Pseudomixom peritoneal
Pseudomixomul peritoneal sau boala gelatinoasă a peritoneului, peritonita gelatinoasă, este o tumoră mucoidă rară a peritoneului, cu evoluție lenta, caracterizată prin prezența în cavitatea peritoneală a unei glucoproteine mucoide asemănătoare gelatinei. Această acumulare de material vâscos se asociază mai frecvent cu afecțiuni ovariene sau apendiculare. În afecțiunile ovariene se datorează fisurării sau rupturii unui chistadenom sau chistadenocarcinom mucinos, iar în afecțiunile apendiculare prezenței unui mucocel apendicular sau adenocarcinom secretor de mucus al apendicelui.[1][2]
| Pseudomixom peritoneal | |
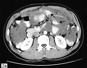
![]() Tomografie computerizată a abdomenului care arată un pseudomixom peritoneal cu multiple acumulări gelatinoase peritoneale (săgeată) | |
| Specialitate | oncologie |
|---|---|
| Clasificare și resurse externe | |
| ICD-9 | 197.6 |
| ICD-10 | C48.2 |
| ICD-11 | |
| ICD-O | M8480 |
| DiseasesDB | 31498 |
| eMedicine | med/1795 |
| MeSH ID | D011553 |
Note
- Mircea Grigorescu. Tratat de gastroenterologie. Volumul 2. Ed. Național, 2001, București, pp. 432-433
- Péritonite gélatineuse. Dictionnaire médical de l'Académie de Médecine.
This article is issued from Wikipedia. The text is licensed under Creative Commons - Attribution - Sharealike. Additional terms may apply for the media files.
