Acute proliferative glomerulonephritis
| Acute proliferative glomerulonephritis | |
|---|---|
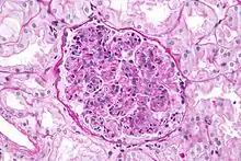
![]() | |
| Micrograph of a post-infectious glomerulonephritis. Kidney biopsy. PAS stain. | |
| Specialty | Nephrology |
| Symptoms | Hypertension[1] |
| Causes | Caused by Streptococcus bacteria [2] |
| Diagnostic method | Kidney biopsy, Complement profile[2] |
| Treatment | Low-sodium diet, Blood pressure management[2] |
| Frequency | 1.5 million (2015)[3] |
Acute proliferative glomerulonephritis is a disorder of the small blood vessels of the kidney. It is a common complication of bacterial infections, typically skin infection by Streptococcus bacteria types 12, 4 and 1 (impetigo) but also after streptococcal pharyngitis, for which it is also known as postinfectious glomerulonephritis (PIGN) or poststreptococcal glomerulonephritis (PSGN).[4] It can be a risk factor for future albuminuria.[5] In adults, the signs and symptoms of infection may still be present at the time when the kidney problems develop, and the terms infection-related glomerulonephritis or bacterial infection-related glomerulonephritis are also used.[6] Acute glomerulonephritis resulted in 19,000 deaths in 2013, down from 24,000 deaths in 1990 worldwide.[7]
Signs and symptoms
Among the signs and symptoms of acute proliferative glomerulonephritis are the following:
Causes
Acute proliferative glomerulonephritis (post-streptococcal glomerulonephritis) is caused by an infection with streptococcus bacteria, usually three weeks after infection, usually of the pharynx or the skin, given the time required to raise antibodies and complement proteins.[11][12] The infection causes blood vessels in the kidneys to develop inflammation, this hampers the renal organs ability to filter urine. Acute proliferative glomerulonephritis most commonly occurs in children.[12]
Pathophysiology
The pathophysiology of this disorder is consistent with an immune-complex-mediated mechanism, a type III hypersensitivity reaction. This disorder produces proteins that have different antigenic determinants, which in turn have an affinity for sites in the glomerulus. As soon as binding occurs to the glomerulus, via interaction with properdin, the complement is activated. Complement fixation causes the generation of additional inflammatory mediators.[2]
Complement activation is very important in acute proliferative glomerulonephritis. Apparently immunoglobulin (Ig)-binding proteins bind C4BP. Complement regulatory proteins (FH and FHL-1), may be removed by SpeB, and therefore restrain FH and FHL-1 recruitment in the process of infection.[13]
Diagnosis

The following diagnostic methods can be used for acute proliferative glomerulonephritis:[2]
- Kidney biopsy
- Complement profile
- Imaging studies
- Blood chemistry studies
Clinically, acute proliferative glomerulonephritis is diagnosed following a differential diagnosis between (and, ultimately, diagnosis of) staphylococcal and streptococcal impetigo. Serologically, diagnostic markers can be tested; specifically, the streptozyme test is used and measures multiple streptococcal antibodies: antistreptolysin, antihyaluronidase, antistreptokinase, antinicotinamide-adenine dinucleotidase, and anti-DNAse B antibodies.[2]
Differential diagnosis
The differential diagnosis of acute proliferative glomerulonephritisis is based on the following:
- Causes of acute glomerulonephritis:
- Nephrotic syndrome
- Causes of generalized edema:
- Malnutrition
- Malabsorption
- Renal affection
- Liver cell failure
- Right side heart failure
- Angioedema
Prevention

It is unclear whether or not acute proliferative glomerulonephritis (i.e., poststreptococcal glomerulonephritis) can be prevented with early prophylactic antibiotic therapy, with some authorities arguing that antibiotics can prevent development of acute proliferative glomerulonephritis[14]
Treatment
Acute management of acute proliferative glomerulonephritis mainly consists of blood pressure (BP) control. A low-sodium diet may be instituted when hypertension is present. In individuals with oliguric acute kidney injury, the potassium level should be controlled.[2] Thiazide or loop diuretics can be used to simultaneously reduce edema and control hypertension; however electrolytes such as potassium must be monitored. Beta-blockers, calcium channel blockers, and/or ACE inhibitors may be added if blood pressure is not effectively controlled through diureses alone.[2]
Epidemiology
Acute glomerulonephritis resulted in 19,000 deaths in 2013 down from 24,000 deaths in 1990.[7]
References
- 1 2 3 Surgeons, American Academy of Orthopaedic; Physicians, American College of Emergency (2009-11-13). Critical Care Transport. Jones & Bartlett Learning. p. 959. ISBN 9780763712235. Archived from the original on 2024-04-28. Retrieved 2024-04-28.
- 1 2 3 4 5 6 7 8 Acute Poststreptococcal Glomerulonephritis Workup at eMedicine
- ↑ GBD 2015 Disease and Injury Incidence and Prevalence Collaborators (October 2016). "Global, regional, and national incidence, prevalence, and years lived with disability for 310 diseases and injuries, 1990-2015: a systematic analysis for the Global Burden of Disease Study 2015". Lancet. 388 (10053): 1545–1602. doi:10.1016/S0140-6736(16)31678-6. PMC 5055577. PMID 27733282.
- ↑ Baltimore RS (February 2010). "Re-evaluation of antibiotic treatment of streptococcal pharyngitis". Curr. Opin. Pediatr. 22 (1): 77–82. doi:10.1097/MOP.0b013e32833502e7. PMID 19996970. S2CID 13141765.
- ↑ White AV, Hoy WE, McCredie DA (May 2001). "Childhood post-streptococcal glomerulonephritis as a risk factor for chronic renal disease in later life". Med. J. Aust. 174 (10): 492–6. doi:10.5694/j.1326-5377.2001.tb143394.x. PMID 11419767. S2CID 23172247. Archived from the original on 2012-02-18. Retrieved 2008-08-12.
- ↑ Nasr SH; Radhakrishnan J; D'Agati VD (May 2013). "Bacterial infection-related glomerulonephritis in adults". Kidney Int. 83 (5): 792–803. doi:10.1038/ki.2012.407. PMID 23302723.
- 1 2 GBD 2013 Mortality Causes of Death Collaborators (January 2015). "Global, regional, and national age–sex specific all-cause and cause-specific mortality for 240 causes of death, 1990–2013: a systematic analysis for the Global Burden of Disease Study 2013". The Lancet. 385 (9963): 117–171. doi:10.1016/S0140-6736(14)61682-2. ISSN 0140-6736. PMC 4340604. PMID 25530442.
- ↑ Tasic, Velibor (2008). "Postinfectious Glomerulonephritis". Comprehensive Pediatric Nephrology. pp. 309–317. doi:10.1016/B978-0-323-04883-5.50026-X. ISBN 978-0-323-04883-5.
- ↑ Wilkiins, Lippincott Williams & (2015-01-16). Handbook of Signs & Symptoms. Lippincott Williams & Wilkins. ISBN 9781496310545. Archived from the original on 2024-04-28. Retrieved 2024-04-28.
- ↑ Garfunkel, Lynn C.; Kaczorowski, Jeffrey; Christy, Cynthia (2007-07-05). Pediatric Clinical Advisor: Instant Diagnosis and Treatment. Elsevier Health Sciences. p. 223. ISBN 9780323070584. Archived from the original on 2023-01-11. Retrieved 2024-04-28.
- ↑ Marianne Gausche-Hill, Susan Fuchs, Loren Yamamoto, American Academy of Pediatrics, American College of Emergency Physicians. "APLS: The Pediatric Emergency Medicine Resource". Jones & Bartlett Learning; 2004.
- 1 2 "Post-streptococcal glomerulonephritis (GN): MedlinePlus Medical Encyclopedia". www.nlm.nih.gov. Archived from the original on 2021-01-26. Retrieved 2015-10-31.
- ↑ Rodríguez-Iturbe, B.; Batsford, S. (June 2007). "Pathogenesis of poststreptococcal glomerulonephritis a century after Clemens von Pirquet". Kidney International. 71 (11): 1094–1104. doi:10.1038/sj.ki.5002169. PMID 17342179.
- ↑ Rodriguez-Iturbe, Bernardo; Musser, James M. (October 2008). "The Current State of Poststreptococcal Glomerulonephritis". Journal of the American Society of Nephrology. 19 (10): 1855–1864. doi:10.1681/ASN.2008010092. PMID 18667731.
Further reading
- Group A Streptococcal Infections - National Institute of Allergy and Infectious Diseases
- Wilkins, Lippincott Williams & (2004-01-01). Rapid Assessment: A Flowchart Guide to Evaluating Signs and Symptoms. Lippincott Williams & Wilkins. ISBN 9781582552729.
