Imagistică medicală
| Imagistică medicală | |
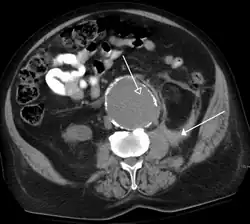
O scanare CT care prezintă anevrism de aortă abdominală ruptă | |
| ICD-10-PCS | B |
|---|---|
| ICD-9 | 87-88 |
| MeSH | 003952 D 003952 |
| OPS-301 code | 3 |
| MedlinePlus | 007451 |
Imagistica medicală este tehnica și procesul de imagistică a interiorului unui corp pentru analize clinice și intervenții medicale, precum și reprezentarea vizuală a funcției unor organe sau țesuturi (fiziologie). Imagistica medicală urmărește să dezvăluie structurile interne ascunse de piele și oase, precum și să diagnosticheze și să trateze boala. Imagistica medicală stabilește, de asemenea, o bază de date cu anatomie și fiziologie normale pentru a face posibilă identificarea anomaliilor. Deși imagistica organelor și țesuturilor îndepărtate poate fi efectuată din motive medicale, astfel de proceduri sunt de obicei considerate parte a patologiei în loc de imagistica medicală.
Imagistica medicală folosește metode fizice pentru a diagnostica bolile. Subramuri sunt:
- Radiologie convențională (folosește raze x).
- Ecografia (sonografia): folosește un emițător-receptor de ultrasunete. Nu iradiază (avantaj față de radiologia convențională) însă are limite
- Radiologia Osteo-articulară
- Radiologie Pediatrică (patologia copilului)
- Radiologia Sistemului Nervos
- Senologia
Radiologia Intervențională
- Angiografie (vase de sange)
- Histero-salpingo-grafie (aparat reproducător feminin)
Inițial imagistica medicală clinică desemna metode radiologice de investigare medicală. Descoperirile ulterioare realizate în domeniul bio-fizicii au dus la diversificarea metodelor de investigare medicală. S-a urmărit punerea la punct a unor metode de investigație mai puțin invazive în clinica medicală. Totodată, paraclinic, au fost concepute instrumente care realizează măsurători ale însușirilor fizico-chimice în preparatele biologice.
O gamă largă de instrumente de investigare medicală se axează pe măsurarea intensității efectului pe care îl induce o anumită caracteristică fizică sau chimică (inabordabilă direct) asupra unui parametru (accesibil aparatelor de măsură). Se obțin astfel date importante cu privire la natura preparatului biologic studiat. Nu totdeauna se obțin imagini. Uneori se obțin liste de valori. Alteori imagini de spectru.
Rezultatul investigațiilor realizate apare sub diferite aspecte, mai mult sau mai puțin comprehensibile. Aici apare necesitatea imagisticii medicale. Sunt folosite metode complexe de amplificare, evaluare și comparare a rezultatelor individuale în vederea cartografierii înregistrărilor multiple. Prin urmare este reprezentat vizual rezultatul unor măsurători secvențiale.
