Sindromul Goodpasture
Sindromul Goodpasture este un grup de boli acute care afectează plămânii și rinichii, datorata unei tulburări autoimune.[4]
| Sindromul Goodpasture | |
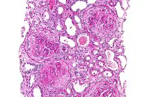
![]() Micrograf a unei glomerulonefrite semilunică care s-a dovedit a fi o boală a membranei subsolului antiglomerular Acid periodic - pata Schiff | |
| Simptome | hemoragie[1] |
|---|---|
| Clasificare și resurse externe | |
| ICD-11 | |
| ICD-9-CM | 446.21[2][3] |
| OMIM | 233450 |
| DiseasesDB | 5363 |
| MedlinePlus | 000142 |
| MeSH ID | D019867[3] |
În mod normal, sistemul imunitar produce componente numite anticorpi pentru a combate germenii. Dar, în sindromul Goodpasture, sistemul imunitar produce în mod greșit anticorpi care atacă plămânii și rinichii. Această afecțiune poate evolua rapid către o inflamație a rinichilor (glomerulonefrită) și insuficiență renală. Poate fi fatală dacă nu este diagnosticată și tratată rapid.
Această boală apare cel mai adesea la persoanele între 20 și 30 de ani sau la cei cu vârsta peste 60 de ani. Este mai frecventă la bărbați.
În unele cazuri, poate apărea sângerare în plămâni. În majoritatea cazurilor, această boală nu provoacă plămânilor leziuni de durată lungă. Leziunile renale, în schimb, pot fi de lungă durată. Dacă rinichii eșuează, poate fi necesar un transplant de rinichi sau dializă.
Note
- Disease Ontology, accesat în
- Disease Ontology, accesat în
- Monarch Disease Ontology release 2018-06-29[*] Verificați valoarea
|titlelink=(ajutor); - „Goodpasture Syndrome” (în engleză). www.hopkinsmedicine.org. Accesat în .
Legături externe
Materiale media legate de Sindromul Goodpasture la Wikimedia Commons- Anticorpi GBM: imagine imunofluorescență Arhivat în , la Wayback Machine.
| Clasificare | |
|---|---|
| Resurse externe |
