Talus
Talusul (Talus) sau astragalul este unul dintre cele două oase mai mari ale tarsului. Tarsul este un masiv osos care ocupă jumătatea posterioară a piciorului și este alcătuit din șapte oase dispuse în două rânduri: în rândul posterior se află două oase suprapuse: talusul (astragalul) deasupra și calcaneul dedesubt; rândul anterior este format din cinci oase: navicularul, cuboidul și trei cuneiforme.
| Talus | |
![]() Talusul (în roșu) | |
| Detalii | |
|---|---|
| Latină | Talus, Astragalus |
| Parte din | Tars |
| Resurse externe | |
| Gray's | p.266 |
| Testut | p.322 |
| MeSH | A02.835.232.043.300.710.780 |
| TA | A02.5.10.001 |
| FMA | 9708 |
| Termeni anatomici ai oaselor | |
Talusul este un os neregulat, cubic, alungit antero-posterior; are o masă principală - corpul talusului, un gât - colul talusului și un cap - capul talusului. Fiind un os cuboid, talusul are 6 fețe: 1. fața superioară în formă de trohlee - trohleea talusului cu o fața articulară - fața superioară a trohleei - care se articulează cu fața articulară inferioară a epifizei distale a tibiei, cu maleola medială și maleola laterală; 2. fața inferioară cu trei fețișoare articulare pentru calcaneu (fața calcaneană anterioară, fața calcaneană mijlocie și fața calcaneană posterioară); între fața calcaneană posterioară și cea mijlocie se află un șanț - șanțul talusului; 3. fața laterală cu o fețișoara maleolară laterală care se articulează cu fața corespunzătoare de pe maleola fibulară; inferior de ea se află procesul lateral al talusului; 4. fața medială cu o fețișoară maleolară medială pentru articularea cu fațeta corespunzătoare a maleolei tibiale; 5. fața anterioară formată din colul talusului și capul talusului cu o fața articulară naviculară care se articulează cu osul navicular; 6. fața posterioară pe care se află procesul posterior al talusului străbătut de șanțul tendonul mușchiului flexor al halucelui; acest șanț este delimitat de un tubercul medial și un tubercul lateral; tuberculul lateral este mai mare și se prezintă adesea ca un os independent - osul trigon - legat de talus prin ligamente.
Talusul se articulează superior cu gamba (tibia și fibula) prin intermediul articulației talo-crurale, inferior cu fața superioară a calcaneului prin intermediul articulației talo-calcaneene (subtalare) și anterior cu osul navicular și fețele articulare talare ale calcaneului prin articulația talo-calcaneo-naviculară. Făcând parte din articulația gleznei (talocrurală), rolul său este acela de a transmite toată greutatea corporală de la osul principal al gambei, tibia, în jos spre calcaneu și anterior spre degete.
Deși de el nu se prinde (nu se inseră) nici un mușchi prezintă o mulțime de inserții ligamentare. Este acoperit pe o suprafață de 60% de cartilaj și are o vascularizație deficitară (asigurată de ramuri provenite din cele 3 artere principale ale gambei: artera tibială posterioară, artera tibială anterioară și artera peronieră), și ca urmare traumatismele talusului se pot însoți de osteonecroza corpului talusului. Inervația sa este asigurată prin ramuri ale nervilor fibular profund, tibial, safen și sural.
Din punct de vedere al anatomiei comparate, talusul omului corespunde osului tibial (astragalul) și osului intermediar de la vertebratele tetrapode.
Anatomia descriptivă a talusului
Capul talusului



Capul talusului (Caput tali) este segmentul distal (anterior) rotunjit al talusului fiind unit de corpul talusului prin colul talusului. El se articulează înainte cu osul navicular, iar în jos cu calcaneul și se află în contact cu ligamentul calcaneonavicular plantar și partea calcaneonaviculară a ligamentul bifurcat. Capul talusului este oval, cu axul mare transversal. El are 2 fețe: anterioară și inferioară (plantară).[1][2][3][4][5][6][7][8]
Fața anterioară a capului talusului prezintă o față convexă, ovală și netedă numită fața articulară naviculară care se articulează cu fața articulară posterioară a osului navicular.[9]
Fața inferioară (plantară) a capului talusului prezintă 3 fetișoare articulare, separate prin proeminențe netede: fața articulară calcaneană anterioară, fața articulară a ligamentului calcaneonavicular plantar și fața articulară a părții calcaneonaviculare a ligamentului bifurcat.[9]
Colul talusului
Colul talusului (Collum tali) sau colul astragalului, colierul astragalian Farabeuf este segmentul îngustat, înclinat medial, care unește capul talusului și corpul talusului. Are o suprafață rugoasă, cu iregularități, pentru inserții ligamentare. El prezintă 4 fețe: superioară, laterală, medială și inferioară (plantară).[1][2][3][4][10]
Fața superioară a colului talusului este neregulată, curbată medial, ciuruită de orificii vasculare. Pe ea se inseră anterior ligamentul talonavicular dorsal (Ligamentum talonaviculare). La persoanele care stau regulat în genuflexiune (pe vine) poate adesea să se dezvolte în porțiunea dorso-laterală a colului talusului o fetișoară, numită "fațetă de genuflexiune".[9]
Pe fața laterală a colului talusului se inseră ligamentul talofibular anterior (Ligamentum talofibulare anterius), această inserție se extinde pe marginea anterioară adiacentă a suprafeței laterale a corpului talusului.[9]
Fața inferioară (plantară) a colului talusului are un șanț adânc în partea sa medială, șanțul talusului (Sulcus tali). Șanțul talusului împreună cu șanțul calcaneului formează sinusul tarsului (Sinus tarsi) în care se află ligamentul talocalcanean interosos (Ligamentum talocalcaneum interosseum) și ligamentul cervical, aceste 2 ligamente se inseră pe fața inferioară a colului talusului. Pe partea medială a feței inferioare a colului, înaintea șanțului talusului se află fața articulară calcaneană mijlocie, care se articulează cu fața articulară talară mijlocie a calcaneului.[9][11]
Fața medială a colului talusului este rugoasă și conține numeroase orificii vasculare.[9]
Corpul talusului
Corpul talusului (Corpus tali) este porțiunea posterioară a talusului care reprezintă aproximativ trei sferturi din acest os. Pe el se află câteva fetișoare articulare prin care se articulează cu calcaneul, tibia și fibula. Corpul talusului este separat de capul talusului prin colul talusului. Are o formă cuboidală cu 5 fețe: superioară, inferioară (plantară), laterală, medială și posterioară. Pe fața superioară se află trohleea talusului, iar pe fața inferioară 2 fetișoare articulare pentru calcaneu, una anterioară, fața articulară calcaneană mijlocie, și alta posterioară, fața articulară calcaneană posterioară, separate de șanțul talusului. Pe fața laterală se află fața maleolară laterală care se articulează cu maleola laterală a fibulei, iar pe fața medială se află fața maleolară medială care se articulează cu maleola medială a tibiei. Pe fața posterioară a corpului talusului se află procesul posterior al talusului cu 2 tuberculi: tubercul medial și tubercul lateral, separați prin șanțul tendonului mușchiului flexor lung al halucelui.[1][2][3][4][12]
Fața superioară a talusului

Fața superioară a talusului este formată în cea mai mare parte de partea superioară a corpului talusului, pe care se află o suprafață articulară netedă în formă de scripete, numită trohleea talusului. Anterior de trohlea talusului, fața superioară a talusului este formată de către o mică suprafață - partea superioară a colului.[1][2][3][4]

1 - Capul talusului; 2 - Fața superioară a colului talusului; 3 - Fața maleolară laterală; 4 - Marginea laterală a trohleei; 5 - Fața superioară a trohleei; 6 - Marginea medială a trohleei; 7 - Șanțul median antero-posterior; 8 - Fața maleolară medială; 9 - Găuri vasculare; 10 - Procesul lateral.
Fața superioară a corpului talusului
Fața superioară a corpului talusului este ocupată în întregime de trohleea talusului, care este acoperită de o fațetă articulară, fața superioară a trohleei talusului.[5]
Trohleea talusului (Trochlea tali) este o suprafață articulară în formă de scripete, convexă dinainte înapoi și ușor concavă transversal, care ocupă partea superioară a corpului talusului. Ea este acoperită de o fațetă articulară, numită fața superioară a trohleei talusului, care corespunde cu fața articulară inferioară tibială (Facies articularis inferior tibiae) de pe epifiza distală a tibiei. Trohleea talusului se prelungește medial cu fața maleolară medială a talusului, care corespunde cu fața articulară a maleolei mediale a tibiei (Facies articularis malleoli medialis tibiae) și lateral cu fața maleolară laterală a talusului, care corespunde cu fața articulară a maleolei laterale a fibulei (Facies articularis malleoli lateralis fibulae). Ansamblul, format de fața superioară a trohleei, fața maleolară medială a talusului și fața maleolară laterală a talusului, se articulează cu scoaba gambieră, formată de fața articulară inferioară a tibiei, față articulară a maleolei mediale și cea a maleolei laterale în cadrul articulației talocrurale (Articulatio talocruralis).[1][8][9][13]

În galben - suprafețele articulare acoperite de cartilaj hialin. 1 - Fața articulară naviculară; 2 - Capsula articulară a articulației talocalcaneonaviculare; 3 - Ligamentul talonavicular dorsal; 4 - Versantul anterior al crestei cervicală transversală; 5 - Segment osos peste care alunecă rădăcina medială a retinaculului inferior al extensorilor piciorului; 6 - Versantul posterior al crestei cervicală transversală; 7 - Găuri vasculare; 8 - Fosa cribriformă; 9 - Capsula articulară a articulației talocrurale; 10 - Creasta cervicală transversală; 11 - Fața superioară a trohleei talusului; 12 - Șanțul median antero-posterior al trohleei; 13 - Povârnișul medial al trohleei; 14 - Povârnișul lateral al trohleei; 15 - Marginea anterioară a feței superioare a trohleei; 16 - Marginea laterală a feței superioare a trohleei; 17 - Marginea posterioară a feței superioare a trohleei; 18 - Marginea medială a feței superioare a trohleei; 19 - Fața maleolară laterală a talusului; 20 - Procesul lateral al talusului; 21 - Șanțulul de sub fața maleolară laterală; 22 - Fațetă triunghiulară a trohleei formată de bifurcația marginii laterale a trohleei talusului; 23 - Ligamentul talofibular posterior; 24 - Tuberculul lateral al procesului posterior; 25 - Șanțul tendonului mușchiului flexor lung al halucelui; 26 - Tuberculul medial al procesului posterior; 27 - Fața maleolară medială a talusului; 28 - Unghiul de declinație (unghi în plan orizontal: corp—col—cap).
Fața superioară a trohleei talusului (Facies superior trochleae tali) este o voluminoasă suprafață articulară, în formă de scripete aflată pe fața superioară a trohleei talusului. Ea ocupă 2/3 (adică cea mai mare parte) a suprafeței superioare a talusului, și are un aspect regulat neted, fără asperități; ea privește în sus și este acoperită de un cartilaj hialin. Această fața puțin mai lată în partea sa anterioară decât în partea sa posterioară, descrie un arc de circa 120°, corespunde cu fața inferioară a pilonului tibial și este invers configurată față de fața articulară inferioară a tibiei (Facies articularis inferior tibiae) de pe epifiza distală a tibiei, cu care se articulează, formând articulația talocrurală (Articulatio talocruralis) de tip ginglim. Fața superioară a trohleei talusului are forma unui scripete patrulater cu axul transversal, convex dinainte înapoi (în sens antero-posterior), cu o rază sagitală a convexității de 20 mm în mediu, dar ușor concav în sens transversal, mai mult lung decât lat, care se strâmtează dinainte-înapoi, având marginea anterioară mai lungă. Aceste curburi talare au structuri omoloage de îmbucare pe epifiza distală a tibiei. Elementele acestui scripete sunt următoarele: două povârnișuri (medial și lateral), un șanț (gât) median antero-posterior și patru margini (medială, laterală, anterioară și posterioară). Șanțul (gâtul) median este îndreptat antero-posterior și mai apropiat de marginea medială decât de marginea laterală, ceea ce face ca segmentul lateral al feței să fie mai lat decât cel medial. Cele 2 povârnișuri ale scripetului, medial și lateral, sunt ușor înclinate unul spre celălalt; aceste 2 povârnișuri sunt inegale, povârnișul lateral fiind mai mare, mai lat și mai înalt decât cel medial. Marginea anterioară a suprafeței trohleare este mai lungă decât cea posterioară și este variabilă în contur: aceasta poate fi dreaptă, ușor concavă, convexă în întregime sau are forma unui "S" alungit. Marginea medială și marginea laterală sunt semicirculare și au aspectul unor segmente de cerc. Marginea medială a suprafeței trohleară are aproximativ o direcție sagitală (cu sens antero-posterior), este dreaptă, puțin mai joasă decât cea laterală și netedă în contur. Marginea laterală este îndreptată oblic anterior și lateral și este puțin mai înaltă decât cea medială, acesta este, de asemenea, mai ascuțită în segmentul mijlociu și, prin urmare, mai pronunțată. Din cauza oblicității marginii laterale, suprafața trohleară are o formă de pană și este mai îngustă posterior. Marginea laterală a trohleei talusului se lărgește în partea sa posterioara, pentru a forma un fel de fațetă triunghiulară (Facies articularis intermedia corporis tali) cu baza postero-inferioară.[1][5][8][9][13][14][15][16][17][18]
Fața superioară a colului talusului

1 - Fața articulară naviculară; 2 - Colul talusului; 3 - Trohleea talusului; 4 - Tuberculul medial al procesului posterior; 5 - Șanțul tendonului mușchiului flexor lung al halucelui; 6 - Tuberculul lateral al procesului posterior; 7 - Procesul lateral; 8 - Fațeta de extensie medială (Facies articularis interna collae tali); 9 - Fațeta de extensie laterală (Facies articularis externa collae tali).
Fața superioară (dorsală) a colului talusului se află anterior de trohleea talusului și ocupă 1/3 din fața superioară a talusului și este limitată anterior de fața articulară naviculară de pe capul talusului și posterior de marginea anterioară a trohleei. Ea este mai lată decât lungă și este traversată de o creasta cervicală transversală (colierul transversal Farabeuf), care merge paralel cu fața articulară a capului talusului. Fața superioară a colului este neregulată, curbată medial, și prezintă, imediat înaintea șanțului trohleei, o depresiune mai mult sau mai puțin profundă concavă, numită fosa cribriformă, ciuruită de găuri vasculare, unde se așază partea anterioară a tibiei în mișcărilor de flexiune a gambei pe picior. Parte medială a feței superioare a colului este înclinată medial datorită rotirii capului talusului. Pe versantul posterior al crestei cervicală transversală se inseră capsula articulară a articulației talocrurale, iar pe versantul său anterior capsula articulară a articulației talocalcaneonaviculare și ligamentul talonavicular dorsal (Ligamentum talonaviculare, sin. Ligamentum talonaviculare dorsale). Capsula articulației talocrurale se inseră aproape de fețele maleolare laterală și medială și distal față de fosa cribriformă, care rămâne intraarticulară. Capsula articulației talocalcaneonaviculare se inseră transversal de-a lungul feței articulare naviculare a capului. Pe partea laterală a feței superioare și pe fața laterală a colului, capsulele articulațiilor talocrurale și talocalcaneonaviculare sunt separate printr-un segment osos proeminent sau neted, extraarticular, peste care alunecă rădăcina medială a retinaculului inferior al extensorilor piciorului (Retinaculum musculorum extensorum inferius pedis); o bursă poate fi găsită în acest loc.[5][8][9][14][15][16][17]
La persoanele care stau regulat în genuflexiune (pe vine sau în poziție ghemuită) poate adesea să se dezvolte pe fața superioară a colului talusului o fetișoară, numită "fațetă de ghemuire" sau "fațetă de genuflexiune" (în engleză: squatting facet, în franceză: facette d'accroupissement), care vine în contact cu marginea anterioară a epifizei distale a tibiei în timpul flexiunii dorsale exagerate a piciorului și poate fi dublă. Fațetă de genuflexiune se află în continuitate cu fața trohleară, este concavă anteroposterior și este îndreptată în sus și, uneori, înapoi; ea este situată cel mai adesea în porțiunea laterală a feței superioare a colului talusului, mai rar în porțiunea sa medială sau în centrul ei. Frecvența apariției fațetei de genuflexiune este de 26,6% în populația din India, 10-12% în populația vietnameză, 2% în populația europeană.[9][14][19][20][21][22][23][24][25]
Partea medială și laterală a feței articulare superioare a trohleei este adesea prelungită anterior pe colul talusului, formând 2 fațete de extensie, medială și laterală, care variază în dimensiune și formă. Fațeta de extensie medială (Facies articularis interna collae tali) a feței superioare a trohleei este convexă transversal și ușor concavă anteroposterior. Medial ea întotdeauna se continuă cu prelungirea anterioară a feței articulare maleolare mediale a talusului; cu toate acestea, inversul nu este adevărat. Frecvența apariției fațetei de extensie mediale a feței superioare trohleare este 11% în populația europeană și 55% în populația din India. Fațeta de extensie laterală (Facies articularis externa collae tali) se află pe porțiunea laterală a colului. Ea este netedă și bine delimitată. Marginea anterioară a ei este rotunjită și bine pronunțată. Posterior în unele cazuri, această fațetă este separată de fața superioară a trohleei printr-un șanț, în timp ce în alte cazuri nu există nici o distincție între ele. Frecvența apariției fațetei de extensie laterale a feței superioare trohleare este 17% în populația europeană și 54,6% în populația din India. Față de extensie laterală trebuie diferențiată de fațetă de genuflexiune. Față de extensie laterală continuă convexitatea feței trohleare. În timpul flexiunii dorsale, această fațetă va stabili un contact cu capătul inferior al epifizei distale a tibiei dar nu cu marginea sa anterioară.[14][16][21][22][26][27]
Fața anterioară a talusului
Fața anterioară a talusului prezintă capul talusului (Caput tali). Capul este o proeminență ovală, cu axul mare transversal. El prezintă o fața articulară naviculară. În jos capul se continuă lateral cu fața articulară calcaneană anterioară pentru calcaneu, iar medial cu fața articulară a ligamentului calcaneonavicular plantar, aceste 2 fețe articulare se află pe fața inferioară a talusului.[1][2][3][4]
Fața articulară naviculară (Facies articularis navicularis tali) este segmentul superior a suprafeței articulare anterioare a capului talusului. Ea este netedă, ovală, convexă și se articulează pe toată suprafața sa cu fața articulară posterioară a osului navicular (Os naviculare).[1][8][9][28]
Fața articulară a părții calcaneonaviculare a ligamentului bifurcat (Facies articularis partis calcaneonavicularis ligamenti bifurcati tali) este o fetișoară mică pe segmentul inferior a marginii laterale a feței articulare naviculare a capului talusului. Ea se află în contact cu fața medială a părții calcaneonaviculare a ligamentul bifurcat (Ligamentum bifurcatum). Partea calcaneonaviculară (sau porțiunea medială) a ligamentul bifurcat se numește ligamentul calcaneonavicular (Ligamentum calcaneonaviculare).[1][7][8][9][29][30][31]
Fața inferioară a talusului

Fața inferioară a talusului prezintă, dinainte înapoi, trei fețe articulare pentru articularea cu fețele articulare corespunzătoare ale calcaneului: fața articulară calcaneană anterioară, fața articulară calcaneană mijlocie și fața articulară calcaneană posterioară. Fețele articulare mijlocie și anterioară sunt adesea unite între ele. Între fața posterioară și cea mijlocie se află șanțul talusului.[1][2][3][4]
Fața inferioară a capului talusului
Fața articulară calcaneană anterioară a talusului (Facies articularis calcanea anterior tali) se află pe porțiunea anterolaterală a feței inferioare a capului talusului. Ea se continuă anterior (distal) și în sus cu fața naviculară a capului talusului și posterior cu fața articulară calcaneană mijlocie, cu care adesea fuzionează, dar poate fi separată de ea printr-o creastă. Uneori, există un șanț de adâncime variabilă între aceste 2 fețe; dacă șanțul este destul de adânc, are loc o separare aproape completă între fețele calcaneene mijlocie și anterioară; în cazuri rare, are loc o separare completă. Medial de fața articulară calcaneană anterioară se află fața articulară a ligamentului calcaneonavicular plantar; aceste două fețe articulare sunt delimitate de o creasta mică sau de o schimbare a direcției feței articulare calcaneene anterioare. Fața articulară calcaneană anterioară este mică, plană și are o formă aproape patrulateră sau ovală, iar curbura suprafeței sale diferă în mod evident de cea a feței naviculare. Ea corespunde cu fața articulară talară anterioară (Facies articularis talaris anterior calcanei) de pe față superioară (dorsală) a calcaneului cu care se articulează în cadrul articulației talocalcaneonaviculare.[1][8][9][14][32][33]

1 - Capul talusului; 2 - Fața articulară calcaneană anterioară; 3 - Fața articulară calcaneană mijlocie; 4 - Șanțul tendonului mușchiului flexor lung al halucelui; 5 - Fața articulară calcaneană posterioară; 6 - Șanțul talusului; 7 - Inserția ligamentului cervical al sinusului tarsului; 8 - Inserția planului anterior al ligamentului talocalcanean interosos; 9 - Inserția planului posterior al ligamentului talocalcanean interosos.
Fața articulară calcaneană mijlocie a talusului sau fața articulară calcaneană medie a talusului (Facies articularis calcanea media tali) este situată înaintea șanțului talusului și ocupă segmentul posteromedial al feței inferioare a capului talusului. Ea se află posterior de fața articulară calcaneană anterioară și fața articulară a ligamentului calcaneonavicular plantar. Este mai mare ca fața articulară calcaneană anterioară, are o suprafață ușor convexă, cu contur variabil: ovalar, eliptic, piriform sau pentagonal. Fața articulară calcaneană mijlocie corespunde cu fața articulară talară mijlocie a calcaneului (Facies articularis talaris media calcanei) de pe față superioară a sustentaculum tali, cu care se articulează în cadrul articulației talocalcaneonaviculare.[1][8][9][11][14][33]
Fața articulară a ligamentului calcaneonavicular plantar a talusului (Facies articularis ligamenti calcaneonavicularis plantaris tali) este o față articulară mare a capului talusului care se află în contact cu partea superioară (dorsală) a ligamentului calcaneonavicular plantar (Ligamentum calcaneonaviculare plantare). Această față articulară se află în porțiunea antero-medială a feței inferioară a talusului. Ea se se continuă în sus cu fața articulară naviculară a capului talusului, iar lateral de ea se află fața articulară calcaneană anterioară și fața articulară calcaneană mijlocie. Pe ligamentul calcaneonavicular plantar se sprijină capul talusului și greutatea corpului este transmisă ligamentului și prin el bolții plantare. Prin relaxarea ligamentului calcaneonavicular plantar capul talusului coboară, iar bolta plantară se reduce treptat putând chiar să dispară, ducând la formarea piciorului plat.[1][7][8][9][34]
Fața inferioară a colului talusului
Șanțul talusului (Sulcus tali) se află pe fața inferioară a colului talusului, între fața articulară calcaneană posterioară și fața articulară calcaneană mijlocie a talusului. Acest șanț orientat oblic postero-anterior și medio-lateral este rugos, mai strâmt în partea lui medială și mai lărgit lateral. Șanțul talusului împreună cu șanțul calcaneului (Sulcus calcanei) formează sinusul tarsului (Sinus tarsi) în care se află ligamentul talocalcanean interosos (Ligamentum talocalcaneum interosseum) și ligamentul cervical al sinusului tarsului.[1][8][9][35][36]
Fața inferioară a corpului talusului
Fața inferioară (plantară) a corpului talusului este ocupată de fața articulară calcaneană posterioară (Facies articularis calcanea posterior tali), situată înapoia șanțului talusului. Ea este mult mai mare și mai alungită ca fața articulară calcaneană mijlocie. Această fașă este plană sau ușor concavă transversal, dar foarte concavă în sens anteroposterior (sagital) cu axul mare (lung) orientat oblic anterolateral. Unghiul format de acest ax cu axul anteroposterior al talusului este în medie de 45º, maxim 50º și minim 26º. Fața articulară calcaneană posterioară are o formă ovală (ovalară) sau patrulateră (dreptunghiulară medial, și mai mult sau mai puțin ovală lateral) și privește oblic în jos și înapoi. Marginea anterioară (anteromediala) a feței articulare calcaneene posterioare este de obicei convexă și formează marginea posterioara a șanțului talusului; ea se îndreaptă oblic de la tuberculul medial al procesului posterior la suprafața anterioară a procesului lateral al talusului. Uneori, marginea anterioară este dreaptă sau are o configurație complexă. Marginea posterioară (posterolaterală) este dreaptă și paralelă cu axul lung. Marginile medială și laterală sunt scurte. Marginea medială este dreaptă și orientată posterolateral și sprijină procesul posterior al talusului. Marginea laterală este convexă și sprijină baza procesului lateral al talusului. Fața articulară calcaneană posterioară se prelungește posterior cu tubercul lateral al procesului posterior. Fața articulară calcaneană posterioară este acoperită cu cartilaj hialin și corespunde cu o fațeta similară care se găsește pe fața superioară a calcaneului, fața articulară talară posterioară a calcaneului (Facies articularis talaris posterior calcanei), cu care se articulează în cadrul articulației subtalare.[1][8][9][14][37][38]
Fața laterală a talusului

Fața laterală a talusului este împărțită în 2 părți: una anterioară, fața laterală a colului talusului și alta posterioară, fața laterală a corpului talusului, pe ultima se află o fața maleolară laterală care se articulează cu fața corespunzătoare de pe maleola fibulară; mai jos de ea se află procesul lateral al talusului.[1][2][3][4]
Fața laterală a colului talusului
Anterior de fața maleolară laterală și procesul lateral al talusului, fața laterală a talusului este constituită de fața laterală a colului talusului care măsoară doar 10 mm în înălțime. Ea este mai lată decât fața superioară a colului talusului și este destul de înfundată în raport cu planul feței maleolare laterale. Fața laterală a colului prezintă o ușoară concavitate și are aspectul unei proeminențe cu vârful rotunjit, orientată anteromedial, ce se întinde de la colțul anterolateral al trohleei și de la marginea anterioară a feței maleolare laterale și cea a procesului lateral până la fața articulară naviculară a capului talusului. Pe fața laterală a colului se află extremitatea laterală a crestei transversale a colului, care aici se bifurcă în două ramuri, una anterioară și alta posterioară; în contact cu corpul, această parte a colului este turtită și corespunde cu orificiul lateral al sinusului tarsului, vizibil pe fața inferioară. Pe ramura posterioară a acestei creste se inseră ligamentul talofibular anterior (Ligamentum talofibulare anterius), această inserție se extinde și pe doi tuberculi, aflați de-a lungul marginii anterioare adiacente a feței laterale a corpului talusului; tuberculul inferior este mai puțin pronunțat. Uneori, tuberculii sunt înlocuiți cu o depresiune sau un șanț. Pe fața laterală a colului se poate insera rădăcina medială a retinaculului inferior al extensorilor piciorului (Retinaculum musculorum extensorum inferius pedis).[8][14][15]

Fața laterală a corpului talusului
Fața laterală a corpului talusului, situată înapoia feței laterale a colului, este ocupată de o fațetă articulară trigonală mare, fața maleolară laterală a talusului, care se articulează cu fața corespunzătoare de pe maleola fibulară; mai jos de ea se află procesul lateral al talusului.[8][14][15]

În galben - suprafețele articulare acoperite de cartilaj hialin. 1 - Fața maleolară laterală a talusului; 2 - Baza triunghiului feței maleolare laterale a talusului; 3 - Vârful triunghiului feței maleolare laterale a talusului; 4 - Procesul lateral al talusului; 5 - Ligamentul talocalcanean lateral; 6 - Tuberculul lateral al procesului posterior; 7 - Șanțulul de sub fața maleolară laterală; 8 - Ligamentul talofibular posterior; 9 - Fața laterală a colului talusului; 10 - Ramura posterioară a crestei transversale a colului; 11 - Ramura anterioară a crestei transversale a colului; 12 - Ligamentul talofibular anterior; 13 - Capsula articulară a articulației talocrurale; 14 - Capsula articulară a articulației talocalcaneonaviculare; 15 - Fața superioară a trohleei talusului; 16 - Fața articulară naviculară; 17 - Fața articulară calcaneană anterioară; 18 - Ligamentul cervical al sinusului tarsului; 19 - Planul posterior al ligamentului talocalcanean interosos; 20 - Planul anterior al ligamentului talocalcanean interosos; 21 - Șanțul talusului; 22 - Fața articulară calcaneană posterioară; 23 - Unghiul de înclinație (unghi în plan sagital: corp—cap); 24 - Fațetă triunghiulară a trohleei formată de bifurcația marginii laterale a trohleei talusului; 25 - Marginea anterioară a feței maleolare laterale; 26 - Tuberculul superior; 27 - Tuberculul inferior; 28 - Marginea posteroinferioră a feței maleolare laterale.
Fața maleolară laterală a talusului (Facies malleolaris lateralis tali) este o fațetă articulară netedă, concavă vertical, acoperită cu cartilaj hialin în stare proaspătă. Ea are o formă triunghiulară cu baza în sus și vârful în jos. Baza convexă curbilinie a acestui triunghi, aflată în partea superioară a feței maleolare laterale, corespunde cu marginea laterală a trohleei talusului și se continuă, peste această margine, cu fața superioară a trohleei talusului. Vârful inferior al acestui triunghi este ușor rotunjit, curbat lateral, și se află în partea inferioară a feței maleolare laterale; el este ridicat de procesul lateral al talusului, apropiindu-se de poziția orizontală. Profilul lateral al bazei feței maleolare laterale este aproape un arc de cerc care măsoară 106° ± 13. Suprafața feței maleolare laterale este concavă în direcție verticală și ușor convexă transversal (dinainte înapoi); convexitatea este mai pronunțată în porțiunea apicală. Rareori, o concavitate înlocuiește convexitatea în această porțiune. Concavitatea verticală este determinată de proeminența laterală a procesului lateral al talusului. Unghiul acestei proeminențe este în medie de 32°, maxim 55° și minim 15°. Fața maleolară laterală corespunde cu fața medială articulară a maleolei laterale a fibulei (Facies articularis malleoli lateralis fibulae), cu care se articulează în cadrul articulației talocrurale (Articulatio talocruralis), și primește o parte din greutatea corporală transmisă de fibulă.[8][14][15][39]
Procesul lateral al talusului (Processus lateralis tali) este o proeminență osoasă, puternic curbată lateral (spre exterior), aflată pe fața laterală a talusului pe care se sprijină vârful inferior curbat lateral al feței maleolare laterale a talusului. Acest proces are o formă triunghiulară cu vârful lateral și în jos și este situat sub fața maleolară laterală a talusului, servind ca suport pentru ea. Pe vârful procesul lateral al talusului și pe versantul său anterior se inseră ligamentul talocalcanean lateral (Ligamentum talocalcaneum laterale) din articulația subtalară (Articulatio subtalaris).[8][14][15][40]

Înaintea și înapoia procesului lateral al talusului și a feței maleolare laterale, fața laterală este rugoasă (neregulată) și dă inserții pe marginea sa anterioară ligamentului talofibular anterior (Ligamentum talofibulare anterius), iar posterior este delimitată de o proeminență rugoasă - tuberculul lateral al procesului posterior al talusului. De-a lungul marginii posteroinferiore a feței maleolare laterale se află un șanț, aflat anterior de tuberculul lateral al procesului posterior. Acest șanț se prelungește înainte, de obicei până la segmentul mijlociu al marginii posteroinferioare, unde el formează o incizură. Rareori, el se continuă înainte spre vârful feței maleolare laterale. Pe acest șanț să inseră ligamentul talofibular posterior (Ligamentum talofibulare posterius), inserția acestui ligament se continuă posterior și pe tuberculul lateral al procesului posterior.[8][14][15]
Fațetă talară anterolaterală accesorie. Uneori, se observă o mică fațetă articulară accesorie pe segmentul anterior al procesului lateral al talusului. Această fațetă, numită fațetă talară anterolaterală accesorie (Facies externa accessoria corporis tali), se află în continuitate cu fața articulară calcaneană posterioară. Ea se extinde în sus de la colțul anterolateral al feței calcaneane posterioare. Atunci când este bine dezvoltată, ea are o formă triunghiulară, alungită transversal, cu o baza inferioară; ea este orientată anteroinferior și privește înainte și în jos; această fațetă măsoară 2–12 mm în înălțime. Dar, indiferent de forma sa și gradul său de diferențiere, această fațetă se continuă întotdeauna, în partea sa inferioară, cu fața articulară calcaneană posterioară, fiind doar o dependență a ei. Fațetă talară anterolaterală accesorie se dezvoltă exact în punctul în care, în flexia sau rotația piciorului spre exterior, talusul se sprijină pe tuberculul calcaneului, acoperit la acest nivel de inserții ligamentare puternice. Se întâlnește în circa o treime de cazuri. Sarrafian a observat o fațetă accesorie mare în 4%, și o fațetă accesorie de mărime variabilă în 34%. Martus și colab. au identificat o fațetă anterolaterală accesorie în 34%, care a avut dimensiuni mari în 2,5%. În populația egipteană această fațetă a fost prezentă în 10,15%. Fațetă talară anterolaterală accesorie este asociată elocvent cu un cioc talar dorsal (pe colul talusului) în 29%. Fațeta anterolaterală accesorie, poate provoca dureri la pacienții obezi cu picior plat rigid.[14][38][41][42][43]
Fața medială a talusului

Fața medială a talusului este mai puțin înaltă decât cea laterală. Ea se împarte în 2 porțiuni, una proximală (posterioară), fața medială a corpului talusului și alta distală (anterioară), fața medială a colului talusului. Fața medială a corpului talusului prezintă sus și înapoi o fațetă articulară, față maleolară medială, care se articulează cu fațeta corespunzătoare a maleolei mediale tibiale, iar jos o suprafață rugoasă.[1][2][3][4][5][8][9]
Fața medială a colului talusului
Fața medială a colului talusului, aflată înaintea (distal) feței mediale a corpului talusului, este îngustă, rugoasă și conține numeroase foramene vasculare. Ea este mai înaltă decât fața laterală a colului talusului și reprezintă extinderea anterioară a segmentului nearticular al feței mediale a corpului talusului. Aici se află extremitatea medială a crestei transversale a colului talusului și inserțiile sale. Pe versantul posterior al acestei creste se inseră partea tibiotalară anterioară a ligamentului colateral medial (deltoid) al articulației talocrurale (Pars tibiotalaris anterior ligamenti collateralis medialis) și capsula articulară a articulației talocrurale, iar pe versantul său anterior capsula articulară a articulației talocalcaneonaviculare. Uneori, o extensie posterioară a suprafeței articulare a capului sau o extensie anterioară a feței maleolare mediale îngustează considerabil fața medială a colului.[8][14][15]

În galben - suprafețele articulare acoperite de cartilaj hialin. 1 - Fața maleolară medială a talusului în formă de virgulă; 2 - Marginea superioară a feței maleolare mediale; 3 - Fața superioară a trohleei; 4 - Coada virgulei; 5 - Capul virgulei; 6 - Marginea inferioară concavă a feței maleolare mediale; 7 - Tuberculul lateral; 8 - Șanțul tendonului mușchiului flexor lung al halucelui; 9 - Tuberculul medial; 10 - Ligamentul talocalcanean medial; 11 - Suprafața rugoasă de sub fața maleolară medială pe care se inseră partea tibiotalară posterioară a ligamentului colateral medial; 12 - Fața articulară calcaneană posterioară; 13 - Șanțul talusului; 14 - Fața articulară calcaneană medie; 15 - Fața articulară a ligamentului calcaneonavicular plantar; 16 - Fața articulară naviculară; 17 - Capsula articulară a articulației talocrurale; 18 - Partea tibiotalară anterioară a ligamentului colateral medial; 19 - Creasta transversală a colului talusului; 20 - Ligamentul talonavicular; 21 - Capsula articulară a articulației talocalcaneonaviculare.
Fața medială a corpului talusului


Fața medială a corpului talusului se sflă proximal (posterior) de fața medială a colului talusului. Aceasta este împărțită în 2 părți: o parte superioară, ocupată de o suprafață articulară, fața maleolară medială a talusului, și o parte inferioară rugoasă.
Fața maleolară medială a talusului (Facies malleolaris medialis tali), numită și fațeta auriculară, este o fațetă articulară, acoperită cu cartilaj hialin, care ocupă parte superioară a feței mediale a corpului talusului. Ea se continuă în sus cu trohlea talusului, și este practic o anexă a acesteia. Această fațetă articulară privește înăuntru, este alungită în sens antero-posterior și în ansamblu are forma unei virgule culcate cu o concavitate inferioară, al cărui cap (extremitatea groasă) lat și rotund se află înainte, iar coada subțire înapoi. Ea măsoară în medie 25 mm în lungime și 12 mm în înălțime și este ușor concavă, mai adâncă în partea anterioară. Fața maleolară medială corespunde cu fața articulară a maleolei mediale a tibiei (Facies articularis malleoli medialis tibiae) cu care se articulează în cadrul articulației talocrurale. Marginea superioară a feței maleolare mediale formează marginea medială a trohleei. Această margine este convexă anteroposterior. Treimea anterioară a acestei margini reprezintă o parte dintr-un cerc cu o rază mai mică decât cea a feței laterale. Cele două treimi posterioare formează un arc de cerc, a cărui rază este mai mare decât cea a feței laterale. Inman a constatat că marginea medială a trohleei reprezintă un arc de cerc în 80% de cazuri și că deviază de la el în restul de 20%. Arcul mediu al feței maleolare mediale este de 103° ± 14.[8][14][15][44]
Parte inferioară rugoasă. Parte inferioară a feței mediale a corpului talusului, aflată mai jos de față maleolară medială, este ocupată de o suprafață rugoasă, care se întinde de-a lungul marginii concave a virgulei de la colul talusului până la fața posterioară a talusului. Ea este ocupată în jumătatea anterioară de o suprafață înfundată, perforată de numeroase găuri vasculare. În jumătatea posterioară a acestei suprafațe rugoase, imediat sub coada feței maleolare mediale, se află o suprafață ovală mare, plană sau ridicată, pe care se inseră partea tibiotalară posterioară a ligamentului colateral medial al articulației talocrurale (Pars tibiotalaris posterior ligamenti collateralis medialis).[8][14][15]
Extensia anterioară a feței maleolare mediale. Față maleolară medială este adesea extinsă anterior pe fața medială a colului talusului dincolo de nivelul marginii anterioare a trohleei. Frecvența apariției acestei extensii este de 96% în populația din India. Sarrafian a constatat prezența ei în 91%, din care 55% au fost extensii izolate, iar 36% în asociere cu fațeta de extensie medială a feței trohleare (Facies articularis interna collae tali). Când este bine dezvoltată extensia anterioară a feței maleolare mediale proeminează medial și în jos și se articulează în dorsiflexia puternică cu fața anterioară corespunzătoare de pe maleola medială, care este în acest caz acoperită cu cartilaj articular. A fost observată și o extensie posterioară a feței maleolare mediale înapoia locului de inserție a porțiunii profunde a ligamentului deltoid (adică a părții tibiotalare posterioare a ligamentului colateral medial).[14][21][22]
Fața posterioară a talusului

Fața posterioară a talusului sau fața posterioara a corpului talusului este mică, îngustă și înclinată înapoi; ea prezintă o proeminență rugoasă numită procesul posterior al talusului. Fața posterioară este foarte redusă datorită declivității trohleei talusului; ea se asemăna mai degrabă cu o margine decât cu o față adevărata.[1][2][3][4][38]
Procesul posterior al talusului (Processus posterior tali) sau procesul Stieda este o proeminență posterioară a talusului situată posterior și inferior față de trohleea talusului; el are un relief complex rugos și este străbătut de un șanț orientat oblic în jos și medial, șanțul tendonului mușchiului flexor lung al halucelui. Acest șanț este delimitat (mărginit) de 2 tuberculi: tubercul medial mic și tubercul lateral, care este mai proeminent.[8][14][15][18][38][45]

Șanțul tendonului mușchiului flexor lung al halucelui (Sulcus tendinis musculi flexoris hallucis longi) este curbat anterior și străbate oblic de sus în jos și medial porțiunea mijlocie a procesului posterior al talusului, fiind delimitat medial de tubercul medial al procesului posterior și lateral de tubercul lateral al procesului posterior. Acest șanț se continuă distal (în jos) cu șanțul cu același nume (Sulcus tendinis musculi flexoris hallucis longi) de pe fața inferioară (plantară) a lui Sustentaculum tali de pe calcaneu. Stratul profund al retinaculului flexorilor (Retinaculum musculorum flexorum) se inseră pe marginile șanțului. Șanțul tendonului mușchiului flexor lung al halucelui este transformat de un ligament transversal, ligamentul transvers al talusului, într-un tunel osteofibros, tunelul flexorului lung al halucelui, care intră în componența canalului calcanean al lui Richet. Prin acest șanț trece tendonul mușchiului flexor lung al halucelui (Musculus flexor hallucis longus). Mușchiul flexor lung al halucelui este un mușchi lung, situat în partea laterală profundă a regiunii posterioare a gambei, întins de la fibulă la haluce (primul deget al piciorului). El are originea sus pe cele două treimi inferioare ale fibulei și pe porțiunea învecinată a membranei interosoase, de unde coboară, transformându-se într-un tendon, care străbate trei șanțuri: șanțul posterior al extremității inferioare a tibiei, șanțul de pe procesul posterior al talusului și șanțul de pe fața inferioară a lui Sustentaculum tali de pe calcaneu. După ieșirea din aceste șanțuri, el ajunge la plantă, unde se încrucișează cu tendonul flexorului lung al degetelor și se termină pe extremitatea posterioară a falangei a II-a a halucelui. Unghiul format de axul lung al șanțului tendonului mușchiului flexor lung al halucelui cu axul trohlear transvers este în mediu de 68°, maxim 85° și minim 55°.[8][14][15][18][38][46][47][48]

În galben - suprafețele articulare acoperite de cartilaj hialin. 1 - Trohleea talusului; 2 - Fața maleolară laterală; 3 - Șanțulul de sub fața maleolară laterală; 4 - Fața articulară calcaneană posterioară; 5 - Tuberculul lateral al procesului posterior; 6 - Ligamentul transvers al talusului; 7 - Ligamentul talocalcanean posterior; 8 - Capsula articulară a articulației talocrurale; 9 - Ligamentul talofibular posterior; 10 - Componenta talară a ligamentului fibulotalocalcanean al lui Rouvière și Canela Lazaro; 11 - Stratul profund al retinaculului flexorilor; 12 - Tendonul mușchiului flexor lung al halucelui; 13 - Capsula articulară a articulației subtalare; 14 - Ligamentul talocalcanean medial; 15 - Partea tibiotalară posterioară a ligamentului colateral medial; 16 - Tuberculul medial al procesului posterior; 17 - Fața maleolară medială; 18 - Parte inferioară rugoasă de sub fața maleolară medială; 19 - Șanțul median al trohleei; 20 - Fațeta triunghiulară a trohleei; 21 - Șanțul tendonului mușchiului flexor lung al halucelui.

A - Tibia; B - Peroneul (fibula); C - Talusul (astragalul); D - Calcaneul; E - Navicularul (scafoidul tarsian); F - Tuberculul medial al procesului posterior al talusului; G - Trohleea talusului; H - Tuberculul lateral al procesului posterior al talusului; I - Maleola medială; J - Maleola laterală. 1, 1 - Șanțul mușchilor peronieri laterali siuat pe maleola laterală; 2 - Trohleea peronieră (Trochlea peronealis) sau tuberculul extern al calcaneului cu: 3 - Șanțul tendonului mușchiului peronier scurt (Musculus peroneus brevis) situat superior și 4 - Șanțul tendonului mușchiului peronier lung (Sulcus tendinis musculi peronei longi) situat inferior; 5, 5, 5 - Șanțul tendonului mușchiului flexor lung al halucelui (Musculus flexor hallucis longus); 6, 6 - Șanțul mușchiului flexor lung al degetelor (Musculus flexor digitorum longus pedis); 7, 7 - Șanțul mușchiului tibial posterior (Musculus tibialis posterior).
Tuberculul medial al procesului posterior al talusului (Tuberculum mediale processus posterioris tali) numit și tuberculul posteromedial sau tuberculul lui Stieda (L. Stieda, 1837-1910, anatomist și histolog german) este o proeminență osoasă a procesului posterior al talusului aflată imediat în spatele sustentaculum tali; el mărginește medial șanțul tendonului mușchiului flexor lung al halucelui. Tuberculul medial este în continuitate cu parte inferioară rugoasă a feței mediale a corpului talusului și are o mărime variabilă, fiind mai mic și mai puțin proeminent față de tuberculul lateral. Rareori, tuberculul medial poate fi foarte mare și se poate extinde în jos peste calcaneu, contribuind la coaliția talocalcaneană. Pe tuberculul medial se inseră fibrele superficiale și profunde ale fasciculului tibiotalar posterior al ligamentului colateral medial (deltoid), ligamentul talocalcanean medial și ligamentul transvers al talusului. Fasciculul tibiotalar posterior sau partea tibiotalară posterioară a ligamentului colateral medial al articulației talocrurale (Pars tibiotalaris posterior ligamenti collateralis medialis) se inseră pe porțiunea superioară a tuberculului medial, această inserție se continuă pe parte inferioară rugoasă a feței mediale a corpului talusului, imediat sub fața maleolară medială în formă de virgulă. Ligamentul talocalcanean medial (Ligamentum talocalcaneum mediale) se inseră pe porțiunea inferioară a tuberculului medial. Ligamentul transvers al talusului se inseră pe marginea medială și laterală a șanțului tendonului mușchiului flexor lung al halucelui, transformând acest șanț într-un tunel osteofibros, tunelul tendonului mușchiului flexor lung al halucelui.[8][14][15][18][38][47][48][49]
Tuberculul lateral al procesului posterior al talusului (Tuberculum laterale processus posterioris tali), numit și tuberculul posterolateral, este o proeminență osoasă piramidală triunghiulară a procesului posterior al talusului care mărginește lateral șanțul tendonului mușchiului flexor lung al halucelui. Tuberculul lateral este de obicei mai pronunțat, mai proeminent și mai mare decât tuberculul medial. Dimensiunea sa variază de la o structură abia perceptibilă până la un tubercul bine dezvoltat care proeminează posterolateral de la talus. Acest tubercul prezintă o suprafață articulară inferioară în continuitate cu colțul posterolateral al feței calcaneene posterioare a talusului; această suprafață articulară se articulează cu fața articulară talară posterioară a calcaneului (Facies articularis talaris posterior calcanei). Suprafața sa superioară este neregulată și nearticulară, în porțiunea laterală a acestei fețe superioare se inseră ligamentul talofibular posterior al articulației talocrurale (Ligamentum talofibulare posterius) și componenta talară a ligamentului fibulotalocalcanean al lui Rouvière și Canela Lazaro.[50] Inserția ligamentului talofibular se continuă anterior pe șanțul, sau adâncitura, între procesul posterior și marginea posteroinferioră a feței maleolare laterale. Stratul profund al retinaculului flexorilor (Retinaculum musculorum flexorum) se inseră pe partea medială, iar ligamentul talocalcanean posterior al articulației subtalare (Ligamentum talocalcaneum posterius) se inseră pe marginea inferioară (plantară) a procesului posterior. Ligamentul transvers al talusului se inseră pe marginea laterală a șanțului tendonului mușchiului flexor lung al halucelui. Uneori în partea posterioară a talusului, lângă tuberculul lateral al procesului posterior al talusului se află un os mic supranumerar numit osul trigon. Fața anterioară articulară a osului trigon formează cu tuberculul lateral al talusului o articulație de tip sincondroză sau este legat de acesta printr-un țesut fibros, fibrocartilaginos sau cartilaginos. Osul trigon nu trebuie confundat radiologic cu o fractură a tuberculului lateral.[8][14][15][18][38][47][48][51]
Osul trigon


1 - Osul trigon; 1' – Sincondroza osului trigon cu tuberculul lateral al talusului; 2 - Tuberculul medial al procesului posterior al talusului; 3 - Șanțul tendonului mușchiului flexor lung al halucelui; 4 - Fața laterală a talusului; 5 - Fața superioară a trohleei talusului; 7 - Fața articulară calcaneană posterioară a talusului; 8 - Tuberculul lateral al procesului posterior al talusului.
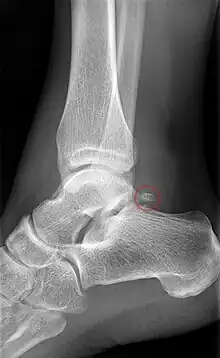
Osul trigon (Os trigonum) (din latina trigonon = triunghi) este un osișor supranumerar (accesoriu) independent al tarsului situat în partea posterioară a talusului, lângă tuberculul lateral al procesului posterior al talusului. Incidența sa a fost estimată în literatura de specialitate a fi între 1,7 și 8% în populație, iar în 1,4% este bilateral. La examenul radiologic, prezența sa trebuie să se distingă clar de fractură Shepherd (fractura tuberculului lateral) care întrerupe baza procesului posterior al talusului. Tendonul mușchiului flexorul lung al halucelui trece medial de osul trigon.[1][8][9][38][52][53][54][55][56][57][58]
După cum sugerează și numele, osul trigon are de obicei o formă triunghiulară, cu 3 fețe (anterioară, inferioară și posterioară), dar poate avea și o formă rotunjită sau ovală. Osul trigon este compus dintr-o parte corticală periferică și un centru spongios. De obicei, osul trigon are trei fețe: una anterioară, alta inferioară și a treia posterioară. Fața anterioară articulară are de obicei o formă de semilună și formează cu tuberculul lateral al talusului o articulație de tip sincondroză sau este legat de acesta printr-un țesut fibros, fibrocartilaginos sau cartilaginos. Fața inferioară, calcaneană, este și ea articulară, și poate să se articulează cu fața superioară a calcaneului, participând la coaliția (sinostoza) talocalcaneană. Fața posterioară este nearticulară. Osul trigon este cel mai adesea unic și măsoară mai puțin de 1 cm pe axul mare. El poate fi, de asemenea, bipartit (divizat în două părți) sau multipartit (divizat în mai multe părți). Osul trigon fuzionat cu tuberculul lateral este numit proces trigonal[14][52][53][59]
Osul trigon provine dintr-un centru de osificare cartilaginas secundar, care se formează în partea posterioară a talusului, între 11 și 13 ani la băieți și între 8 și 10 ani la fete. În mod normal, acest nucleu de osificare fuzionează cu tuberculul lateral al talusului în cursul primului an de la apariția sa, participând la formarea procesul posterior al talusului. Atunci când această fuziune antrenează formarea unui proces talar posterior mare și intact, acesta este numit procesul talar posterior hipertrofic sau "procesul Stieda." În absența fuziunii centrului de osificare cu tuberculul lateral al talusului, din acest centru de osificare se formează un os independent, numit osul trigon.[52][53]
La sportivi și dansatori, osul trigon poate fi comprimat între tibie și calcaneu, provocând dureri și uneori necesită îndepărtarea lui chirurgicală.[9][60][61]
Acest osișor, a fost semnalat în 1864 de Gruber, câțiva ani mai târziu de Stieda, Shepherd și Albrecht, și a fost bine studiat în 1883 de către Bardeleben, care l-a numit osul trigon. Osul trigon există în mod normal la un număr mare de vertebrate inferioare, în special la axolotl. El se întâlnește destul de frecvent la marsupiale.[8]
Unghiurile talusului

A. Unghiul de declinație (unghi în plan orizontal: corp—col—cap).
B. Unghiul de înclinație (unghi în plan sagital: corp—cap).
1 - Trohleea talusului
2 - Marginea medială a feței superioare a trohleei
3 - Marginea laterală a feței superioare a trohleei
4 - Fața maleolară medială a talusului
5 - Fața maleolară laterală a talusului
6 - Capul talusului
7 - Colul talusului
Corpul talusului formează cu colul talusului două unghiuri: unghiul de înclinație și unghiul de declinație, unghiuri ce se formează prin faptul că, la talus, colul nu continuă direcția corpului, ci este înclinat în jos și medial. Aceste două unghiuri se modifică în unele deformări ale piciorului.[1][4][5][62][63]
Unghiul de înclinație. În plan sagital, axul corpului formează cu axul colului un unghi de înclinație deschis în jos, care are în medie 115°. Unghiul de înclinație este mai mare de (mai deschis) în piciorul plat și, dimpotrivă, mai mic (mai închis) în piciorul boltit.[1][4][5][62][63]
Unghiul de declinație. În plan orizontal, axul corpului formează cu axul colului un unghi de declinație deschis medial, care are în medie 150º (după Papilian 158º). În piciorul varus unghiul de declinație este mai mic și colul talusului mult deviat medial.[1][4][5][62][63]
Articulațiile talusului și inserțiile ligamentare
Talusul este legat de oasele vecine prin 3 articulații: articulația talocrurală, articulația subtalară și articulația talocalcaneonaviculară. Articulația talocrurală leagă oasele gambei (tibia și fibula), prin intermediul talusului, de scheletul piciorului. Articulația subtalară unește fața inferioară a talusului și fața superioară a calcaneului prin intermediul fețișoarelor lor articulare posterioare. Articulația talocalcaneonaviculară unește talusul de calcaneu și navicular.[1][2][3]
Pe talus nu se inseră nici un mușchi, ci numai 11 ligamente sau fascicule ligamentare ale articulațiilor talocrurală, subtalară și talocalcaneonaviculară; tendoanele mușchilor trec pe lângă el, spre a se insera pe diferitele oase ale piciorului. Ligamentul calcaneonavicular plantar nu se inseră pe talus, însă are pe fața lui superioară (dorsală) un fibrocartilaj triunghiular denumit navicular (sau fața articulară superioară a ligamentului calcaneonavicular plantar), pe care se sprijină capul talusului.[1][2][3][4][5][9]
| Ligamentul | Articulația | Inserția pe talus |
|---|---|---|
| Ligamentul talofibular anterior (Ligamentum talofibulare anterius) - fascicul al ligamentului colateral lateral al articulației talocrurale | Articulația talocrurală | Fața laterală a colului talusului |
| Ligamentul talofibular posterior (Ligamentum talofibulare posterius) - fascicul al ligamentului colateral lateral al articulației talocrurale | Articulația talocrurală | Tuberculul lateral al procesului posterior al talusului |
| Ligamentul fibulotalocalcanean al lui Rouvière și Canela Lazaro - fascicul al ligamentului colateral lateral al articulației talocrurale | Articulația talocrurală | Tuberculul lateral al procesului posterior al talusului |
| Partea tibiotalară anterioară a ligamentului colateral medial al articulației talocrurale (Pars tibiotalaris anterior ligamenti collateralis medialis) | Articulația talocrurală | Fața medială a colului talusului |
| Partea tibiotalară posterioară a ligamentului colateral medial al articulației talocrurale (Pars tibiotalaris posterior ligamenti collateralis medialis) | Articulația talocrurală | Fața medială a talusului, Tuberculul medial al procesului posterior al talusului |
| Ligamentul talocalcanean lateral (Ligamentum talocalcaneum laterale) | Articulația subtalară | Versantul anterior al procesului lateral al talusului |
| Ligamentul talocalcanean medial (Ligamentum talocalcaneum mediale) | Articulația subtalară | Tuberculul medial al procesului posterior al talusului |
| Ligamentul talocalcanean posterior (Ligamentum talocalcaneum posterius) | Articulația subtalară | Tuberculul lateral al procesului posterior al talusului |
| Ligamentul talocalcanean interosos (Ligamentum talocalcaneum interosseum), planul posterior și planul anterior | Articulația subtalară, Articulația talocalcaneonaviculară | Șanțul talusului |
| Ligamentul cervical al sinusului tarsului | Articulația talocalcaneonaviculară | Fața inferolaterală a colului talusului. |
| Ligamentul talonavicular (Ligamentum talonaviculare) | Articulația talocalcaneonaviculară | Fața superioară a colului talusului |
Ligamentele articulațiilor piciorului drept, văzute lateral (după Sobotta's Atlas and Text-book of Human Anatomy 1909)
Ligamentele articulațiilor piciorului drept, văzute medial (după Sobotta's Atlas and Text-book of Human Anatomy 1909)
Ligamentele articulațiilor piciorului drept, văzute posterior (după Sobotta's Atlas and Text-book of Human Anatomy 1909)
Articulația talocrurală și articulația subtalară; secțiune frontală (după Sobotta's Atlas and Text-book of Human Anatomy 1909)
Inervația talusului
Talusul este inervat de ramurile nervilor fibular profund (Nervus fibularis profundus), tibial (Nervus tibialis), safen (Nervus saphenus) și sural (Nervus suralis).[9][62]
Vascularizația talusului
Vascularizația talusului este deficitară din cauza lipsei inserțiilor musculare pe suprafața sa și ca urmare traumatismele talusului se pot însoți de osteonecroza corpului talusului.[64][65][66] Prima descripție completă a vascularizației talusului au fost dată de Wildenauer în 1950.[67]
Aportul sangvin extraosos la nivelul talusului este asigurat de ramurile celor trei artere principale ale gambei respectiv artera tibială posterioară (Arteria tibialis posterior), artera tibială anterioară (Arteria tibialis anterior) și artera peronieră (Arteria peronea, sin. Arteria fibularis).[9][68][69][70][71]
Artera tibială posterioară dă 2 ramuri către talus: artera canalului tarsian și artera deltoidiană.[9][64][67][69][70][72]
Artera canalului tarsian. Această artera importantă provine de obicei din artera tibială posterioară, la 1 cm proximal la originea arterelor plantare medială (Arteria plantaris medialis) și laterală (Arteria plantaris lateralis). Din acest punct, ea se îndreaptă anterior între teaca mușchiului flexor lung al degetelor (Musculus flexor digitorum longus pedis) și teaca mușchiului flexor lung al halucelui (Musculus flexor hallucis longus) și intră în canalul tarsian în care se află anterior, în apropiere de talus. Canalul tarsian reprezintă capătul medial în formă de tunel al sinusului tarsului. Artera canalului tarsian trimite 4-6 ramuri directe în corpul talusului din rețeaua arterială aflată în canalul tarsian și irigă cea mai mare parte a corpului talusului. Ea trece în continuare din canalul tarsian în partea laterală a sinusului tarsului, unde se anastomozează cu artera sinusului tarsian, formând o frondă (panglică) vasculară abundentă sub colul talusului.[9][64][67][69][70][72]
Artera deltoidiană este o arteră esențială care irigă 25-50% din fața medială a corpului talusului și care prin anastomozele intraosoase poate iriga o zonă mult mai mare. Ea îmbrățișează fața internă a ligamentului deltoid al gleznei. Această arteră provine de obicei din artera canalului tarsian. Uneori ea se desprinde direct din artera tibială posterioară; mai rar, ea pornește din artera plantară medială (Arteria plantaris medialis) care este o ramură a arterei tibiale posterioare. Importanța chirurgicală a acestei artere este evidentă; în fracturile talare ea poate fi unica sursă rămasă a vascularizării arteriale a talusului care menține viabilitatea corpului talusului. În primul rând, întrucât cele mai multe fracturi ale talusului apar în dorsiflexie și inversiune, țesuturile moi mediale, inclusiv această arteră, pot rămâne intacte și asigură viabilitatea corpului talusului. În al doilea rând, intervențiile chirurgicale în porțiunile mediale a talusului pot interfera cu această arteră și pot leza unica sursă rămasă a vascularizării talusului.[9][64][67][69][70][72]
Artera tibială anterioară prin intermediul arterei dorsale a piciorului dă artera sinusului tarsian și ramuri pentru fața superioară a colului talusului.[9][64][67][69][70][72]
Ramuri pentru fața superioară a colului talusului. Artera dorsală a piciorului (Arteria dorsalis pedis), o continuare a arterei tibiale anterioare, trimite ramuri pentru fața superioară a colului talusului.[9][64][67][69][70][72] Artera sinusului tarsian. Aceasta artera mare este prezentă constant și se anastomozează întotdeauna cu artera canalului tarsian. Ea este formată dintr-o anastomoză a unei ramuri a arterei dorsale a piciorului cu ramura perforantă a arterei peroniere (Ramus perforans arteriae fibularis). Artera sinusului tarsian trimite direct mai multe ramuri în talus irigându-l abundent lateral.[9][64][67][69][70][72]
Artera peronieră numită și artera fibulară dă ramuri mici care se unesc cu ramurile arterei tibiale posterioare, formând o rețea posterioară în jurul talusului, însă contribuția acestei artere în vascularizația talusului este nesemnificativă. Ramura perforantă a arterei peroniere (Ramus perforans arteriae fibularis) contribuie la formarea arterei sinusului tarsian.[9][64][67][69][70][72]
Biomecanica talusului
Talusul este solid fixat între cele două maleole, care în același timp îi oferă și o oarecare protecție, aceasta contribuind la soliditatea articulației gleznei. Din această cauză, luxația la acest nivel este destul de rară.[3][9][64][65][66][72] Suplimentar, cele două maleole formează un sistem de direcție împiedicând deplasarea laterală a talusului - rol care revine în special celei laterale (peronieră, care coboară mai mult dect cea medială tibială). Deplasarea posterioară este prevenită de marginea posterioară a epifizei distale a tibiei.[73]
Prin poziția lui, talusul are rol atât în statică, cât și în dinamică. Astfel, în statică, talusul primește toată greutatea corporală de la tibie și o transmite în jos calcaneului și anterior spre degete, prin navicular cu care se articulează și prin cele trei cuneiforme, care se articulează cu acesta. La rândul său, calcaneul transmite o parte din această greutate spre degetele 5 și 4, prin intermediul cuboidului cu care se articulează, precum și direct pe sol.[3][9][64][65][66][72] Trabeculele sale continuă pe cele ale tibiei la nivelul trohleei, de unde pornesc două sisteme trabeculare, unul spre articulația talo-naviculară - continuându-se astfel cu cele din partea medială a arcului lontgitudinal plantar (din care talusul face parte[74]) și unul spre tuberozitatea calcaneeană.[73]
Articulațiile subtalară, talo-calcaneo-naviculară - împreună cu cea calcaneo-cuboidiană, deși distincte anatomic și cu ax propriu individual, se comportă ca o unitate funcțională, deoarece mișcările se fac în jurul unui ax rezultant, sau de compromis. Acest ax trece oblic spre inferior, posterior și lateral prin colul talusului, sinus tarsi și străbate calcaneul ieșind pe fața lui laterală în apropierea trohleei peroniere. Înafară de acest ax, mai există și unul transversal al articulației talo-crurale și unul sagital al articulației medio-tarsiene – în jurul căruia se produc mișcări de pronație (eversiune) și supinație (inversiune). Tripla oblicitate a axului de compromis determină asocierea supinației cu adducția și cu un grad de flexie dorsală, iar pronația cu anducție și flexie plantară. În inversiune (supinație) navicularul alunecă medial și inferior de capul talusului și partea supero-laterală a acestuia rămâne descoperită. În eversiune lucrurile se petrec invers. Talusul se solidarizează cu oasele gambei în aceste mișcări, ceea ce permite producerea mișcărilor în celelalte articulații. Ca efect al conformației fețelor articulare și al puterii ligamentelor care le unesc, este astfel posibilă funcționarea simultană a articulațiilor talo-calcaneeană și medio-tarsiană.[75]
Mișcările din articulația talocrurală sunt flexia dorsală (flexia) și flexia plantară (extensia) a piciorului, care se fac așadar în jurul unui ax transversal ce unește vârful celor două maleole trecând prin corpul talusului.[3] Datorită trohleei talusului, care este mai lată anterior decțt posterior, în sindesmoza tibio-fibulară apar în tipul flexiei dorsale și plantare a piciorului mișcări de apropiere și depărtare între oasele gambei. Dacă – așa cum a fost menționat mai sus talusul este solidar cu gamba în mișcările piciorului, în flexia dorsală se solidarizează cu acesta din urmă.[76] Atât în flexia dorsală cât și în cea plantară, unul dintre elementele care limitează cursa de flexie, este colul talusului, care intră în contact cu marginile anterioară, respectiv posterioară a scoabei tibio-peroniere.[77]
Nomenclatura anatomică a talusului uman
În tabel sunt redate denumirile după Terminologia Anatomica (TA) 1998.[78]
| Codul | Termenul latin | Termenul român | Termenul englez | Termenul francez |
|---|---|---|---|---|
| A02.5.10.001 | Talus | Talus | Talus | Talus (Astragale) |
| A02.5.10.002 | Caput tali | Capul talusului | Head of talus | Tête du talus (Tête de l’astragale) |
| A02.5.10.003 | Facies articularis navicularis | Fața articulară naviculară a talusului | Navicular articular surface | Facette articulaire naviculaire du talus |
| A02.5.10.004 | Facies articularis ligamenti calcaneonavicularis plantaris | Fața articulară a ligamentului calcaneonavicular plantar | Facet for plantar calcaneonavicular ligament | Facette articulaire du ligament calcanéo-naviculaire plantaire du talus |
| A02.5.10.005 | Facies articularis partis calcaneonavicularis ligamenti bifurcati | Fața articulară a părții calcaneonaviculare a ligamentului bifurcat | Facet for calcaneonavicular part of bifurcate ligament | Facette articulaire de la partie calcanéo-naviculaire du ligament bifurqué |
| A02.5.10.006 | Facies articularis calcanea anterior | Fața articulară calcaneană anterioară a talusului | Anterior facet for calcaneus | Facette articulaire calcanéenne antérieure du talus |
| A02.5.10.007 | Collum tali | Colul talusului | Neck | Col du talus (Col de l’astragale, Collier astragalien de Farabeuf) |
| A02.5.10.008 | Facies articularis calcanea media | Fața articulară calcaneană mijlocie a talusului | Middle facet for calcaneus | Facette articulaire calcanéenne moyenne du talus |
| A02.5.10.009 | Sulcus tali | Șanțul talusului | Sulcus tali | Sillon du talus (Rainure astragalienne, Sillon astragalien) |
| A02.5.10.010 | Corpus tali | Corpul talusului | Body | Corps du talus (Corps de l’astragale) |
| A02.5.10.011 | Trochlea tali | Trohlea talusului | Trochlea of talus | Trochlée du talus (Poulie astragalienne) |
| A02.5.10.012 | Facies superior | Fața superioară a trohleei talusului | Superior facet | Face supérieure de la trochlée du talus |
| A02.5.10.013 | Facies malleolaris lateralis | Fața maleolară laterală a talusului | Lateral malleolar facet | Facette malléolaire latérale du talus |
| A02.5.10.014 | Processus lateralis tali | Procesul lateral al talusului | Lateral process | Processus latéral du talus (Apophyse externe de l’astragale) |
| A02.5.10.015 | Facies malleolaris medialis | Fața maleolară medială a talusului | Medial malleolar facet | Facette malléolaire médiale du talus |
| A02.5.10.016 | Processus posterior tali | Procesul posterior al talusului | Posterior process | Processus postérieur du talus |
| A02.5.10.017 | Sulcus tendinis musculi flexoris hallucis longi | Sanțul tendonului mușchiului flexor lung al halucelui | Groove for tendon of flexor hallucis longus | Sillon du tendon du muscle long fléchisseur de l’hallux du talus (Gouttière du tendon du long fléchisseur propre du gros orteil) |
| A02.5.10.018 | Tuberculum laterale | Tuberculul lateral al talusului | Lateral tubercle | Tubercule latéral du processus postérieur du talus (Apophyse trigone, Processus trigonal, Tubercule postéro-externe de l’astragale) |
| A02.5.10.019 | Tuberculum mediale | Tuberculul medial al talusului | Medial tubercle | Tubercule médial du processus postérieur du talus (Tubercule de Stieda, Tubercule postéro-interne de l’astragale) |
| A02.5.10.020 | Facies articularis calcanea posterior | Fața articulară calcaneană posterioară a talusului | Posterior calcaneal articular facet | Facette articulaire calcanéenne postérieure du talus |
| A02.5.10.021 | (Os trigonum) | (Os trigon) | (Os trigonum) | (Os trigone) (Astragale surnuméraire, Astragale accessoire) |
Anatomia aplicată a talusului
Elemente de anatomie topografică legate de talus
Talusul - prin fața sa superioară, contribuie la formarea limitei profunde a regiunii dorsale a piciorului. Prin planul osteo-articular - în care talusul este inclus, regiunea dorsală este separată de regiunea plantară.[79]
Prin suprafața sa medială, talusul contribuie la formarea părții posterioare a canalului tarsian. Talusul - la acest nivel, servește ca loc de inserție al unor septuri fibroase cu origine la nivelul retinaculului flexorilor, septuri care delimitează culise fibroase prin care trec mușchii tibial posterior, flexorul lung al degetelor și flexorul lung al halucelui.[80]
Anatomia funcțională a talusului
Talusul este acoperit în proporție de aproximativ 60% din suprafața sa de cartilaj și face parte din articulația talocrurală. Pe el nu se inseră nici un mușchi, dar compensator prezintă o mulțime de inserții capsuloligamentare.[3][9][64][65][66][72]
Are un aport sangvin deficitar. Vascularizația lui este asigurată de ramurile celor trei artere principale ale gambei respectiv artera tibială posterioară (prin artera canalului tarsian și artera deltoidiană), artera tibială anterioară (prin artera sinusului tarsian și ramuri pentru fața superioară a colului talusului) și artera peronieră (contribuția acestei artere în vascularizația talusului este nesemnificativă). În cazul când linia de fractură a talusului lasă unele fragmente în afara acestor vase, regenerarea lor este compromisă, evoluând cu necroză avasculară.[9][64][65][66][72]
Anatomia pe viu a talusului
Interlinia articulară talo-crurală se poate palpa prin mișcări pasive de flexie și extensie aplicate piciorului. Anterior, această interlinie se palpează pe părțile laterale ale mănunchiului de tendoane musculare aflate pe dorsul piciorului, iar posterior lateral și medial de tendonul ahilean.[81]
Capul talusului se palpează pe fața postero-laterală a piciorului, anterior de maleola fibulară sau,[81] cu piciorul în valgus medio-distal de maleola tibială.[82]
Între cele două maleole, ventral și distal, se palpează proeminența unghiului ventro-lateral al trohleei talusului.[82]
Anatomia radiologică a talusului
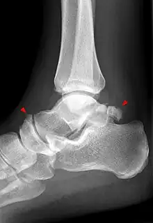
Talusul se vizualizează atât în incidența de față a gleznei[83] sau piciorului,[84] cât și pe cea de profil a gleznei sau piciorului, precum și în incidența oblică pentru articulația talo-calcaneeană.[83][85]
Pe radiografia de față a gleznei se identifică alături de talus și interlinia articulară a gleznei (tibio-fibulo-talară), iar pe cea de profil alături de talus (cu capul, colul și procesul posterior), spațiul articular talo-crural, articulația talo-naviculară,[83] precum și articulația talo-calcaneeană.[84] Tot pe radiografia de profil, se poate observa arhitectura regiunii, remarcându-se continuitatea traveelor osoase din tibie spre talus și calcaneu, iar de aici spre restul plantei.[84]
Ontogeneza talusului
Embriogeneza talusului
La sfârșitul celei de-a 4 săptămâni de dezvoltare embrionară (embrion de 8-11 mm), sunt deja distincte cele 3 regiuni ale membrului inferior (coapsa, gamba și planta). Dezvoltarea plantei continuă în a 5-a săptămână (embrion de 11-13 mm), când este inițiată prima etapă a scheletogenezei prin condensarea mezenchimală, la nivelul tibiei și fibulei. În cea de-a 6 săptămână (embrion de 14-16 mm) planta - aflată în continuarea gambei fără angulare dorsală, este divizată morfologic între o zonă preaxială (în care va fi inclus și viitorul talus) și una postaxială, legată de tibie și fibulă. În a 6-a săptămână debutează - la nivelul metatarsienelor condrificarea, cea de doua etapă a scheletogenezei, care va continua în cea de-a 7-a săptămână (embrion de 22-24 mm). Regiunea talusului se va condrifica - în succesiune aproximativă, după metatarsienele 2-5 și cuboid, înainte de primul cuneiform, primul metatarsian și falange, relativ concomitent cu calcaneul precum și cu al doilea și al treilea cuneiform.[86]
În a 8-a săptămână (embrion de 25-30 mm), la finalul căreia se trece din perioada embrionară în cea fetală și modelele cartilaginoase ale structurilor scheletice adulte sunt deja formate, procesul de condrificare deja este extins până la falange și maleole. Schimbări rapide au loc în această săptămână în regiunea talusului și a maleolelor. Sustentaculum tali se dezvoltă ferm și talusul migrează din poziția sa anterioară, fiind ancorat între maleole, dintre care cea laterală crește mai mult decât cea medială.[86]
La sfârșitul perioadei embrionare, regiuni celulare dense numite interzone constituie structuri din care se vor forma viitoarele articulații. Începutul etapei de osificare este semnalizat de penetrarea vasculară a modelelor cartilaginoase, penetrare care începe la nivelul talusului sub forma unei vacuolizări (stadiul de 43 mm).[86] La embrionul de 27 mm, talusul este în poziție joasă și se suprapune ușor calcaneului. Torsiunea capului sau înclinația colului nu sunt evidente în această etapă.
În perioada fetală viitorul os se alungește. Capul se rotează spre lateral, înălțimea corpului crește și unghiul de declinație col-trohlee descrește, pe măsură ce osul este „extras” dintre maleole în această fază și supinația plantei se corectează. Modificările calcaneului din această etapă - corelate cu cele ale talusului, corectează adducția plantei.[86]
Osificarea talusului

Cercurile de culoare verde - centrii de osificare primari; cercurile de culoare roz - centrii de osificare secundari. Textul albastru – osificare postnatală (după naștere), textul verde – osificare prenatală (înainte de naștere). Abrevieri: săpt. – săptămâni; i.u. – intrauterin sau prenatal (înainte de naștere); p.n. - postnatal (după naștere).

Osificarea talusului începe în luna a șasea de viață intrauterina la fete și a șaptea la băieți. Goldstein și colab. (1988)[87] a constatat că centrul de osificare a fost prezent în 16% din fetuși la 16 săptămâni și la toți fetușii la 23 de săptămâni. Cu toate acestea, au fost semnalate cazuri de absență a centrului de osificare talar la naștere, dar care apare la scurt timp după aceea. Talusul are de obicei un singur centru de osificare primar. Însă osificarea poate apărea în mai mulți nuclei, care fuzionează rapid într-un singur centru de osificare.[9][88][89] Procesul de osificare este plenar în luna a 8-a de viață intrauterină.[86]
Talusul perinatal are o formă ovală, iar imaginea sa radiografică se aseamănă cu o arahidă boantă, cu axul lung situat orizontal de-a lungul planului proximo-distal. Distal, la o distanță mică de centrul feței superioare a talusului, se află o adâncitură mică, care este înclinată într-o direcție distomedială (antero-medială). Adâncitura de pe fața superioară coincide în poziție cu o depresiune similară de pe fața inferioară a talusului. Aceste două adâncituri marchează poziția viitorului col talar și sunt separate pe fața laterală a talusului printr-o bandă osoasă subțire. Adâncitura de pe fața superioară a talusului separă viitoarea porțiunea articulară proximală (trohleea talusului) de capul talusului aflat distal, în timp ce adâncitura de pe fața inferioară a talusului separă viitoarele fețe articulare calcaneene anterioară și posterioară și coincide cu poziția șanțului talusului.[88][89]

La 2,5-3 luni postnatal, colul talusului este bine delimitat. Osificare procesului lateral al talusului începe în jur de 5 luni, la fel ca și dezvoltarea sinusului tarsului; la 7 luni regiunea colului talusului este clar delimitată și acoperite de un strat neted de țesut subperiostal. Rotunjirea suprafeței trohleare începe sa se dezvolte la 2 ani și osul adoptă o morfologie identificabilă cu a adultului. În jur de 6 ani, fețele articulare sunt clar delimitate. Procesul posterior al talusului începe să se dezvolte la 7-8 ani la fete și 9-10 ani la băieți.[88][89]
Osul trigon, descris mai sus, provine dintr-un centru de osificare cartilaginos secundar, care se formează în partea posterioară a talusului, între 11 și 13 ani la băieți și între 8 și 10 ani la fete.[14][52][53][60][61][72]
Un alt os accesoriu, deși rar (se întâlnește numai la 0,2-0,9% din indivizi) este osul supratalar (Os supratalare), numit și osul talonavicular dorsal (Os talonaviculare dorsale) sau osul Pirie, care se află pe fața superioară a talusului și rareori are mai mult de 4 mm în lungime.[9][14][61][90]
Anatomia comparată


Tetrapodele sunt animale vertebrate care au 2 perechi de membre: membrele anterioare și membrele posterioare. Aici sunt incluse amfibienii, reptilele, păsările și mamiferele. La om în urma realizării stațiunii verticale membrul anterior devine membrul superior, iar membrul posterior devine membrul inferior. Membrul propriu-zis al vertebratelor tetrapode, numit și chiridiu (chiridium), este format după o schemă unică, pe care o regăsim la toate speciile, atât în membrele formelor adaptate în mod secundar la viața acvatică cât și în aripile formelor zburătoare sau în membrul locomotor al animalelor terestre. Membrul tetrapod se compune din 3 segmente:[91][92][93]
Segmentul proximal, numit stilopod, care corespunde cu brațul de la membrul anterior și cu coapsa de la membrul posterior. El este format dintr-un singur os, humerusul sau femurul, care se articulează cu centura respectivă;[91][92][93] Segmentul mijlociu, numit zeugopod, care corespunde cu antebrațul la membrul anterior și gamba la membrul posterior, este format din două oase paralele, situate unul pe partea cranială a segmentului - radiusul sau tibia, iar altul, în partea codală - cubitusul (ulna) sau peroneul (fibula);[91][92][93]
Segmentul distal, numit autopod, care corespunde cu mâna sau cu piciorul, fiind format el însuși din trei părți:[91][92][93] o parte proximală, bazipodul, alcătuită din 2 rânduri de oase scurte, denumite oase carpiene la mână și oase tarsiene la picior;[91][92][93] o parte mijlocie, metapodul, format din cinci oase metapodiale alungite în formă de baghetă, denumite metacarpiene la mână și metatarsiene la picior;[91][92][93] o parte distală, acropodul, reprezentat prin cinci degete care continuă oasele metapodale, fiind subdivizate fiecare într-un număr variabil de falange (de regulă două sau trei).[91][92][93]
Bazipodul (partea proximală a autopodului sau scheletul carpului și al tarsului) este format din osișoare scurte care înconjură o piesă centrală, osul central (sau 3 oase centrale). Aceste osișoare sunt dispuse în 2 rânduri, proximal și distal.[91][92][93]
Rândul proximal este format din 3 oase, dintre care osul cranial poartă denumirea de radial la mână sau respectiv, tibial la picior, deoarece corespunde cu radiusul sau cu tibia, cel caudal poartă denumirea de cubital la mână sau respectiv, peroneal la picior, deoarece corespunde cu cubitusul sau cu peroneul. Între ele se găsește osul intermediar care pare a proveni din zeugopod.[91][92][93]
Rândul distal cuprinde cinci oase cunoscute sub numele de carpiene la mână sau tarsiene la picior: 1, 2, 3, 4, 5, începând cu marginea cranială. Oasele carpiene și tarsiene pot să se prezinte în starea lor primitivă, așa cum s-a arătat mai sus. Adeseori însă se observă fuzionarea unora dintre ele sau dispariția altora.[91][92][93]
Amfibieni

La amfibieni scheletul membrelor este construit după tipul general al tetrapodelor, dar la la urode oasele zeugopodului sunt articulate între ele, iar la anure sudate într-o singură piesă, și anume în cubitoradial și tibioperoneal. Membrele posterioare ale anurelor (broaștelor), adaptate primordial pentru salt, sunt formate din 4 articole : coapsa, gamba, tarsul (diferențiat din autopod) și laba.[91][93][94]
Membrul posterior la anure prezintă un femur foarte alungit. Tibia și peroneul au concrescut formând un singur os crural - tibioperonealul. Rândul proximal al tarsienelor este reprezentat numai prin două oase: tibialul (astragalul) și peronealul (calcaneul), alungite astfel încât formează o pârghie. Aceste două oase sunt concrescute între ele, distal și proximal. Rândul distal al tarsienelor este reprezentat prin osișoare mici, legate de metatarsiene, în număr de cinci, ca și degetele. Acestea din urmă sunt foarte alungite și formate din 2-3 falange. Există și un prehaluce destul de bine dezvoltat, care contribuie la lărgirea labei piciorului.[91][93][94]
Reptilele
Ofidienii (șerpii) nu au de loc membre.[91][94][95]
Chelonienii (broaștele țestoase) prezintă, în general, membre foarte apropiate de tipul schematic. Oasele stilopodului și zeugopodului sunt scurte și groase. Porțiunea proximală a tarsului este modificată considerabil. Oasele tarsiene din rândul întâi sunt contopite, adică tibialul este sudat cu peroneul și centralul. Și tarsienele din rândul al doilea prezintă o tendință de sudare. La chelonienii tereștri degetele sunt scurte, dar la chelonienii marini ele au dimensiuni mari.[91][94][95]
Saurienii (șopârlele, cameleonii, iguanele) au de obicei membrele normal dezvoltate și apropiate de schema fundamentală a tetrapodelor; la tars, oasele rândului proximal se pot suda între ele. Câteva genuri de saurieni sunt lipsite de membre; alte genuri au membre fără degete.[91][94][95]
Crocodilienii (crocodilii) prezintă o dispoziție specială a tarsului. Primul rând al oaselor tarsiene este compus din numai 2 oase voluminoase: astragal (format prin sudarea tibialului, intermediarului și centralului) și calcaneu (peroneal). Acesta din urmă prezintă, pentru prima dată în seria vertebratelor, o proeminență situată pe partea posterioară: tuberculul calcaneului. Rândul distal al tarsului este format din oscioare ce se sudează mai târziu, în mod parțial, între ele.[91][94][95]
Păsări

Păsările nu au astragal, deoarece rândul proximal al oaselor tarsiene s-au sudat la capătul distal al tibiei, pentru care acesta se mai numește și tibiotars, iar oasele tarsiene distale și trei oase metatarsiene corespunzătoare degetelor II, III și IV sunt contopite într-un singur os alungit, formând tarsometatarsul, care este scheletul tarsului.[91][94][95]
Scheletul membrului posterior la păsări, datorită adaptării la mers, salt, alergat, înot și la sprijinirea corpului, a suferit modificări față de tipul general întâlnit la tetrapode. La păsări membrul posterior cuprinde trei segmente.[91][94][95]
Primul segment este format de femur, care este îndreptat oblic înainte și capătul său distal formează punctul de sprijin al corpului pe picioare.[91][94][95]
Segmentul al doilea este format dintr-un tibiotars puternic format din oasele gambei (tibie, peroneu) sudate cu oasele tarsiene proximale (de unde și numele de tibiotars). Tibia este bine dezvoltată și totdeauna mai lungă decât femurul. Peroneul, în schimb, din cauză că piciorul nu execută mișcări laterale și de rotație, s-a redus foarte mult și este sudat pe o mare întindere a sa cu tibia, având, de obicei, forma unei așchii mai puternic dezvoltate sus, dar neajungând niciodată până la autopod. La locul de articulație a femurului cu tibia (genunchi) se găsește un os numit rotulă.[91][94][95]
Segmentul al treilea (autopodul) este format dintr-un tarsometatars (sau osul metatarsotarsian), provenit din fuzionarea oaselor tarsiene distale cu trei oase metatarsiene, corespunzătoare degetelor II, III și IV. Tarsometatarsul este un os alungit și destul de puternic, putând depăși în lungime femurul. Majoritatea păsărilor au patru degete (al V-lea lipsește totdeauna), dintre care trei sunt îndreptate înainte (degetele II, III și IV) și unul înapoi (degetul I). La păsările agățătoare însă, 2 degete sunt îndreptate înainte (II și III) și două înapoi (I și IV). Unele palmipede au toate patru degetele îndreptate înainte. La unele păsări se reduce sau dispare primul deget, iar struțul african nu are decât două degete: al III-lea și al IV-lea. De obicei, degetul I (cel intern) are 2 falange, degetul II - 3 falange, degetul III - 4 falange; degetul IV - 5 falange.[91][94][95]
Mamifere


Autopodul membrelor posterioare la mamifere prezintă totdeauna un astragal (format prin sudarea tibialului și intermediarului) și un calcaneum (peroneal), pe lângă care se pot găsi și celelalte tarsiene, adică tarsienele distale, precum și osul central. Astfel bazipodul pelvin la mamifere este format din 7 oase tarsiene, dispuse pe două rânduri între zeugopod și metapod. Rândul proximal, este format din 3 oase: astragal, calcaneu și scafoid (osul central), aflat în centru; astragalul este osul ce se articulează cu tibia. Rândul al doilea este format din cuneiformul I (micul cuneiform), cuneiformul II (sau intermediar), cuneiformul III (marele cuneiform) și cuboid. La cal și iepure, există 6 oase tarsiene deoarece cuneiformul I și II se sudează într-un singur os denumit micul cuneiform. Rumegătoarele au 5 oase fiindcă s-au sudat cuboidul și scafoidul formând osul cuboscafoid și cuneiformul II cu III formând marele cuneiform. La suine (porc) și carnivore se găsesc toate cele 7 oase. Metatarsienele la mamifere sunt în număr de cinci, ca și degetele, în cazul pentadactiliei. Numărul lor se poate însă reduce până la un singur metatarsian funcțional și un singur deget (la ungulate mezaxonice). Ca și la membrul anterior, degetul I poate fi opozabil celorlalte patru, dând laba prehensivă de la maimuțele antropomorfe. Numărul falangelor este 2 la degetul I, 3 pe celelalte degete, ultima falangă purtând gheară, unghie sau copită.[91][94][96]
Om
Oasele bazipodului au căpătat o nomenclatură specială în anatomia umană, nomenclatură care este extinsă de unii autori la toate mamiferele și chiar la alte vertebrate.[91][94][96]
Bazipodul mâinii (încheietura mâinii) la om este format din 8 oase carpiene, așezate în două rânduri.[91][94][96]
Rândul proximal este constituit din următoarele oase: scafoid (radial), semilunar (intermediar), piramidal (cubital) și un pisiform (os sesamoid supranumerar).[91][94][96]
Rândul distal este constituit din: trapez (carpian 1), trapezoid (carpian 2), osul capitat sau osul mare (carpian 3) și osul cu cârlig (format prin sudarea carpienelor 4 și 5).[91][94][96]
Bazipodul piciorului (încheietura piciorului) la om este format din 7 oase tarsiene, dispuse în două rânduri în jurul osului central, reprezentat prin navicular (scafoidul tarsian).[91][94][96]
Rândul proximal este format din: astragal sau talus (format prin sudarea tibialului și intermediarului) care se articulează cu zeugopodul, și calcaneu (peroneal) ce constituie porțiunea posteroinferioară a tarsului.[91][94][96]
Rândul distal de oase tarsiene este format din cuboid (format prin sudarea tarsienelor 4 și 5) și din cele trei cuneiforme (tarsienele 1, 2, 3).[91][94][96] Talusul, care primește toată greutatea corporală de la tibie, o transmite în jos calcaneului și anterior spre degete, prin navicular cu care se articulează și prin cele trei cuneiforme, care se articulează cu acesta. La rândul său, calcaneul transmite o parte din această greutate spre degetele 5 și 4, prin intermediul cuboidului cu care se articulează, precum și direct pe sol.[91][94][96]
Alături de aceste oase, care sunt numite fundamentale sau canonice, mai există și alte oase de o natură mai puțin bine precizată, numite oase sesamoide, adică dezvoltate într-un tendon în mod cu totul secundar, fie drept rudimente de degete.[91][94][96]
Fracturile talusului
| Fracturile talusului | |
| Clasificare și resurse externe | |
|---|---|
| ICD-9 | 825.21-825.31 |
| ICD-10 | S92.1 |
| ICD-11 | |
| MeSH ID | D013628 |
Fracturile talusului sunt relativ rare, dar atunci când se produc, ele sunt însoțite de un număr mare de complicații. Incidența fracturilor de talus este de aproximativ 2% din totalul traumatismelor membrului inferior, și reprezintă 6-8% din fracturile de la nivelul piciorului. Fracturile colului talusului reprezintă 30-50% din fracturile talusului. Fracturile talusului se întâlnesc în principal la adulții tineri, victime ale accidentelor rutiere (mai ales la motocicliști), la sportivi sau prin cădere de la înălțime. Mecanismul comun de producere al fracturilor de talus este cel de hiperdorsiflexie forțată al piciorului pe gambă și compresiune în cădere de la înălțime cu talusul cuprins între calcaneu și epifiza distală a tibiei. Particularitățile acestor fracturi sunt datorate caracteristicilor anatomice și funcției biomecanice speciale ale talusului, aportului sangvin deficitar, precum și frecvenței mari a complicațiilor tardive de temut (necroza avasculară și artroza posttraumatică). Aproape 60% din suprafețe talusului sunt cartilaginoase, nu există nici o inserție musculare pe talus și vascularizarea acestuia este adesea compromisă de deplasări traumatice importante și eventuale abordări chirurgicale. Diagnosticul imagistic se bazează pe evaluarea radiologică inițială, tomografia computerizata (CT), imagistică prin rezonanță magnetică (MRI). Frecvența fracturilor transcondrale diagnosticate (mai ales la nivelul domului sau procesului lateral) a crescut de la utilizarea tomografiei computerizata. Prognosticul este dependent de severitatea fracturii și de deplasarea fragmentelor. Scopul tratamentului este restabilirea caracterelor anatomice ale talusului, minimizând astfel riscurile apariției artrozei posttraumatice tardive și a necrozei avasculare. Abordul chirurgical trebuie să evite agravarea leziunilor vasculare. Consolidarea fracturilor se face prin reducerea promptă, perfectă și stabilă, eventual prin osteosinteză internă, dar întotdeauna cu o imobilizare în aparat gipsat gambiero-podal pe o perioadă lungă.[64][65][66][71][72][97][98][99]
Clasificare

În funcție de regiunea fracturată se disting: fracturile capului talusului, fracturile colului talusului și fracturile corpului talusului.[64][65][66]
Fracturile capului talusului
Fracturile capului talusului reprezintă 5-10% din totalul fracturilor de talus. Ele sunt cauzate de compresiunea longitudinală a piciorului flectat plantar cu sau fară forțe simultane de abducție sau adducție. Fractura fără deplasare se imobilizează într-un aparat gambiero-podal cu arc plantar pentru 6-8 săptămâni. În fracturile cu deplasare în care fragmentul cuprinde mai mult de 50% din suprafața articulară a capului talusului se practică reducerea sângerândă și fixare internă cu șurub, iar dacă fragmentul cuprinde mai puțin de 50% din suprafața articulară a capului talusului se practică excizia fragmentului. În fractura capului talusului poate apărea artroza talonaviculară care necesită artrodeză.[64][65][66][71][72][97][98][99]
Fracturile colului talusului
În funcție de traiectele fracturii și riscul necrozei aseptice, Hawkins (1970)[100] a clasificat fracturile colului talusului în 3 tipuri, la care Canale și Kelly (1978)[101] au adăugat tipul IV. Clasificarea Hawkins este cea mai folosită în practică și cu ajutorul ei se poate face predicția gradului de osteonecroză.[64][65][66][71][72][97][98][99]
| Tipul | Descrierea | Compromiterea vascularizării | Riscul de osteonecroză | Tratamentul |
|---|---|---|---|---|
| Tipul I | Fractură colului talar fără deplasare | Se rup doar vasele ce intră în corpul talusului prin porțiunea superioară a colului talusului și a sistemului intraosos ce traversează colul | 0-13% | Tratament ortopedic - imobilizare în aparat gipsat gambiero-podal pentru 8-12 săptămâni cu mers fară sprijin pentru 6 săptămâni. |
| Tipul II | Fractura colului talar cu deplasare asociată cu subluxația sau luxația articulației subtalare. Fracturile concomitente cu subluxația sau luxația feței articulare calcaneene posterioare ale articulației subtalare, în care corpul talusului este frecvent înclinat în flexie plantară, apar ca urmare a ruperii ligamentului talocalcanean interosos. O deplasare mică de 2 mm poate altera semnificativ caracteristicile contactului din articulația subtalară, în special la nivelul fețelor articulare calcaneene anterioară și mijlocie. | Se rup ramurile arteriale ale porțiunii superioare a colului talusului și ramurile arteriale ce intră în porțiunea inferioară prin sinusul tarsian și canalul tarsian lăsând neatinse ramurile ce pătrund profund prin ligamentul deltoid și fața medială a talusului. | 20-50% | Tratament ortopedic. Se poate încerca o reducere ortopedică, urmată de imobilizare într-un aparat gipsat gambiero-podal cu piciorul în echin pentru 6 săptămâni. |
| Tipul III | Fractură colului talar cu deplasare asociată cu luxația corpului talusului în 2 articulații: articulația talocrurală (articulația gleznei) și articulația subtalară în care fragmentul corpului talusului este deplasat posterior, medial și rotat în jurul câtorva fibre indemne ale ligamentului deltoid, întinzând și comprimând mănunchiul neurovascular tibial posterior. | Sunt rupte toate cele 3 surse majore sangvine. Cele câteva fibre ale ligamentului deltoid care rămân atașate de talus pot fi singurele surse care aduc aport sangvin. | 83-100% | Tratament chirurgical. În circa 25% din fracturile de tip III există leziuni deschise (deci o urgență) primul pas în acest caz fiind toaleta chirurgicală și debridarea plăgii. În cazul fracturilor închise de tip III, deplasarea corpului talusului produce o tensiune extremă și/sau o necroză a tegumentelor. Aceasta este o adevărata urgență chirurgicală care necesită o reducere sângerândă promptă pentru a evita necroza tegumentelor și consecințele nefaste ale acesteia. După confirmarea radiologică a reducerii, fractura se fixează cu șuruburi canulate de compresiune plasate perpendicular pe focarul de fractură. Pielea se închide la 5-7 zile după reducere, urmată de imobilizare în aparat gipsat gambiero-podal. |
| Tipul IV | Fractură colului talar asociate cu o luxație completă a corpului talusului în articulația talocrurală și articulația subtalară și o subluxație sau luxație a capului talusului în articulația talonaviculară. | Sunt rupte toate cele 3 surse majore sangvine. | 90-100% | Se aplică tratamentul fracturii colului talar de tipul III (vezi mai sus). |
Fracturile corpului talusului

Fracturile corpului talusului sunt fracturi articulare și reprezintă 10-25% din totalul fracturilor de talus; ele sunt adesea asociate cu fracturi maleolare. Cel mai frecvent sunt rezultatul traumatismelor prin cădere de la înălțime, produse prin comprimarea axială a talusului între tibie și calcaneu. Complicațiile tardive (post-fractură) ale fracturilor corpului talusului sunt: necroza avasculară, pseudartroza, calusul vicios, artrofibroză și artroză.[64][65][66][71][72][97][98][99]
După clasificarea Sneppen,[102] modificată de DeLee,[103] fracturile corpului talusului sunt clasificate în 5 tipuri:
- Tip 1 - fractura transcondrală a domului talusului
- Tip 2 – fracturi separare prin forfecare. După linia de fractură ele pot fi sagitale, orizontale, coronale.
- Tip 3 - fractura procesului posterior. În funcție de regiunea fracturată se deosebesc 3 tipuri de fracturi: fractura tuberculului lateral, fractură tuberculului medial și fractura bituberculară (a ambilor tuberculi).
- Tip 4 - fractura procesului lateral
- Tip 5 - fractura cominutivă a corpului talusului prin zdrobire
Fractura transcondrală a domului talusului
Domul talusului (= trohlea talusului) este o suprafață articulară curbată netedă, acoperită cu cartilaj, situată pe fața superioară a talusului și prezintă trei fețe articulare: fața superioară care se articulează cu fața articulară inferioară a tibiei; fața maleolară medială care se articulează cu maleola medială a tibiei și fața maleolară laterală care se articulează cu maleola laterală a fibulei. Fracturile transcondrale a domului talusului sau fracturile osteocondrale a domului talusului (Tipul 1) sunt fracturi a suprafeței articulare a trohleii talusului, care afectează cartilajul și reprezintă 0,06%-0,09% din totalul traumatismelor membrului inferior. Locația caracteristică a fragmentului fracturat este domul talar antero-lateral sau postero-medial. Fragmentele fracturate laterale au o formă conică, în timp ce fragmentele mediale sunt sub formă de așchie.[64][65][66][71][72][97][98][99]
Fracturile domului talusului au fost clasificate în 4 stadii de Berndt și Harty (1959),[104] la care a fost adăugat ulterior stadiul 5.[105]
- Stadiul 1 - o mică zonă de compresiune simplă subcondrală.
- Stadiul 2 - prezentă un fragment fracturat, ridicat la una din extremitățile sale, parțial detașat.
- Stadiul 3 - fragmentul fracturat ridicat este complet detașat cu apariția unui crater la nivelul domului.
- Stadiul 4 - fragmentul fracturat este complet detașat și migrat din poziția sa de origine.
- Stadiul 5 - chist subcondral sau defect radiolucent.
Tratamentul ortopedic prin imobilizare în aparat gipsat pentru leziunile fără deplasare este controversat. Tratamentul chirurgical constă în excizia și forajul fragmentului rămas pentru a permite revascularizarea și metaplazia fibrocartilaginoasă; în leziunile acute care cuprind cel puțin 33% din domul medial sau lateral se practică reducerea sângerândă și fixare internă cu sau fără adeziv cu fibrină sau cu broșe absorbabile. Pentru fragmentele mici în stadiile 3, 4 la adulți și la copii în stadiul 4 se poate face o debridare artroscopică și foraje cu microfracturi.[64][65][66][71][72][97][98][99]
Fracturi-separare prin forfecare
Fracturile-separare prin forfecare (tip 2) (în engleză shear fractures) după linia de fractură pot fi sagitale, orizontale, coronale. Ele reprezintă 2% din leziunile talusului. Fracturile cu deplasare mai mică de 2 mm se tratează prin imobilizare în aparat gipsat gambiero-podal pentru 6-8 săptămâni, iar în cazul în care deplasarea este mai mare de 2 mm se practică reducere sângerândă și fixare internă cu șurub.[64][65][66][71][72][97][98][99]
Fracturile procesului posterior al talusului
Fracturile procesului posterior al talusului (tip 3) reprezintă 5% din totalul fracturilor talusului și 21% din leziunile corpului talusului. În funcție de regiunea fracturată se deosebesc 3 tipuri de fracturi: fractura tuberculului lateral, fractură tuberculului medial și fractura bituberculară (a ambilor tuberculi). Fractura tuberculului lateral (fractura Shepherd), în general extra-articulară, detașează posterolateral procesul posterior al talusului; ea poate fi legată de o rupere a fasciculului posterior a ligamentului colateral lateral al articulației tibiotarsiene în timpul unei hiperflexiuni dorsale forțată cu rotație externă a piciorului sau, probabil mai frecvent, printr-o mișcare de hiperflexiune plantară forțată contra plafonului tibial, care strivește tuberculul lateral între marginea posterioară a tibiei și calcaneu, așa cum este cazul lovirii mingii blocate de către un fotbalist. Fractura tuberculului medial este mult mai rară. Fractura bituberculară Stieda detașează partea posterioară a talusului în totalitate; ea interesează în mod constant suprafețele articulare posterioare și se datorează unei mișcari de hiperflexiune plantară brutală și este frecvent asociată cu luxație în cuplu de torsiune.[64][65][66][71][72][97][98][99]
Pentru fractura fără deplasare se practică tratament ortopedic cu imobilizare în aparat gipsat gambieropodal 4-6 săptămâni fără sprijin pe membrul pelvin afectat. Pentru fragmente mari deplasate se practică tratamentul chirurgical prin reducere sângerândă și fixare internă. Fragmentele mici cominutive sunt excizate. Când eșuează tratamentul ortopedic se practică excizie la 4-6 luni de la fractură.[64][65][66][71][72][97][98][99]
Fractura procesului lateral
Fracturile procesului lateral (tip 4) reprezintă 24% din totalul fracturilor de talus. Mecanismul de producere este prin dorsiflexie forțată și inversiune.[64][65][66][71][72][97][98][99]
Hawkins (1965) a clasificat aceste fracturi în:[106][107]
- 1. fracturi avulsive nearticulare;
- 2. fracturi simple cu fragment mare biarticulare (care se extind de la fața maleolară laterală a talusului la fața articulară calcaneană posterioară a talusului);
- 3. fracturi cominutive biarticulare cu fragmente mici.
În fracturile fără deplasare se practică tratamentul ortopedic cu imobilizare în aparat gipsat gambiero-podal pentru 4-6 săptămâni fără sprijin. În cazul fragmentelor mari deplasate se practică reducerea sângerândă și fixare internă, iar pentru fragmentele mici cominutive se practică excizia acestora. Postoperator se imobilizează piciorul în aparat gipsat gambiero-podal pentru 2-3 săptămâni cu mers fără sprijin 6 săptămâni.[64][65][66][71][72][97][98][99]
Fractura cominutivă prin zdrobire
Fracturile cominutive prin zdrobire (tip 5) (în engleză crush fractures) sunt deosebit de grave și nu sunt excepționale, reprezentând 24% din fracturile corpului talusului și 5% din totalul fracturilor de talus. Cominuția interesează regiunea subtalară sau talocrurală, sau ambele. Fracturile cominutive pot fi asociate cu o separare cu luxație subtalară de tip II (vezi fracturile colului talusului mai sus), și poate exista o enucleație a unuia sau mai multor fragmente.[64][65][66][71][72][97][98][99]
Fracturile cu deplasarea fragmentelor mai mică de 2 mm se tratează ortopedic prin imobilizare în aparat gipsat gambiero-podal pentru 6-8 săptămâni, iar în cazul în care deplasarea fragmentelor este mai mare de 2 mm se practică reducere sângerândă și fixare internă. Se poate practica talectomie dar aceasta va compromite reconstrucțiile ulterioare sau artrodeza tibiocalcaneană, și chiar artrodeza tibiotalară Blair.[64][65][66][71][72][97][98][99]
Note
- Victor Papilian. Anatomia omului. Volumul I – Aparatul locomotor. Ediția a XI-a, revizuită integral de prof. univ. dr. Ion Albu. Editura ALL, 2006
- Z. Iagnov, E. Repciuc, I. G. Russu. Anatomia omului. Aparatul locomotor. Editura Medicală. București. 1962
- Viorel Ranga. Anatomia omului, vol. 2 - Membrele. Editura: CERMA. 2002
- Mihail Ștefaneț. Anatomia omului. Volumul I. Chișinău, Centrul Editorial-Poligrafic Medicina, 2007
- Pierre Kamina. Anatomie clinique. 4e édition. Tome 1, Anatomie générale, membres. Maloine, Paris 2009
- Tête du talus. Dictionnaire médical de l'Académie de Médecine
- Wolfgang Dauber. Pocket Atlas of Human Anatomy. Founded by Heinz Feneis. 5th revised edition. Thieme, Stuttgart • New York. 2007
- L. Testut. Traité d'anatomie humaine. Tome premier. Ostéologie – Arthrologie – Myologie. Paris, 1899.
- Susan Standring. Gray's Anatomy: The Anatomical Basis of Clinical Practice. Expert Consult - Online and Print. 41st Edition. Publisher: Elsevier, 2016
- Col du talus. Dictionnaire médical de l'Académie de Médecine
- Facette articulaire calcanéenne moyenne du talus. Dictionnaire médical de l'Académie de Médecine
- Tête du talus. Dictionnaire médical de l'Académie de Médecine
- Trochlée du talus. Dictionnaire médical de l'Académie de Médecine
- Armen S Kelikian, Shahan K. Sarrafian. Sarrafian's Anatomy of the Foot and Ankle: Descriptive, Topographic, Functional. Third Edition. Publisher: LWW 2011
- Michel Dufour. Anatomie de l'appareil locomoteur. Tome 1, Membre inférieur. 2e édition. Elsevier Masson, 2007
- R. B. Seymour Sewell. "A Study of the Astragalus". Part III. Journal of Anatomy and Physiology. 1904; Vol. 39: 74–92
- Habib Triaa. Anatomie humaine. Tome I. Membre thoracique. Deuxième édition. Editions Adam. 2014
- R. B. Seymour Sewell. "A Study of the Astragalus". Part I. Journal of Anatomy and Physiology. 1904; Vol. 38: 233–247
- Eve-Line Boulle, Jean-Yves Kurzenne. La facette d' « accroupissement » sur le talus fœtal humain : sa formation et son maintien. Bull. et Mém. de la Société d'Anthropologie de Paris, n.s., t. 11, 1999, 3-4, p. 371-382.[nefuncțională]
- Tran Anh, Le Ngoc Huong. L'astragale du Vietnamien et les facettes d'accroupissement. Bulletins et Mémoires de la Société d'anthropologie de Paris, Année 1966, Volume 9, Numéro 3, pp. 281-284[nefuncțională]
- Singh, Inderbir. Squatting facets on the talus and tibia in Indians. Journal of anatomy 93.Pt 4 (1959): 540.
- Barnett, C. H. Squatting facets on the European talus. Journal of Anatomy 88.Pt 4 (1954): 509.
- Boulle, Eve-Line. "Nouvelle interprétation d'une variation osseuse du talus." Comptes Rendus de l'Académie des Sciences-Series IIA-Earth and Planetary Science 331.9 (2000): 615-620.
- Anh, Tran. "Caracteristiques squelettiques du membre inferieur des anthropoides en rapport avec la position accroupie." Mammalia 27.4 (1963): 537-563.
- „Angela Simalcsik, Vasilica Monica Groza, Robert Daniel Simalcsik. "Analiza antropologica a unor schelete descoperite in necropola birituala de la Polocin-Islaz (judetul Vaslui, Romania), secolul IV d. Hr." Acta Musei Tutovensis. Istorie veche și arheologie, nr. XI, 2015. ISSN: 2457-1709” (PDF). Arhivat din original (PDF) la . Accesat în .
- I. H. Oygucu, M. A. Kurt, I. Ikiz, T. Erem and D. C. Davies. Squatting facets on the neck of the talus and extensions of the trochlear surface of the talus in late Byzantine males. Journal of Anatomy. 1998 Feb; 192(Pt 2): 287–291.
- „Rohin Garg, Sushila Shekhawat, Khushboo Mogra, Santosh Kumar. Modifications on Dorsum of Neck of Talus (Squatting Facets and Trochlear Extensions) in Indians. Acta Medica International. 2015;2(1):100-104” (PDF). Arhivat din original (PDF) la . Accesat în .
- Facette articulaire naviculaire du talus. Dictionnaire médical de l'Académie de Médecine
- Facette articulaire de la partie calcanéo-naviculaire du ligament bifurqué. Dictionnaire médical de l'Académie de Médecine
- Ligament calcanéo-naviculaire. Dictionnaire médical de l'Académie de Médecine
- Ligament bifurqué. Dictionnaire médical de l'Académie de Médecine
- Facette articulaire calcanéenne antérieure du talus. Dictionnaire médical de l'Académie de Médecine
- R. B. Seymour Sewell. "A Study of the Astragalus". Part IV. Journal of Anatomy and Physiology. 1906; Vol. 40: 152–161
- Facette articulaire du ligament calcanéo-naviculaire plantaire du talus. Dictionnaire médical de l'Académie de Médecine
- Sillon du talus. Dictionnaire médical de l'Académie de Médecine
- Sinus du tarse. Dictionnaire médical de l'Académie de Médecine
- Facette articulaire calcanéenne postérieure du talus. Dictionnaire médical de l'Académie de Médecine
- R. B. Seymour Sewell. "A Study of the Astragalus". Part II. Journal of Anatomy and Physiology. 1904; Vol. 38: 423–434
- Facette malléolaire latérale du talus. Dictionnaire médical de l'Académie de Médecine
- Processus latéral du talus. Dictionnaire médical de l'Académie de Médecine
- Martus, Jeffrey E., et al. "Accessory anterolateral talar facet as an etiology of painful talocalcaneal impingement in the rigid flatfoot: a new diagnosis." The Iowa orthopaedic journal 28 (2008): 1.
- Martus, Jeffrey E., et al. "Accessory anterolateral facet of the pediatric talus." J Bone Joint Surg Am 90.11 (2008): 2452-2459.
- D. Lee Bennett, Georges Y. El-Khoury. Pearls and Pitfalls in Musculoskeletal Imaging: Variants and Other Difficult Diagnoses. Cambridge University Press, 2013
- Facette malléolaire médiale du talus. Dictionnaire médical de l'Académie de Médecine
- Processus postérieur du talus. Dictionnaire médical de l'Académie de Médecine
- Sillon du tendon du muscle long fléchisseur de l’hallux du talus. Dictionnaire médical de l'Académie de Médecine
- Pastore, Daniel, et al. "Ligaments of the posterior and lateral talar processes: MRI and MR arthrography of the ankle and posterior subtalar joint with anatomic and histologic correlation." American Journal of Roentgenology 192.4 (2009): 967-973.
- Daniel Pastore. Ligamentos dos processos talares posterior e lateral : ressonância magnética e artro-ressonância magnética do tornozelo e da articulação subtalar posterior com correlação anatômica e histológica. Tese apresentada à Faculdade de Medicina da Universidade.
- Tubercule médial du processus postérieur du talus. Dictionnaire médical de l'Académie de Médecine
- Rouvière H, Canela Lazaro M. Le ligament péroneo-astragalo-calcanéen. Ann Anat Pathol. 1932; 9(7): 745.
- Tubercule latéral du processus postérieur du talus. Dictionnaire médical de l'Académie de Médecine
- Thibaut Leemrijse, Jean-Luc Besse, Bernard Devos Bevernage, Bernard Valtin. Pathologie du pied et de la cheville. 2e édition. Elsevier Masson, 2015
- Jean-Luc Drapé, Henri Guerini. Imagerie du pied et de la cheville. Elsevier Masson, 2010
- McDougall, A. The os trigonum. Journal of Bone & Joint Surgery, British Volume 37.2 (1955): 257-265.
- Grogan, Dennis P., Arthur K. Walling, and John A. Ogden. Anatomy of the os trigonum. Journal of Pediatric Orthopaedics 10.5 (1990): 618-622.
- Miller, Theodore T. Painful accessory bones of the foot. Seminars in musculoskeletal radiology. Vol. 6. No. 2. 2002.
- Karasick, David, and Mark E. Schweitzer. The os trigonum syndrome: imaging features. AJR. American journal of roentgenology 166.1 (1996): 125-129.
- Os trigone. Dictionnaire médical de l'Académie de Médecine
- Davies, M-B. Syndrome de l'os trigone. EMC - Podologie 1.2 (2005): 42-47.
- Gerard V. Yu, Amanda Mezzaros, Thersea L. Schinke, and Michael B. Canales. Os Trigonum Syndrome. The Podiatry Institute. 2005
- „Özkan Köse. The Accessory Ossicles of the Foot and Ankle; a Diagnostic Pitfall in Emergency Department in Context of Foot and Ankle Trauma. Journal of Academic Emergency Medicine, Volume 11, iunie 2012” (PDF). Arhivat din original (PDF) la . Accesat în .
- Hanach Hanane. Fractures de l'astragale. These pour l'obtention du Doctorat en Medecine. Universite Sidi Mohammed Ben Abdellah. 2010.
- Bonnel, F., et al. Biométrie des composants osseux de l’articulation talo-naviculaire: étude cadavérique. Revue de Chirurgie Orthopédique et Traumatologique 97.6 (2011): S161-S169.
- Tratat de chirurgie (Sub redacția: Irinel Popescu). Vol. X. Ortopedie – traumatologie (Coordonator: Dinu Antonescu). Editura Academiei Române • București, 2009
- Tratat de patologie chirurgicală (sub red. Prof. dr. E. Proca). Vol. III – Ortopedia (Coordonator: Prof. dr. A. Denischi). Editura Medicală • București, 1988
- F. Gornea. Ortopedie și traumatologie. Universitatea de Stat de Medicină și Farmacie Nicolae Testemițanu. Chișinău 2010.
- E. Wildenauer. Die Blutversorgung des Talus. Zeitschrift für Anatomie und Entwicklungsgeschichte. ianuarie 1950, Volume 115, Issue 1, pp 32-36.
- Mulfinger GL, Trueta J. The blood supply of the talus. J Bone Joint Surg Br 1970; 52:160–167.
- Dawn H. Pearce, Christopher N. Mongiardi, Victor L. Fornasier, Timothy R. Daniels. Avascular Necrosis of the Talus: A Pictorial Essay. RadioGraphics 2005; 25:399–410.
- M. Tile. Fractures of the Talus in "Joseph Schatzker, Marvin Tile. The Rationale of Operative Fracture Care. 3rd Edition. Publisher: Springer 1987."
- „Gheorghe Roșioru, Nicolae Bajurea, Oleg Pășcăneanu. Studiul nostru în tratamentul fracturilor de col astragalian. USMF „Nicolae Testemițanu", Clinica Ortopedie și Traumatologie „V. Bețișor", CNȘPMU. Buletinul Academiei de Științe a Moldovei - Științe Medicale, 3(26)/2010. Chișinău 2010” (PDF). Arhivat din original (PDF) la . Accesat în .
- S. Terry Canale, James H. Beaty. Campbell's Operative Orthopaedics (4-Volume Set). 11th Edition. Mosby 2008.
- Ranga V.; Zaharia C.; Panaitescu V.; Ispas Al.; Anatomia omului, Vol. I Partea II-a: Membrele; Curs IMF București - Facultatea de Medicină - Catedra de anatomie; București; 1979-1980; p. 237
- Ranga V.; Zaharia C.; Panaitescu V.; Ispas Al.; Anatomia omului, Vol. I Partea II-a: Membrele; Curs IMF București - Facultatea de Medicină - Catedra de anatomie; București; 1979-1980; p. 236
- Ranga V.; Zaharia C.; Panaitescu V.; Ispas Al.; Anatomia omului, Vol. I Partea II-a: Membrele; Curs IMF București - Facultatea de Medicină - Catedra de anatomie; București; 1979-1980; p. 235
- Ranga V.; Zaharia C.; Panaitescu V.; Ispas Al.; Anatomia omului, Vol. I Partea II-a: Membrele; Curs IMF București - Facultatea de Medicină - Catedra de anatomie; București; 1979-1980; p. 233
- Ranga V.; Zaharia C.; Panaitescu V.; Ispas Al.; Anatomia omului, Vol. I Partea II-a: Membrele; Curs IMF București - Facultatea de Medicină - Catedra de anatomie; București; 1979-1980; p. 234
- Talus. Terminologia Anatomica (TA) 1998
- Ranga V.; Zaharia C.; Panaitescu V.; Ispas Al.; Anatomia omului, Vol. I Partea II-a: Membrele; Curs IMF București - Facultatea de Medicină - Catedra de anatomie; București; 1979-1980; p. 255
- Ranga V.; Zaharia C.; Panaitescu V.; Ispas Al.; Anatomia omului, Vol. I Partea II-a: Membrele; Curs IMF București - Facultatea de Medicină - Catedra de anatomie; București; 1979-1980; p. 188
- Ranga V.; Zaharia C.; Panaitescu V.; Ispas Al.; Anatomia omului, Vol. I Partea II-a: Membrele; Curs IMF București - Facultatea de Medicină - Catedra de anatomie; București; 1979-1980; p. 275
- Diaconescu Nicolae; Rottenberg Nicolae; Niculescu Virgil; Noțiuni de anatomie practică; Ed. Facla; Timișoaraș 1979; p. 125
- Ranga V.; Zaharia C.; Panaitescu V.; Ispas Al.; Anatomia omului, Vol. I Partea II-a: Membrele; Curs IMF București - Facultatea de Medicină - Catedra de anatomie; București; 1979-1980; p. 281
- Ranga V.; Zaharia C.; Panaitescu V.; Ispas Al.; Anatomia omului, Vol. I Partea II-a: Membrele; Curs IMF București - Facultatea de Medicină - Catedra de anatomie; București; 1979-1980; p. 283
- G Morvan. Points de radio-anatomie et application à l'imagerie actuelle de la cheville et de l'arrière-pied. Journal de radiologie, Vol 80, N° 6 - mai 1999, p. 652
- en Mooney, Eric K; Gross Morphologic Overview of Lower Limb Development; MedScape, CME & Education, updated Nov 18, 2013
- Goldstein, Israel, E. Albert Reece, and John C. Hobbins. Sonographic appearance of the fetal heel ossification centers and foot length measurements provide independent markers for gestational age estimation. American journal of obstetrics and gynecology 159.4 (1988): 923-926.
- Craig Cunningham, Louise Scheuer, Sue Black. Developmental Juvenile Osteology. Elsevier, Academic Press, 2000.
- Louise Scheuer, Sue Black. The Juvenile Skeleton. Elsevier, Academic Press, 2004.
- Mustafa Uslu, Mehmet Arıcan, Besir Erdoğmus. A Rare Case of Os Supranaviculare or Pirie’s Bone in the Pediatric Patient: A Case Report. The Foot and Ankle Online Journal 5 (10): 1, octombrie, 2012
- G.T. Dornescu, O. C. Necrasov. Anatomia comparată a vertebratelor. Vol. I. Editură Didactică și Pedagogică. București, 1968.
- D. Mișcalencu, Florica Mailat-Mișcalencu. Anatomia comparată a vertebratelor. Editura Didactică și Pedagogica. București. 1982.
- Victor Pop. Curs de zoologia vertebratelor. Vol. I. Procordatele, caracterele generale ale vertebratelor, peștii și amfibienii. Litografia Învățământului, Cluj 1957.
- Z. Feider, Al. V. Grossu, St. Gyurkó, V. Pop. Zoologia vertebratelor. Autor coordonator: Prof. Dr. Doc. Al. V. Grossu. Editura didactică și pedagogică, București, 1967.
- Victor Pop. Curs de zoologia vertebratelor. Vol. II. Fasc. 1, Reptile și păsări. Litografia Învățământului, Cluj 1959.
- Victor Pop. Zoologia vertebratelor. Vol. II. Fasc. 2, Mamiferele. Editura Didactică și Pedagogică. București, 1962.
- S. Terry Canale, James H. Beaty. Campbell's Operative Orthopaedics. 4-Volume Set. 12th Edition. Mosby 2012
- Robert W. Bucholz, James D. Heckman, Charles M. Court-Brown, Paul Tornetta. Rockwood and Green's Fractures in Adults: Two Volumes. 7th Edition. LWW 2009
- James H. Beaty, James R. Kasser. Rockwood and Wilkins' Fractures in Children. 7th Edition. LWW, 2009
- Leland G. Hawkins. Fractures of the Neck of the Talus. J Bone Joint Surg Am, 1970 Jul; 52 (5): 991-1002.[nefuncțională]
- „ST Canale; FB Kelly Jr. Fractures of the neck of the talus. Long-term evaluation of seventy-one cases. J Bone Joint Surg Am, 1978 Mar; 60 (2): 143 -156”. Arhivat din original la . Accesat în .
- O. Sneppena, S. Bach Christensena, O. Krogsøea, J. Lorentzena. Fracture of the Body of the Talus. Acta Orthopaedica Scandinavica 1977, volume 48, issue 3.
- DeLee, JC. Fractures and dislocations of the foot. in: Mann RA (Ed.) Surgery of the Foot. 5th ed. Mosby Co, St Louis; 1986: 725–729.
- „L. Berndt, M. Harty. Transchondral fractures (osteochondritis dissecans of the talus). J. Bone Joint Surg. (Am), 41 (1959), pp. 988–1020” (PDF). Arhivat din original (PDF) la . Accesat în .
- O. Laffenêtre. Osteochondral lesions of the talus: Current concept. Orthopaedics & Traumatology: Surgery & Research. Volume 96, Issue 5, septembrie 2010, Pages 554–566[nefuncțională]
- Hawkins, L.G. Fracture of the lateral process of the talus. J Bone Joint Surg Am 47:1170–1175, 1965.[nefuncțională]
- McCrory P, Bladin C. Fractures of the lateral process of the talus: a clinical review. "Snowboarder's ankle". Clin J Sport Med. 1996 Apr;6(2):124-8.
Bibliografie
- Tratat elementar de anatomie descriptivă și topografică (cu aplicațiuni medico-chirurgicale) de Victor Papilian. Ediția III-a. Vol. I. Generalități, osteologie, artrologie, miologie. Sibiu, editura "Dacia Traiana" S. A. 1942
- Victor Papilian. Anatomia omului. Volumul I – Aparatul locomotor. Ediția a XI-a, revizuită integral de prof. univ. dr. Ion Albu. Editura ALL, 2006
- Z. Iagnov, E. Repciuc, I. G. Russu. Anatomia omului. Aparatul locomotor. Editura Medicală. București. 1962
- Viorel Ranga. Anatomia omului, vol. 2 - Membrele. Editura: CERMA. 2002
- Mihail Ștefaneț. Anatomia omului. Volumul I. Chișinău, Centrul Editorial-Poligrafic Medicina, 2007
- Sobotta Atlas of Human Anatomy. Volume 1 Head, Neck, Upper Limb. 14th ed 2006
- Gray's Anatomy. The Anatomical Basis of Clinical Practice. Susan Standring. 40th Edition 2008
- Pocket Atlas of Human Anatomy. Based on the International Nomenclature. Heinz Feneis. 4th edition 2000
- Atlas of Anatomy (Latin Nomenclature). Anne M. Gilroy. Thieme 2009
- Waldeyer. Anatomie des Menschen 17. Auflage. 2003
- L. Testut. Traité d'anatomie humaine. Tome premier. Ostéologie – Arthrologie – Myologie. Paris, 1899.
- Armen S Kelikian, Shahan K. Sarrafian. Sarrafian's Anatomy of the Foot and Ankle: Descriptive, Topographic, Functional. Third Edition. Publisher: LWW 2011
- G. T. Dornescu, O. C. Necrasov. Anatomia comparată a vertebratelor. Vol. I. Editură Didactică și Pedagogică. București, 1968
- D. Mișcalencu, Florica Mailat-Mișcalencu. Anatomia comparată a vertebratelor. Editura Didactică și Pedagogica. București. 1982.
- R. B. Seymour Sewell. "A Study of the Astragalus". Part I. Journal of Anatomy and Physiology. 1904; Vol. 38: 233–247
- R. B. Seymour Sewell. "A Study of the Astragalus". Part II. Journal of Anatomy and Physiology. 1904; Vol. 38: 423–434
- R. B. Seymour Sewell. "A Study of the Astragalus". Part III. Journal of Anatomy and Physiology. 1904; Vol. 39: 74–92
- R. B. Seymour Sewell. "A Study of the Astragalus". Part IV. Journal of Anatomy and Physiology. 1906; Vol. 40: 152–161
- Daniel Pastore. Ligamentos dos processos talares posterior e lateral : ressonância magnética e artro-ressonância magnética do tornozelo e da articulação subtalar posterior com correlação anatômica e histológica. Tese apresentada à Faculdade de Medicina da Universidade de São Paulo para obtenção do título de Doutor em Ciências. São Paulo, 2009
- Müller, F., M. Zellner, and B. Füchtmeier. "Treatment and outcome of destructive tuberculosis of the talus." Foot and Ankle Surgery 21.2 (2015): e45-e47.
- Teklali, Youssef, et al. "Tuberculosis of the talus in the child." European Journal of Orthopaedic Surgery & Traumatology 13.1 (2003): 52-54.
- Boussouga, M., et al. "La tuberculose du talus: une localisation osseuse rare du bacille de Koch." Revue de chirurgie orthopédique et réparatrice de l'appareil moteur 88.5 (2002): 522-525.
- Detenbeck, Lee C., and Patrick J. Kelly. "Total dislocation of the talus." J Bone Joint Surg Am 51.2 (1969): 283-288.
- Mcbride, Donald J., C. Ramamurthy, and Patrick Laing. "The hindfoot: Calcaneal and talar fractures and dislocations—Part II: Fracture and dislocations of the talus." Current Orthopaedics 19.2 (2005): 101-107.
- Walker, A. P., Ghali, N. N., & Silk, F. F. (1985). Congenital vertical talus. J Bone Joint Surg Am, 67, 117-21.
- Bruns, J., and B. Rosenbach. "Osteochondrosis dissecans of the talus." Archives of orthopaedic and trauma surgery 112.1 (1992): 23-27.
- Gerard, V. Yu, and Craig S. Sellers. "Chondroblastoma of the talus." The Journal of foot and ankle surgery 35.1 (1996): 72-77.
- Bell, S. W., P. S. Young, and A. Mahendra. "Primary bone tumours of the talus: The Scottish Bone Tumour Registry experience." Foot and Ankle Surgery 18.4 (2012): 277-282.
- Yacoubi, Hicham, et al. "Tarsal osteoarthritis tuberculosis: report of a case." The Pan African medical journal 11 (2011): 64-64.
- Linklater, J., et al. "Anatomy of the subtalar joint and imaging of talo-calcaneal coalition." Skeletal radiology 38.5 (2009): 437-449.
- Cowell, Henry R. "Talocalcaneal coalition and new causes of peroneal spastic flatfoot." Clinical orthopaedics and related research 85 (1972): 16-22.
- Resnick, D. "Talar ridges, osteophytes, and beaks: a radiologic commentary." Radiology 151.2 (1984): 329-332.
- Koulouris, George, and William B. Morrison. "Foot and ankle disorders: radiographic signs." Seminars in roentgenology. Vol. 40. No. 4. WB Saunders, 2005.
- Lectură suplimentară
- en Koulouris, George; Morrison, William B.; Foot and Ankle Disorders: Radiographic Signs; Seminars in Roentgenology, X/2005; pp. 358–379
- en Pearce, Dawn H.; Mongiardi, Christopher N.; Fornasier, Victor L.; Daniels, Timothy R.; Avascular Necrosis of the Talus: A Pictorial Essay; RadioGraphics, 2005 Mar-Apr, 25(2); pp. 399–410
- en van Bergen, Christiaan Johannes augustinus; Treatment of osteochondral defects of the talus Arhivat în , la Wayback Machine.; C.J.A. van Be rgen; Amsterdam, the Netherlands; 2014; ISBN 978-90-6464-742-0
- en Lee, Michael S.; Vanore, John V.; Thomas, James L.; Catanzariti, Alan R.; Kogler, Geza; Kravitz, Steven R.; Miller, Stephen J.; Gassen, Susan Couture; Diagnosis and Treatment of Adult Flatfoot Arhivat în , la Wayback Machine.; The Journal of Foot & Ankle Surgery, Vol. 44, Number 2, martie/aprilie 2005; pp. 78–113
- en Collins, James; Smithuis, Robin; Rutten, Matthieu; US-guided injection of joints - Ankle and foot; Radiology Assistant Educational site of the Radiological Society of the Netherlands, radiologyassistant.nl
- en Subtalar arthritis[nefuncțională] ; OrthopaedicsOne Articles; pp. 285–292
- en Ombregt, Ludwig; Disorders of the ankle and subtalar joints in A sistem of Orthopaedic Medicine 3-rd Ed.; Elsevier; 2013; pp. 761-787
- en Talonavicular Arthritis; The London Foot&Ankle Clinic
- en Ombregt, Ludwig; Disorders of the midtarsal joints in A sistem of Orthopaedic Medicine 3-rd Ed.; Elsevier; 2013; pp. 789-797
Bruns, J., and B. Rosenbach. "Osteochondrosis dissecans of the talus." Archives of orthopaedic and trauma surgery 112.1 (1992): 23-27. Gerard, V. Yu, and Craig S. Sellers. "Chondroblastoma of the talus." The Journal of foot and ankle surgery 35.1 (1996): 72-77. Bell, S. W., P. S. Young, and A. Mahendra. "Primary bone tumours of the talus: The Scottish Bone Tumour Registry experience." Foot and Ankle Surgery 18.4 (2012): 277-282.
Legături externe
- M. Laude. Anatomie de l'astragale et de son environnement ostéo-articulaire. Maîtrise Orthopédique Arhivat în , la Wayback Machine.
- O. Jardé, J. Vernois, A. Patout. Les fractures du talus. Maîtrise Orthopédique Arhivat în , la Wayback Machine.
- LODA ou Lésions ostéochondrales du Talus : De leur physiologie à leur traitement. Médecins du sport
- Jean Tanton. Fractures du membre inférieur. Paris, Baillière, 1916.
- Talus. Cabinet Pédicurie Podologie Arhivat în , la Wayback Machine.
- Talus. Etudiant-podologie.fr
- Surface palpation of Head of Talus. YouTube. Video
- Astragale. Anatomie Artistique Leçon 45
