Placă bacteriană
Placa bacteriană sau placa dentară este un biofilm sau o acumulare bacteriană care se regăsește în interiorul cavității bucale. În timp poate forma tartrul, care poate prezenta o colorație galben-maronie. Se regăsește adesea între dinți, la suprafața acestora sau pe gingii.[1] Placa bacteriană este una dintre cauzele majore ale căderii dinților și ale afectării gingivale (parodontoză).[1]
| Placă bacteriană | |
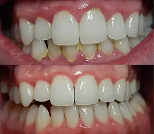
![]() Deasupra: aspectul tipic gingivitei Dedesubt: gingii sănătoase | |
| Specialitate | odontologie |
|---|---|
| Clasificare și resurse externe | |
| ICD-11 | |
| MeSH ID | D003773 |
Note
- Darby ML, Walsh MM (). Dental Hygiene Theory and Practice.
Vezi și
Legături externe
This article is issued from Wikipedia. The text is licensed under Creative Commons - Attribution - Sharealike. Additional terms may apply for the media files.
