Mucoasă
Mucoasa este o membrană care căptușește diferite cavități din corpul unui organism și acoperă suprafața organelor interne.[1] Aceasta este formată din unul sau mai multe straturi de celule epiteliale care acoperă un strat de țesut conjunctiv lax.[2] O caracteristică a mucoaselor este secreția de mucus, care asigura umiditatea si lubrifierea organelor pe care le tapetează.[3] Tipul de celule și tipul de mucus secretat variază de la un organ la altul și fiecare poate fi diferit de-a lungul unui anumit tract.[4][5]

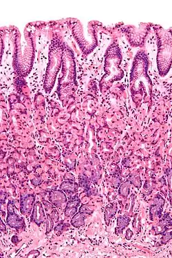
Secțiune histologică indicând mucoasa gastrică
Exemple
- Endometru - mucoasa uterului
- Conjunctivă
- Mucoasa nazală
- Mucoasa gastrică
Note
- „Mucoasă” la DEX online
- „Mucous membrane”. Encyclopædia Britannica. Accesat în .
- „Mucoasa - definitie”, Sfatulmedicului.ro, accesat în
- Guyton, Arthur C.; Hall, John E. (). Textbook of Medical Physiology, 11th Edition. Philadelphia: Elsevier Saunders. ISBN 9780721602400. OCLC 56661571.
- Stuart-Low, William (). Mucous Membranes Normal & Abnormal Including Mucin & Malignancy (în engleză). Bailliére, Tindall & Cox. OCLC 643969757.
This article is issued from Wikipedia. The text is licensed under Creative Commons - Attribution - Sharealike. Additional terms may apply for the media files.