.78%.[21]
Transmission and Risk Factors
.jpg)
Anaplasma bovis is spread from host to host by tick vectors, specifically from the genera Ixodes, Dermacentor, Rhipicephalus, and Amblyomma.[2] The tick consumes a blood meal from an infected cattle host, taking up the bacteria. A. bovis can then be transmitted to a different animal when the tick goes on to take another blood meal from a susceptible bovine.[22]
In assessing risk factors for infection with Anaplasma, it was found that breed, location, sex, and season impact prevalence rates.[12] Exotic goat breeds were found to have higher prevalence rates when compared to indigenous breeds. In the summer, cattle and sheep have greater infections, compared to goats having greater infections in autumn.[12] Further, it was found that goats in a sub-humid area had significantly greater infections, and prevalence rate varied with differences in goat and sheep flocks.[13]
Virulence Factors
As an obligate intracellular pathogen, A. bovis exhibits cell and tissue tropism by preferentially infecting monocytes.[23] However, more specific virulence factors have not been identified,[20] and presentation of A. bovis in monocytes can vary.[9]
Clinical Significance
Cattle

Infection with Anaplasma bovis causes a disease known as monocytic anaplasmosis in cattle.[2] Infection is characterized by invasion of the organism into white blood cells called monocytes.[2] Infection with A. bovis in cattle is considered to be asymptomatic in most cases.[24] The OIE reports that A. bovis does not cause disease, however case reports of clinical illness do exist.[25][26] Clinical disease is most likely to be detected in calves.[2] Clinically apparent infection manifests as a febrile illness with enlarged prescapular lymph nodes, mucous discharge, and pale mucous membranes. Anaplasmosis is also known to be a production limiting disease resulting in decreased milk production and weight loss.[27] Other species of Anaplasma, most commonly A. marginale, are well documented to cause disease in cattle.[25]
Other species
Anaplasma species typically infect ruminants.[28] A. bovis may also infect various types of deer, buffalo, goats, cottontail rabbits, racoons, and dogs.[24][29] There is a case report in the literature of infection with A. bovis in a horse.[29] The horse presented with anorexia, low body condition, lethargy, and was febrile. A. bovis is not known to be transmissible to people and as such does not have zoonotic potential.[2]
DNA fragments of A. bovis have also been reported to be found in deer, raccoons, dogs, domestic cats, Hokkaido brown bear, and wildcats in Japan.[4]
Diagnosis, Prevention, and Treatment
Diagnosis of Anaplasma infections relies mainly on visual inspection of blood smears along with molecular methods such as PCR and ELISA.[25] On blood smears, bacterial inclusions within monocytes may be visible. Live vaccines against other species of Anaplasma exist, however due to the low pathogenicity of A. bovis, there is no specific vaccine for this species. Prevention of tick bites using environmental control and parasiticides helps to prevent transmission of the organism.[27] Tetracycline antibiotics are typically used to treat clinical anaplasmosis.[28]
References
- 1 2 Dumler JS, Barbet AF, Bekker CP, et al. (2001). "Reorganization of genera in the families Rickettsiaceae and Anaplasmataceae in the order Rickettsiales: unification of some species of Ehrlichia with Anaplasma, Cowdria with Ehrlichia and Ehrlichia with Neorickettsia, descriptions of six new species combinations and designation of Ehrlichia equi and 'HGE agent' as subjective synonyms of Ehrlichia phagocytophila". Int. J. Syst. Evol. Microbiol. 51 (Pt 6): 2145–65. doi:10.1099/00207713-51-6-2145. PMID 11760958.
- 1 2 3 4 5 6 7 8 9 10 Rymaszewska, A. (2008). "Bacteria of the genus Anaplasma – characteristics of Anaplasma and their vectors: a review" (PDF). Veterinarni Medicina. 53 (11): 573–584. doi:10.17221/1861-VETMED.
- 1 2 Park, Jinho; Han, Du-Gyeong; Ryu, Ji-Hyoung; Chae, Jeong-Byoung; Chae, Joon-Seok; Yu, Do-Hyeon; Park, Bae-Keun; Kim, Hyeon-Cheol; Choi, Kyoung-Seong (2018-03-12). "Molecular detection of Anaplasma bovis in Holstein cattle in the Republic of Korea". Acta Veterinaria Scandinavica. 60 (1): 15. doi:10.1186/s13028-018-0370-z. ISSN 0044-605X. PMC 5848521. PMID 29530058.
- 1 2 Ybañez, Adrian Patalinghug; Inokuma, Hisashi (November 2016). "Anaplasma species of veterinary importance in Japan". Veterinary World. 9 (11): 1190–1196. doi:10.14202/vetworld.2016.1190-1196. ISSN 0972-8988. PMC 5146296. PMID 27956767.
- ↑ Kuttler, K. L. (January 1984). "Anaplasma Infections in Wild and Domestic Ruminants: A Review". Journal of Wildlife Diseases. 20 (1): 12–20. doi:10.7589/0090-3558-20.1.12. ISSN 0090-3558. PMID 6716555. S2CID 29141199.
- 1 2 ATIF, FARHAN AHMAD (2016-03-02). "Alpha proteobacteria of genusAnaplasma(Rickettsiales: Anaplasmataceae): Epidemiology and characteristics of Anaplasmaspecies related to veterinary and public health importance". Parasitology. 143 (6): 659–685. doi:10.1017/s0031182016000238. ISSN 0031-1820. PMID 26932580. S2CID 24670345.
- 1 2 YBAÑEZ, Adrian Patalinghug; SASHIKA, Mariko; INOKUMA, Hisashi (2014). "The Phylogenetic Position of Anaplasma bovis and Inferences on the Phylogeny of the Genus Anaplasma". Journal of Veterinary Medical Science. 76 (2): 307–312. doi:10.1292/jvms.13-0411. ISSN 0916-7250. PMC 3982816. PMID 24189581.
- 1 2 Liu, Z., Ma, M., Wang, Z., Wang, J., Peng, Y., Li, Y., Guan, G., Luo, J., & Yin, H. (2012). Molecular survey and genetic identification of Anaplasma species in goats from central and southern China. Applied and environmental microbiology, 78(2), 464–470. doi:10.1128/AEM.06848-11
- 1 2 Prasath, N. B., Selvaraj, J., Jeyathilakan, N., Saravanan, M., Saravanan, M., Ahamad, D. B., and Sasikala, M. 2016. Occurrence of Anaplasma bovis (Ehrlichia bovis) with varying morphology in a crossbred cow in Tamilnadu, India. Indian J. Vet. Pathol. 40(2): 165-167.
- ↑ Estrada-Peña, A.; Acedo, C. Sánchez; Quílez, J.; Del Cacho, E. (2005-09-29). "A retrospective study of climatic suitability for the tick Rhipicephalus (Boophilus) microplus in the Americas". Global Ecology and Biogeography. 14 (6): 565–573. Bibcode:2005GloEB..14..565E. doi:10.1111/j.1466-822x.2005.00185.x. ISSN 1466-822X.
- ↑ Chevillon, Christine; de Garine-Wichatitsky, Michel; Barré, Nicolas; Ducornez, Sophie; de Meeûs, Thierry (2012-09-04). "Understanding the genetic, demographical and/or ecological processes at play in invasions: lessons from the southern cattle tick Rhipicephalus microplus (Acari: Ixodidae)". Experimental and Applied Acarology. 59 (1–2): 203–218. doi:10.1007/s10493-012-9602-5. ISSN 0168-8162. PMID 22945880. S2CID 4159.
- 1 2 3 Eisawi, Nagwa M.; El Hussein, Abdel Rahim M.; Hassan, Dina A.; Musa, Azza B.; Hussien, Mohammed O.; Enan, Khalid A.; Bakheit, Mohammed A. (2020-07-01). "A molecular prevalence survey on Anaplasma infection among domestic ruminants in Khartoum State, Sudan". Tropical Animal Health and Production. 52 (4): 1845–1852. doi:10.1007/s11250-019-02176-7. ISSN 1573-7438. PMID 31938957. S2CID 210196034.
- 1 2 Ben Said, Mourad; Belkahia, Hanène; Karaoud, Maroua; Bousrih, Maha; Yahiaoui, Mouna; Daaloul-Jedidi, Monia; Messadi, Lilia (September 2015). "First molecular survey of Anaplasma bovis in small ruminants from Tunisia". Veterinary Microbiology. 179 (3–4): 322–326. doi:10.1016/j.vetmic.2015.05.022. ISSN 0378-1135. PMID 26088935.
- ↑ Kawahara, Makoto; Rikihisa, Yasuko; Lin, Quan; Isogai, Emiko; Tahara, Kenji; Itagaki, Asao; Hiramitsu, Yoshimichi; Tajima, Tomoko (February 2006). "Novel Genetic Variants of Anaplasma phagocytophilum, Anaplasma bovis, Anaplasma centrale, and a Novel Ehrlichia sp. in Wild Deer and Ticks on Two Major Islands in Japan". Applied and Environmental Microbiology. 72 (2): 1102–1109. Bibcode:2006ApEnM..72.1102K. doi:10.1128/aem.72.2.1102-1109.2006. ISSN 0099-2240. PMC 1392898. PMID 16461655.
- ↑ Fukui, Yuichi; Inokuma, Hisashi (2019). "Subclinical Infections of Anaplasma phagocytophilum and Anaplasma bovis in Dogs from Ibaraki, Japan". Japanese Journal of Infectious Diseases. 72 (3): 168–172. doi:10.7883/yoken.jjid.2018.470. ISSN 1344-6304. PMID 30700657.
- ↑ Sasaki, Hiromi; Ichikawa, Yasuaki; Sakata, Yoshimi; Endo, Yasuyuki; Nishigaki, Kazuo; Matsumoto, Kotaro; Inokuma, Hisashi (December 2012). "Molecular survey of Rickettsia, Ehrlichia, and Anaplasma infection of domestic cats in Japan". Ticks and Tick-borne Diseases. 3 (5–6): 308–311. doi:10.1016/j.ttbdis.2012.10.028. ISSN 1877-959X. PMID 23168051.
- ↑ PLOS ONE Staff (2019-08-14). "Correction: Molecular epidemiology and risk factors of Anaplasma spp., Babesia spp. and Theileria spp. infection in cattle in Chongqing, China". PLOS ONE. 14 (8): e0221359. Bibcode:2019PLoSO..1421359.. doi:10.1371/journal.pone.0221359. ISSN 1932-6203. PMC 6693847. PMID 31412083.
- ↑ Masuzawa, Toshiyuki; Uchishima, Yoshiyuki; Fukui, Takashi; Okamoto, Yoshihiro; Pan, Ming-Jeng; Kadosaka, Teruki; Takada, Nobuhiro (2014). "Detection of Anaplasma phagocytophilum and Anaplasma bovis in Small Wild Mammals from Taichung and Kinmen Island, Taiwan". Japanese Journal of Infectious Diseases. 67 (2): 111–114. doi:10.7883/yoken.67.111. ISSN 1344-6304. PMID 24647253.
- ↑ Leppla, Norman C.; et al. (2008). "Rocky Mountain Wood Tick, Dermacentor andersoni Stiles (Acari: Ixodidae)". Encyclopedia of Entomology. pp. 3206–3208. doi:10.1007/978-1-4020-6359-6_3427. ISBN 978-1-4020-6242-1.
- 1 2 Harrus, S.; Perlman-Avrahami, A.; Mumcuoglu, K.Y.; Morick, D.; Eyal, O.; Baneth, G. (March 2011). "Molecular detection of Ehrlichia canis, Anaplasma bovis, Anaplasma platys, Candidatus Midichloria mitochondrii and Babesia canis vogeli in ticks from Israel". Clinical Microbiology and Infection. 17 (3): 459–463. doi:10.1111/j.1469-0691.2010.03316.x. ISSN 1198-743X. PMID 20636417.
- ↑ Iqbal, Naveed; Mukhtar, Muhammad Uzair; Yang, Jifei; Sajid, Muhammad Sohail; Niu, Qingli; Guan, Guiquan; Liu, Zhijie; Yin, Hong (2019-09-17). "First Molecular Evidence of Anaplasma bovis and Anaplasma phagocytophilum in Bovine from Central Punjab, Pakistan". Pathogens. 8 (3): 155. doi:10.3390/pathogens8030155. ISSN 2076-0817. PMC 6789598. PMID 31533303.
- ↑ Ueti, Massaro W.; Reagan, James O.; Knowles, Donald P.; Scoles, Glen A.; Shkap, Varda; Palmer, Guy H. (2007-06-01). "Identification of Midgut and Salivary Glands as Specific and Distinct Barriers to Efficient Tick-Borne Transmission of Anaplasma marginale". Infection and Immunity. 75 (6): 2959–2964. doi:10.1128/IAI.00284-07. ISSN 0019-9567. PMC 1932854. PMID 17420231.
- ↑ Zobba, Rosanna; Anfossi, Antonio G.; Pinna Parpaglia, Maria Luisa; Dore, Gian Mario; Chessa, Bernardo; Spezzigu, Antonio; Rocca, Stefano; Visco, Stefano; Pittau, Marco; Alberti, Alberto (January 2014). "Molecular Investigation and Phylogeny of Anaplasma spp. in Mediterranean Ruminants Reveal the Presence of Neutrophil-Tropic Strains Closely Related to A. platys". Applied and Environmental Microbiology. 80 (1): 271–280. Bibcode:2014ApEnM..80..271Z. doi:10.1128/AEM.03129-13. ISSN 0099-2240. PMC 3911010. PMID 24162569.
- 1 2 Goethert, H. K.; Telford, S. R. (2003-08-01). "Enzootic Transmission of Anaplasma bovis in Nantucket Cottontail Rabbits". Journal of Clinical Microbiology. 41 (8): 3744–3747. doi:10.1128/jcm.41.8.3744-3747.2003. ISSN 0095-1137. PMC 179860. PMID 12904385.
- 1 2 3 STEAR, M. J. (2005-02-22). "OIE Manual of Diagnostic Tests and Vaccines for Terrestrial Animals (Mammals, Birds and Bees) 5th Edn. Volumes 1 & 2. World Organization for Animal Health 2004. ISBN 92 9044 622 6. €140". Parasitology. 130 (6): 727. doi:10.1017/s0031182005007699. ISSN 0031-1820. S2CID 84187629.
- ↑ Priyanka, Mahadappa; Dhanalakshmi, H.; Rakesh, R. L.; Thimmareddy, P. M.; Narayana Bhat, M. (2016-12-09). "Monocytic anaplasmosis in a cow: a case report". Journal of Parasitic Diseases. 41 (3): 687–688. doi:10.1007/s12639-016-0867-1. ISSN 0971-7196. PMC 5555913. PMID 28848260.
- 1 2 "Anaplasmosis - an overview | ScienceDirect Topics". www.sciencedirect.com. Retrieved 2020-10-26.
- 1 2 "Anaplasmosis - Circulatory System". Merck Veterinary Manual. Retrieved 2020-11-04.
- 1 2 Seo, Min-Goo; Kwon, Oh-Deog; Kwak, Dongmi (2019-04-18). "Anaplasma bovis infection in a horse: First clinical report and molecular analysis". Veterinary Microbiology. 233: 47–51. doi:10.1016/j.vetmic.2019.04.024. ISSN 0378-1135. PMID 31176411. S2CID 145860037.