Sindromul de detresă respiratorie acută
Sindromul de detresă respiratorie acută, abreviat SDRA sau sindrom SDRA (în engleză ARDS - acute respiratory distress syndrome) este o insuficiență respiratorie acută severă cu edem pulmonar lezional, hipoxemie refractară la oxigenoterapie, care necesită asistență respiratorie complexă și prelungită în secția de anestezie și terapie intensivă (ATI) și apare în urma unei agresiuni septice (șocul septic), toxice, traumatism sau prin aspirație de lichid gastric sau aspirația sau inhalarea de substanțe toxice. Alterarea membranei alveolocapilare antrenează trecerea plasmei în alveole, colaps alveolar și constituirea unei fibroze interstițiale extensive. Ansamblul acestor leziuni determină scăderea complianței pulmonare și antrenează hipoxemie severă, cu prognostic rezervat. Tratamentul constă în corectarea cauzei subiacente, administrarea de diuretice și de oxigen, și ventilare mecanică.[2][3]
| Sindromul de detresă respiratorie acută | |
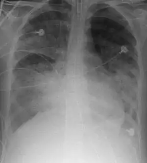
![]() Radiografie pulmonară în sindromul de detresă respiratorie acută | |
| Specialitate | pneumologie medicină de urgență |
|---|---|
| Simptome | dispnee tahipnee[*] cianoză Șoc[1] |
| Metodă de diagnostic | radiografia toracelui[*] tomografie computerizată[*] |
| Clasificare și resurse externe | |
| ICD-9 | 518.5, 518.82 |
| ICD-10 | J80 |
| ICD-11 | |
| DiseasesDB | 892 |
| MedlinePlus | 000103 |
| eMedicine | 70.htm med/= 70 |
| Patient UK | Sindromul de detresă respiratorie acută |
| MeSH ID | D012128 |
Aspectul radiologic (plămân alb, plămân dens) corespunde edemului interstițial și alveolar (plămân umed; atelectazie congestivă) ceea ce duce la diminuarea complianței pulmonare (plămân rigid). Sub un tablou clinic morfopatologic unitar, acest sindrom include leziuni pulmonare comparabile (edem, depozite fibrinoase, membrane hialine), dar de diferite cauze, din care bronhopatia cronică obstructivă sau insuficiența ventriculară stângă trebuie excluse. Diagnosticul se bazează pe asociație mai multor criterii: clinice: cianoză, tahipnee, tahicardie; radiografice: opacități bilaterale interstițiale și alveolare (edemul pulmonar necardiogen); biologice: presiunea arterială a oxigenului - PaO2 <50 mm Hg, poate coborî până la 30 mm Hg; funcționale: inhalarea O2 duce numai la o ușoară creștere a PaO2, poate exista o hipocapnie și uneori o acidoză asociată, presiunea capilară pulmonară este normală sau scăzută (<12 mm Hg) după deconectarea respiratorului. Capacitatea vitală este diminuată, precum și capacitatea funcțională reziduală, complianță este diminuată și buclele curbei presiune-volum sunt foarte perturbate. Schematic evoluția are loc în trei faze: (1) edem lezional cu leziunea pneumocitelor de tip I; (2) organizarea edemului interstițial (membrane hialine, infiltrația leucocitelor și fibroblastelor, obstrucția capilarelor cu fibrină și leucocite, proliferarea pneumocitelor de tip II); (3) dezvoltarea unei fibroze dezorganizate, deseori suprainfectate. Mortalitatea este ridicată (45% la adulții sub 65 de ani) devenind foarte mare în caz de insuficiență multiviscerală.[4][5][6][7][8]
Note
- Disease Ontology, accesat în
- Valeriu Rusu. Dicționar medical. Editura Medicală. 2010
- Elizabeth A. Martin. Oxford. Dicționar de medicina. Editia a VI-a. Editura ALL. 2011
- Dictionnaire médical de l'Académie de Médecine. Détresse respiratoire aigüe de l'adulte
- Doriana Cojocaru. Sindromul de detresă respiratorie acuta: actualitatea problemei. Revista literaturii. Arta Medica, Nr. 1 (22), 2007
- Alexandru Cupaciu. Sindromul de detresă respiratorie acută. Viața Medicală, 31 august 2018
- L. Azamfirei, Ruxandra Copotoiu. Mecanisme patogenice implicate în sindromul de detresă respiratorie acută. Jurnalul Român de Anestezie Terapie intensivă 2009 Vol. 16 Nr. 1, 63-69
- Victor Cojocaru, Vladimir Hotineanu, Doriana Cojocaru, Andrei Usatîi. Leziunea pulmonară acută/sindromul de detresă respiratorie acută (LPA/SDRA) la bolnavii cu patologie chirurgicală. Chișinău 2011
Legături externe
Materiale media legate de sindromul detresei respiratorii acute la Wikimedia Commons
