Coastă (anatomie)
| Coastă | |
![]() Detaliul unei singure coaste umane | |
![]() Cutia toracică umană(Source: Gray's Anatomy of the Human Body, 20th ed. 1918) | |
| Detalii | |
|---|---|
| Latină | costae |
| Parte din | bones of thorax[*] |
| Resurse externe | |
| Gray's | p.124 |
| TA | A02.3.01.001 A02.3.02.001 |
| FMA | 7574 |
| Terminologie anatomică | |
Coastele sunt oase-perechi, de obicei arcuite și unite cu coloana vertebrală, împreună cu care formează baza scheletului axial. Sunt proprii animalelor vertebrate (incl. omului). Coastele se împart în două categorii, după animalele la care apar:
- inferioare: caracteristice pentru majoritatea peștilor, amfibiilor apode, reptilelor, păsărilor și mamiferelor, la care delimitează lateral cavitatea corpului, protejând organele interne;
- superioare: caracteristoce amfibiilor caudate și unor specii de pești – sunt situate în membrana orizontală ce desparte musculatura dorsală de cea ventrală și servesc drept sprijin mușchilor.
Coastele adevărate (unite direct cu sternul) și cele false (articulate indirect cu sternul printr-un cartilaj comun) sunt caracteristice păsărilor și mamiferelor. Omul (Homo sapiens) posedă 12 perechi de coaste, dintre care 7 adevărate, 3 false și 2 nearticulate cu sternul (flotante).
Anatomia umană
Detalii coaste
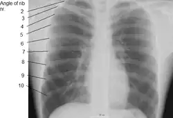
Coastele umane sunt oase plate care fac parte din cutia toracică pentru a ajuta la protejarea organelor interne. Oamenii au de obicei 24 de coaste, în 12 perechi.[1] 1 din 500 de persoane au o coastă suplimentară cunoscută sub numele de coasta cervicală. Toate sunt atașate la partea din spate la vertebrele toracice și sunt numerotate de la 1 la 12 în funcție de vertebrele la care se atașează. Prima coastă este atașată vertebrei toracice 1 (T1). În partea din față a corpului, majoritatea coastelor sunt unite de cartilajul costal la stern. Coastele se conectează la vertebrele de la articulațiile costovertebrale.[2]
Părțile unei coaste includ capul, gâtul, corpul (sau „arborele”), tuberculul și unghiul.
capul coastei se află lângă o vertebră. Coastele se conectează la vertebre cu două articulații costovertebrale, una pe cap și una pe gât. Capul coastei are o regiune superioară și o regiune articulată inferioară, separată de o creastă. Acestea se articulează cu superior și fațeta costală inferioară de pe vertebrele de legătură.[3] Creasta conferă atașament la ligamentul intra-articulat care unește coasta la vertebra aceluiași număr, la discul intervertebral. Un alt ligament, ligament radiat se alătură capului coastei atât corpului vertebrei superioare, cât și corpului vertebrei inferioare. Partea de mijloc mai mică a ligamentului se conectează la discul intervertebral. Această articulație plană este cunoscută sub numele de articularea capului coastei.
Cealaltă articulație costovertebrală este cea dintre tuberculul de pe gât și procesul transversal al vertebrei toracice de îmbinare a aceluiași număr de coastă, iar acest lucru este cunoscut sub numele de articulația costotransversă. Ligamentul costotransvers superior se atașează de la fațeta non-articulară a tuberculului la procesul transversal al vertebrei.
Gâtul coastei este o parte aplatizată care se întinde lateral de la cap. Gâtul are aproximativ 3 cm lungime. Suprafața sa anterioară este plană și netedă, în timp ce posteriorul său este perforat de numeroase foramina și suprafața sa aspră, pentru a da atașament la ligamentul gâtului. Marginea sa superioară prezintă o creasta aspră („crista colli costae”) pentru atașarea anterior ligamentcototransvers; bordura sa inferioară este rotunjită.
Un tubercul de coastă, pe suprafața posterioară a gâtului coastei, are două fațete (suprafețe) una articulată și una nepultifică. Fațeta articulară, este mică și ovală și este cea mai joasă și mai medială dintre cele două, și se conectează la fațeta costală transversală de pe vertebra toracică a aceluiași număr de coaste.[3] Fațeta transversală costală se află la sfârșitul procesului transversal al celei inferioare a celor două vertebre la care este conectat capul. Porțiunea non-articulară este o elevație brută și oferă atașament la ligamentul tuberculului. Tuberculul este mult mai proeminent în coastele superioare decât în coastele inferioare.
Cutia toracică

Primele șapte seturi de coaste, cunoscute sub numele de "coaste adevărate", sunt atașate la stern de cartilajele costale. Prima coastă este unică și mai ușor de distins decât alte coaste. Este un os scurt, plat, în formă de C, și se atașează la manubriu.[4] Atașamentul vertebral poate fi găsit chiar sub gât la prima vertebră toracică, iar cea mai mare parte a acestui os poate fi găsită deasupra nivelului claviculei. Coastele de la 2 la 7 au un aspect mai tradițional și devin mai lungi și mai puțin curbate pe măsură ce progresează în jos.[5] Următoarele cinci seturi sunt cunoscute sub numele de „coaste false”, trei dintre acestea având o legătură cartilaginoasă comună cu sternul, în timp ce ultimele două (coastele unsprezece și douăsprezece) sunt denumite coaste plutitoares.[1] Ele sunt atașate numai la vertebre și nu la stern sau cartilaj care iese din stern.
În general, coastele umane cresc în lungime de la coasta 1 până la 7 și scad din nou în lungime până la coasta 12. Împreună cu această schimbare de dimensiune, coastele devin progresiv oblice (înclinate) de la coasta 1 la 9, apoi mai puțin înclinat până la coasta 12.[5]
Cutia toracică este separată de abdomenul inferior prin diafragma toracică care controlează respirația. Când diafragma se contractă, cavitatea toracică este extinsă, reducând presiunea intratoracică și aducând aer în plămâni. Acest lucru se întâmplă printr-una dintre cele două acțiuni (sau un amestec al celor două): atunci când coastele inferioare la care se conectează diafragma sunt stabilizate de mușchi și tendonul central este mobil, atunci când mușchiul contractează tendonul central este tras în jos, comprimând cavitatea de dedesubt și extinzând cavitatea toracică în jos. Când tendonul central este stabilizat și coastele inferioare sunt mobile, o contracție a diafragmei ridică coastele, care funcționează împreună cu alți mușchi pentru a extinde indentul toracic în sus.
Referințe
- 1 2 Sly, Peter D.; Collins, Rachel A. (), Taussig, Lynn M.; Landau, Louis I., ed., „Chapter 7 - Applied Clinical Respiratory Physiology”, Pediatric Respiratory Medicine (Second Edition) (în engleză), Philadelphia: Mosby, pp. 73–88, doi:10.1016/b978-032304048-8.50011-6, ISBN 978-0-323-04048-8, accesat în
- ↑ Moore, Keith L.; Dalley, Arthur F.; Agur, Anne M. R. (). Clinically Oriented Anatomy (ed. 8th). Philadelphia: Wolters Kluwer. pp. 293–297. ISBN 9781496347213.
- 1 2 Netter, Frank (). Atlas of human anatomy (ed. Sixth). Saunders. pp. 183–184. ISBN 9781455704187.
- ↑ Sly, Peter D.; Collins, Rachel A. (), Taussig, Lynn M.; Landau, Louis I., ed., „Chapter 7 - Applied Clinical Respiratory Physiology”, Pediatric Respiratory Medicine (Second Edition) (în engleză), Philadelphia: Mosby, pp. 73–88, doi:10.1016/b978-032304048-8.50011-6, ISBN 978-0-323-04048-8, accesat în
- 1 2 Saladin, K. S. (2010). Anatomy and Physiology: The Unity of Form and Function (5th ed.). New York, NY: McGraw-Hill.
Vezi și
Materiale media legate de Coastă (anatomie) la Wikimedia Commons
- Fractura coastei
- Îndepărtarea coastei


